Suppr超能文献

免疫检查点抑制剂导致的 pembrolizumab 样苔藓样疹。

Immune checkpoint inhibitor lichenoid eruption due to pembrolizumab.

机构信息

Internal Medicine, Mayo Clinic in Florida, Jacksonville, Florida, USA

Dermatology, Mayo Clinic Jacksonville Campus, Jacksonville, Florida, USA.

出版信息

BMJ Case Rep. 2023 Jun 20;16(6):e254692. doi: 10.1136/bcr-2023-254692.

Abstract

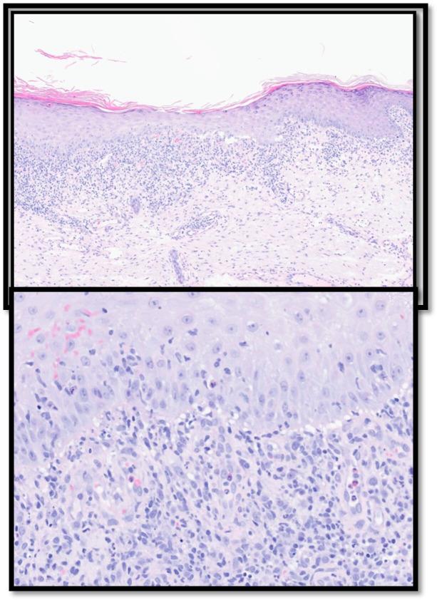
Pembrolizumab is an immune checkpoint inhibitor used in many cancer types, including genitourinary cancers. Although immunotherapies have dramatically changed the landscape of cancer treatment by providing an alternative to traditional chemotherapy, they have been associated with significant immune-related adverse events (IRAEs) with wide-ranging clinical manifestations. We present the case of an elderly woman on pembrolizumab for metastatic bladder cancer who developed cutaneous IRAE with lichenoid eruptions that responded to high-dose intravenous glucocorticoids.

摘要

帕博利珠单抗是一种免疫检查点抑制剂,用于多种癌症类型,包括泌尿生殖系统癌症。虽然免疫疗法通过提供传统化疗的替代方案,极大地改变了癌症治疗的格局,但它们与广泛临床表现的严重免疫相关不良事件(IRAEs)有关。我们报告了一例接受帕博利珠单抗治疗转移性膀胱癌的老年女性患者,她发生了伴有苔藓样疹的皮肤 IRAE,对大剂量静脉内糖皮质激素治疗有反应。

https://cdn.ncbi.nlm.nih.gov/pmc/blobs/62d6/10314548/4ad3c9871498/bcr-2023-254692f01.jpg

文献检索

告别复杂PubMed语法,用中文像聊天一样搜索,搜遍4000万医学文献。AI智能推荐,让科研检索更轻松。

立即免费搜索

文件翻译

保留排版,准确专业,支持PDF/Word/PPT等文件格式,支持 12+语言互译。

免费翻译文档

深度研究

AI帮你快速写综述,25分钟生成高质量综述,智能提取关键信息,辅助科研写作。

立即免费体验