Suppr超能文献

瘤内脓肿并发放疗后世界卫生组织II级脑膜瘤:病例说明

Intratumoral abscess complicating a postradiation-induced World Health Organization grade II meningioma: illustrative case.

作者信息

Callahan Katherine, Beach Isidora, Casale Sadie, DeWitt John, Tranmer Bruce

机构信息

Departments of1Neurosurgery and.

2Larner College of Medicine, University of Vermont, Burlington, Vermont.

出版信息

J Neurosurg Case Lessons. 2023 Jul 3;6(1). doi: 10.3171/CASE23146.

Abstract

BACKGROUND

Cerebral meningiomas and brain abscesses are common independently, but intrameningioma abscesses rarely occur, with only 15 cases in the literature. These abscesses most frequently develop in patients with a known source of bacteremia; only one case of intrameningioma abscess without a known source of infection has been reported previously.

OBSERVATIONS

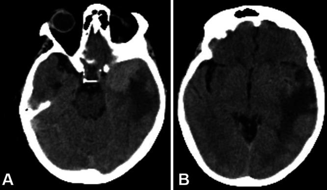
This is the second reported case of an intrameningioma abscess without a clear source of infection, occurring in a 70-year-old female with a history of transsphenoidal craniopharyngioma resection and radiation many years prior. She presented with severe fatigue and altered mental status initially ascribed to adrenal insufficiency, and magnetic resonance imaging showed a new heterogeneously enhancing left temporal mass with surrounding edema. After urgent tumor resection, pathology demonstrated a World Health Organization grade II meningioma (radiation induced). After a course of steroids and intravenous nafcillin, the patient recovered without neurological deficits.

LESSONS

The natural history of intrameningioma abscesses is not fully understood. These uncommon lesions can form secondary to hematogenous spread facilitated by meningiomas' robust vascularization, typically in patients with bacteremia. Even when no significant source of infection is identified, the differential diagnosis of intrameningioma abscess should be considered because this pathology can be rapidly progressive, even fatal, but is treatable if recognized promptly.

摘要

背景

脑脑膜瘤和脑脓肿各自都很常见,但脑膜瘤内脓肿很少发生,文献中仅有15例。这些脓肿最常发生在有已知菌血症来源的患者中;此前仅报道过1例无已知感染源的脑膜瘤内脓肿病例。

观察结果

这是第二例报道的无明确感染源的脑膜瘤内脓肿病例,发生在一名70岁女性身上,该女性多年前有经蝶窦颅咽管瘤切除术和放疗史。她最初表现为严重疲劳和精神状态改变,最初归因于肾上腺功能不全,磁共振成像显示左侧颞叶有一个新的不均匀强化肿块并伴有周围水肿。紧急肿瘤切除术后,病理显示为世界卫生组织II级脑膜瘤(放疗诱发)。经过一个疗程的类固醇和静脉注射萘夫西林治疗后,患者康复,无神经功能缺损。

经验教训

脑膜瘤内脓肿的自然病程尚未完全明了。这些罕见病变可继发于脑膜瘤丰富血管化促进的血行播散,通常发生在菌血症患者中。即使未发现明显的感染源,也应考虑脑膜瘤内脓肿的鉴别诊断,因为这种病理情况可能迅速进展,甚至致命,但如果及时识别则可治疗。

https://cdn.ncbi.nlm.nih.gov/pmc/blobs/635f/10555632/19b6b07e965c/CASE23146f1.jpg

相似文献

2
Spinal Epidural Abscess.
J Educ Teach Emerg Med. 2020 Jan 15;5(1):S26-S52. doi: 10.21980/J8T938. eCollection 2020 Jan.
3
Concomitant parasagittal meningioma and adjacent intracranial abscess of occult etiology.
J Clin Neurosci. 2020 Feb;72:474-480. doi: 10.1016/j.jocn.2019.11.033. Epub 2019 Dec 18.
4
Intrameningioma Metastasis: A Wolf in Sheep's Clothing? Experience from a Series of 7 Cases.
World Neurosurg. 2019 Dec;132:169-172. doi: 10.1016/j.wneu.2019.08.097. Epub 2019 Sep 3.
5
Letter to the Editor: Depression As The First Symptom Of Frontal Lobe Grade 2 Malignant Glioma.
Turk Psikiyatri Derg. 2022 Summer;33(2):143-145. doi: 10.5080/u25957.
6
Rare case of extracranial chordoid meningioma adjacent to the carotid sheath: illustrative case.
J Neurosurg Case Lessons. 2023 Jan 23;5(4). doi: 10.3171/CASE22295.
8
Spontaneous intratumoral infarction--an unusual evolution of a falcine meningioma.
Clin Neuropathol. 2014 Nov-Dec;33(6):412-7. doi: 10.5414/NP300777.
9
A case of pituitary abscess presenting without a source of infection or prior pituitary pathology.
Endocrinol Diabetes Metab Case Rep. 2016;2016. doi: 10.1530/EDM-16-0046. Epub 2016 Aug 16.

引用本文的文献

1
Non-Small Cell Lung Cancer With Brain Metastases and Concomitant Brain Abscesses.
Adv Radiat Oncol. 2024 Nov 2;10(1):101666. doi: 10.1016/j.adro.2024.101666. eCollection 2025 Jan.

本文引用的文献

1
Meningioma-associated abscess: an unusual case report and review of the literature.
J Surg Case Rep. 2022 Jan 17;2022(1):rjab582. doi: 10.1093/jscr/rjab582. eCollection 2022 Jan.
3
Seeding of infection in previously asymptomatic meningioma.
Pract Neurol. 2020 May;20(3):247-248. doi: 10.1136/practneurol-2019-002418. Epub 2020 Jan 20.
4
Concomitant parasagittal meningioma and adjacent intracranial abscess of occult etiology.
J Clin Neurosci. 2020 Feb;72:474-480. doi: 10.1016/j.jocn.2019.11.033. Epub 2019 Dec 18.
5
Gliomas with intratumoral abscess formation: Description of new cases, review of the literature, and the role of (99m)TC-Leukoscan.
Kaohsiung J Med Sci. 2015 Jul;31(7):377-83. doi: 10.1016/j.kjms.2015.03.003. Epub 2015 May 30.
6
When meningioma becomes an emergency: Nocardial brain abscesses superimposed on meningioma.
J Neuroradiol. 2015 Jul;42(4):249-51. doi: 10.1016/j.neurad.2015.02.002. Epub 2015 Apr 11.
7
Abscess within a meningioma: pathogenesis and rare case report.
Neurol India. 2014 Mar-Apr;62(2):196-8. doi: 10.4103/0028-3886.132398.
8
Infected intracranial meningiomas.
World Neurosurg. 2014 Mar-Apr;81(3-4):651.e9-13. doi: 10.1016/j.wneu.2013.07.081. Epub 2013 Aug 3.
10
Peritumoral Citrobacter koseri abscess associated with parasagittal meningioma.
Neurosurgery. 2005 Oct;57(4):E814. doi: 10.1093/neurosurgery/57.4.e814.

文献AI研究员

20分钟写一篇综述,助力文献阅读效率提升50倍。

立即体验

用中文搜PubMed

大模型驱动的PubMed中文搜索引擎

马上搜索

文档翻译

学术文献翻译模型,支持多种主流文档格式。

立即体验