Giacomelli Mauro, Monti Matilde, Pezzola Diego Cesare, Lonardi Silvia, Bugatti Mattia, Missale Francesco, Cioncada Rossella, Melocchi Laura, Giustini Viviana, Villanacci Vincenzo, Baronchelli Carla, Manenti Stefania, Imberti Luisa, Giurisato Emanuele, Vermi William
Department of Pathology, ASST Spedali Civili di Brescia, 25123 Brescia, Italy.
Department of Molecular and Translational Medicine, University of Brescia, 25123 Brescia, Italy.
Cancers (Basel). 2023 Jun 7;15(12):3097. doi: 10.3390/cancers15123097.
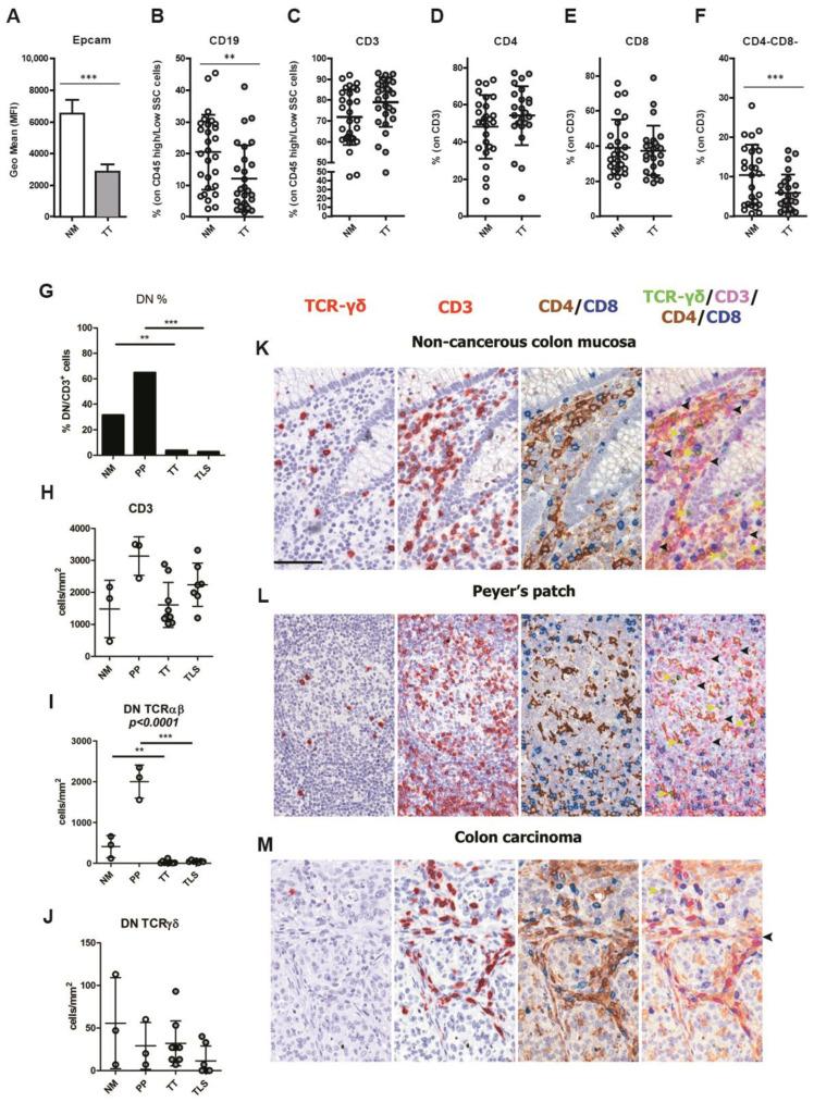
Colorectal carcinoma (CRC) represents a lethal disease with heterogeneous outcomes. Only patients with mismatch repair (MMR) deficient CRC showing microsatellite instability and hyper-mutated tumors can obtain clinical benefits from current immune checkpoint blockades; on the other hand, immune- or target-based therapeutic strategies are very limited for subjects with mismatch repair proficient CRC (CRC). Here, we report a comprehensive typing of immune infiltrating cells in CRC. We also tested the expression and interferon-γ-modulation of PD-L1/CD274. Relevant findings were subsequently validated by immunohistochemistry on fixed materials. CRC contain a significantly increased fraction of CD163 macrophages (TAMs) expressing TREM2 and CD66 neutrophils (TANs) together with decrease in CD4CD8CD3 double negative T lymphocytes (DNTs); no differences were revealed by the analysis of conventional and plasmacytoid dendritic cell populations. A fraction of tumor-infiltrating T-cells displays an exhausted phenotype, co-expressing PD-1 and TIM-3. Remarkably, expression of PD-L1 on fresh tumor cells and TAMs was undetectable even after in vitro stimulation with interferon-γ. These findings confirm the immune suppressive microenvironment of CRC characterized by dense infiltration of TAMs, occurrence of TANs, lack of DNTs, T-cell exhaustion, and interferon-γ unresponsiveness by host and tumor cells. Appropriate bypass strategies should consider these combinations of immune escape mechanisms in CRC.
结直肠癌(CRC)是一种具有异质性预后的致命疾病。只有错配修复(MMR)缺陷的CRC患者,其肿瘤表现为微卫星不稳定和高度突变,才能从当前的免疫检查点阻断治疗中获得临床益处;另一方面,对于错配修复功能正常的CRC患者,基于免疫或靶向的治疗策略非常有限。在此,我们报告了CRC中免疫浸润细胞的全面分型。我们还检测了程序性死亡受体配体1(PD-L1/CD274)的表达及其干扰素-γ调节作用。随后,通过对固定材料进行免疫组织化学验证了相关发现。CRC中表达触发受体2(TREM2)的CD163巨噬细胞(TAM)和CD66中性粒细胞(TAN)的比例显著增加,同时CD4⁺CD8⁻CD3⁻双阴性T淋巴细胞(DNT)减少;对常规树突状细胞和浆细胞样树突状细胞群体的分析未发现差异。一部分肿瘤浸润性T细胞表现出耗竭表型,共表达程序性死亡受体1(PD-1)和T细胞免疫球蛋白和粘蛋白结构域分子3(TIM-3)。值得注意的是,即使在用干扰素-γ进行体外刺激后,新鲜肿瘤细胞和TAM上也未检测到PD-L1的表达。这些发现证实了CRC的免疫抑制微环境,其特征为TAM的密集浸润、TAN的出现、DNT的缺乏、T细胞耗竭以及宿主和肿瘤细胞对干扰素-γ无反应。合适的旁路策略应考虑CRC中这些免疫逃逸机制的组合。