• 文献检索
  • 文档翻译
  • 深度研究
  • 学术资讯
  • Suppr Zotero 插件Zotero 插件
  • 邀请有礼
  • 套餐&价格
  • 历史记录
应用&插件
Suppr Zotero 插件Zotero 插件浏览器插件Mac 客户端Windows 客户端微信小程序
定价
高级版会员购买积分包购买API积分包
服务
文献检索文档翻译深度研究API 文档MCP 服务
关于我们
关于 Suppr公司介绍联系我们用户协议隐私条款
关注我们

Suppr 超能文献

核心技术专利:CN118964589B侵权必究
粤ICP备2023148730 号-1Suppr @ 2026

文献检索

告别复杂PubMed语法,用中文像聊天一样搜索,搜遍4000万医学文献。AI智能推荐,让科研检索更轻松。

立即免费搜索

文件翻译

保留排版,准确专业,支持PDF/Word/PPT等文件格式,支持 12+语言互译。

免费翻译文档

深度研究

AI帮你快速写综述,25分钟生成高质量综述,智能提取关键信息,辅助科研写作。

立即免费体验

多排CT成像生物标志物作为休克预后的预测指标:最新进展与未来方向

Multidetector CT Imaging Biomarkers as Predictors of Prognosis in Shock: Updates and Future Directions.

作者信息

Valente Tullio, Bocchini Giorgio, Massimo Candida, Rea Gaetano, Lieto Roberta, Guarino Salvatore, Muto Emanuele, Abu-Omar Ahmad, Scaglione Mariano, Sica Giacomo

机构信息

Department of Radiology, Monaldi Hospital, Azienda dei Colli, 80131 Naples, Italy.

Department of Radiology, Vancouver General Hospital, 899 W 12th Avenue, Vancouver, BC V5Z 1M9, Canada.

出版信息

Diagnostics (Basel). 2023 Jul 7;13(13):2304. doi: 10.3390/diagnostics13132304.

DOI:10.3390/diagnostics13132304
PMID:37443697
原文链接:https://pmc.ncbi.nlm.nih.gov/articles/PMC10341185/
Abstract

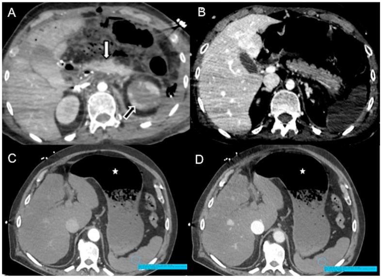
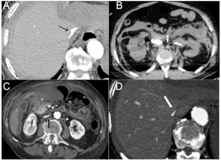
A severe mismatch between the supply and demand of oxygen is the common sequela of all types of shock, which present a mortality of up to 80%. Various organs play a protective role in shock and contribute to whole-body homeostasis. The ever-increasing number of multidetector CT examinations in severely ill and sometimes unstable patients leads to more frequently encountered findings leading to imminent death, together called "hypovolemic shock complex". Features on CT include dense opacification of the right heart and major systemic veins, venous layering of contrast material and blood, densely opacified parenchyma in the right hepatic lobe, decreased enhancement of the abdominal organ, a dense pulmonary artery, contrast pooling in dependent lungs, and contrast stasis in pulmonary veins. These findings are biomarkers and prognostic indicators of paramount importance which stratify risk and improve patient outcomes. In this review, we illustrate the various CT patterns in shock and review the spectrum and prognostic significance of thoraco-abdominal vascular and visceral alarming signs of impending death with the intention of increasing awareness among radiologists and radiographers to prepare for immediate resuscitation when required.

摘要

氧供需严重不匹配是各类休克的常见后遗症,其死亡率高达80%。各种器官在休克中发挥保护作用并有助于维持全身内环境稳定。在重症且有时不稳定的患者中,多排CT检查数量不断增加,导致更多常出现的即将死亡的影像学表现,统称为“低血容量性休克综合征”。CT表现包括右心和主要体静脉致密强化、对比剂与血液的静脉分层、右肝叶实质致密强化、腹部器官强化减弱、肺动脉致密、下垂肺野对比剂积聚以及肺静脉对比剂滞留。这些表现是极其重要的生物标志物和预后指标,可对风险进行分层并改善患者预后。在本综述中,我们阐述了休克中的各种CT表现模式,并回顾了胸腹部血管及内脏即将死亡的警示征象的范围和预后意义,旨在提高放射科医生和放射技师的认识,以便在需要时为立即复苏做好准备。

https://cdn.ncbi.nlm.nih.gov/pmc/blobs/7f23/10341185/79dc071e09d5/diagnostics-13-02304-g008.jpg
https://cdn.ncbi.nlm.nih.gov/pmc/blobs/7f23/10341185/176029d68b5e/diagnostics-13-02304-g001.jpg
https://cdn.ncbi.nlm.nih.gov/pmc/blobs/7f23/10341185/cad2a9bbfbff/diagnostics-13-02304-g002.jpg
https://cdn.ncbi.nlm.nih.gov/pmc/blobs/7f23/10341185/b2c65a6e71ed/diagnostics-13-02304-g003.jpg
https://cdn.ncbi.nlm.nih.gov/pmc/blobs/7f23/10341185/2b5631d5d080/diagnostics-13-02304-g004.jpg
https://cdn.ncbi.nlm.nih.gov/pmc/blobs/7f23/10341185/e214712a3306/diagnostics-13-02304-g005.jpg
https://cdn.ncbi.nlm.nih.gov/pmc/blobs/7f23/10341185/e457222f7c57/diagnostics-13-02304-g006.jpg
https://cdn.ncbi.nlm.nih.gov/pmc/blobs/7f23/10341185/635437d8be6d/diagnostics-13-02304-g007.jpg
https://cdn.ncbi.nlm.nih.gov/pmc/blobs/7f23/10341185/79dc071e09d5/diagnostics-13-02304-g008.jpg
https://cdn.ncbi.nlm.nih.gov/pmc/blobs/7f23/10341185/176029d68b5e/diagnostics-13-02304-g001.jpg
https://cdn.ncbi.nlm.nih.gov/pmc/blobs/7f23/10341185/cad2a9bbfbff/diagnostics-13-02304-g002.jpg
https://cdn.ncbi.nlm.nih.gov/pmc/blobs/7f23/10341185/b2c65a6e71ed/diagnostics-13-02304-g003.jpg
https://cdn.ncbi.nlm.nih.gov/pmc/blobs/7f23/10341185/2b5631d5d080/diagnostics-13-02304-g004.jpg
https://cdn.ncbi.nlm.nih.gov/pmc/blobs/7f23/10341185/e214712a3306/diagnostics-13-02304-g005.jpg
https://cdn.ncbi.nlm.nih.gov/pmc/blobs/7f23/10341185/e457222f7c57/diagnostics-13-02304-g006.jpg
https://cdn.ncbi.nlm.nih.gov/pmc/blobs/7f23/10341185/635437d8be6d/diagnostics-13-02304-g007.jpg
https://cdn.ncbi.nlm.nih.gov/pmc/blobs/7f23/10341185/79dc071e09d5/diagnostics-13-02304-g008.jpg

相似文献

1
Multidetector CT Imaging Biomarkers as Predictors of Prognosis in Shock: Updates and Future Directions.多排CT成像生物标志物作为休克预后的预测指标:最新进展与未来方向
Diagnostics (Basel). 2023 Jul 7;13(13):2304. doi: 10.3390/diagnostics13132304.
2
Case series: CT scan in cardiac arrest and imminent cardiogenic shock.病例系列:心脏骤停和即将发生的心源性休克的CT扫描
Indian J Radiol Imaging. 2010 May;20(2):150-3. doi: 10.4103/0971-3026.63037.
3
A survival after cardiac arrest during CT scan: The critical imaging findings.CT扫描期间心脏骤停后的存活:关键影像学表现
Radiol Case Rep. 2021 Dec 3;17(2):373-375. doi: 10.1016/j.radcr.2021.11.011. eCollection 2022 Feb.
4
Case report of dependent venous contrast pooling and layering in a patient without acute cardiogenic shock.一例无急性心源性休克患者出现依赖静脉造影剂聚集和分层的病例报告。
Medicine (Baltimore). 2018 Nov;97(47):e13277. doi: 10.1097/MD.0000000000013277.
5
Imaging in Circulatory Arrest: Lessons to be Learned.循环骤停中的影像学检查:可吸取的经验教训
J Clin Imaging Sci. 2019 Oct 24;9:44. doi: 10.25259/JCIS_127_2019. eCollection 2019.
6
Signs of post-traumatic hypovolemia on abdominal CT and their clinical importance: A systematic review.腹部CT上创伤后低血容量的征象及其临床意义:一项系统综述。
Eur J Radiol. 2020 Mar;124:108800. doi: 10.1016/j.ejrad.2019.108800. Epub 2019 Dec 24.
7
Traumatic hypovolemic shock revisited: the spectrum of contrast-enhanced abdominal computed tomography findings and clinical implications for its management.创伤性低血容量性休克再探讨:腹部增强计算机断层扫描结果的范围及其管理的临床意义。
Jpn J Radiol. 2014 Oct;32(10):579-84. doi: 10.1007/s11604-014-0354-5. Epub 2014 Aug 31.
8
Contrast Pooling and Layering in a Patient with Left Main Coronary Artery Occlusion and Cardiogenic Shock.左主干冠状动脉闭塞并心源性休克患者的对比剂聚集与分层
Acta Cardiol Sin. 2015 Sep;31(5):461-3. doi: 10.6515/acs20150511a.
9
A pictorial review of hypovolaemic shock in adults.成人低血容量性休克的图片综述。
Br J Radiol. 2008 Mar;81(963):252-7. doi: 10.1259/bjr/40962054. Epub 2008 Jan 7.
10
CT signs of hypovolemic shock complex in patients with non-traumatic shock.
Abdom Radiol (NY). 2023 Jan;48(1):229-235. doi: 10.1007/s00261-022-03698-9. Epub 2022 Oct 12.

引用本文的文献

1
Rapid, moderate, or slow bleeding? CT analysis of abdominopelvic active vascular contrast extravasation classes and mortality outcomes.快速、中度还是缓慢出血?腹盆腔活动性血管造影剂外渗分级的CT分析及死亡率结果。
Eur Radiol. 2025 May 21. doi: 10.1007/s00330-025-11693-z.
2
Imaging-based biomarkers in acute pancreatitis: the predictive value of adrenal contrast ratios for intensive care unit admission.急性胰腺炎中基于影像学的生物标志物:肾上腺对比率对入住重症监护病房的预测价值。
Abdom Radiol (NY). 2025 Apr 10. doi: 10.1007/s00261-025-04931-x.

本文引用的文献

1
Obstructive Shock, from Diagnosis to Treatment.阻塞性休克:从诊断到治疗
Rev Cardiovasc Med. 2022 Jun 29;23(7):248. doi: 10.31083/j.rcm2307248. eCollection 2022 Jul.
2
Flat Inferior Vena Cava on Computed Tomography for Predicting Shock and Mortality in Trauma: A Meta-Analysis.计算机断层扫描显示下腔静脉扁平对预测创伤性休克和死亡率的影响:一项荟萃分析
Diagnostics (Basel). 2022 Nov 28;12(12):2972. doi: 10.3390/diagnostics12122972.
3
Shock in Trauma.创伤性休克。
Emerg Med Clin North Am. 2023 Feb;41(1):1-17. doi: 10.1016/j.emc.2022.09.007.
4
Shock Thyroid in a Patient with Septic Shock: A Case Report and Literature Review.脓毒性休克患者的休克性甲状腺炎:一例报告及文献综述
Taehan Yongsang Uihakhoe Chi. 2021 Sep;82(5):1328-1333. doi: 10.3348/jksr.2020.0213. Epub 2021 Jul 14.
5
Edema formation in congestive heart failure and the underlying mechanisms.充血性心力衰竭中的水肿形成及其潜在机制。
Front Cardiovasc Med. 2022 Sep 27;9:933215. doi: 10.3389/fcvm.2022.933215. eCollection 2022.
6
CT signs of hypovolemic shock complex in patients with non-traumatic shock.
Abdom Radiol (NY). 2023 Jan;48(1):229-235. doi: 10.1007/s00261-022-03698-9. Epub 2022 Oct 12.
7
The Portal-Venous Enhancement Ratio of the Adrenal Glands and Spleen as a Short-Term Predictor of Mortality in Intensive Care Patients.肾上腺腺体与脾脏的门脉增强比值可作为重症监护患者短期死亡率的预测指标。
Rofo. 2022 Nov;194(11):1250-1257. doi: 10.1055/a-1830-7412. Epub 2022 Jun 8.
8
The cardiosplenic axis: the prognostic role of the spleen in heart failure.心脾轴:脾脏在心力衰竭中的预后作用。
Heart Fail Rev. 2022 Nov;27(6):2005-2015. doi: 10.1007/s10741-022-10248-4. Epub 2022 May 18.
9
Contrast Agent Pooling (C.A.P.) sign and imminent cardiac arrest: a retrospective study.对比剂积聚(C.A.P.)征象与即将发生的心脏骤停:一项回顾性研究。
BMC Emerg Med. 2022 May 6;22(1):77. doi: 10.1186/s12873-022-00634-4.
10
Optimization of CT protocol in polytrauma patients: an update.多创伤患者 CT 协议的优化:更新。
Eur Rev Med Pharmacol Sci. 2022 Apr;26(7):2543-2555. doi: 10.26355/eurrev_202204_28491.