• 文献检索
  • 文档翻译
  • 深度研究
  • 学术资讯
  • Suppr Zotero 插件Zotero 插件
  • 邀请有礼
  • 套餐&价格
  • 历史记录
应用&插件
Suppr Zotero 插件Zotero 插件浏览器插件Mac 客户端Windows 客户端微信小程序
定价
高级版会员购买积分包购买API积分包
服务
文献检索文档翻译深度研究API 文档MCP 服务
关于我们
关于 Suppr公司介绍联系我们用户协议隐私条款
关注我们

Suppr 超能文献

核心技术专利:CN118964589B侵权必究
粤ICP备2023148730 号-1Suppr @ 2026

文献检索

告别复杂PubMed语法,用中文像聊天一样搜索,搜遍4000万医学文献。AI智能推荐,让科研检索更轻松。

立即免费搜索

文件翻译

保留排版,准确专业,支持PDF/Word/PPT等文件格式,支持 12+语言互译。

免费翻译文档

深度研究

AI帮你快速写综述,25分钟生成高质量综述,智能提取关键信息,辅助科研写作。

立即免费体验

奶酪征评估及其与血管危险因素的关系:来自 PUMCH 痴呆队列的数据。

Assessment of cheese sign and its association with vascular risk factors: Data from PUMCH dementia cohort.

机构信息

Department of Neurology, State Key Laboratory of Complex Severe and Rare Disease, Peking Union Medical College Hospital, Chinese Academy of Medical Science and Peking Union Medical College, Beijing 100730, China.

Department of Radiology, Peking Union Medical College Hospital, Chinese Academy of Medical Sciences and Peking Union Medical College, Beijing 100730, China.

出版信息

Chin Med J (Engl). 2024 Apr 5;137(7):830-836. doi: 10.1097/CM9.0000000000002785. Epub 2023 Jul 7.

DOI:10.1097/CM9.0000000000002785
PMID:37415546
原文链接:https://pmc.ncbi.nlm.nih.gov/articles/PMC10997233/
Abstract

BACKGROUND

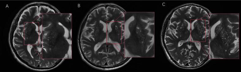
In the clinic, practitioners encounter many patients with an abnormal pattern of dense punctate magnetic resonance imaging (MRI) signal in the basal ganglia, a phenomenon known as "cheese sign". This sign is reported as common in cerebrovascular diseases, dementia, and old age. Recently, cheese sign has been speculated to consist of dense perivascular space (PVS). This study aimed to assess the lesion types of cheese sign and analyze the correlation between this sign and vascular disease risk factors.

METHODS

A total of 812 patients from Peking Union Medical College Hospital (PUMCH) dementia cohort were enrolled. We analyzed the relationship between cheese sign and vascular risk. For assessing cheese sign and defining its degree, the abnormal punctate signals were classified into basal ganglia hyperintensity (BGH), PVS, lacunae/infarctions and microbleeds, and counted separately. Each type of lesion was rated on a four-level scale, and then the sum was calculated; this total was defined as the cheese sign score. Fazekas and Age-Related White Matter Changes (ARWMC) scores were used to evaluate the paraventricular, deep, and subcortical gray/white matter hyperintensities.

RESULTS

A total of 118 patients (14.5%) in this dementia cohort were found to have cheese sign. Age (odds ratio [OR]: 1.090, 95% confidence interval [CI]: 1.064-1.120, P <0.001), hypertension (OR: 1.828, 95% CI: 1.123-2.983, P = 0.014), and stroke (OR: 1.901, 95% CI: 1.092-3.259, P = 0.025) were risk factors for cheese sign. There was no significant relationship between diabetes, hyperlipidemia, and cheese sign. The main components of cheese sign were BGH, PVS, and lacunae/infarction. The proportion of PVS increased with cheese sign severity.

CONCLUSIONS

The risk factors for cheese sign were hypertension, age, and stroke. Cheese sign consists of BGH, PVS, and lacunae/infarction.

摘要

背景

在临床中,医生会遇到许多基底节区存在异常点状致密磁共振成像(MRI)信号的患者,这种现象被称为“奶酪征”。该征象被报道在脑血管病、痴呆和老年人群中较为常见。最近,有研究推测“奶酪征”由致密的血管周围间隙(PVS)组成。本研究旨在评估“奶酪征”的病变类型,并分析该征象与血管疾病危险因素之间的关系。

方法

本研究纳入了北京协和医院痴呆队列的 812 例患者。我们分析了“奶酪征”与血管危险因素之间的关系。为了评估“奶酪征”并对其严重程度进行分析,我们将异常点状信号分为基底节高信号(BGH)、PVS、腔隙/梗死和微出血,并分别进行计数。每种类型的病变均进行四级评分,然后进行总和,定义为“奶酪征”评分。Fazekas 评分和年龄相关性脑白质改变(ARWMC)评分用于评估脑室周围、深部和皮质下灰质/白质高信号。

结果

在该痴呆队列中,共有 118 例(14.5%)患者存在“奶酪征”。年龄(比值比 [OR]:1.090,95%置信区间 [CI]:1.064-1.120,P <0.001)、高血压(OR:1.828,95% CI:1.123-2.983,P = 0.014)和卒中(OR:1.901,95% CI:1.092-3.259,P = 0.025)是“奶酪征”的危险因素。糖尿病和高脂血症与“奶酪征”无显著相关性。“奶酪征”的主要成分是 BGH、PVS 和腔隙/梗死。“奶酪征”严重程度与 PVS 比例呈正相关。

结论

“奶酪征”的危险因素包括高血压、年龄和卒中。“奶酪征”由 BGH、PVS 和腔隙/梗死组成。

https://cdn.ncbi.nlm.nih.gov/pmc/blobs/5c1a/10997233/2aa93517107e/cm9-137-830-g004.jpg
https://cdn.ncbi.nlm.nih.gov/pmc/blobs/5c1a/10997233/ddf15df3be53/cm9-137-830-g001.jpg
https://cdn.ncbi.nlm.nih.gov/pmc/blobs/5c1a/10997233/c97d5e9df38c/cm9-137-830-g002.jpg
https://cdn.ncbi.nlm.nih.gov/pmc/blobs/5c1a/10997233/3b387e13c4d4/cm9-137-830-g003.jpg
https://cdn.ncbi.nlm.nih.gov/pmc/blobs/5c1a/10997233/2aa93517107e/cm9-137-830-g004.jpg
https://cdn.ncbi.nlm.nih.gov/pmc/blobs/5c1a/10997233/ddf15df3be53/cm9-137-830-g001.jpg
https://cdn.ncbi.nlm.nih.gov/pmc/blobs/5c1a/10997233/c97d5e9df38c/cm9-137-830-g002.jpg
https://cdn.ncbi.nlm.nih.gov/pmc/blobs/5c1a/10997233/3b387e13c4d4/cm9-137-830-g003.jpg
https://cdn.ncbi.nlm.nih.gov/pmc/blobs/5c1a/10997233/2aa93517107e/cm9-137-830-g004.jpg

相似文献

1
Assessment of cheese sign and its association with vascular risk factors: Data from PUMCH dementia cohort.奶酪征评估及其与血管危险因素的关系:来自 PUMCH 痴呆队列的数据。
Chin Med J (Engl). 2024 Apr 5;137(7):830-836. doi: 10.1097/CM9.0000000000002785. Epub 2023 Jul 7.
2
Computational quantification of brain perivascular space morphologies: Associations with vascular risk factors and white matter hyperintensities. A study in the Lothian Birth Cohort 1936.计算脑小血管周围间隙形态学的定量分析:与血管危险因素和脑白质高信号的相关性。在洛锡安出生队列 1936 年的一项研究。
Neuroimage Clin. 2020;25:102120. doi: 10.1016/j.nicl.2019.102120. Epub 2019 Dec 9.
3
Relationship of Perivascular Space Markers With Incident Dementia in Cerebral Small Vessel Disease.脑小血管病患者血管周围空间标志物与新发痴呆的关系。
Stroke. 2024 Apr;55(4):1032-1040. doi: 10.1161/STROKEAHA.123.045857. Epub 2024 Mar 11.
4
Collateral Recruitment Is Impaired by Cerebral Small Vessel Disease.脑小血管病损害侧支循环募集。
Stroke. 2020 May;51(5):1404-1410. doi: 10.1161/STROKEAHA.119.027661. Epub 2020 Apr 6.
5
MRI-Visible Perivascular Spaces and Risk of Incident Dementia: The Framingham Heart Study.MRI 可见血管周围空间与痴呆发病风险:弗雷明汉心脏研究。
Neurology. 2022 Dec 5;99(23):e2561-e2571. doi: 10.1212/WNL.0000000000201293.
6
Combined Score of Perivascular Space Dilatation and White Matter Hyperintensities in Patients with Normal Cognition, Mild Cognitive Impairment, and Dementia.认知正常、轻度认知障碍和痴呆患者的血管周围空间扩张和脑白质高信号的综合评分。
Medicina (Kaunas). 2022 Jul 1;58(7):887. doi: 10.3390/medicina58070887.
7
Magnetic Resonance Imaging-Visible Perivascular Spaces in Basal Ganglia Predict Cognitive Decline in Parkinson's Disease.磁共振成像可见基底节血管周围空间与帕金森病认知下降相关。
Mov Disord. 2019 Nov;34(11):1672-1679. doi: 10.1002/mds.27798. Epub 2019 Jul 19.
8
Topography and Determinants of Magnetic Resonance Imaging (MRI)-Visible Perivascular Spaces in a Large Memory Clinic Cohort.磁共振成像(MRI)可见血管周围空间的地形学及其决定因素:一项大型记忆门诊队列研究。
J Am Heart Assoc. 2017 Sep 22;6(9):e006279. doi: 10.1161/JAHA.117.006279.
9
MRI-visible perivascular spaces: relationship to cognition and small vessel disease MRI markers in ischaemic stroke and TIA.MRI 可见的血管周围间隙:与缺血性卒中和 TIA 中小血管疾病 MRI 标志物的关系。
J Neurol Neurosurg Psychiatry. 2014 May;85(5):522-5. doi: 10.1136/jnnp-2013-305815. Epub 2013 Nov 18.
10
Arterial Spin-Labeling Parameters and Their Associations with Risk Factors, Cerebral Small-Vessel Disease, and Etiologic Subtypes of Cognitive Impairment and Dementia.动脉自旋标记参数及其与危险因素、脑小血管病以及认知障碍和痴呆的病因亚型的关系。
AJNR Am J Neuroradiol. 2022 Oct;43(10):1418-1423. doi: 10.3174/ajnr.A7630. Epub 2022 Sep 8.

本文引用的文献

1
Is Immune Suppression Involved in the Ischemic Stroke? A Study Based on Computational Biology.免疫抑制与缺血性中风有关吗?一项基于计算生物学的研究。
Front Aging Neurosci. 2022 Feb 10;14:830494. doi: 10.3389/fnagi.2022.830494. eCollection 2022.
2
Serum Galectin-3 as a Potential Predictive Biomarker Is Associated with Poststroke Cognitive Impairment.血清半乳糖凝集素-3 作为一种潜在的预测生物标志物与卒中后认知障碍相关。
Oxid Med Cell Longev. 2021 Dec 2;2021:5827812. doi: 10.1155/2021/5827812. eCollection 2021.
3
The Association Between Perivascular Spaces and Cerebral Blood Flow, Brain Volume, and Cardiovascular Risk.
血管周围间隙与脑血流量、脑容量及心血管风险之间的关联
Front Aging Neurosci. 2021 Aug 31;13:599724. doi: 10.3389/fnagi.2021.599724. eCollection 2021.
4
Impact of prior cerebrovascular events on patients with unprotected left main coronary artery disease treated with coronary artery bypass grafting or percutaneous coronary intervention.既往脑血管事件对接受冠状动脉旁路移植术或经皮冠状动脉介入治疗的无保护左主干冠状动脉疾病患者的影响。
Chin Med J (Engl). 2021 Aug 4;134(16):1988-1990. doi: 10.1097/CM9.0000000000001645.
5
Safety of early surgery for geriatric hip fracture patients taking clopidogrel: a retrospective case-control study of 120 patients in China.中国 120 例患者的回顾性病例对照研究:服用氯吡格雷的老年髋部骨折患者早期手术的安全性。
Chin Med J (Engl). 2021 Jul 14;134(14):1720-1725. doi: 10.1097/CM9.0000000000001668.
6
The Antioxidant Enzyme PON1: A Potential Prognostic Predictor of Acute Ischemic Stroke.抗氧化酶 PON1:急性缺血性脑卒中的潜在预后预测因子。
Oxid Med Cell Longev. 2021 Feb 5;2021:6677111. doi: 10.1155/2021/6677111. eCollection 2021.
7
Magnetic resonance imaging manifestations of cerebral small vessel disease: automated quantification and clinical application.脑小血管病的磁共振成像表现:自动化定量分析及临床应用
Chin Med J (Engl). 2020 Dec 16;134(2):151-160. doi: 10.1097/CM9.0000000000001299.
8
Pandemic of the aging society - sporadic cerebral small vessel disease.老龄化社会的流行——散发性脑小血管病。
Chin Med J (Engl). 2021 Jan 5;134(2):143-150. doi: 10.1097/CM9.0000000000001320.
9
Association of Enlarged Perivascular Spaces and Measures of Small Vessel and Alzheimer Disease.血管周围间隙扩大与小血管和阿尔茨海默病相关因素的分析。
Neurology. 2021 Jan 12;96(2):e193-e202. doi: 10.1212/WNL.0000000000011046. Epub 2020 Oct 12.
10
Perivascular spaces in the brain: anatomy, physiology and pathology.脑内血管周围间隙:解剖、生理与病理。
Nat Rev Neurol. 2020 Mar;16(3):137-153. doi: 10.1038/s41582-020-0312-z. Epub 2020 Feb 24.