• 文献检索
  • 文档翻译
  • 深度研究
  • 学术资讯
  • Suppr Zotero 插件Zotero 插件
  • 邀请有礼
  • 套餐&价格
  • 历史记录
应用&插件
Suppr Zotero 插件Zotero 插件浏览器插件Mac 客户端Windows 客户端微信小程序
定价
高级版会员购买积分包购买API积分包
服务
文献检索文档翻译深度研究API 文档MCP 服务
关于我们
关于 Suppr公司介绍联系我们用户协议隐私条款
关注我们

Suppr 超能文献

核心技术专利:CN118964589B侵权必究
粤ICP备2023148730 号-1Suppr @ 2026

文献检索

告别复杂PubMed语法,用中文像聊天一样搜索,搜遍4000万医学文献。AI智能推荐,让科研检索更轻松。

立即免费搜索

文件翻译

保留排版,准确专业,支持PDF/Word/PPT等文件格式,支持 12+语言互译。

免费翻译文档

深度研究

AI帮你快速写综述,25分钟生成高质量综述,智能提取关键信息,辅助科研写作。

立即免费体验

内镜超声检查鉴别胆囊病变和导管内乳头状黏液性肿瘤的新技术:一项单中心前瞻性研究

Novel Technique of Endoscopic Ultrasonography for the Differential Diagnosis of Gallbladder Lesions and Intraductal Papillary Mucinous Neoplasms: A Single-Center Prospective Study.

作者信息

Yamashita Yasunobu, Ashida Reiko, Tamura Takaaki, Shimokawa Toshio, Yamazaki Hirofumi, Kawaji Yuki, Tamura Takashi, Hatamaru Keiichi, Itonaga Masahiro, Kitano Masayuki

机构信息

Second Department of Internal Medicine, Wakayama Medical University, 811-1, Kimiidera, Wakayama 641-0012, Japan.

Department of Human Pathology, Wakayama Medical University, 811-1, Kimiidera, Wakayama 641-0012, Japan.

出版信息

Diagnostics (Basel). 2023 Jun 21;13(13):2132. doi: 10.3390/diagnostics13132132.

DOI:10.3390/diagnostics13132132
PMID:37443527
原文链接:https://pmc.ncbi.nlm.nih.gov/articles/PMC10341113/
Abstract

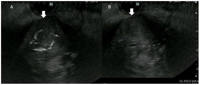
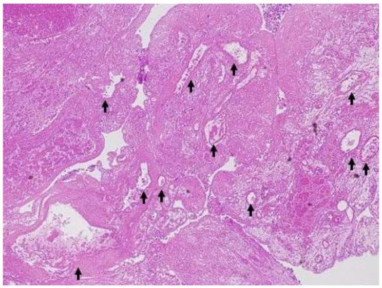
Detective flow imaging endoscopic ultrasonography (DFI-EUS) is an innovative imaging modality that was developed to detect fine vessels and low-velocity blood flow without contrast agents. We evaluate its utility for the differential diagnosis of gallbladder lesions and intraductal papillary mucinous neoplasms (IPMNs). We enrolled patients who underwent DFI-EUS, e-FLOW EUS, and contrast-enhanced EUS for gallbladder lesions or IPMNs. The detection of vessels using DFI-EUS and e-FLOW EUS was compared with that via contrast-enhanced EUS and pathological findings. The vessel pattern was also categorized as regular or irregular. Of the 33 lesions included, there were final diagnoses of 13 IPMNs and 20 gallbladder lesions. DFI-EUS was significantly superior to e-FLOW EUS for discriminating between mural nodules and mucous clots and between solid gallbladder lesions and sludge using the presence or absence of vessel detection in lesions ( = 0.005). An irregular vessel pattern with DFI-EUS was a significant predictor of malignant gallbladder lesions ( = 0.002). DFI-EUS is more sensitive than e-FLOW-EUS for vessel detection and the differential diagnosis of gallbladder lesions and IPMNs. Vessel evaluation using DFI-EUS may be a useful and simple method for differentiating between mural nodules and mucous clots in IPMN, between solid gallbladder lesions and sludge, and between malignant and benign gallbladder lesions.

摘要

侦探流成像内镜超声检查(DFI-EUS)是一种创新的成像方式,其开发目的是在不使用造影剂的情况下检测细小血管和低速血流。我们评估其在胆囊病变和导管内乳头状黏液性肿瘤(IPMN)鉴别诊断中的效用。我们纳入了接受DFI-EUS、e-FLOW EUS和对比增强EUS检查的胆囊病变或IPMN患者。将DFI-EUS和e-FLOW EUS检测血管的情况与对比增强EUS及病理结果进行比较。血管形态也分为规则或不规则。在纳入的33个病变中,最终诊断为13个IPMN和20个胆囊病变。在通过病变中血管检测的有无来鉴别壁结节与黏液凝块以及实性胆囊病变与胆泥方面,DFI-EUS显著优于e-FLOW EUS(P = 0.005)。DFI-EUS显示的不规则血管形态是恶性胆囊病变的显著预测指标(P = 0.002)。DFI-EUS在血管检测以及胆囊病变和IPMN的鉴别诊断方面比e-FLOW-EUS更敏感。使用DFI-EUS进行血管评估可能是一种有用且简单的方法,可用于鉴别IPMN中的壁结节与黏液凝块、实性胆囊病变与胆泥以及恶性与良性胆囊病变。

https://cdn.ncbi.nlm.nih.gov/pmc/blobs/42c0/10341113/50c5245cb1f2/diagnostics-13-02132-g006.jpg
https://cdn.ncbi.nlm.nih.gov/pmc/blobs/42c0/10341113/0f011a256912/diagnostics-13-02132-g001.jpg
https://cdn.ncbi.nlm.nih.gov/pmc/blobs/42c0/10341113/127e25ad3df7/diagnostics-13-02132-g002.jpg
https://cdn.ncbi.nlm.nih.gov/pmc/blobs/42c0/10341113/9792313f005a/diagnostics-13-02132-g003.jpg
https://cdn.ncbi.nlm.nih.gov/pmc/blobs/42c0/10341113/bbf3b9a18fea/diagnostics-13-02132-g004.jpg
https://cdn.ncbi.nlm.nih.gov/pmc/blobs/42c0/10341113/4cee45c8fe3b/diagnostics-13-02132-g005.jpg
https://cdn.ncbi.nlm.nih.gov/pmc/blobs/42c0/10341113/50c5245cb1f2/diagnostics-13-02132-g006.jpg
https://cdn.ncbi.nlm.nih.gov/pmc/blobs/42c0/10341113/0f011a256912/diagnostics-13-02132-g001.jpg
https://cdn.ncbi.nlm.nih.gov/pmc/blobs/42c0/10341113/127e25ad3df7/diagnostics-13-02132-g002.jpg
https://cdn.ncbi.nlm.nih.gov/pmc/blobs/42c0/10341113/9792313f005a/diagnostics-13-02132-g003.jpg
https://cdn.ncbi.nlm.nih.gov/pmc/blobs/42c0/10341113/bbf3b9a18fea/diagnostics-13-02132-g004.jpg
https://cdn.ncbi.nlm.nih.gov/pmc/blobs/42c0/10341113/4cee45c8fe3b/diagnostics-13-02132-g005.jpg
https://cdn.ncbi.nlm.nih.gov/pmc/blobs/42c0/10341113/50c5245cb1f2/diagnostics-13-02132-g006.jpg

相似文献

1
Novel Technique of Endoscopic Ultrasonography for the Differential Diagnosis of Gallbladder Lesions and Intraductal Papillary Mucinous Neoplasms: A Single-Center Prospective Study.内镜超声检查鉴别胆囊病变和导管内乳头状黏液性肿瘤的新技术:一项单中心前瞻性研究
Diagnostics (Basel). 2023 Jun 21;13(13):2132. doi: 10.3390/diagnostics13132132.
2
A Novel Endoscopic Ultrasonography Imaging Technique for Depicting Microcirculation in Pancreatobiliary Lesions without the Need for Contrast-Enhancement: A Prospective Exploratory Study.一种无需增强造影即可描绘胰胆病变微循环的新型内镜超声成像技术:一项前瞻性探索性研究。
Diagnostics (Basel). 2021 Oct 30;11(11):2018. doi: 10.3390/diagnostics11112018.
3
Usefulness of Contrast-Enhanced Harmonic Endoscopic Ultrasonography for Diagnosis of Malignancy in Intraductal Papillary Mucinous Neoplasm.对比增强谐波内镜超声检查在导管内乳头状黏液性肿瘤恶性诊断中的应用价值
Diagnostics (Basel). 2022 Sep 2;12(9):2141. doi: 10.3390/diagnostics12092141.
4
Differential diagnosis of benign and malignant branch duct intraductal papillary mucinous neoplasm using contrast-enhanced endoscopic ultrasonography.使用对比增强内镜超声对良性和恶性分支导管内乳头状黏液性肿瘤进行鉴别诊断。
World J Gastroenterol. 2015 May 28;21(20):6252-60. doi: 10.3748/wjg.v21.i20.6252.
5
Endoscopic ultrasonography for microvascular imaging without contrast enhancement in the differential diagnosis of pancreatic lesions.内镜超声检查在胰腺病变鉴别诊断中用于无对比增强的微血管成像。
Dig Endosc. 2025 Feb;37(2):192-198. doi: 10.1111/den.14889. Epub 2024 Aug 11.
6
Novel endoscopic ultrasonography imaging technique for visualizing microcirculation without contrast enhancement in subepithelial lesions: Prospective study.新型内镜超声成像技术可在黏膜下层病变中无需对比增强的情况下可视化微循环:前瞻性研究。
Dig Endosc. 2021 Sep;33(6):955-961. doi: 10.1111/den.13889. Epub 2020 Dec 23.
7
Usefulness of contrast-enhanced endoscopic sonography for discriminating mural nodules from mucous clots in intraductal papillary mucinous neoplasms: a single-center prospective study.对比增强内镜超声对鉴别导管内乳头状黏液性肿瘤壁结节与黏液栓的作用:一项单中心前瞻性研究。
J Ultrasound Med. 2013 Jan;32(1):61-8. doi: 10.7863/jum.2013.32.1.61.
8
Differential Diagnosis of Solid Pancreatic Lesions Using Detective Flow Imaging Endoscopic Ultrasonography.利用检测血流成像内镜超声对胰腺实性病变进行鉴别诊断。
Diagnostics (Basel). 2024 Apr 24;14(9):882. doi: 10.3390/diagnostics14090882.
9
Can contrast-enhanced harmonic endoscopic ultrasonography accurately diagnose main pancreatic duct involvement in intraductal papillary mucinous neoplasms?增强谐波超声内镜检查能否准确诊断胰管内乳头状黏液性肿瘤主胰管受累?
Pancreatology. 2020 Jul;20(5):887-894. doi: 10.1016/j.pan.2020.06.004. Epub 2020 Jun 11.
10
Effectiveness of contrast-enhanced endoscopic ultrasound for detecting mural nodules in intraductal papillary mucinous neoplasm of the pancreas and for making therapeutic decisions.对比增强内镜超声在检测胰腺导管内乳头状黏液性肿瘤壁结节及做出治疗决策方面的有效性。
Endosc Ultrasound. 2016 Nov-Dec;5(6):377-383. doi: 10.4103/2303-9027.190927.

引用本文的文献

1
Advances in Endoscopic Ultrasonography-Based Diagnosis of Pancreatic Lesions: Narrative Review.基于内镜超声的胰腺病变诊断进展:叙述性综述
Cancers (Basel). 2025 Jan 7;17(2):172. doi: 10.3390/cancers17020172.
2
Diagnostic Accuracy of Detective Flow Imaging Endoscopic Ultrasonography for Evaluating Blood Flow Within Mural Nodules of Intraductal Papillary Mucinous Neoplasms.用于评估导管内乳头状黏液性肿瘤壁内结节内血流的超声内镜造影成像的诊断准确性
Diagnostics (Basel). 2025 Jan 16;15(2):196. doi: 10.3390/diagnostics15020196.
3
Endoscopic Ultrasound and Intraductal Ultrasound in the Diagnosis of Biliary Tract Diseases: A Narrative Review.

本文引用的文献

1
Diagnostic Value of Superb Microvascular Imaging in Differentiating Benign and Malignant Breast Tumors: A Systematic Review and Meta-Analysis.超微血管成像在鉴别乳腺良恶性肿瘤中的诊断价值:一项系统评价与Meta分析
Diagnostics (Basel). 2022 Oct 31;12(11):2648. doi: 10.3390/diagnostics12112648.
2
Usefulness of Contrast-Enhanced Harmonic Endoscopic Ultrasonography for Diagnosis of Malignancy in Intraductal Papillary Mucinous Neoplasm.对比增强谐波内镜超声检查在导管内乳头状黏液性肿瘤恶性诊断中的应用价值
Diagnostics (Basel). 2022 Sep 2;12(9):2141. doi: 10.3390/diagnostics12092141.
3
A Novel Endoscopic Ultrasonography Imaging Technique for Depicting Microcirculation in Pancreatobiliary Lesions without the Need for Contrast-Enhancement: A Prospective Exploratory Study.
内镜超声和导管内超声在胆道疾病诊断中的应用:一项叙述性综述
Diagnostics (Basel). 2024 Sep 20;14(18):2086. doi: 10.3390/diagnostics14182086.
4
Detective flow imaging contrast-enhanced EUS in solid pancreatic lesions.侦探式血流成像对比增强超声内镜在胰腺实性病变中的应用
Endosc Ultrasound. 2024 Jul-Aug;13(4):248-252. doi: 10.1097/eus.0000000000000076. Epub 2024 Aug 23.
5
Transabdominal ultrasound evaluation of vascularity of gallbladder lesions: particularly those with wall thickening.经腹超声评估胆囊病变的血供:特别是那些伴有胆囊壁增厚的病变。
J Med Ultrason (2001). 2024 Jul;51(3):429-436. doi: 10.1007/s10396-024-01467-3. Epub 2024 Jun 16.
一种无需增强造影即可描绘胰胆病变微循环的新型内镜超声成像技术:一项前瞻性探索性研究。
Diagnostics (Basel). 2021 Oct 30;11(11):2018. doi: 10.3390/diagnostics11112018.
4
Utility of multiphase contrast enhancement patterns on CEH-EUS for the differential diagnosis of IPMN-derived and conventional pancreatic cancer.CEH-EUS 多相增强模式对胰管内乳头状黏液性肿瘤源性和常规胰腺癌的鉴别诊断的作用。
Pancreatology. 2021 Mar;21(2):390-396. doi: 10.1016/j.pan.2020.12.022. Epub 2021 Jan 12.
5
Novel endoscopic ultrasonography imaging technique for visualizing microcirculation without contrast enhancement in subepithelial lesions: Prospective study.新型内镜超声成像技术可在黏膜下层病变中无需对比增强的情况下可视化微循环:前瞻性研究。
Dig Endosc. 2021 Sep;33(6):955-961. doi: 10.1111/den.13889. Epub 2020 Dec 23.
6
Efficacy of superb microvascular imaging of ultrasound for diagnosis of gallbladder lesion.超声超能微血管成像对胆囊病变的诊断效能。
J Hepatobiliary Pancreat Sci. 2020 Dec;27(12):977-983. doi: 10.1002/jhbp.841. Epub 2020 Nov 6.
7
The Value of Microvascular Imaging for Triaging Indeterminate Cervical Lymph Nodes in Patients with Papillary Thyroid Carcinoma.微血管成像在甲状腺乳头状癌患者不确定颈部淋巴结分类中的价值
Cancers (Basel). 2020 Oct 1;12(10):2839. doi: 10.3390/cancers12102839.
8
Superb Microvascular Imaging Improves Detection of Vascularity in Indeterminate Renal Masses.超微血管成像可提高对肾实性肿块血管的检测能力。
J Ultrasound Med. 2020 Oct;39(10):1947-1955. doi: 10.1002/jum.15299. Epub 2020 Apr 20.
9
Current Status of Mucosal Imaging with Narrow-Band Imaging in the Esophagus.食管窄带成像黏膜成像的现状。
Gut Liver. 2021 Jul 15;15(4):492-499. doi: 10.5009/gnl20031.
10
Superb Microvascular Imaging in the Evaluation of Pediatric Graves Disease and Hashimoto Thyroiditis.超声微血管成像技术在儿童格雷夫斯病和桥本甲状腺炎评估中的应用。
J Ultrasound Med. 2020 May;39(5):901-909. doi: 10.1002/jum.15171. Epub 2019 Nov 9.