Suppr超能文献

利妥昔单抗挽救的伴巩膜炎、角膜溶解和穿孔的抗中性粒细胞胞浆抗体相关性血管炎:病例报告及文献综述

ANCA-associated vasculitis with scleritis, corneal melt, and perforation rescued by rituximab: Case report and literature review.

作者信息

Matsuo Toshihiko, Hiramatsu-Asano Sumie, Sawachika Hiroshi, Nishimura Hirotake

机构信息

Graduate School of Interdisciplinary Science and Engineering in Health Systems Okayama University Okayama City Japan.

Department of Ophthalmology Okayama University Hospital Okayama City Japan.

出版信息

Clin Case Rep. 2023 Jun 20;11(6):e7595. doi: 10.1002/ccr3.7595. eCollection 2023 Jun.

Abstract

KEY CLINICAL MESSAGE

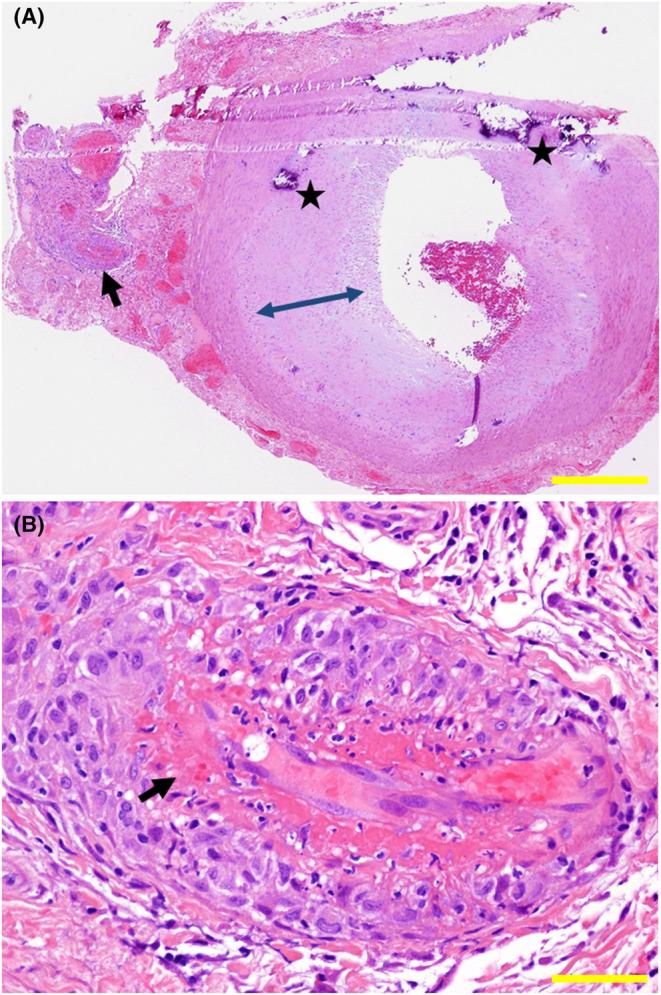
Patients with antineutrophil cytoplasmic antibody (ANCA)-associated vasculitis, specifically with myeloperoxidase (MPO)-ANCA, would have a risk for developing corneal melt and perforation abruptly in a short period. It is desirable to have a team of collaboration of rheumatologists and other specialties.

ABSTRACT

An 80-year old man who had been diagnosed 5.5 years previously as ANCA-associated vasculitis by temporal artery biopsy developed corneal melt and perforation with scleritis in both eyes. He underwent successful cataract surgery and retained ambulatory vision with the aid of intravenous rituximab. Two additional patients with similar manifestations were found in the literature.

摘要

关键临床信息

抗中性粒细胞胞浆抗体(ANCA)相关血管炎患者,尤其是髓过氧化物酶(MPO)-ANCA阳性患者,有在短时间内突然发生角膜溶解和穿孔的风险。需要风湿科医生和其他专科医生组成协作团队。

摘要

一名80岁男性,5.5年前经颞动脉活检诊断为ANCA相关血管炎,双眼出现角膜溶解、穿孔并伴有巩膜炎。他接受了成功的白内障手术,并在静脉注射利妥昔单抗的帮助下保留了可走动的视力。文献中还发现另外两名有类似表现的患者。

https://cdn.ncbi.nlm.nih.gov/pmc/blobs/3a05/10282114/d398dbe01468/CCR3-11-e7595-g005.jpg

文献AI研究员

20分钟写一篇综述,助力文献阅读效率提升50倍。

立即体验

用中文搜PubMed

大模型驱动的PubMed中文搜索引擎

马上搜索

文档翻译

学术文献翻译模型,支持多种主流文档格式。

立即体验