• 文献检索
  • 文档翻译
  • 深度研究
  • 学术资讯
  • Suppr Zotero 插件Zotero 插件
  • 邀请有礼
  • 套餐&价格
  • 历史记录
应用&插件
Suppr Zotero 插件Zotero 插件浏览器插件Mac 客户端Windows 客户端微信小程序
定价
高级版会员购买积分包购买API积分包
服务
文献检索文档翻译深度研究API 文档MCP 服务
关于我们
关于 Suppr公司介绍联系我们用户协议隐私条款
关注我们

Suppr 超能文献

核心技术专利:CN118964589B侵权必究
粤ICP备2023148730 号-1Suppr @ 2026

文献检索

告别复杂PubMed语法,用中文像聊天一样搜索,搜遍4000万医学文献。AI智能推荐,让科研检索更轻松。

立即免费搜索

文件翻译

保留排版,准确专业,支持PDF/Word/PPT等文件格式,支持 12+语言互译。

免费翻译文档

深度研究

AI帮你快速写综述,25分钟生成高质量综述,智能提取关键信息,辅助科研写作。

立即免费体验

来自红番石榴(L.)的番茄红素:从肝脏保护作用到作为用于抗炎和抗氧化应用的有前景的自乳化药物递送系统的用途

Lycopene from Red Guava ( L.): From Hepatoprotective Effect to Its Use as Promising Self-Emulsifying Drug Delivery System for Anti-Inflammatory and Antioxidant Applications.

作者信息

Alves Maíra Bernardes, Vasconcelos Andreanne Gomes, Silva de Carvalho Amandda Évelin, Slompo Robson Camilotti, Sá Bruno Silva, Gonçalves Maria Júlia Lima, Lima Moura Liz Nayara Ribeiro da Costa, Brito Ana Karolinne da Silva, França José Vinícius de Sousa, Martins Maria do Carmo de Carvalho E, Rizzo Márcia Dos Santos, Soares Susana, Bastos Verónica, Saldanha de Araujo Felipe, Mogharbel Bassam Felipe, Carvalho Katherine Athayde Teixeira de, Oliveira Helena, Plácido Alexandra, Arcanjo Daniel Dias Rufino, Barbosa Eder Alves, Leite José Roberto de Souza de Almeida

机构信息

Núcleo de Pesquisa em Morfologia e Imunologia Aplicada, NuPMIA, Faculdade de Medicina, Universidade de Brasília (UnB), Brasília 70910-900, Brazil.

Department of Biomedicine, Centro Universitário do Distrito Federal (UDF), Brasília 70390-045, Brazil.

出版信息

Pharmaceuticals (Basel). 2023 Jun 20;16(6):905. doi: 10.3390/ph16060905.

DOI:10.3390/ph16060905
PMID:37375852
原文链接:
https://pmc.ncbi.nlm.nih.gov/articles/PMC10301544/
Abstract

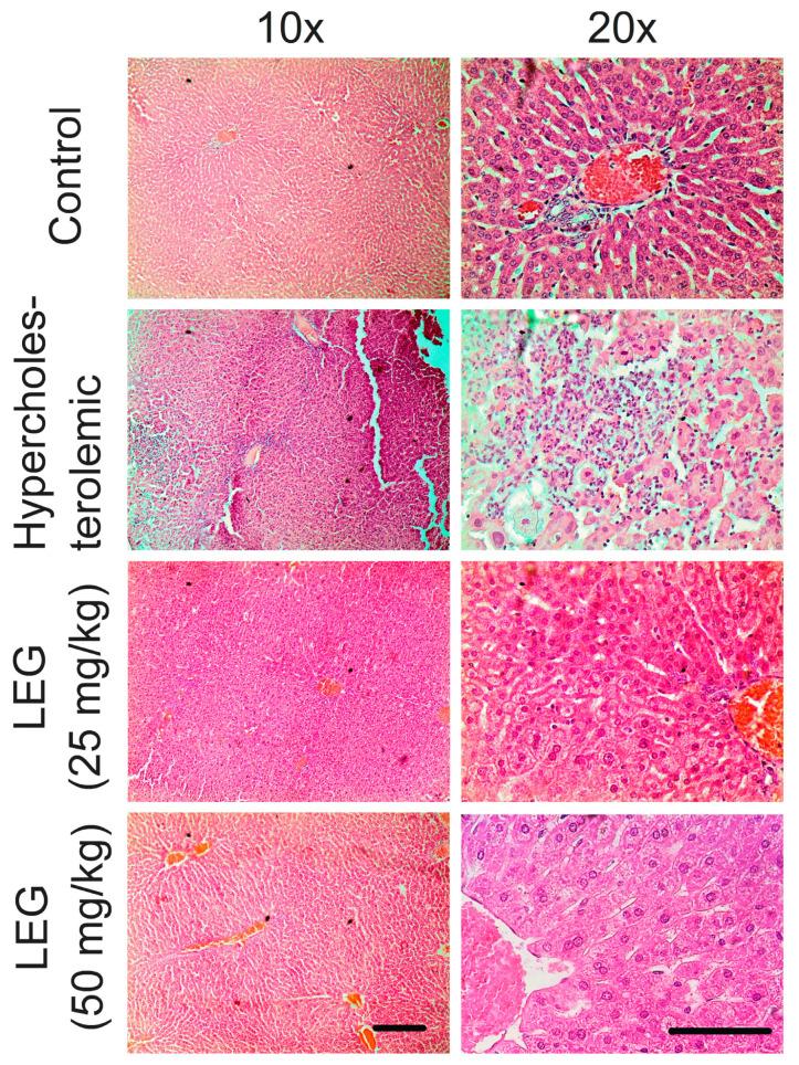
Lycopene is a carotenoid with potential use in the treatment of chronic illnesses. Here, different formulations of lycopene were studied: lycopene-rich extract from red guava (LEG), purified lycopene from red guava (LPG) and a self-emulsifying drug delivery system loaded with LPG (nanoLPG). The effects of administering orally various doses of LEG to hypercholesterolemic hamsters were evaluated regarding the liver function of the animals. The cytotoxicity of LPG in Vero cells was analyzed by a crystal violet assay and by fluorescence microscopy. In addition, nanoLPG was employed in stability tests. LPG and nanoLPG were tested for their cytotoxic effect on human keratinocytes and antioxidant capacity on cells in an endothelial dysfunction model in an isolated rat aorta. Finally, the effect of different nanoLPG concentrations on the expression of immune-related genes (, α, and -γ) from peripheral blood mononuclear cells (PBMC) using real-time PCR was also analyzed. Results suggest that LEG, despite not being able to improve blood markers indicative of liver function in hypercholesterolemic hamsters, reduced hepatic degenerative changes. Additionally, LPG did not show cytotoxicity in Vero cells. In relation to nanoLPG, the effects produced by heat stress evaluated by Dynamics Light Scattering (DLS) and visually were loss of color, texture change and phase separation after 15 days without interfering with the droplet size, so the formulation proved to be efficient in stabilizing the encapsulated lycopene. Although LPG and nanoLPG showed moderate toxicity to keratinocytes, which may be related to cell lineage characteristics, both revealed potent antioxidant activity. LPG and nanoLPG showed vasoprotective effects in aortic preparations. The gene expression assay indicates that, although no significant differences were observed in the expression of and , the PBMCs treated with nanoLPG showed a reduction in transcriptional levels of and an increased expression of . Thus, the work adds evidence to the safety of the use of lycopene by humans and shows that tested formulations, mainly nanoLPG due to its stability, stand out as promising and biosafe products for the treatment of diseases that have oxidative stress and inflammation in their etiopathology.

摘要

番茄红素是一种类胡萝卜素,在慢性疾病治疗中具有潜在应用价值。在此,对番茄红素的不同制剂进行了研究:来自红番石榴的富含番茄红素的提取物(LEG)、来自红番石榴的纯化番茄红素(LPG)以及负载LPG的自乳化药物递送系统(nanoLPG)。评估了给高胆固醇血症仓鼠口服不同剂量LEG对动物肝功能的影响。通过结晶紫测定法和荧光显微镜分析了LPG对Vero细胞的细胞毒性。此外,将nanoLPG用于稳定性测试。测试了LPG和nanoLPG对人角质形成细胞的细胞毒性作用以及在离体大鼠主动脉内皮功能障碍模型中对细胞的抗氧化能力。最后,还使用实时PCR分析了不同浓度的nanoLPG对外周血单核细胞(PBMC)中免疫相关基因(、α、和-γ)表达的影响。结果表明,尽管LEG无法改善高胆固醇血症仓鼠中指示肝功能的血液指标,但可减少肝脏退行性变化。此外,LPG在Vero细胞中未显示细胞毒性。关于nanoLPG,通过动态光散射(DLS)评估并直观观察到,热应激在15天后产生的影响包括颜色丧失、质地变化和相分离,但不影响液滴大小,因此该制剂被证明在稳定包封的番茄红素方面是有效的。尽管LPG和nanoLPG对角质形成细胞显示出中度毒性,这可能与细胞谱系特征有关,但两者均显示出强大的抗氧化活性。LPG和nanoLPG在主动脉制剂中显示出血管保护作用。基因表达分析表明,尽管在和的表达中未观察到显著差异,但用nanoLPG处理的PBMC显示转录水平降低,而的表达增加。因此,这项工作为人类使用番茄红素的安全性增加了证据,并表明所测试的制剂,主要是nanoLPG因其稳定性,作为治疗在病因学上具有氧化应激和炎症的疾病的有前景且生物安全的产品脱颖而出。

https://cdn.ncbi.nlm.nih.gov/pmc/blobs/6537/10301544/d8a7bbca4770/pharmaceuticals-16-00905-g009.jpg
https://cdn.ncbi.nlm.nih.gov/pmc/blobs/6537/10301544/99e2b7dc0bdf/pharmaceuticals-16-00905-g001.jpg
https://cdn.ncbi.nlm.nih.gov/pmc/blobs/6537/10301544/86947fc63686/pharmaceuticals-16-00905-g002.jpg
https://cdn.ncbi.nlm.nih.gov/pmc/blobs/6537/10301544/e6a905d821cd/pharmaceuticals-16-00905-g003.jpg
https://cdn.ncbi.nlm.nih.gov/pmc/blobs/6537/10301544/032099f44bf4/pharmaceuticals-16-00905-g004.jpg
https://cdn.ncbi.nlm.nih.gov/pmc/blobs/6537/10301544/d53426ef4172/pharmaceuticals-16-00905-g005.jpg
https://cdn.ncbi.nlm.nih.gov/pmc/blobs/6537/10301544/6938cbf5e18c/pharmaceuticals-16-00905-g006.jpg
https://cdn.ncbi.nlm.nih.gov/pmc/blobs/6537/10301544/450a3c421e5e/pharmaceuticals-16-00905-g007.jpg
https://cdn.ncbi.nlm.nih.gov/pmc/blobs/6537/10301544/956fdf878880/pharmaceuticals-16-00905-g008.jpg
https://cdn.ncbi.nlm.nih.gov/pmc/blobs/6537/10301544/d8a7bbca4770/pharmaceuticals-16-00905-g009.jpg
https://cdn.ncbi.nlm.nih.gov/pmc/blobs/6537/10301544/99e2b7dc0bdf/pharmaceuticals-16-00905-g001.jpg
https://cdn.ncbi.nlm.nih.gov/pmc/blobs/6537/10301544/86947fc63686/pharmaceuticals-16-00905-g002.jpg
https://cdn.ncbi.nlm.nih.gov/pmc/blobs/6537/10301544/e6a905d821cd/pharmaceuticals-16-00905-g003.jpg
https://cdn.ncbi.nlm.nih.gov/pmc/blobs/6537/10301544/032099f44bf4/pharmaceuticals-16-00905-g004.jpg
https://cdn.ncbi.nlm.nih.gov/pmc/blobs/6537/10301544/d53426ef4172/pharmaceuticals-16-00905-g005.jpg
https://cdn.ncbi.nlm.nih.gov/pmc/blobs/6537/10301544/6938cbf5e18c/pharmaceuticals-16-00905-g006.jpg
https://cdn.ncbi.nlm.nih.gov/pmc/blobs/6537/10301544/450a3c421e5e/pharmaceuticals-16-00905-g007.jpg
https://cdn.ncbi.nlm.nih.gov/pmc/blobs/6537/10301544/956fdf878880/pharmaceuticals-16-00905-g008.jpg
https://cdn.ncbi.nlm.nih.gov/pmc/blobs/6537/10301544/d8a7bbca4770/pharmaceuticals-16-00905-g009.jpg

相似文献

1
Lycopene from Red Guava ( L.): From Hepatoprotective Effect to Its Use as Promising Self-Emulsifying Drug Delivery System for Anti-Inflammatory and Antioxidant Applications.来自红番石榴(L.)的番茄红素:从肝脏保护作用到作为用于抗炎和抗氧化应用的有前景的自乳化药物递送系统的用途
Pharmaceuticals (Basel). 2023 Jun 20;16(6):905. doi: 10.3390/ph16060905.
2
Potential Biological Properties of Lycopene in a Self-Emulsifying Drug Delivery System.自乳化药物递送系统中番茄红素的潜在生物学特性。
Molecules. 2023 Jan 26;28(3):1219. doi: 10.3390/molecules28031219.
3
Cytotoxic activity of poly-ɛ-caprolactone lipid-core nanocapsules loaded with lycopene-rich extract from red guava (Psidium guajava L.) on breast cancer cells.负载红番石榴(番石榴)富含番茄红素提取物的聚-ε-己内酯脂质核纳米囊泡对乳腺癌细胞的细胞毒性活性
Food Res Int. 2020 Oct;136:109548. doi: 10.1016/j.foodres.2020.109548. Epub 2020 Jul 15.
4
Lycopene rich extract from red guava (Psidium guajava L.) displays anti-inflammatory and antioxidant profile by reducing suggestive hallmarks of acute inflammatory response in mice.从红色番石榴(Psidium guajava L.)中提取的富含番茄红素的提取物通过降低小鼠急性炎症反应的明显特征显示出抗炎和抗氧化作用。
Food Res Int. 2017 Sep;99(Pt 2):959-968. doi: 10.1016/j.foodres.2017.01.017. Epub 2017 Jan 21.
5
Effects of lycopene from guava ( L.) derived products on breast cancer cells.番石榴来源番茄红素对乳腺癌细胞的影响。
Nat Prod Res. 2022 Mar;36(5):1405-1408. doi: 10.1080/14786419.2021.1880402. Epub 2021 Feb 28.
6
Lycopene-rich extract from red guava (Psidium guajava L.) displays cytotoxic effect against human breast adenocarcinoma cell line MCF-7 via an apoptotic-like pathway.富含番茄红素的红色番石榴(Psidium guajava L.)提取物通过类似凋亡的途径对人乳腺癌腺癌细胞系 MCF-7 显示细胞毒性作用。
Food Res Int. 2018 Mar;105:184-196. doi: 10.1016/j.foodres.2017.10.045. Epub 2017 Oct 27.
7
Acetylated cashew gum and fucan for incorporation of lycopene rich extract from red guava (Psidium guajava L.) in nanostructured systems: Antioxidant and antitumor capacity.乙酰化腰果胶和岩藻聚糖在纳米结构系统中包埋富含番茄红素的红色番石榴(Psidium guajava L.)提取物:抗氧化和抗肿瘤能力。
Int J Biol Macromol. 2021 Nov 30;191:1026-1037. doi: 10.1016/j.ijbiomac.2021.09.116. Epub 2021 Sep 23.
8
Lycopene-Rich Extract from Red Guava ( L.) Decreases Plasma Triglycerides and Improves Oxidative Stress Biomarkers on Experimentally-Induced Dyslipidemia in Hamsters.富含番茄红素的红心番石榴(L.)提取物可降低实验性高脂血症仓鼠的血浆甘油三酯并改善氧化应激生物标志物。
Nutrients. 2019 Feb 13;11(2):393. doi: 10.3390/nu11020393.
9
Lycopene fortification on the quality characteristics of beverage formulations developed from pink flesh guava (Psidium guajava L.).番茄红素强化对由粉红肉番石榴(番石榴属番石榴)制成的饮料配方品质特性的影响。
J Food Sci Technol. 2014 Dec;51(12):4126-31. doi: 10.1007/s13197-013-0932-z. Epub 2013 Feb 21.
10
Silk nanoparticles for the protection and delivery of guava leaf ( L.) extract for cosmetic industry, a new approach for an old herb.丝纳米粒子在番石榴叶(L.)提取物保护和传递中的应用:一种古老草药的新方法,用于化妆品行业。
Drug Deliv. 2023 Dec;30(1):2168793. doi: 10.1080/10717544.2023.2168793.

引用本文的文献

1
L. hydroethanolic extract as endodontic irrigant: phytochemical analysis, antioxidant activity, antimicrobial action and biocompatibility.L.水乙醇提取物作为根管冲洗剂:植物化学分析、抗氧化活性、抗菌作用及生物相容性
PeerJ. 2025 Apr 14;13:e19301. doi: 10.7717/peerj.19301. eCollection 2025.

本文引用的文献

1
The protective effects of flavonoids and carotenoids against diabetic complications-A review of evidence.黄酮类化合物和类胡萝卜素对糖尿病并发症的保护作用——证据综述
Front Nutr. 2023 Mar 24;10:1020950. doi: 10.3389/fnut.2023.1020950. eCollection 2023.
2
Protective effects of lycopene on TiO nanoparticle-induced damage in the liver of mice.番茄红素对二氧化钛纳米颗粒诱导的小鼠肝脏损伤的保护作用。
J Appl Toxicol. 2023 Jun;43(6):913-928. doi: 10.1002/jat.4433. Epub 2023 Feb 9.
3
Natural Carotenoids as Neuroprotective Agents for Alzheimer's Disease: An Evidence-Based Comprehensive Review.
天然类胡萝卜素作为阿尔茨海默病的神经保护剂:基于证据的综合综述。
J Agric Food Chem. 2022 Dec 21;70(50):15631-15646. doi: 10.1021/acs.jafc.2c06206. Epub 2022 Dec 8.
4
Effects of ω-3 PUFA-Rich Oil Supplementation on Cardiovascular Morphology and Aortic Vascular Reactivity of Adult Male Rats Submitted to an Hypercholesterolemic Diet.富含ω-3多不饱和脂肪酸的油补充剂对接受高胆固醇饮食的成年雄性大鼠心血管形态和主动脉血管反应性的影响。
Biology (Basel). 2022 Jan 27;11(2):202. doi: 10.3390/biology11020202.
5
Suppression of apoptosis in vascular endothelial cell, the promising way for natural medicines to treat atherosclerosis.抑制血管内皮细胞凋亡,天然药物治疗动脉粥样硬化的有前途途径。
Pharmacol Res. 2021 Jun;168:105599. doi: 10.1016/j.phrs.2021.105599. Epub 2021 Apr 7.
6
Tomato and lycopene and multiple health outcomes: Umbrella review.番茄、番茄红素与多种健康结局:伞形评价。
Food Chem. 2021 May 1;343:128396. doi: 10.1016/j.foodchem.2020.128396. Epub 2020 Oct 15.
7
Cytotoxic activity of poly-ɛ-caprolactone lipid-core nanocapsules loaded with lycopene-rich extract from red guava (Psidium guajava L.) on breast cancer cells.负载红番石榴(番石榴)富含番茄红素提取物的聚-ε-己内酯脂质核纳米囊泡对乳腺癌细胞的细胞毒性活性
Food Res Int. 2020 Oct;136:109548. doi: 10.1016/j.foodres.2020.109548. Epub 2020 Jul 15.
8
An Overview of Properties and Analytical Methods for Lycopene in Organic Nanocarriers.有机纳米载体中番茄红素的性质与分析方法概述
Crit Rev Anal Chem. 2021;51(7):674-686. doi: 10.1080/10408347.2020.1763774. Epub 2020 May 15.
9
Lycopene attenuates LPS-induced liver injury by inactivation of NF-κB/COX-2 signaling.番茄红素通过使核因子κB/环氧化酶-2信号失活减轻脂多糖诱导的肝损伤。
Int J Clin Exp Pathol. 2019 Mar 1;12(3):817-825. eCollection 2019.
10
Possible mechanisms of lycopene amelioration of learning and memory impairment in rats with vascular dementia.番茄红素改善血管性痴呆大鼠学习记忆障碍的可能机制。
Neural Regen Res. 2020 Feb;15(2):332-341. doi: 10.4103/1673-5374.265565.