Suppr超能文献

一名肿瘤患者体内废弃的心内电极

Abandoned Intracardiac Electrodes in an Oncological Patient.

作者信息

Klotzka Aneta, Iwańczyk Sylwia, Sobańska Karolina, Mitkowski Przemysław, Woźniak Patrycja, Lesiak Maciej

机构信息

Department of Cardiology, Poznan University of Medical Sciences, Długa 1/2 Street, 61-848 Poznan, Poland.

出版信息

J Pers Med. 2023 May 26;13(6):896. doi: 10.3390/jpm13060896.

Abstract

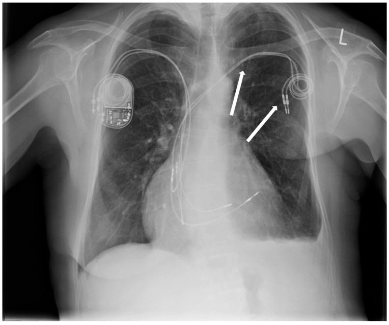
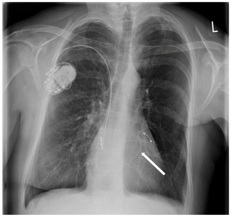
Cardiological and oncological patients comprise the majority of patients admitted to the emergency unit with chronic or acute conditions that are the dominant cause of death worldwide. However, electrotherapy and implantable devices (pacemakers and cardioverters) improve the prognosis of cardiological patients. We present the case report of a patient who, in the past, had a pacemaker implanted due to symptomatic sick sinus syndrome (SSS) without removing the two remaining leads. Echocardiography revealed severe tricuspid valve regurgitation. The tricuspid valve septal cusp was in a restricting position due to the two ventricular leads passing through the valve. A few years later, she was diagnosed with breast cancer. We present a 65-year-old female admitted to the department due to right ventricular failure. The patient manifested symptoms of right heart failure, predominated by ascites and lower extremity edema, despite increasing doses of diuretics. The patient underwent a mastectomy two years ago due to breast cancer and was qualified for thorax radiotherapy. A new pacemaker system was implanted in the right subclavian area as the pacemaker generator occupied the radiotherapy field. In the case of right ventricular lead removal and the need for pacing and resynchronization therapy, guidelines allow a coronary sinus for LV pacing to avoid passing the leads through the tricuspid valve. We facilitated this approach in our patient, suggesting that the percentage of ventricular pacing was very low.

摘要

心脏病患者和肿瘤患者占因慢性或急性疾病入住急诊科患者的大多数,这些疾病是全球主要的死亡原因。然而,电疗法和植入式设备(起搏器和心脏复律器)可改善心脏病患者的预后。我们报告一例患者,该患者过去因症状性病态窦房结综合征(SSS)植入了起搏器,但未取出剩余的两根导线。超声心动图显示严重三尖瓣反流。由于两根心室导线穿过瓣膜,三尖瓣隔叶处于受限位置。几年后,她被诊断出患有乳腺癌。我们介绍一名65岁女性因右心室衰竭入住该科室。尽管利尿剂剂量不断增加,但患者仍表现出以腹水和下肢水肿为主的右心衰竭症状。该患者两年前因乳腺癌接受了乳房切除术,并符合胸部放疗条件。由于起搏器发生器占据放疗区域,在右锁骨下区域植入了新的起搏器系统。在需要移除右心室导线并进行起搏和再同步治疗的情况下,指南允许通过冠状窦进行左心室起搏,以避免导线穿过三尖瓣。我们在患者中采用了这种方法,表明心室起搏的百分比非常低。

https://cdn.ncbi.nlm.nih.gov/pmc/blobs/644e/10303016/6ffd174ac236/jpm-13-00896-g001.jpg

文献AI研究员

20分钟写一篇综述,助力文献阅读效率提升50倍。

立即体验

用中文搜PubMed

大模型驱动的PubMed中文搜索引擎

马上搜索

文档翻译

学术文献翻译模型,支持多种主流文档格式。

立即体验