Suppr超能文献

扩张性眼上静脉:全身相关性。

Dilated superior ophthalmic vein: systemic associations.

机构信息

Department of Ophthalmology and Visual Sciences, University of Adelaide, North Terrace, 5000, Australia.

South Australian Institute of Ophthalmology, Royal Adelaide Hospital, Port Road, Adelaide, 5000, Australia.

出版信息

Int Ophthalmol. 2023 Oct;43(10):3725-3731. doi: 10.1007/s10792-023-02782-3. Epub 2023 Jul 1.

Abstract

PURPOSE

To review systemic associations of patients with dilated superior ophthalmic veins (SOV) in the absence of orbital, cavernous sinus, or neurological disease.

METHODS

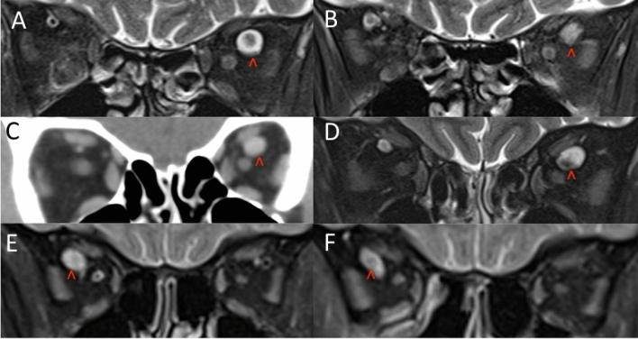
Retrospective review of patients who had dilated SOVs with a diameter of ≥ 5.0 mm. Patients with a dilated SOV secondary to orbital, cavernous sinus or neurological disease were excluded. Patient demographics, past medical history, and SOV diameters on initial and follow up scans were collected. The maximum diameter of the SOV was taken perpendicular to the long axis of the SOV.

RESULTS

Nine cases were identified. Patients ranged in age from 58 to 89 years and six out of nine were female. The dilated SOV involved both eyes in two cases, left eye in five cases and right eye in two cases. Three patients had dilated SOV likely secondary to raised venous pressures from decompensated right heart failure (n = 1), pericardial effusion (n = 1) and left ventricle dysfunction secondary to a myocardial infarction (n = 1). Five patients had a significant history of previous ischaemic heart or peripheral vascular disease. Two patients had risk factors for venous clotting disease whilst one patient had a history of giant cell arteritis and vertebral artery dissection.

CONCLUSION

A dilated SOV may raise concern for life threatening conditions such as a carotid cavernous fistula and may prompt additional investigations. A dilated SOV may be reversible and secondary to raised venous pressures due to cardiac failure. Other cases may be seen in patients with significant cardiovascular risk factors, possibly due to changes in vasculature.

摘要

目的

回顾在无眼眶、海绵窦或神经疾病的情况下,患有扩张性眼上静脉(SOV)的患者的全身关联。

方法

回顾性分析 SOV 直径≥5.0mm 的扩张性 SOV 患者。排除因眼眶、海绵窦或神经疾病导致 SOV 扩张的患者。收集患者的人口统计学资料、既往病史以及初次和随访扫描时 SOV 的直径。SOV 的最大直径是垂直于 SOV 的长轴测量的。

结果

共发现 9 例病例。患者年龄在 58 至 89 岁之间,其中 6 例为女性。2 例患者的扩张性 SOV 累及双眼,5 例患者累及左眼,2 例患者累及右眼。3 例患者的扩张性 SOV 可能继发于右心衰竭(n=1)、心包积液(n=1)和心肌梗死后左心室功能障碍(n=1)导致的静脉压升高。5 例患者有严重的缺血性心脏病或外周血管疾病史。2 例患者有静脉血栓形成疾病的危险因素,1 例患者有巨细胞动脉炎和椎动脉夹层病史。

结论

扩张性 SOV 可能提示危及生命的情况,如颈动脉海绵窦瘘,并可能促使进行额外的检查。扩张性 SOV 可能是可逆的,继发于心力衰竭导致的静脉压升高。其他病例可能见于有重大心血管危险因素的患者,可能是由于血管变化所致。

https://cdn.ncbi.nlm.nih.gov/pmc/blobs/7e2e/10504142/91ba49232c29/10792_2023_2782_Fig1_HTML.jpg

文献AI研究员

20分钟写一篇综述,助力文献阅读效率提升50倍。

立即体验

用中文搜PubMed

大模型驱动的PubMed中文搜索引擎

马上搜索

文档翻译

学术文献翻译模型,支持多种主流文档格式。

立即体验