Department of Prosthodontics, Shanghai Ninth People's Hospital, Shanghai Jiao Tong University School of Medicine, College of Stomatology, Shanghai Jiao Tong University, National Center for Stomatology, National Clinical Research Center for Oral Diseases, Shanghai Key Laboratory of Stomatology, Shanghai Research Institute of Stomatology, Shanghai Engineering Research Center of Advanced Dental Technology and Materials, Shanghai, 200125, China.
Stomatological Hospital of Xiamen Medical College, Xiamen Key Laboratory of Stomatological Disease Diagnosis and Treatment, Xiamen, Fujian, 361008, China.
Adv Sci (Weinh). 2023 Sep;10(25):e2302136. doi: 10.1002/advs.202302136. Epub 2023 Jul 3.
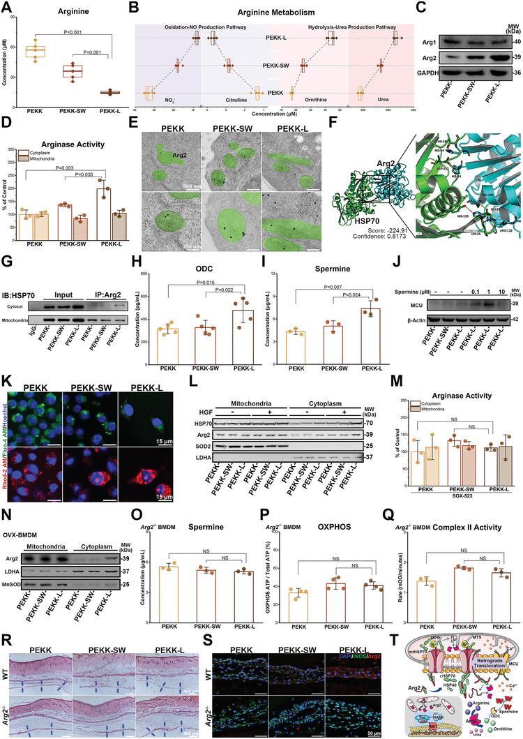
Tissue regeneration is regulated by morphological clues of implants in bone defect repair. Engineered morphology can boost regenerative biocascades that conquer challenges such as material bioinertness and pathological microenvironments. Herein, a correlation between the liver extracellular skeleton morphology and the regenerative signaling, namely hepatocyte growth factor receptor (MET), is found to explain the mystery of rapid liver regeneration. Inspired by this unique structure, a biomimetic morphology is prepared on polyetherketoneketone (PEKK) via femtosecond laser etching and sulfonation. The morphology reproduces MET signaling in macrophages, causing positive immunoregulation and optimized osteogenesis. Moreover, the morphological clue activates an anti-inflammatory reserve (arginase-2) to translocate retrogradely from mitochondria to the cytoplasm due to the difference in spatial binding of heat shock protein 70. This translocation enhances oxidative respiration and complex II activity, reprogramming the metabolism of energy and arginine. The importance of MET signaling and arginase-2 in the anti-inflammatory repair of biomimetic scaffolds is also verified via chemical inhibition and gene knockout. Altogether, this study not only provides a novel biomimetic scaffold for osteoporotic bone defect repair that can simulate regenerative signals, but also reveals the significance and feasibility of strategies to mobilize anti-inflammatory reserves in bone regeneration.
组织再生受植入物在骨缺损修复中形态学线索的调控。工程化形态可以促进再生生物级联反应,克服材料生物惰性和病理性微环境等挑战。在此,发现了肝脏细胞外骨架形态与再生信号(即肝细胞生长因子受体(MET))之间的相关性,这可以解释肝脏快速再生的奥秘。受此独特结构的启发,通过飞秒激光刻蚀和磺化在聚醚酮酮(PEKK)上制备了仿生形态。该形态在巨噬细胞中再现了 MET 信号,引起了积极的免疫调节和优化的成骨作用。此外,由于热休克蛋白 70 空间结合的差异,形态学线索激活抗炎储备(精氨酸酶-2)逆行从线粒体转移到细胞质。这种转移增强了氧化呼吸和复合物 II 的活性,重塑了能量和精氨酸的代谢。通过化学抑制和基因敲除,也验证了 MET 信号和精氨酸酶-2 在仿生支架抗炎修复中的重要性。总的来说,这项研究不仅为骨质疏松性骨缺损修复提供了一种可以模拟再生信号的新型仿生支架,还揭示了在骨再生中动员抗炎储备的策略的重要性和可行性。