Suppr超能文献

一名年轻女性温德利希综合征的亚急性表现:病例报告

A Subacute Presentation of Wunderlich Syndrome in a Young Woman: A Case Report.

作者信息

Cubillos Julian D, Mejia Daniel R, Cañas Edward E, Serrano Julian, Casas Onofre

机构信息

Emergency Medicine, Hospital Universitario San Ignacio, Bogota, COL.

Emergency Medicine, Pontificia Universidad Javeriana, Bogota, COL.

出版信息

Cureus. 2023 Jul 5;15(7):e41385. doi: 10.7759/cureus.41385. eCollection 2023 Jul.

Abstract

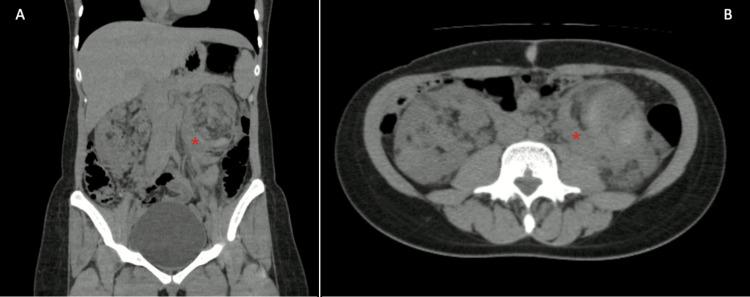
Wunderlich syndrome (WS) is a rare, potentially life-threatening medical condition characterized by spontaneous renal or perinephric hemorrhage occurring in the absence of known trauma. WS usually presents as Lenk's triad: acute flank pain, flank mass sensation, and hypovolemic shock; however, the presentation of this condition can vary in terms of symptom type and duration. We present the case of a 23-year-old previously healthy woman who consulted our emergency department with an unusual subacute form of presentation of WS (eight days of pain) due to an angiomyolipoma. Considering that the patient was clinically stable, a conservative approach with strict follow-up with serial computed tomography scans was taken.

摘要

温德利希综合征(WS)是一种罕见的、可能危及生命的医学病症,其特征是在无已知创伤的情况下发生自发性肾或肾周出血。WS通常表现为伦克三联征:急性胁腹痛、胁腹肿块感和低血容量性休克;然而,这种病症的表现会因症状类型和持续时间而有所不同。我们报告一例23岁既往健康的女性病例,该患者因血管平滑肌脂肪瘤以一种不寻常的亚急性形式(疼痛8天)就诊于我院急诊科。鉴于患者临床稳定,采取了保守治疗方法,通过系列计算机断层扫描进行严格随访。

https://cdn.ncbi.nlm.nih.gov/pmc/blobs/6128/10320413/c129b8709060/cureus-0015-00000041385-i01.jpg

文献AI研究员

20分钟写一篇综述,助力文献阅读效率提升50倍。

立即体验

用中文搜PubMed

大模型驱动的PubMed中文搜索引擎

马上搜索

文档翻译

学术文献翻译模型,支持多种主流文档格式。

立即体验