Suppr超能文献

铁强化印度醋栗果脯对阿孙拉诱导的斯普拉格-道利大鼠贫血的影响。

Effect of iron-fortified jamun leather on the Asunra-induced anemia in Sprague Dawley rats.

作者信息

Naz Nosheen, Khan Moazzam Rafiq, Shabbir Muhammad Asim, Faisal Muhammad Naeem

机构信息

National Institute of Food Science and Technology, University of Agriculture, Faisalabad, Pakistan.

Institute of Pharmacy, Physiology, and Pharmacology, University of Agriculture, Faisalabad, Pakistan.

出版信息

Front Nutr. 2023 Jun 13;10:1195981. doi: 10.3389/fnut.2023.1195981. eCollection 2023.

Abstract

INTRODUCTION

Micronutrients such as minerals and vitamins are required in a minute quantity but play a pivotal role in the functioning of the body. Therefore, deficiency in one of them can lead to lethal health conditions. Iron deficiency anaemia is one of the most common micronutrient deficiencies across the world and is affecting women and children.

METHODS

The present study aimed to investigate the anti-anaemic effect of fortified jamun leather on anaemia biomarkers and haematology in anaemic female Sprague Dawley rats. A total of 40 Sprague Dawley rats were used in 4 groups. Iron deficiency anaemia was induced by oral administration of the Asunra drug. The treatments were fed at two dosage levels i.e., 40 and 60% iron-fortified leather. All animals were treated for 60 days and the parameters including biochemical, and histopathology of the kidney and liver were examined.

RESULTS

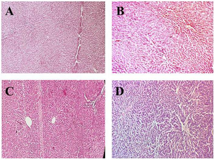
The experiment's findings showed that the group fed with iron-fortified leather (G) succeeded significantly ( < 0.05) in restoring the serum iron (98.68 ± 2.88 μg/dL), haemoglobin (12.41 ± 0.32 g/dL), ferritin (24.54 ± 1.98 ng/mL) and haematocrit levels (39.30 ± 1.66%) at the end of the 60 days period. Additionally, the treated group's mean values for transferrin and total iron binding capacity were lower than those of the anaemic rats, indicating an improvement in iron levels. The microscopic analysis revealed that treatments had no toxic effects on the kidney and liver tissues, except in the diseased group, which had necrosis and irregular cell structure.

CONCLUSION

Conclusively, iron-fortified jamun leather helped improve iron deficiency biomarkers and imparted a non-toxic effect on tissues in rats.

摘要

引言

矿物质和维生素等微量营养素需求量极少,但在身体机能中起着关键作用。因此,其中任何一种缺乏都可能导致致命的健康状况。缺铁性贫血是全球最常见的微量营养素缺乏症之一,影响着妇女和儿童。

方法

本研究旨在探讨强化印度醋栗果脯对贫血雌性斯普拉格-道利大鼠贫血生物标志物和血液学的抗贫血作用。总共40只斯普拉格-道利大鼠被分为4组。通过口服阿孙拉药物诱导缺铁性贫血。以两种剂量水平喂食处理组,即40%和60%的铁强化果脯。所有动物均接受60天的治疗,并检查包括生化指标以及肾脏和肝脏组织病理学在内的参数。

结果

实验结果表明,喂食铁强化果脯的组(G组)在60天实验期结束时,血清铁(98.68±2.88微克/分升)、血红蛋白(12.41±0.32克/分升)、铁蛋白(24.54±1.98纳克/毫升)和血细胞比容水平(39.30±1.66%)均显著恢复(<0.05)。此外,治疗组转铁蛋白和总铁结合能力的平均值低于贫血大鼠,表明铁水平有所改善。显微镜分析显示,除患病组出现坏死和细胞结构不规则外,各处理对肾脏和肝脏组织均无毒性作用。

结论

总之,铁强化印度醋栗果脯有助于改善缺铁生物标志物,并对大鼠组织无毒性作用。

https://cdn.ncbi.nlm.nih.gov/pmc/blobs/bd22/10293738/fdab2b1854f0/fnut-10-1195981-g0001.jpg

文献AI研究员

20分钟写一篇综述,助力文献阅读效率提升50倍。

立即体验

用中文搜PubMed

大模型驱动的PubMed中文搜索引擎

马上搜索

文档翻译

学术文献翻译模型,支持多种主流文档格式。

立即体验