Suppr超能文献

牙龈纤维肉瘤:一种罕见的疾病。

Fibrosarcoma of the gingiva: A rare entity.

作者信息

Hrishi Thayyil Sivaraman, Vadakkekuttical Rosamma Joseph, Kanakath Harikumar, Shameena P M, Puthiyapurayil Sunitha

机构信息

Department of Periodontics, Government Dental College, Kozhikode, Kerala, India.

Department of Oral Pathology and Microbiology, Government Dental College, Kozhikode, Kerala, India.

出版信息

J Indian Soc Periodontol. 2023 May-Jun;27(3):328-331. doi: 10.4103/jisp.jisp_61_22. Epub 2023 May 1.

Abstract

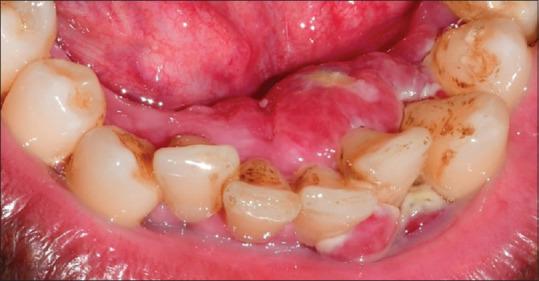
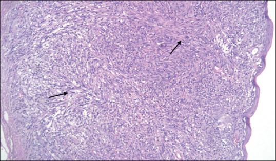
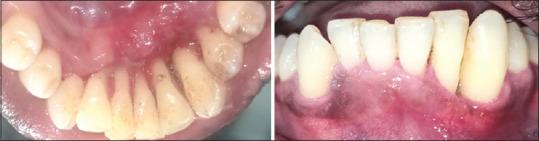
Fibrosarcoma is a rare malignancy of fibroblasts that seldom occurs in the oral cavity. Although rare, fibrosarcoma is an aggressive lesion associated with a poor survival rate. The occurrence of such a highly aggressive lesion on the gingiva is a diagnostic challenge for the clinician. This is because the gingiva is a common site for various inflammatory and nonspecific enlargements, which are commonly benign and the chances to overlook aggressive lesions are high. This case report describes an atypical case of fibrosarcoma of gingiva in a middle-aged individual that mimicked a nonspecific gingival enlargement.

摘要

纤维肉瘤是一种罕见的成纤维细胞恶性肿瘤,很少发生于口腔。尽管罕见,但纤维肉瘤是一种侵袭性病变,生存率较低。牙龈出现这种高度侵袭性病变对临床医生来说是一个诊断挑战。这是因为牙龈是各种炎症和非特异性增生的常见部位,这些通常是良性的,因而忽视侵袭性病变的可能性很大。本病例报告描述了一名中年个体牙龈纤维肉瘤的非典型病例,该病例酷似非特异性牙龈增生。

https://cdn.ncbi.nlm.nih.gov/pmc/blobs/0c44/10281301/9e4bcd4950c1/JISP-27-328-g001.jpg

文献AI研究员

20分钟写一篇综述,助力文献阅读效率提升50倍。

立即体验

用中文搜PubMed

大模型驱动的PubMed中文搜索引擎

马上搜索

文档翻译

学术文献翻译模型,支持多种主流文档格式。

立即体验