Suppr超能文献

富血小板血浆对成年雄性白化大鼠顺铂诱导肾毒性的保护作用:组织学和免疫组织化学研究。

Protective Effect of Platelet-Rich Plasma on Cisplatin-Induced Nephrotoxicity in Adult Male Albino Rats: Histological and Immunohistochemical Study.

机构信息

Anatomy and Embryology department, Faculty of Medicine, University of Alexandria, Alexandria, Egypt.

Histology and Cell Biology Department, Faculty of Medicine, University of Alexandria, Alexandria, Egypt.

出版信息

Biol Trace Elem Res. 2024 Mar;202(3):1067-1083. doi: 10.1007/s12011-023-03742-9. Epub 2023 Jul 7.

Abstract

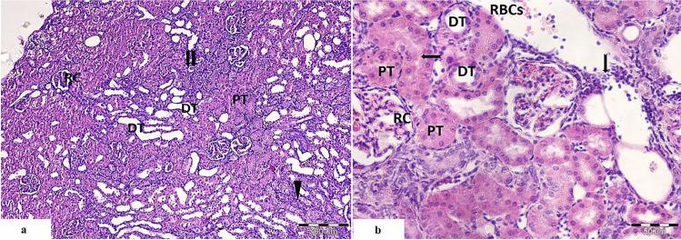
Cisplatin is a potent antineoplastic drug that is used for treatment of many solid tumors. It has a wide range of adverse effects. Nephrotoxicity is the most common one of them. Platelet-rich plasma (PRP) is an autologous human plasma that activates the tissue regeneration through cell proliferation and differentiation. Study the role of PRP in amelioration of cisplatin-induced nephrotoxicity on the kidney of adult male albino rats by biochemical, morphometric, histological, and immunohistochemical studies. Thirty-five adult male albino rats were used. Thirty rats were included as experimental group and five were used to obtain the PRP. The experimental group was classified into as follows: control group which received 1mL of sterile saline by intraperitoneal injection (IP), cisplatin-treated group which received cisplatin 7.5 mg/kg IP in a single dose and cisplatin and PRP-treated group rats received cisplatin 7.5 mg/kg single IP dose followed by 1ml of PRP IP after 24 h of cisplatin injection. There was a significant increase in urea and creatinine levels in cisplatin-treated group in comparison to the control and the PRP groups. The kidneys of cisplatin-treated group showed distorted renal structure, where specimens of PRP-treated group revealed restoration of the classical appearance of the renal tissue similar to the control group. PRP has protective effects on renal structure and functions and it helps to ameliorate the histological changes induced by cisplatin.

摘要

顺铂是一种有效的抗肿瘤药物,用于治疗多种实体瘤。它有广泛的不良反应。肾毒性是最常见的一种。富血小板血浆 (PRP) 是一种自体人类血浆,通过细胞增殖和分化激活组织再生。通过生化、形态计量学、组织学和免疫组织化学研究,研究 PRP 在改善顺铂诱导的成年雄性白化大鼠肾毒性中的作用。 选用 35 只成年雄性白化大鼠。其中 30 只大鼠作为实验组,5 只大鼠用于提取 PRP。实验组分为以下几组:对照组,腹腔注射 1mL 无菌生理盐水;顺铂处理组,腹腔注射 7.5mg/kg 顺铂,单次剂量;顺铂和 PRP 处理组大鼠在注射顺铂 24 小时后腹腔注射 1mL PRP。与对照组和 PRP 组相比,顺铂处理组的尿素和肌酐水平显著升高。顺铂处理组的肾脏结构扭曲,而 PRP 处理组的标本显示出类似于对照组的肾组织经典外观的恢复。PRP 对肾脏结构和功能具有保护作用,有助于改善顺铂引起的组织学变化。

https://cdn.ncbi.nlm.nih.gov/pmc/blobs/8a63/10803452/fd5658bc22e5/12011_2023_3742_Fig1_HTML.jpg

文献检索

告别复杂PubMed语法,用中文像聊天一样搜索,搜遍4000万医学文献。AI智能推荐,让科研检索更轻松。

立即免费搜索

文件翻译

保留排版,准确专业,支持PDF/Word/PPT等文件格式,支持 12+语言互译。

免费翻译文档

深度研究

AI帮你快速写综述,25分钟生成高质量综述,智能提取关键信息,辅助科研写作。

立即免费体验