• 文献检索
  • 文档翻译
  • 深度研究
  • 学术资讯
  • Suppr Zotero 插件Zotero 插件
  • 邀请有礼
  • 套餐&价格
  • 历史记录
应用&插件
Suppr Zotero 插件Zotero 插件浏览器插件Mac 客户端Windows 客户端微信小程序
定价
高级版会员购买积分包购买API积分包
服务
文献检索文档翻译深度研究API 文档MCP 服务
关于我们
关于 Suppr公司介绍联系我们用户协议隐私条款
关注我们

Suppr 超能文献

核心技术专利:CN118964589B侵权必究
粤ICP备2023148730 号-1Suppr @ 2026

文献检索

告别复杂PubMed语法,用中文像聊天一样搜索,搜遍4000万医学文献。AI智能推荐,让科研检索更轻松。

立即免费搜索

文件翻译

保留排版,准确专业,支持PDF/Word/PPT等文件格式,支持 12+语言互译。

免费翻译文档

深度研究

AI帮你快速写综述,25分钟生成高质量综述,智能提取关键信息,辅助科研写作。

立即免费体验

比较分泌信号肽在.中异源表达抗脂多糖因子 3 的能力。

Comparing the Ability of Secretory Signal Peptides for Heterologous Expression of Anti-Lipopolysaccharide Factor 3 in .

机构信息

Guangdong Technology Research Center for Marine Algal Bioengineering, College of Life Sciences and Oceanography, Shenzhen University, Shenzhen 518060, China.

Shenzhen Engineering Laboratory for Marine Algal Biological Development and Application, College of Life Sciences and Oceanography, Shenzhen University, Shenzhen 518060, China.

出版信息

Mar Drugs. 2023 Jun 4;21(6):346. doi: 10.3390/md21060346.

DOI:10.3390/md21060346
PMID:37367671
原文链接:https://pmc.ncbi.nlm.nih.gov/articles/PMC10301575/
Abstract

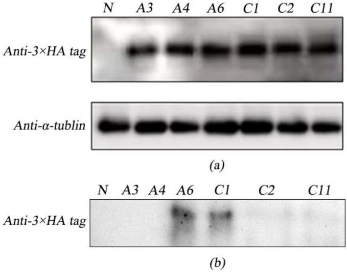
Anti-lipopolysaccharide factor 3 (ALF3) possesses a wide antimicrobial spectrum and high antibacterial and viral activities for broad application prospects in the aquaculture industry. However, the application of ALF3 is limited by its low production in nature, as well as its low activity when expressed in and yeast. Although it has been proven that its secretory expression can be used to produce antimicrobial peptides with strong antimicrobial activity, there is no study on the high-efficiency secretory expression of ALF3 in . In this study, signal peptides ARS1 and CAH1 were fused with ALF3 and inserted into the pESVH vector to construct pH-aALF and pH-cALF plasmids, respectively, that were transformed to JUV using the glass bead method. Subsequently, through antibiotic screening, DNA-PCR, and RT-PCR, transformants expressing ALF3 were confirmed and named T-JaA and T-JcA, respectively. The peptide ALF3 could be detected in algal cells and culture medium by immunoblot, meaning that ALF3 was successfully expressed in and secreted into the extracellular environment. Moreover, ALF3 extracts from the culture media of T-JaA and T-JcA showed significant inhibitory effects on the growth of , , , and within 24 h. Interestingly, the inhibitory rate of c-ALF3 from T-JcA against four Vibrio was 2.77 to 6.23 times greater than that of a-ALF3 from T-JaA, indicating that the CAH1 signal peptide was more helpful in enhancing the secreted expression of the ALF3 peptide. Our results provided a new strategy for the secretory production of ALF3 with high antibacterial activity in , which could improve the application potentiality of ALF3 in the aquaculture industry.

摘要

抗脂多糖因子 3(ALF3)具有广谱抗菌谱和高效的抗菌和抗病毒活性,在水产养殖行业具有广阔的应用前景。然而,由于其在自然界中的产量低,以及在 和酵母中表达时活性低,其应用受到限制。尽管已经证明其分泌表达可用于产生具有强抗菌活性的抗菌肽,但尚未研究 ALF3 在 中的高效分泌表达。在本研究中,ARS1 和 CAH1 信号肽与 ALF3 融合,并分别插入到 pESVH 载体中,构建了 pH-aALF 和 pH-cALF 质粒,然后使用玻璃珠法转化到 JUV 中。随后,通过抗生素筛选、DNA-PCR 和 RT-PCR,证实并分别命名为表达 ALF3 的转化子为 T-JaA 和 T-JcA。免疫印迹可在藻类细胞和培养基中检测到肽 ALF3,表明 ALF3 在 中成功表达并分泌到细胞外环境中。此外,T-JaA 和 T-JcA 培养物中的 ALF3 提取物在 24 h 内对 、 、 和 的生长表现出显著的抑制作用。有趣的是,T-JcA 中的 c-ALF3 对四种弧菌的抑制率比 T-JaA 中的 a-ALF3 高 2.77 至 6.23 倍,表明 CAH1 信号肽更有助于增强 ALF3 肽的分泌表达。我们的结果为在 中具有高效抗菌活性的 ALF3 的分泌生产提供了一种新策略,可提高 ALF3 在水产养殖行业中的应用潜力。

https://cdn.ncbi.nlm.nih.gov/pmc/blobs/c39d/10301575/76feb3345ae5/marinedrugs-21-00346-g005.jpg
https://cdn.ncbi.nlm.nih.gov/pmc/blobs/c39d/10301575/b9dd94b46f17/marinedrugs-21-00346-g001.jpg
https://cdn.ncbi.nlm.nih.gov/pmc/blobs/c39d/10301575/38707d5aa683/marinedrugs-21-00346-g002.jpg
https://cdn.ncbi.nlm.nih.gov/pmc/blobs/c39d/10301575/1de1fe3dd693/marinedrugs-21-00346-g003.jpg
https://cdn.ncbi.nlm.nih.gov/pmc/blobs/c39d/10301575/8e9c9a816fc5/marinedrugs-21-00346-g004.jpg
https://cdn.ncbi.nlm.nih.gov/pmc/blobs/c39d/10301575/76feb3345ae5/marinedrugs-21-00346-g005.jpg
https://cdn.ncbi.nlm.nih.gov/pmc/blobs/c39d/10301575/b9dd94b46f17/marinedrugs-21-00346-g001.jpg
https://cdn.ncbi.nlm.nih.gov/pmc/blobs/c39d/10301575/38707d5aa683/marinedrugs-21-00346-g002.jpg
https://cdn.ncbi.nlm.nih.gov/pmc/blobs/c39d/10301575/1de1fe3dd693/marinedrugs-21-00346-g003.jpg
https://cdn.ncbi.nlm.nih.gov/pmc/blobs/c39d/10301575/8e9c9a816fc5/marinedrugs-21-00346-g004.jpg
https://cdn.ncbi.nlm.nih.gov/pmc/blobs/c39d/10301575/76feb3345ae5/marinedrugs-21-00346-g005.jpg

相似文献

1
Comparing the Ability of Secretory Signal Peptides for Heterologous Expression of Anti-Lipopolysaccharide Factor 3 in .比较分泌信号肽在.中异源表达抗脂多糖因子 3 的能力。
Mar Drugs. 2023 Jun 4;21(6):346. doi: 10.3390/md21060346.
2
Secretory Expression and Application of Antilipopolysaccharide Factor 3 in .抗脂多糖因子3在……中的分泌表达及应用
Bioengineering (Basel). 2023 May 8;10(5):564. doi: 10.3390/bioengineering10050564.
3
Expression of Anti-Lipopolysaccharide Factor Isoform 3 in Showing High Antimicrobial Activity.抗脂多糖因子异构体 3 的表达在显示高抗菌活性中。
Mar Drugs. 2021 Apr 23;19(5):239. doi: 10.3390/md19050239.
4
Efficient recombinant protein production and secretion from nuclear transgenes in Chlamydomonas reinhardtii.高效的重组蛋白生产和分泌从核转基因在衣藻。
J Biotechnol. 2013 Aug 20;167(2):101-10. doi: 10.1016/j.jbiotec.2012.10.010. Epub 2012 Oct 22.
5
Roles of qseC mutation in bacterial resistance against anti-lipopolysaccharide factor isoform 3 (ALFPm3).qseC 突变在细菌对抗脂多糖因子异构体 3(ALFPm3)中的作用。
PLoS One. 2023 Jun 2;18(6):e0286764. doi: 10.1371/journal.pone.0286764. eCollection 2023.
6
Biosynthesis and Secretion of Human Tissue Kallikrein in Transgenic .转基因. 中人类组织激肽释放酶的生物合成和分泌
Mar Drugs. 2018 Dec 7;16(12):493. doi: 10.3390/md16120493.
7
Effect of the anti-lipopolysaccharide factor isoform 3 (ALFPm3) from Penaeus monodon on Vibrio harveyi cells.凡纳滨对虾抗脂多糖因子异构体 3(ALFPm3)对哈维氏弧菌细胞的影响。
Dev Comp Immunol. 2012 Dec;38(4):554-60. doi: 10.1016/j.dci.2012.09.001. Epub 2012 Sep 20.
8
Localization of anti-lipopolysaccharide factor (ALFPm3) in tissues of the black tiger shrimp, Penaeus monodon, and characterization of its binding properties.斑节对虾抗脂多糖因子(ALFPm3)在组织中的定位及其结合特性的表征
Dev Comp Immunol. 2008;32(10):1170-6. doi: 10.1016/j.dci.2008.03.008. Epub 2008 Apr 16.
9
Multimer of the antimicrobial peptide Mytichitin-A expressed in Chlamydomonas reinhardtii exerts a broader antibacterial spectrum and increased potency.在莱茵衣藻中表达的抗菌肽Mytichitin-A的多聚体具有更广泛的抗菌谱和更高的效力。
J Biosci Bioeng. 2018 Feb;125(2):175-179. doi: 10.1016/j.jbiosc.2017.08.021. Epub 2017 Oct 20.
10
Comparison of secretory signal peptides for heterologous protein expression in microalgae: Expanding the secretion portfolio for Chlamydomonas reinhardtii.微藻中用于异源蛋白表达的分泌信号肽比较:拓展莱茵衣藻的分泌组合
PLoS One. 2018 Feb 6;13(2):e0192433. doi: 10.1371/journal.pone.0192433. eCollection 2018.

引用本文的文献

1
Heterologous Expression and Antimicrobial Targets of a Novel Glycine-Rich Antimicrobial Peptide from .来自……的一种新型富含甘氨酸抗菌肽的异源表达及抗菌靶点
Mar Drugs. 2025 Aug 17;23(8):330. doi: 10.3390/md23080330.
2
Heterologous Expression and Antimicrobial Mechanism of a Cysteine-Rich Peptide from Barnacle .藤壶富含半胱氨酸肽的异源表达及抗菌机制
Microorganisms. 2025 Jun 13;13(6):1381. doi: 10.3390/microorganisms13061381.

本文引用的文献

1
A novel anti-lipopolysaccharide factor from blue swimmer crab Portunus pelagicus and its cytotoxic effect on the prokaryotic expression host, E. coli on heterologous expression.一种来自远海梭子蟹的新型抗脂多糖因子及其对原核表达宿主大肠杆菌在异源表达时的细胞毒性作用。
J Genet Eng Biotechnol. 2023 Feb 20;21(1):22. doi: 10.1186/s43141-023-00478-w.
2
An Algae-Made RBD from SARS-CoV-2 Is Immunogenic in Mice.一种由藻类制成的新冠病毒受体结合域在小鼠中具有免疫原性。
Pharmaceuticals (Basel). 2022 Oct 21;15(10):1298. doi: 10.3390/ph15101298.
3
Signal Peptide-rheostat Dynamics Delay Secretory Preprotein Folding.
信号肽调谐器动力学延迟分泌前体蛋白的折叠。
J Mol Biol. 2022 Oct 15;434(19):167790. doi: 10.1016/j.jmb.2022.167790. Epub 2022 Aug 12.
4
High-Throughput Screening of Signal Peptide Library with Novel Fluorescent Probe.高通量筛选新型荧光探针信号肽文库。
Chembiochem. 2022 Jun 20;23(12):e202100523. doi: 10.1002/cbic.202100523. Epub 2022 May 11.
5
Recombinant Protein Production and Purification of Insoluble Proteins.重组蛋白的生产和不溶性蛋白的纯化。
Methods Mol Biol. 2022;2406:1-31. doi: 10.1007/978-1-0716-1859-2_1.
6
Expression of Anti-Lipopolysaccharide Factor Isoform 3 in Showing High Antimicrobial Activity.抗脂多糖因子异构体 3 的表达在显示高抗菌活性中。
Mar Drugs. 2021 Apr 23;19(5):239. doi: 10.3390/md19050239.
7
Antibiotic resistance in the environment: a critical insight on its occurrence, fate, and eco-toxicity.环境中的抗生素耐药性:对其发生、命运和生态毒性的重要洞察。
Environ Sci Pollut Res Int. 2021 May;28(20):24889-24916. doi: 10.1007/s11356-021-13143-x. Epub 2021 Mar 25.
8
Designing a new generation of expression toolkits for engineering of green microalgae; robust production of human interleukin-2.设计用于绿色微藻工程的新一代表达工具包;高效生产人白细胞介素-2。
Bioimpacts. 2020;10(4):259-268. doi: 10.34172/bi.2020.33. Epub 2020 Jul 13.
9
The Potential of Algal Biotechnology to Produce Antiviral Compounds and Biopharmaceuticals.藻类生物技术生产抗病毒化合物和生物制药的潜力。
Molecules. 2020 Sep 4;25(18):4049. doi: 10.3390/molecules25184049.
10
[Effects of different signal peptides on the secretion of human-mouse chimeric CMV-IgM].[不同信号肽对人-鼠嵌合CMV-IgM分泌的影响]
Sheng Wu Gong Cheng Xue Bao. 2020 Jun 25;36(6):1223-1231. doi: 10.13345/j.cjb.190424.