Department of Genetics, School of Basic Medical Sciences, Tianjin Medical University, Tianjin, China.
Department of Cell Biology, School of Basic Medical Sciences, Tianjin Medical University, Tianjin, China.
Nat Commun. 2023 Jul 10;14(1):4062. doi: 10.1038/s41467-023-39845-z.
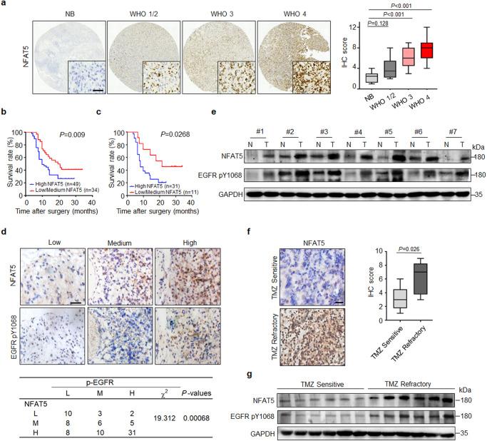
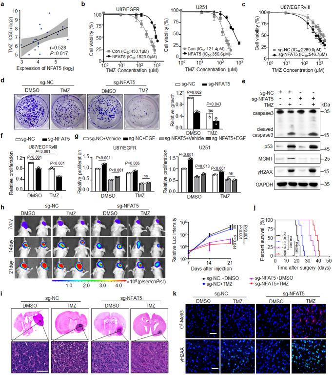
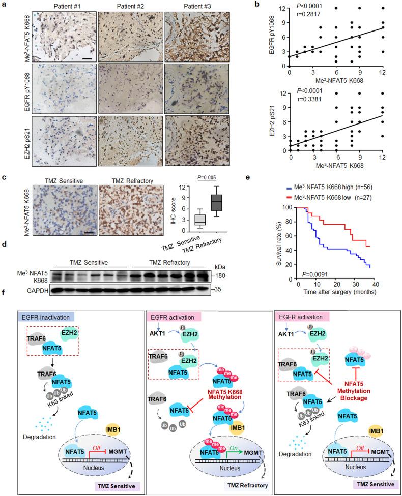
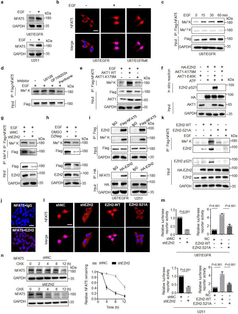
Temozolomide (TMZ) therapy offers minimal clinical benefits in patients with glioblastoma multiforme (GBM) with high EGFR activity, underscoring the need for effective combination therapy. Here, we show that tonicity-responsive enhancer binding protein (NFAT5) lysine methylation, is a determinant of TMZ response. Mechanistically, EGFR activation induces phosphorylated EZH2 (Ser21) binding and triggers NFAT5 methylation at K668. Methylation prevents NFAT5 cytoplasm interaction with E3 ligase TRAF6, thus blocks NFAT5 lysosomal degradation and cytosol localization restriction, which was mediated by TRAF6 induced K63-linked ubiquitination, resulting in NFAT5 protein stabilization, nuclear accumulation and activation. Methylated NFAT5 leads to the upregulation of MGMT, a transcriptional target of NFAT5, which is responsible for unfavorable TMZ response. Inhibition of NFAT5 K668 methylation improved TMZ efficacy in orthotopic xenografts and patient-derived xenografts (PDX) models. Notably, NFAT5 K668 methylation levels are elevated in TMZ-refractory specimens and confer poor prognosis. Our findings suggest targeting NFAT5 methylation is a promising therapeutic strategy to improve TMZ response in tumors with EGFR activation.
替莫唑胺(TMZ)治疗在表皮生长因子受体(EGFR)活性高的多形性胶质母细胞瘤(GBM)患者中提供的临床获益有限,这突显了有效联合治疗的必要性。在这里,我们表明,渗透压反应增强子结合蛋白(NFAT5)赖氨酸甲基化是 TMZ 反应的决定因素。从机制上讲,EGFR 激活诱导磷酸化 EZH2(Ser21)结合,并触发 NFAT5 在 K668 处发生甲基化。甲基化可防止 NFAT5 与 E3 连接酶 TRAF6 的细胞质相互作用,从而阻止 NFAT5 溶酶体降解和细胞质定位限制,这是由 TRAF6 诱导的 K63 连接泛素化介导的,导致 NFAT5 蛋白稳定、核积累和激活。甲基化的 NFAT5 导致 MGMT 的上调,MGMT 是 NFAT5 的转录靶标,负责不利的 TMZ 反应。抑制 NFAT5 的 K668 甲基化可提高 TMZ 在原位异种移植和患者来源异种移植(PDX)模型中的疗效。值得注意的是,TMZ 耐药标本中 NFAT5 K668 甲基化水平升高,并预示预后不良。我们的研究结果表明,靶向 NFAT5 甲基化是改善 EGFR 激活肿瘤中 TMZ 反应的一种很有前途的治疗策略。