Xi'an Key Laboratory of Stem Cell and Regenerative Medicine, Institute of Medical Research, Northwestern Polytechnical University, Xi'an, China.
Department of Nutrition, First Affiliated Hospital of Xi'an Jiaotong University, Xi'an, China.
Cancer Biol Ther. 2023 Dec 31;24(1):2226421. doi: 10.1080/15384047.2023.2226421.
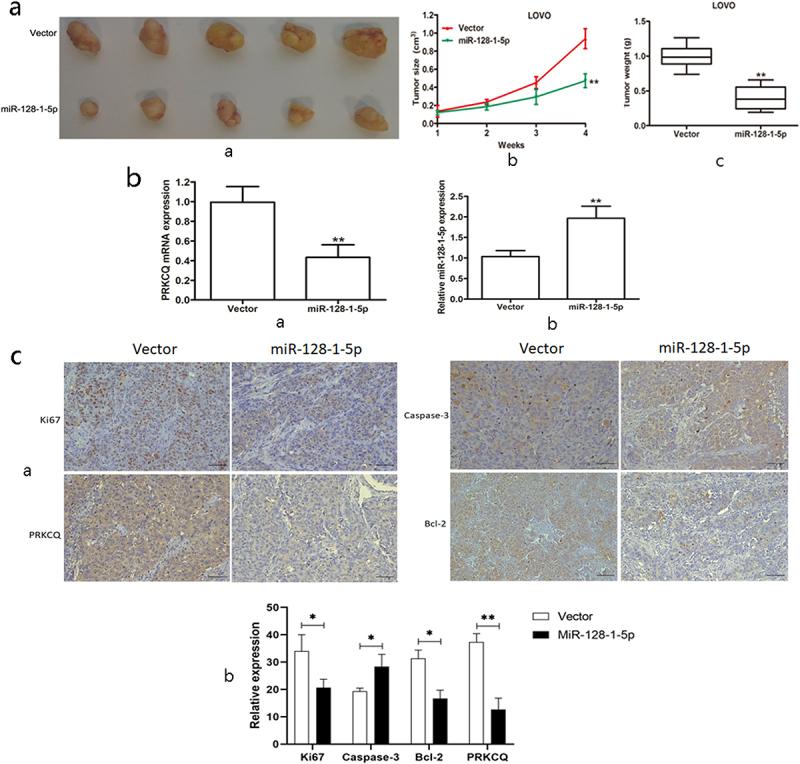
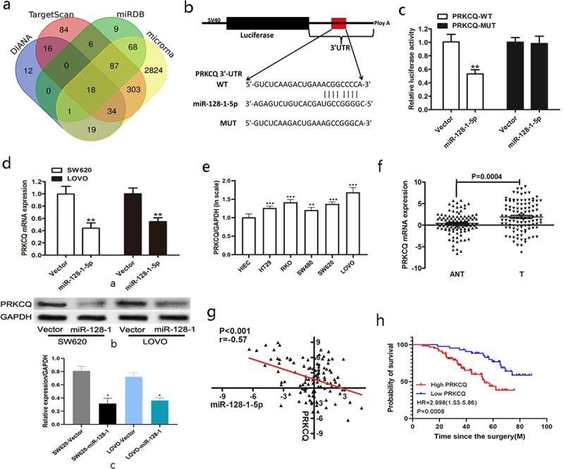
Previous studies have indicated that miR-128 was downregulated in a variety of cancers including colorectal cancer (CRC). However, the role and the underlying molecular mechanisms of miR-128 in CRC still remain largely unknown. The aim of this study was to investigate the level of miR-128-1-5p in CRC patients and to explore both the effects and regulatory mechanisms of miR-128-1-5p in the malignancy of CRC. Real-time PCR and western blot were used to analyze the expression levels of miR-128-1-5p and the direct downstream target protein tyrosine kinase C theta isoform (PRKCQ). Cell Counting Kit-8, clone formation, TUNEL apoptosis assays, and subcutaneous tumor model were performed to investigate the malignant ability of colon cancer cells. A luciferase assay was performed to explore whether miR-128-1-5p could directly bind to 3'-UTR region of PRKCQ. In the present study, we detected the decreased expression and clinical significances of miR-128-1-5p in colorectal cancer tissues and cell lines. Functional experiments revealed that miR-128-1-5p inhibited cell proliferation and induced cell apoptosis and that PRKCQ was identified as a target of miR-128-1-5p and involved in miR-128-1-5p-mediated proliferation and apoptosis. In conclusion, our results showed that miR-128-1-5p reduced CRC growth by modulating PRKCQ expression and is a possible new therapeutic target for patients with CRC.
先前的研究表明,miR-128 在包括结直肠癌(CRC)在内的多种癌症中下调。然而,miR-128 在 CRC 中的作用及其潜在的分子机制在很大程度上仍然未知。本研究旨在探讨 CRC 患者中 miR-128-1-5p 的水平,并探索 miR-128-1-5p 在 CRC 恶性肿瘤中的作用和调节机制。实时 PCR 和 Western blot 用于分析 miR-128-1-5p 和直接下游靶蛋白酪氨酸激酶 C theta 同工型(PRKCQ)的表达水平。细胞计数试剂盒-8、克隆形成、TUNEL 凋亡检测和皮下肿瘤模型用于研究结肠癌细胞的恶性能力。荧光素酶测定用于探索 miR-128-1-5p 是否可以直接结合 PRKCQ 的 3'-UTR 区域。在本研究中,我们检测到 miR-128-1-5p 在结直肠癌组织和细胞系中的表达降低及其临床意义。功能实验表明,miR-128-1-5p 抑制细胞增殖并诱导细胞凋亡,并且 PRKCQ 被鉴定为 miR-128-1-5p 的靶标并参与 miR-128-1-5p 介导的增殖和凋亡。总之,我们的结果表明,miR-128-1-5p 通过调节 PRKCQ 的表达来降低 CRC 的生长,这可能是 CRC 患者的一个新的治疗靶点。