• 文献检索
  • 文档翻译
  • 深度研究
  • 学术资讯
  • Suppr Zotero 插件Zotero 插件
  • 邀请有礼
  • 套餐&价格
  • 历史记录
应用&插件
Suppr Zotero 插件Zotero 插件浏览器插件Mac 客户端Windows 客户端微信小程序
定价
高级版会员购买积分包购买API积分包
服务
文献检索文档翻译深度研究API 文档MCP 服务
关于我们
关于 Suppr公司介绍联系我们用户协议隐私条款
关注我们

Suppr 超能文献

核心技术专利:CN118964589B侵权必究
粤ICP备2023148730 号-1Suppr @ 2026

文献检索

告别复杂PubMed语法,用中文像聊天一样搜索,搜遍4000万医学文献。AI智能推荐,让科研检索更轻松。

立即免费搜索

文件翻译

保留排版,准确专业,支持PDF/Word/PPT等文件格式,支持 12+语言互译。

免费翻译文档

深度研究

AI帮你快速写综述,25分钟生成高质量综述,智能提取关键信息,辅助科研写作。

立即免费体验

双侧巩膜炎及与坏疽性脓皮病相关的伴有细胞遗传学染色体畸变的嗜中性皮肤病:一例20年随访病例报告

Bilateral Scleritis and Neutrophilic Dermatosis With Cytogenetic Chromosomal Aberrancy Related to Pyoderma Gangrenosum: A Case Report of a 20-Year Follow-Up.

作者信息

Matsuo Toshihiko, Tanaka Takehiro, Asada Noboru, Obika Mikako, Omichi Ryotaro, Iwatsuki Keiji

机构信息

Department of Ophthalmology, Graduate School of Interdisciplinary Science and Engineering in Health Systems, Okayama University, and Okayama University Hospital, Okayama, JPN.

Department of Pathology, Graduate School of Medicine, Dentistry, and Pharmaceutical Sciences, Okayama University, Okayama, JPN.

出版信息

Cureus. 2025 Apr 16;17(4):e82348. doi: 10.7759/cureus.82348. eCollection 2025 Apr.

DOI:10.7759/cureus.82348
PMID:40385891
原文链接:https://pmc.ncbi.nlm.nih.gov/articles/PMC12082377/
Abstract

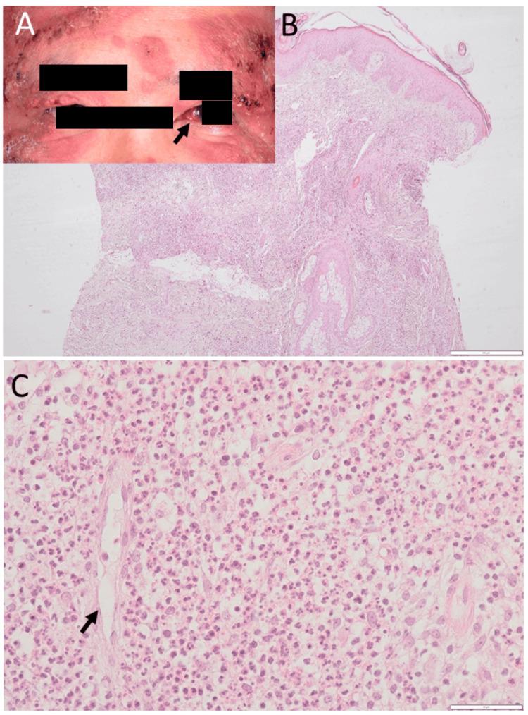
Pyoderma gangrenosum is a non-infectious autoimmune disease with skin plaques and ulcers in the entity of neutrophilic dermatosis and may have a background of myelodysplastic syndromes. This study reported a 20-year follow-up of a patient with pyoderma gangrenosum and scleritis who showed chromosomal aberrancy from the initial phase and later in the course developed thrombocythemia. A 51-year-old man presented with widespread indurated erythematous plaques with scaling and pustules on the forehead, bilateral eyelids, and nasal bridge, in addition to nodular scleritis in the left eye and ulcer formation of the plaques in the lower legs. Skin biopsy revealed massive dermal infiltration mainly with neutrophils in the absence of neutrophilic vasculitis. Suspected of myelodysplastic syndromes, bone marrow biopsy was normal, while chromosomal aberrancy, 46, XY, del (20) (q11q13.3), was detected. In the diagnosis of neutrophilic dermatosis, probably of pyoderma gangrenosum, he began to have oral prednisolone 20 mg daily and colchicine 1 mg daily, leading to the subsidence of skin lesions. Four months later, he developed nodular scleritis in the right eye and began to use topical 0.1% betamethasone in both eyes. He was stable with only prednisolone 12.5 mg daily until the age of 55.5 years, when he showed an increase of serum lactate dehydrogenase. The bone marrow aspirate disclosed neither blast cell increase nor atypical cells. The same chromosomal aberrancy was repeatedly detected. One year later, he developed breathing difficulty and underwent tracheostomy. Laryngeal lesion biopsy disclosed squamous cell papilloma with human papillomavirus-6. At 60 years old, he showed marginal corneal infiltration in the left eye, and at 61 years old, hypopyon in the right eye. Platelets tended to increase up to 1000 × 10/µL, and bone marrow examinations were recommended but refused by the patient. At the latest follow-up at 71 years old, he was ambulatory in health and stable with a tracheostomy cannula. In conclusion, pyoderma gangrenosum with scleritis occurred in an undetermined hematological malignancy with chromosomal aberrancy.

摘要

坏疽性脓皮病是一种非感染性自身免疫性疾病,属于嗜中性皮病范畴,表现为皮肤斑块和溃疡,可能伴有骨髓增生异常综合征背景。本研究报告了一名患有坏疽性脓皮病和巩膜炎的患者长达20年的随访情况,该患者从疾病初期就出现染色体异常,随后病程中发展为血小板增多症。一名51岁男性,前额、双侧眼睑和鼻梁出现广泛的硬结性红斑斑块,伴有鳞屑和脓疱,此外左眼患有结节性巩膜炎,小腿斑块形成溃疡。皮肤活检显示真皮大量浸润,主要为中性粒细胞浸润,无嗜中性血管炎。怀疑患有骨髓增生异常综合征,骨髓活检正常,但检测到染色体异常,核型为46, XY, del(20)(q11q13.3)。在诊断为可能是坏疽性脓皮病的嗜中性皮病后,他开始每日口服泼尼松龙20 mg和秋水仙碱1 mg,皮肤病变逐渐消退。四个月后,他右眼出现结节性巩膜炎,开始双眼使用0.1%倍他米松滴眼液。在55.5岁之前,他仅每日服用12.5 mg泼尼松龙病情稳定,此时他血清乳酸脱氢酶升高。骨髓穿刺未发现原始细胞增多或非典型细胞。反复检测到相同的染色体异常。一年后,他出现呼吸困难并接受了气管切开术。喉部病变活检显示为伴有6型人乳头瘤病毒的鳞状细胞乳头瘤。60岁时,他左眼出现角膜边缘浸润,61岁时右眼出现前房积脓。血小板计数逐渐升高至1000×10⁹/L,建议进行骨髓检查,但患者拒绝。在71岁的最后一次随访中,他健康状况尚可,带着气管切开套管病情稳定。总之,坏疽性脓皮病合并巩膜炎发生于一种伴有染色体异常的未明确血液系统恶性肿瘤患者。

https://cdn.ncbi.nlm.nih.gov/pmc/blobs/ede9/12082377/ad6632b0b503/cureus-0017-00000082348-i06.jpg
https://cdn.ncbi.nlm.nih.gov/pmc/blobs/ede9/12082377/8936798dce49/cureus-0017-00000082348-i01.jpg
https://cdn.ncbi.nlm.nih.gov/pmc/blobs/ede9/12082377/78edaa823014/cureus-0017-00000082348-i02.jpg
https://cdn.ncbi.nlm.nih.gov/pmc/blobs/ede9/12082377/089c6b8ac144/cureus-0017-00000082348-i03.jpg
https://cdn.ncbi.nlm.nih.gov/pmc/blobs/ede9/12082377/9ebf9458d045/cureus-0017-00000082348-i04.jpg
https://cdn.ncbi.nlm.nih.gov/pmc/blobs/ede9/12082377/8dcf0aa316ec/cureus-0017-00000082348-i05.jpg
https://cdn.ncbi.nlm.nih.gov/pmc/blobs/ede9/12082377/ad6632b0b503/cureus-0017-00000082348-i06.jpg
https://cdn.ncbi.nlm.nih.gov/pmc/blobs/ede9/12082377/8936798dce49/cureus-0017-00000082348-i01.jpg
https://cdn.ncbi.nlm.nih.gov/pmc/blobs/ede9/12082377/78edaa823014/cureus-0017-00000082348-i02.jpg
https://cdn.ncbi.nlm.nih.gov/pmc/blobs/ede9/12082377/089c6b8ac144/cureus-0017-00000082348-i03.jpg
https://cdn.ncbi.nlm.nih.gov/pmc/blobs/ede9/12082377/9ebf9458d045/cureus-0017-00000082348-i04.jpg
https://cdn.ncbi.nlm.nih.gov/pmc/blobs/ede9/12082377/8dcf0aa316ec/cureus-0017-00000082348-i05.jpg
https://cdn.ncbi.nlm.nih.gov/pmc/blobs/ede9/12082377/ad6632b0b503/cureus-0017-00000082348-i06.jpg

相似文献

1
Bilateral Scleritis and Neutrophilic Dermatosis With Cytogenetic Chromosomal Aberrancy Related to Pyoderma Gangrenosum: A Case Report of a 20-Year Follow-Up.双侧巩膜炎及与坏疽性脓皮病相关的伴有细胞遗传学染色体畸变的嗜中性皮肤病:一例20年随访病例报告
Cureus. 2025 Apr 16;17(4):e82348. doi: 10.7759/cureus.82348. eCollection 2025 Apr.
2
Neutrophilic Dermatosis of the Hands: A Case Report.手部嗜中性皮病:一例报告。
Acta Dermatovenerol Croat. 2023 Dec;31(3):148-50.
3
Neutrophilic dermatoses: a review of current treatment options.嗜中性皮肤病:当前治疗选择综述
Am J Clin Dermatol. 2009;10(5):301-12. doi: 10.2165/11310730-000000000-00000.
4
[Neutrophilic dermatosis associated with propylthiouracil-induced p-ANCA (p-antineutrophil cytoplasmic antibodies)].与丙硫氧嘧啶诱导的抗中性粒细胞胞质抗体(p-ANCA)相关的嗜中性皮病
Ann Dermatol Venereol. 2005 Jan;132(1):27-31. doi: 10.1016/s0151-9638(05)79191-2.
5
Generalized Pyoderma Gangrenosum Associated with Ulcerative Colitis: Successful Treatment with Infliximab and Azathioprine.与溃疡性结肠炎相关的泛发性坏疽性脓皮病:英夫利昔单抗和硫唑嘌呤治疗成功
Acta Dermatovenerol Croat. 2016 Apr;24(1):83-5.
6
Three cases of subcorneal pustular dermatosis with immunohistochemical examinations.三例亚急性脓疱性皮病的免疫组织化学检查。
J Dermatol. 2023 Sep;50(9):1150-1155. doi: 10.1111/1346-8138.16850. Epub 2023 Jun 8.
7
[Neutrophilic dermatosis of the hands].[手部嗜中性皮病]
Ann Dermatol Venereol. 2011 Oct;138(10):673-6. doi: 10.1016/j.annder.2011.05.008. Epub 2011 Jun 25.
8
Extraintestinal Manifestations of Inflammatory Bowel Disease炎症性肠病的肠外表现
9
The relationship between neutrophilic dermatosis of the dorsal hands and sweet syndrome: report of 9 cases and comparison to atypical pyoderma gangrenosum.手背嗜中性皮病与Sweet综合征的关系:9例报告及与非典型坏疽性脓皮病的比较
Arch Dermatol. 2006 Jan;142(1):57-63. doi: 10.1001/archderm.142.1.57.
10
Tracheobronchial pulmonary disease associated with pyoderma gangrenosum.与坏疽性脓皮病相关的气管支气管肺部疾病
Mayo Clin Proc. 2009 Jun;84(6):555-7. doi: 10.4065/84.6.555.

本文引用的文献

1
VEXAS syndrome: A review of cutaneous findings and treatments in an emerging autoinflammatory disease.VEXAS 综合征:一种新兴自身炎症性疾病的皮肤表现和治疗的综述。
Exp Dermatol. 2024 Mar;33(3):e15050. doi: 10.1111/exd.15050.
2
Neutrophilic and eosinophilic dermatoses associated with hematological malignancy.与血液系统恶性肿瘤相关的中性粒细胞性和嗜酸性粒细胞性皮肤病。
Front Med (Lausanne). 2024 Jan 5;10:1324258. doi: 10.3389/fmed.2023.1324258. eCollection 2023.
3
ANCA-associated vasculitis with scleritis, corneal melt, and perforation rescued by rituximab: Case report and literature review.
利妥昔单抗挽救的伴巩膜炎、角膜溶解和穿孔的抗中性粒细胞胞浆抗体相关性血管炎:病例报告及文献综述
Clin Case Rep. 2023 Jun 20;11(6):e7595. doi: 10.1002/ccr3.7595. eCollection 2023 Jun.
4
Myelodysplastic syndromes: 2023 update on diagnosis, risk-stratification, and management.骨髓增生异常综合征:2023 年关于诊断、风险分层和治疗的更新。
Am J Hematol. 2023 Aug;98(8):1307-1325. doi: 10.1002/ajh.26984. Epub 2023 Jun 8.
5
Rheumatoid Arthritis Associated Episcleritis and Scleritis: An Update on Treatment Perspectives.类风湿关节炎相关的表层巩膜炎和巩膜炎:治疗前景的最新进展
J Clin Med. 2021 May 14;10(10):2118. doi: 10.3390/jcm10102118.
6
Myelodysplastic syndrome/myeloproliferative neoplasm overlap syndromes: a focused review.骨髓增生异常综合征/骨髓增殖性肿瘤重叠综合征:重点综述。
Hematology Am Soc Hematol Educ Program. 2020 Dec 4;2020(1):460-464. doi: 10.1182/hematology.2020000163.
7
Hemorrhage in Essential Thrombocythemia or Polycythemia Vera: Epidemiology, Location, Risk Factors, and Lessons Learned from the Literature.原发性血小板增多症或真性红细胞增多症中的出血:流行病学、部位、危险因素及文献经验教训
Thromb Haemost. 2021 May;121(5):553-564. doi: 10.1055/s-0040-1720979. Epub 2020 Nov 13.
8
Sweet's syndrome associated with hematological malignancies.Sweet 综合征与血液系统恶性肿瘤相关。
Leuk Res. 2020 Dec;99:106461. doi: 10.1016/j.leukres.2020.106461. Epub 2020 Oct 16.
9
Pyoderma gangrenosum in hematologic malignancies: A systematic review.血液系统恶性肿瘤中的坏疽性脓皮病:一项系统综述。
J Am Acad Dermatol. 2020 Jun;82(6):1346-1359. doi: 10.1016/j.jaad.2019.09.032. Epub 2019 Sep 24.
10
Extracutaneous involvement of pyoderma gangrenosum.坏疽性脓皮病的皮肤外表现。
Arch Dermatol Res. 2019 Aug;311(6):425-434. doi: 10.1007/s00403-019-01912-1. Epub 2019 Mar 29.