• 文献检索
  • 文档翻译
  • 深度研究
  • 学术资讯
  • Suppr Zotero 插件Zotero 插件
  • 邀请有礼
  • 套餐&价格
  • 历史记录
应用&插件
Suppr Zotero 插件Zotero 插件浏览器插件Mac 客户端Windows 客户端微信小程序
定价
高级版会员购买积分包购买API积分包
服务
文献检索文档翻译深度研究API 文档MCP 服务
关于我们
关于 Suppr公司介绍联系我们用户协议隐私条款
关注我们

Suppr 超能文献

核心技术专利:CN118964589B侵权必究
粤ICP备2023148730 号-1Suppr @ 2026

文献检索

告别复杂PubMed语法,用中文像聊天一样搜索,搜遍4000万医学文献。AI智能推荐,让科研检索更轻松。

立即免费搜索

文件翻译

保留排版,准确专业,支持PDF/Word/PPT等文件格式,支持 12+语言互译。

免费翻译文档

深度研究

AI帮你快速写综述,25分钟生成高质量综述,智能提取关键信息,辅助科研写作。

立即免费体验

邻面去釉辅助正畸拔牙

Interproximal Reduction Facilitating Orthodontic Teeth Extraction.

作者信息

Alle Uday Kumar

机构信息

Orthodontics, Phoenix Hospital, Abu Dhabi, ARE.

出版信息

Cureus. 2023 Jul 5;15(7):e41403. doi: 10.7759/cureus.41403. eCollection 2023 Jul.

DOI:10.7759/cureus.41403
PMID:37416084
原文链接:https://pmc.ncbi.nlm.nih.gov/articles/PMC10321310/
Abstract

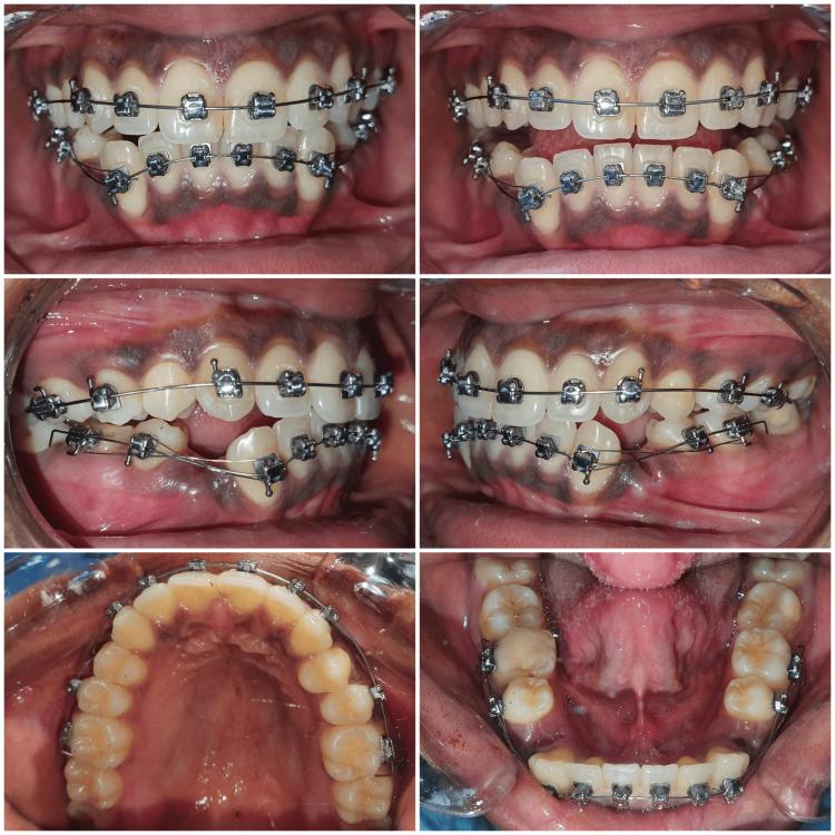
Extractions are routinely performed in orthodontics to gain space for teeth alignment. Crowded, malaligned, and overlapped teeth make it difficult for the dental surgeon to engage the beaks of the extraction forceps on the concerned tooth for extraction. An improper grip often leads to complications of instrument slippage, crown fracture, and more commonly, luxation of adjacent teeth. This article aims to help with atraumatic orthodontic extractions and reduce such complications. This case report examines an interproximal reduction technique using standard grit, taper, flat-end diamond bur (Mani TF-20, ISO 171/014, Mani, Inc., Tochigi, Japan) for the tooth to be extracted to create enough space for proper placement of the forceps and to prevent injury to adjacent structures. It can be useful for orthodontic extractions or other cases of tooth extractions with inadequate access.

摘要

正畸治疗中通常会进行拔牙操作以获得牙齿排列所需的空间。牙齿拥挤、排列不齐和重叠会使口腔外科医生难以将拔牙钳的喙部准确放置在需要拔除的牙齿上进行拔牙。握持不当通常会导致器械滑脱、牙冠折断等并发症,更常见的是相邻牙齿的松动。本文旨在帮助实现无创伤的正畸拔牙并减少此类并发症。本病例报告探讨了一种邻面减径技术,该技术使用标准粒度、锥形、平头金刚石车针(Mani TF-20,ISO 171/014,日本枥木县万尼株式会社)对要拔除的牙齿进行处理,以创造足够的空间以便正确放置拔牙钳,并防止对相邻结构造成损伤。该技术对于正畸拔牙或其他因操作空间不足而进行的牙齿拔除病例可能会有所帮助。

https://cdn.ncbi.nlm.nih.gov/pmc/blobs/af79/10321310/420d33ff0f0f/cureus-0015-00000041403-i08.jpg
https://cdn.ncbi.nlm.nih.gov/pmc/blobs/af79/10321310/0993b7e2ba75/cureus-0015-00000041403-i01.jpg
https://cdn.ncbi.nlm.nih.gov/pmc/blobs/af79/10321310/16fda6d56980/cureus-0015-00000041403-i02.jpg
https://cdn.ncbi.nlm.nih.gov/pmc/blobs/af79/10321310/2fbe816a5ae9/cureus-0015-00000041403-i03.jpg
https://cdn.ncbi.nlm.nih.gov/pmc/blobs/af79/10321310/e142b21cd537/cureus-0015-00000041403-i04.jpg
https://cdn.ncbi.nlm.nih.gov/pmc/blobs/af79/10321310/7bb0d30e38ec/cureus-0015-00000041403-i05.jpg
https://cdn.ncbi.nlm.nih.gov/pmc/blobs/af79/10321310/24d9058f4aec/cureus-0015-00000041403-i06.jpg
https://cdn.ncbi.nlm.nih.gov/pmc/blobs/af79/10321310/4ad4c20daf37/cureus-0015-00000041403-i07.jpg
https://cdn.ncbi.nlm.nih.gov/pmc/blobs/af79/10321310/420d33ff0f0f/cureus-0015-00000041403-i08.jpg
https://cdn.ncbi.nlm.nih.gov/pmc/blobs/af79/10321310/0993b7e2ba75/cureus-0015-00000041403-i01.jpg
https://cdn.ncbi.nlm.nih.gov/pmc/blobs/af79/10321310/16fda6d56980/cureus-0015-00000041403-i02.jpg
https://cdn.ncbi.nlm.nih.gov/pmc/blobs/af79/10321310/2fbe816a5ae9/cureus-0015-00000041403-i03.jpg
https://cdn.ncbi.nlm.nih.gov/pmc/blobs/af79/10321310/e142b21cd537/cureus-0015-00000041403-i04.jpg
https://cdn.ncbi.nlm.nih.gov/pmc/blobs/af79/10321310/7bb0d30e38ec/cureus-0015-00000041403-i05.jpg
https://cdn.ncbi.nlm.nih.gov/pmc/blobs/af79/10321310/24d9058f4aec/cureus-0015-00000041403-i06.jpg
https://cdn.ncbi.nlm.nih.gov/pmc/blobs/af79/10321310/4ad4c20daf37/cureus-0015-00000041403-i07.jpg
https://cdn.ncbi.nlm.nih.gov/pmc/blobs/af79/10321310/420d33ff0f0f/cureus-0015-00000041403-i08.jpg

相似文献

1
Interproximal Reduction Facilitating Orthodontic Teeth Extraction.邻面去釉辅助正畸拔牙
Cureus. 2023 Jul 5;15(7):e41403. doi: 10.7759/cureus.41403. eCollection 2023 Jul.
2
Evaluation of temperature rise in the pulp during various IPR techniques-an in vivo study.评估不同牙髓血运重建技术过程中牙髓的温升:一项体内研究。
Prog Orthod. 2020 Nov 2;21(1):40. doi: 10.1186/s40510-020-00340-6.
3
Use of Physics Forceps in Atraumatic Orthodontic Extractions of Bilateral Premolars: A Randomized Control Clinical Study.物理镊子在双侧前磨牙无创伤正畸拔牙中的应用:一项随机对照临床研究。
J Maxillofac Oral Surg. 2020 Sep;19(3):347-354. doi: 10.1007/s12663-020-01347-6. Epub 2020 May 5.
4
Comparative Evaluation of Efficacy of Physics Forceps versus Conventional Forceps in Orthodontic Extractions: A Prospective Randomized Split Mouth Study.正畸拔牙中物理镊子与传统镊子疗效的比较评估:一项前瞻性随机双颌研究。
J Clin Diagn Res. 2016 Jul;10(7):ZC41-5. doi: 10.7860/JCDR/2016/17724.8160. Epub 2016 Jul 1.
5
The reasons for the extraction of various tooth types in Scotland: a 15-year follow up.苏格兰各类牙齿拔除原因:15年随访
J Dent. 2001 Aug;29(6):401-7. doi: 10.1016/s0300-5712(01)00036-7.
6
Interproximal enamel reduction as a part of orthodontic treatment.邻面釉质减薄作为正畸治疗的一部分。
Stomatologija. 2014;16(1):19-24.
7
Mastering interproximal stripping: with innovations in slenderization.掌握邻面去釉:随着牙体减径技术的创新。
Int J Clin Pediatr Dent. 2012 May;5(2):163-6. doi: 10.5005/jp-journals-10005-1159. Epub 2012 Aug 8.
8
Statistical Study Concerning Extraction and Non-Extraction Methods in Orthodontic Treatments.关于正畸治疗中拔牙和不拔牙方法的统计学研究。
Curr Health Sci J. 2024 Jan-Mar;50(1):67-73. doi: 10.12865/CHSJ.50.01.09. Epub 2024 Mar 31.
9
A Comparison of Thermal Changes among Four Different Interproximal Reduction Systems in Orthodontics.正畸中四种不同邻面去釉系统热变化的比较
J Contemp Dent Pract. 2019 Jun 1;20(6):738-742.
10
Esthetic orthodontic treatment using the invisalign appliance for moderate to complex malocclusions.使用隐适美矫治器对中度至复杂错牙合畸形进行美学正畸治疗。
J Dent Educ. 2008 Aug;72(8):948-67.

引用本文的文献

1
Surface Precision in Orthodontics: A Comprehensive Analysis of Interproximal Reduction Methods Using Atomic Force Microscopy.正畸学中的表面精度:使用原子力显微镜对邻面去釉方法的综合分析
J Pharm Bioallied Sci. 2024 Dec;16(Suppl 4):S3335-S3337. doi: 10.4103/jpbs.jpbs_737_24. Epub 2024 Dec 12.
2
Predictability of Dental Distalization with Clear Aligners: A Systematic Review.使用透明矫治器进行牙齿远中移动的可预测性:一项系统评价。
Bioengineering (Basel). 2023 Dec 4;10(12):1390. doi: 10.3390/bioengineering10121390.

本文引用的文献

1
Use of Physics Forceps in Atraumatic Orthodontic Extractions of Bilateral Premolars: A Randomized Control Clinical Study.物理镊子在双侧前磨牙无创伤正畸拔牙中的应用:一项随机对照临床研究。
J Maxillofac Oral Surg. 2020 Sep;19(3):347-354. doi: 10.1007/s12663-020-01347-6. Epub 2020 May 5.
2
A Novel Orthodontic Extraction Method for Removal of Impacted Mandibular Third Molars in Close Proximity to Inferior Alveolar Nerve.一种用于拔除紧邻下牙槽神经的下颌阻生第三磨牙的新型正畸拔牙方法。
J Oral Maxillofac Surg. 2019 Aug;77(8):1575.e1-1575.e6. doi: 10.1016/j.joms.2019.04.013. Epub 2019 Apr 19.
3
Minimally invasive vertical versus conventional tooth extraction: An interrupted time series study.
微创垂直拔牙与传统拔牙的比较:一项中断时间序列研究。
J Am Dent Assoc. 2018 Aug;149(8):688-695. doi: 10.1016/j.adaj.2018.03.022. Epub 2018 May 24.
4
Inter-proximal enamel reduction in contemporary orthodontics.当代正畸学中的邻面釉质减径
Br Dent J. 2016 Dec 16;221(12):757-763. doi: 10.1038/sj.bdj.2016.945.
5
Some complications of tooth extraction.拔牙的一些并发症。
Ann R Coll Surg Engl. 1962 May;30(5):309-23.
6
Frequency of tooth extraction in orthodontic treatment.正畸治疗中拔牙的频率。
Am J Orthod. 1979 Nov;76(5):491-6. doi: 10.1016/0002-9416(79)90253-7.