• 文献检索
  • 文档翻译
  • 深度研究
  • 学术资讯
  • Suppr Zotero 插件Zotero 插件
  • 邀请有礼
  • 套餐&价格
  • 历史记录
应用&插件
Suppr Zotero 插件Zotero 插件浏览器插件Mac 客户端Windows 客户端微信小程序
定价
高级版会员购买积分包购买API积分包
服务
文献检索文档翻译深度研究API 文档MCP 服务
关于我们
关于 Suppr公司介绍联系我们用户协议隐私条款
关注我们

Suppr 超能文献

核心技术专利:CN118964589B侵权必究
粤ICP备2023148730 号-1Suppr @ 2026

文献检索

告别复杂PubMed语法,用中文像聊天一样搜索,搜遍4000万医学文献。AI智能推荐,让科研检索更轻松。

立即免费搜索

文件翻译

保留排版,准确专业,支持PDF/Word/PPT等文件格式,支持 12+语言互译。

免费翻译文档

深度研究

AI帮你快速写综述,25分钟生成高质量综述,智能提取关键信息,辅助科研写作。

立即免费体验

在北印度人群中,利用曲面断层片评估冠状突、髁突和乙状切迹的形态变异作为个人识别的辅助手段。

Assessment of Morphological Variations of the Coronoid Process, Condyle, and Sigmoid Notch as an Adjunct in Personal Identification Using Orthopantomograms Among the North Indian Population.

作者信息

Bains Sandeep K, Bhatia Archana, Kumar Nishant, Kataria Aman, Balmuchu Isha, Srivastava Sanjeeta

机构信息

Department of Oral Medicine and Radiology, Surendera Dental College and Research Institute, Sri Ganganagar, IND.

Department of Periodontology and Implantology, Surendera Dental College and Research Institute, Sri Ganganagar, IND.

出版信息

Cureus. 2023 Jun 11;15(6):e40275. doi: 10.7759/cureus.40275. eCollection 2023 Jun.

DOI:10.7759/cureus.40275
PMID:37448437
原文链接:https://pmc.ncbi.nlm.nih.gov/articles/PMC10336369/
Abstract

AIM

The aim of this study is to assess morphological variations of the coronoid process, condyle, and sigmoid notch as an adjunct in personal identification using orthopantomograms among the North Indian population.

METHODOLOGY

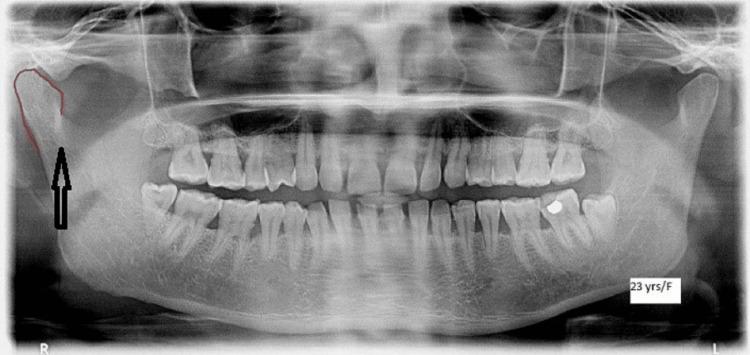
The study sample (n=240) was distributed into four age groups: Group I: 30 males and 30 females aged 10-19 years, Group II: 30 males and 30 females aged 20-29 years, Group III: 30 males and 30 females aged 30-39 years, and Group IV: 30 males and 30 females aged 40-59 years. All were subjected to panoramic radiographs. The different morphological forms of the coronoid process, condyle, and sigmoid notch were evaluated.

RESULTS

The results showed that across all age groups, angular condyles were the most common kind of condyle in males, followed by round and convex types. The present study found that the coronoid process typically takes on a triangle shape across all ages and sexes. Additionally, the vast majority of cases were triangular on both sides, and this was true across both sexes. It was found in this study that the sigmoid notch most commonly took the form of a larger notch, followed by a rounder notch.

CONCLUSION

Using panoramic photos to portray the different morphologies of the coronoid process, condyle, and sigmoid notch can be a much simpler and faster method of identifying an individual, especially in the event of a mass disaster, so long as antemortem data are kept. The method of radiographic identification of individuals has recently gained prominence due to its efficacy. Radiographs like these can be invaluable in forensic dentistry, where they can help unearth previously hidden evidence if premortem records are retained. As a potential approach for individual identification among our population, panoramic radiographs were used to investigate the varying morphological forms of the coronoid process, condyle, and sigmoid notch.

摘要

目的

本研究的目的是评估在北印度人群中使用曲面断层片时,冠突、髁突和乙状切迹的形态变化,作为个人识别的辅助手段。

方法

研究样本(n = 240)分为四个年龄组:第一组:30名男性和30名女性,年龄在10 - 19岁;第二组:30名男性和30名女性,年龄在20 - 29岁;第三组:30名男性和30名女性,年龄在30 - 39岁;第四组:30名男性和30名女性,年龄在40 - 59岁。所有人均接受全景X线片检查。对冠突、髁突和乙状切迹的不同形态进行评估。

结果

结果显示,在所有年龄组中,男性的髁突以角形髁突最为常见,其次是圆形和凸形。本研究发现,冠突在所有年龄和性别中通常呈三角形。此外,绝大多数病例两侧均为三角形,男女皆是如此。本研究发现,乙状切迹最常见的形态是较大的切迹,其次是较圆的切迹。

结论

使用全景照片描绘冠突、髁突和乙状切迹的不同形态,可能是一种更简单、快速的个人识别方法,尤其是在发生大规模灾难的情况下,只要保留生前数据即可。由于其有效性,个体的放射学识别方法最近受到了关注。像这样的X线片在法医牙科学中可能非常宝贵,如果保留生前记录,它们可以帮助挖掘以前隐藏的证据。作为我们人群中个体识别的一种潜在方法,使用全景X线片来研究冠突、髁突和乙状切迹的不同形态。

https://cdn.ncbi.nlm.nih.gov/pmc/blobs/3794/10336369/d3e7b6125dda/cureus-0015-00000040275-i09.jpg
https://cdn.ncbi.nlm.nih.gov/pmc/blobs/3794/10336369/0036054c6c72/cureus-0015-00000040275-i01.jpg
https://cdn.ncbi.nlm.nih.gov/pmc/blobs/3794/10336369/f0667039faec/cureus-0015-00000040275-i02.jpg
https://cdn.ncbi.nlm.nih.gov/pmc/blobs/3794/10336369/29f05528459a/cureus-0015-00000040275-i03.jpg
https://cdn.ncbi.nlm.nih.gov/pmc/blobs/3794/10336369/119984c679e9/cureus-0015-00000040275-i04.jpg
https://cdn.ncbi.nlm.nih.gov/pmc/blobs/3794/10336369/5eb7daddd087/cureus-0015-00000040275-i05.jpg
https://cdn.ncbi.nlm.nih.gov/pmc/blobs/3794/10336369/73b3298251ff/cureus-0015-00000040275-i06.jpg
https://cdn.ncbi.nlm.nih.gov/pmc/blobs/3794/10336369/5c3909ce5a42/cureus-0015-00000040275-i07.jpg
https://cdn.ncbi.nlm.nih.gov/pmc/blobs/3794/10336369/23d45051deb7/cureus-0015-00000040275-i08.jpg
https://cdn.ncbi.nlm.nih.gov/pmc/blobs/3794/10336369/d3e7b6125dda/cureus-0015-00000040275-i09.jpg
https://cdn.ncbi.nlm.nih.gov/pmc/blobs/3794/10336369/0036054c6c72/cureus-0015-00000040275-i01.jpg
https://cdn.ncbi.nlm.nih.gov/pmc/blobs/3794/10336369/f0667039faec/cureus-0015-00000040275-i02.jpg
https://cdn.ncbi.nlm.nih.gov/pmc/blobs/3794/10336369/29f05528459a/cureus-0015-00000040275-i03.jpg
https://cdn.ncbi.nlm.nih.gov/pmc/blobs/3794/10336369/119984c679e9/cureus-0015-00000040275-i04.jpg
https://cdn.ncbi.nlm.nih.gov/pmc/blobs/3794/10336369/5eb7daddd087/cureus-0015-00000040275-i05.jpg
https://cdn.ncbi.nlm.nih.gov/pmc/blobs/3794/10336369/73b3298251ff/cureus-0015-00000040275-i06.jpg
https://cdn.ncbi.nlm.nih.gov/pmc/blobs/3794/10336369/5c3909ce5a42/cureus-0015-00000040275-i07.jpg
https://cdn.ncbi.nlm.nih.gov/pmc/blobs/3794/10336369/23d45051deb7/cureus-0015-00000040275-i08.jpg
https://cdn.ncbi.nlm.nih.gov/pmc/blobs/3794/10336369/d3e7b6125dda/cureus-0015-00000040275-i09.jpg

相似文献

1
Assessment of Morphological Variations of the Coronoid Process, Condyle, and Sigmoid Notch as an Adjunct in Personal Identification Using Orthopantomograms Among the North Indian Population.在北印度人群中,利用曲面断层片评估冠状突、髁突和乙状切迹的形态变异作为个人识别的辅助手段。
Cureus. 2023 Jun 11;15(6):e40275. doi: 10.7759/cureus.40275. eCollection 2023 Jun.
2
Distinctive Anatomical Patterns of the Mandibular Coronoid Process, Condyle, and Sigmoid Notch: Cone Beam Computed Tomography (CBCT) Imaging for Advanced Personal Identification.下颌冠突、髁突和乙状切迹的独特解剖模式:用于高级个人身份识别的锥形束计算机断层扫描(CBCT)成像
Cureus. 2024 May 24;16(5):e60978. doi: 10.7759/cureus.60978. eCollection 2024 May.
3
Morphometric anlaysis of mandibular coronoid, condyle and sigmoid shape using panoromic view for personal identification in south Indian population.利用全景视图对印度南部人群下颌冠突、髁突和乙状切迹形态进行形态测量分析以用于个人识别。
J Clin Imaging Sci. 2022 May 5;12:25. doi: 10.25259/JCIS_27_2022. eCollection 2022.
4
Anatomical Variants of Condylar Process, Coronoid Process, and Sigmoid Notch in a Maharashtrian Population: A Radiographic Study.马哈拉施特拉邦人群中髁突、冠状突和乙状切迹的解剖变异:一项影像学研究。
Cureus. 2023 Jun 14;15(6):e40434. doi: 10.7759/cureus.40434. eCollection 2023 Jun.
5
Radiographic features of cleidocranial dysplasia on panoramic radiographs.全景X线片上锁骨颅骨发育不全的影像学特征。
Imaging Sci Dent. 2021 Sep;51(3):271-278. doi: 10.5624/isd.20201007. Epub 2021 Aug 11.
6
Assessment of condyle-coronoid angle and gonial angle for gender determination: A digital panoramic study in Bagalkot population.髁突-冠状突角和下颌角用于性别判定的评估:巴加尔科特人群的数字化全景研究
J Oral Maxillofac Pathol. 2022 Jul-Sep;26(3):414-418. doi: 10.4103/jomfp.jomfp_74_22. Epub 2022 Oct 17.
7
Assessment of Mandibular Surface Area Changes in Bruxers Controls on Panoramic Radiographic Images: A Case Control Study.磨牙症患者与对照组全景X线片下颌骨表面积变化的评估:一项病例对照研究。
Open Dent J. 2018 Sep 28;12:753-761. doi: 10.2174/1745017901814010753. eCollection 2018.
8
Injuries to the Coronoid Process of the Ulna with Involvement of the Lesser Sigmoid Notch.尺骨冠突的损伤伴有小乙状切迹的参与。
Z Orthop Unfall. 2022 Feb;160(1):35-39. doi: 10.1055/a-1263-1742. Epub 2020 Oct 15.
9
Location and shape of the mandibular lingula: Comparison of skeletal class I and class III patients using panoramic radiography and cone-beam computed tomography.下颌小舌的位置与形态:使用全景X线摄影术和锥形束计算机断层扫描对I类和III类骨骼患者的比较
Imaging Sci Dent. 2018 Sep;48(3):185-190. doi: 10.5624/isd.2018.48.3.185. Epub 2018 Sep 18.
10
[Case-control study on combined therapy for preventing postsurgery stiffness after elbow fracture].[预防肘部骨折术后僵硬联合治疗的病例对照研究]
Zhongguo Gu Shang. 2011 Jun;24(6):474-8.

引用本文的文献

1
Three-Dimensional Assessment of Mandibular Morphology Across Vertical Facial Growth Patterns Using Cone-Beam Computed Tomography: A Cross-Sectional Study.使用锥形束计算机断层扫描对不同垂直面部生长模式下的下颌骨形态进行三维评估:一项横断面研究。
Cureus. 2025 May 27;17(5):e84895. doi: 10.7759/cureus.84895. eCollection 2025 May.
2
A Morphometric Evaluation of the Mandibular Condyle, Coronoid Process, and Gonial Angle: Age and Gender Differences in CBCT Imaging.下颌髁突、喙突和下颌角的形态计量学评估:CBCT成像中的年龄和性别差异
Diagnostics (Basel). 2025 Jun 8;15(12):1459. doi: 10.3390/diagnostics15121459.
3
Panoramic Radiographic Analysis of Age- and Sex-related Variations in Upper Mandibular Morphology: Focus on the Condyle, Sigmoid Notch, and Coronoid Process.

本文引用的文献

1
Evaluation of Normal Morphology of Mandibular Condyle: A Radiographic Survey.下颌髁突正常形态的评估:一项影像学调查。
J Clin Imaging Sci. 2020 Aug 17;10:51. doi: 10.25259/JCIS_84_2020. eCollection 2020.
2
Uniqueness of radiographic patterns of the frontal sinus for personal identification.用于个人识别的额窦放射影像模式的独特性。
Imaging Sci Dent. 2012 Dec;42(4):213-7. doi: 10.5624/isd.2012.42.4.213. Epub 2012 Dec 23.
3
Use of frontal sinus and nasal septum patterns as an aid in personal identification: A digital radiographic pilot study.
上颌骨形态学中年龄和性别相关变异的全景放射学分析:聚焦于髁突、乙状切迹和冠突。
In Vivo. 2025 Jan-Feb;39(1):311-317. doi: 10.21873/invivo.13829.
4
Sex prediction through machine learning utilizing mandibular condyles, coronoid processes, and sigmoid notches features.利用下颌髁突、喙突和乙状切迹特征的机器学习进行性别预测。
PLoS One. 2024 Nov 15;19(11):e0312824. doi: 10.1371/journal.pone.0312824. eCollection 2024.
利用额窦和鼻中隔形态辅助个人身份识别:一项数字化放射摄影初步研究。
J Forensic Dent Sci. 2010 Jul;2(2):77-80. doi: 10.4103/0975-1475.81286.
4
Comparison of three radiographic methods for detection of morphological temporomandibular joint changes: panoramic, scanographic and tomographic examination.三种用于检测颞下颌关节形态变化的影像学方法的比较:全景片、扫描片和断层片检查。
Dentomaxillofac Radiol. 2009 Mar;38(3):134-40. doi: 10.1259/dmfr/31066378.
5
Frontal sinus accuracy in identification as measured by false positives in kin groups.通过亲属群体中的假阳性来衡量的额窦识别准确性。
J Forensic Sci. 2008 Nov;53(6):1280-2. doi: 10.1111/j.1556-4029.2008.00851.x. Epub 2008 Aug 18.
6
Microanatomy and surgical approaches to the infratemporal fossa: an anaglyphic three-dimensional stereoscopic printing study.颞下窝的显微解剖与手术入路:一项互补色三维立体打印研究
Skull Base. 2007 Sep;17(5):285-302. doi: 10.1055/s-2007-985193.
7
The shape of the condyle and position of the meniscus in temporomandibular joint dysfunction.颞下颌关节紊乱中髁突的形状及半月板的位置
Br J Oral Maxillofac Surg. 1994 Apr;32(2):71-6. doi: 10.1016/0266-4356(94)90130-9.
8
Morphologic changes in the temporomandibular joint in different age groups. An autopsy investigation.不同年龄组颞下颌关节的形态学变化。一项尸检研究。
Oral Surg Oral Med Oral Pathol. 1994 Sep;78(3):279-87. doi: 10.1016/0030-4220(94)90055-8.
9
Impact of TMJ radiographs on clinician decision making.颞下颌关节X线片对临床医生决策的影响。
Oral Surg Oral Med Oral Pathol Oral Radiol Endod. 1995 Mar;79(3):375-81. doi: 10.1016/s1079-2104(05)80232-x.