Suppr超能文献

原发性睾丸旁梭形细胞横纹肌肉瘤1例报告

A case report of primary para-testicular spindle cell rhabdomyosarcoma.

作者信息

Su Peng, Yang Ying, Wang Xiaomin, Chen Shulian, Zhang Neng, Yang Hua

机构信息

Department of Urology, The Affiliated Hospital of Zunyi Medical University, Zunyi, China.

Department of Dermatology, The Second Affiliated Hospital of Zunyi Medical University, Zunyi, China.

出版信息

Front Oncol. 2023 Jun 7;13:1166503. doi: 10.3389/fonc.2023.1166503. eCollection 2023.

Abstract

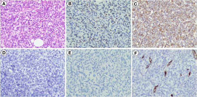
Para-testicular rhabdomyosarcoma (PTRMS) is a rare tumor, and it accounts for 7% of all rhabdomyosarcoma tumors. Among all the rhabdomyosarcoma (RMS) types, the spindle cell RMS is extremely rare. The present study describes a case of a para-testicular spindle cell RMS that was treated with a radical inguinal orchiectomy (RIO) and right scrotal resection. A 17-year-old male patient presented with a half-year history of a rapidly growing, painless, right scrotal mass. His CT of the pelvic cavity showed a mixed-density mass in the right scrotum, and the maximum cross-sectional area was approximately 76.5 mm × 64.5 mm. An X-ray of the chest demonstrated no evidence of metastasis, and a local surgical excision was performed subsequently. The histopathological and immunohistochemical examination confirmed the final diagnosis of spindle cell RMS. As a newly diagnosed case, strict and regular follow-up is needed. This article focuses on the importance of prompt recognition, diagnosis, pathological features, and appropriate management of para-testicular spindle cell RMS.

摘要

睾丸旁横纹肌肉瘤(PTRMS)是一种罕见肿瘤,占所有横纹肌肉瘤的7%。在所有横纹肌肉瘤(RMS)类型中,梭形细胞RMS极为罕见。本研究描述了一例睾丸旁梭形细胞RMS患者,该患者接受了根治性腹股沟睾丸切除术(RIO)和右侧阴囊切除术。一名17岁男性患者出现右侧阴囊迅速生长、无痛性肿块半年病史。其盆腔CT显示右侧阴囊有一混合密度肿块,最大截面积约为76.5 mm×64.5 mm。胸部X线检查未发现转移迹象,随后进行了局部手术切除。组织病理学和免疫组化检查确诊为梭形细胞RMS。作为一例新诊断病例,需要进行严格且定期的随访。本文重点关注睾丸旁梭形细胞RMS及时识别、诊断、病理特征及恰当处理的重要性。

https://cdn.ncbi.nlm.nih.gov/pmc/blobs/3de2/10282740/f028093c0f13/fonc-13-1166503-g001.jpg

文献AI研究员

20分钟写一篇综述,助力文献阅读效率提升50倍。

立即体验

用中文搜PubMed

大模型驱动的PubMed中文搜索引擎

马上搜索

文档翻译

学术文献翻译模型,支持多种主流文档格式。

立即体验