Suppr超能文献

一种荷兰高致病性 H5N6 禽流感病毒对呼吸器官以外的器官具有显著的嗜性,可导致严重疾病,但在雪貂模型中不能通过空气传播。

A Dutch highly pathogenic H5N6 avian influenza virus showed remarkable tropism for extra-respiratory organs and caused severe disease but was not transmissible via air in the ferret model.

机构信息

Department of Viroscience, Erasmus University Medical Center , Rotterdam, the Netherlands.

Academic Medical Center Amsterdam, Laboratory of Experimental Virology , Amsterdam, the Netherlands.

出版信息

mSphere. 2023 Aug 24;8(4):e0020023. doi: 10.1128/msphere.00200-23. Epub 2023 Jul 10.

Abstract

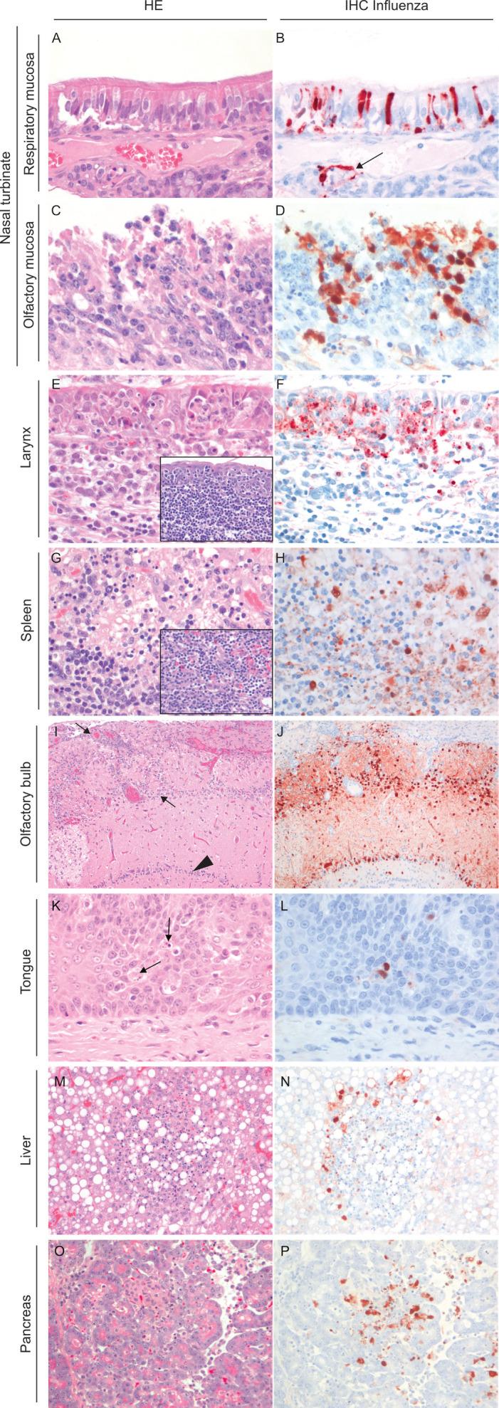
Continued circulation of A/H5N1 influenza viruses of the A/goose/Guangdong/1/96 lineage in poultry has resulted in the diversification in multiple genetic and antigenic clades. Since 2009, clade 2.3.4.4 hemagglutinin (HA) containing viruses harboring the internal and neuraminidase (NA) genes of other avian influenza A viruses have been detected. As a result, various HA-NA combinations, such as A/H5N1, A/H5N2, A/H5N3, A/H5N5, A/H5N6, and A/H5N8 have been identified. As of January 2023, 83 humans have been infected with A/H5N6 viruses, thereby posing an apparent risk for public health. Here, as part of a risk assessment, the and characterization of A/H5N6 A/black-headed gull/Netherlands/29/2017 is described. This A/H5N6 virus was not transmitted between ferrets via the air but was of unexpectedly high pathogenicity compared to other described A/H5N6 viruses. The virus replicated and caused severe lesions not only in respiratory tissues but also in multiple extra-respiratory tissues, including brain, liver, pancreas, spleen, lymph nodes, and adrenal gland. Sequence analyses demonstrated that the well-known mammalian adaptation substitution D701N was positively selected in almost all ferrets. In the experiments, no other known viral phenotypic properties associated with mammalian adaptation or increased pathogenicity were identified. The lack of transmission via the air and the absence of mammalian adaptation markers suggest that the public health risk of this virus is low. The high pathogenicity of this virus in ferrets could not be explained by the known mammalian pathogenicity factors and should be further studied. IMPORTANCE Avian influenza A/H5 viruses can cross the species barrier and infect humans. These infections can have a fatal outcome, but fortunately these influenza A/H5 viruses do not spread between humans. However, the extensive circulation and reassortment of A/H5N6 viruses in poultry and wild birds warrant risk assessments of circulating strains. Here an in-depth characterization of the properties of an avian A/H5N6 influenza virus isolated from a black-headed gull in the Netherlands was performed and , in ferrets. The virus was not transmissible via the air but caused severe disease and spread to extra-respiratory organs. Apart from the detection in ferrets of a mutation that increased virus replication, no other mammalian adaptation phenotypes were identified. Our results suggest that the risk of this avian A/H5N6 virus for public health is low. The underlying reasons for the high pathogenicity of this virus are unexplained and should be further studied.

摘要

自 2009 年以来,已检测到含有其他禽流感病毒内部和神经氨酸酶(NA)基因的 2.3.4.4 血凝素(HA)的 2.3.4.4 分支的禽源 A/H5N1 流感病毒继续循环。因此,已鉴定出各种 HA-NA 组合,如 A/H5N1、A/H5N2、A/H5N3、A/H5N5、A/H5N6 和 A/H5N8。截至 2023 年 1 月,已有 83 人感染 A/H5N6 病毒,这对公共卫生构成明显威胁。在这里,作为风险评估的一部分,描述了 A/H5N6 A/黑嘴鸥/荷兰/29/2017 的 和 特征。该 A/H5N6 病毒不能通过空气在雪貂之间传播,但与其他描述的 A/H5N6 病毒相比,其具有出乎意料的高致病性。该病毒不仅在呼吸道组织中复制并引起严重病变,而且在多个呼吸外组织中复制并引起严重病变,包括大脑、肝脏、胰腺、脾脏、淋巴结和肾上腺。序列分析表明,几乎所有雪貂中都存在已知的与哺乳动物适应性或增加的致病性相关的正选择的哺乳动物适应性取代 D701N。在 实验中,没有发现与哺乳动物适应性或增加的致病性相关的其他已知病毒表型特征。该病毒不能通过空气传播且缺乏哺乳动物适应性标记物表明,该病毒对公共卫生的风险较低。该病毒在雪貂中的高致病性不能用已知的哺乳动物致病性因素来解释,应该进一步研究。

重要性

禽流感 A/H5 病毒可以跨越物种屏障并感染人类。这些感染可能导致致命后果,但幸运的是,这些流感 A/H5 病毒不会在人与人之间传播。然而,A/H5N6 病毒在禽鸟和野禽中的广泛循环和重配要求对循环毒株进行风险评估。在这里,对从荷兰黑嘴鸥中分离出的一种禽源 A/H5N6 流感病毒在雪貂中的 和 特性进行了深入表征。该病毒不能通过空气传播,但会引起严重疾病并传播到呼吸外器官。除了在雪貂中检测到增加病毒复制的突变外,没有发现其他哺乳动物适应性表型。我们的结果表明,该禽源 A/H5N6 病毒对公共卫生的风险较低。该病毒高致病性的根本原因尚不清楚,应进一步研究。

https://cdn.ncbi.nlm.nih.gov/pmc/blobs/165d/10449504/d00f750fa9d4/msphere.00200-23.f001.jpg

文献AI研究员

20分钟写一篇综述,助力文献阅读效率提升50倍。

立即体验

用中文搜PubMed

大模型驱动的PubMed中文搜索引擎

马上搜索

文档翻译

学术文献翻译模型,支持多种主流文档格式。

立即体验