• 文献检索
  • 文档翻译
  • 深度研究
  • 学术资讯
  • Suppr Zotero 插件Zotero 插件
  • 邀请有礼
  • 套餐&价格
  • 历史记录
应用&插件
Suppr Zotero 插件Zotero 插件浏览器插件Mac 客户端Windows 客户端微信小程序
定价
高级版会员购买积分包购买API积分包
服务
文献检索文档翻译深度研究API 文档MCP 服务
关于我们
关于 Suppr公司介绍联系我们用户协议隐私条款
关注我们

Suppr 超能文献

核心技术专利:CN118964589B侵权必究
粤ICP备2023148730 号-1Suppr @ 2026

文献检索

告别复杂PubMed语法,用中文像聊天一样搜索,搜遍4000万医学文献。AI智能推荐,让科研检索更轻松。

立即免费搜索

文件翻译

保留排版,准确专业,支持PDF/Word/PPT等文件格式,支持 12+语言互译。

免费翻译文档

深度研究

AI帮你快速写综述,25分钟生成高质量综述,智能提取关键信息,辅助科研写作。

立即免费体验

达沙替尼治疗超过5年后引发的乳糜胸:真的存在限度吗?

Dasatinib-Induced Chylothorax Beyond 5 Years of Treatment: Is There Actually Any Limit?

作者信息

Garcia-Zamalloa Alberto, Basauri Begoña, Urcelay Goretti, Sainz Adriana

机构信息

Internal Medicine Service, Mendaro Hospital, Osakidetza/Basque Health Service, Gipuzkoa, Spain.

Pleural-Respiratory Research Unit, Biodonostia Health Research Institute, Gipuzkoa, Spain.

出版信息

Eur J Case Rep Intern Med. 2023 Jun 7;10(7):003921. doi: 10.12890/2023_003921. eCollection 2023.

DOI:10.12890/2023_003921
PMID:37455693
原文链接:https://pmc.ncbi.nlm.nih.gov/articles/PMC10348434/
Abstract

UNLABELLED

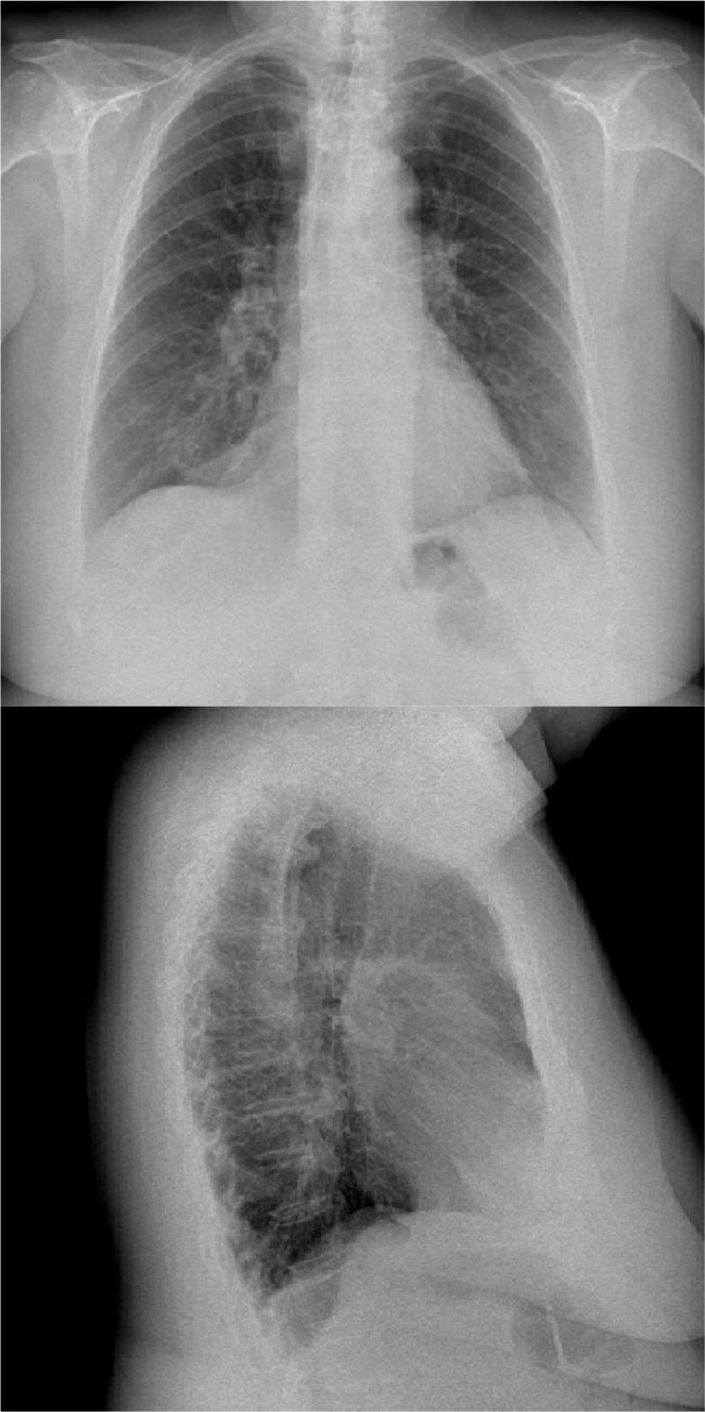
Dasatinib is a tyrosine kinase inhibitor used for treatment of some specific types of leukaemia. The development of pleural effusion is a known adverse effect of dasatinib and chylothorax is exceptional. No case has been reported beyond 5 years of treatment and extensive search for an alternative diagnosis is currently suggested in such scenario. The underlying mechanism is not currently clear. We describe a woman on dasatinib treatment for more than 10 years who developed chylothorax. Drug withdrawal resolved the chylous pleural effusion. We were able to find 14 additional cases of dasatinib-related chylothorax reported up until now.

LEARNING POINTS

Dasatinib is a tyrosine kinase inhibitor used for the treatment of some specific types of leukaemia.Development of pleural effusion is a potential adverse effect, mostly in the first 6 years of treatment. The underlying mechanism is not known.Chylothorax is exceptional, and no case had been described beyond 5 years of treatment; our case would be the first one. We found 14 additional cases of dasatinib-related chylothoraces in a PubMed research.

摘要

未标注

达沙替尼是一种用于治疗某些特定类型白血病的酪氨酸激酶抑制剂。胸腔积液的发生是达沙替尼已知的不良反应,而乳糜胸则较为罕见。治疗超过5年的病例尚未见报道,目前在这种情况下建议广泛寻找其他诊断方法。其潜在机制目前尚不清楚。我们描述了一名接受达沙替尼治疗超过10年的女性,她出现了乳糜胸。停药后乳糜性胸腔积液得以缓解。截至目前,我们还能找到另外14例已报道的与达沙替尼相关的乳糜胸病例。

学习要点

达沙替尼是一种用于治疗某些特定类型白血病的酪氨酸激酶抑制剂。胸腔积液的发生是一种潜在的不良反应,主要发生在治疗的前6年。其潜在机制尚不清楚。乳糜胸较为罕见,治疗超过5年的病例未见描述;我们的病例将是首例。我们在PubMed研究中又发现了14例与达沙替尼相关的乳糜胸病例。

https://cdn.ncbi.nlm.nih.gov/pmc/blobs/fbb9/10348434/6812044acb85/3921_Fig2.jpg
https://cdn.ncbi.nlm.nih.gov/pmc/blobs/fbb9/10348434/219940d8ab80/3921_Fig1.jpg
https://cdn.ncbi.nlm.nih.gov/pmc/blobs/fbb9/10348434/6812044acb85/3921_Fig2.jpg
https://cdn.ncbi.nlm.nih.gov/pmc/blobs/fbb9/10348434/219940d8ab80/3921_Fig1.jpg
https://cdn.ncbi.nlm.nih.gov/pmc/blobs/fbb9/10348434/6812044acb85/3921_Fig2.jpg

相似文献

1
Dasatinib-Induced Chylothorax Beyond 5 Years of Treatment: Is There Actually Any Limit?达沙替尼治疗超过5年后引发的乳糜胸:真的存在限度吗?
Eur J Case Rep Intern Med. 2023 Jun 7;10(7):003921. doi: 10.12890/2023_003921. eCollection 2023.
2
A Dasatinib-Induced Chylothorax Persisting After the Discontinuation of Dasatinib.达沙替尼停药后持续存在的达沙替尼诱导的乳糜胸
Eur J Case Rep Intern Med. 2022 Oct 17;9(10):003601. doi: 10.12890/2022_003601. eCollection 2022.
3
Dasatinib-induced chylothorax: report of a case and review of the literature.达沙替尼致乳糜胸:1 例报告并文献复习。
Invest New Drugs. 2020 Oct;38(5):1627-1632. doi: 10.1007/s10637-020-00932-3. Epub 2020 Apr 4.
4
Drug-induced chylothorax as a rare pleural complication in dasatinib therapy for chronic myeloid leukaemia.达沙替尼治疗慢性髓性白血病致药物性乳糜胸:一种罕见的胸膜并发症。
J R Coll Physicians Edinb. 2024 Mar;54(1):44-47. doi: 10.1177/14782715241237577. Epub 2024 Mar 14.
5
Dasatinib-induced chylothorax in a patient with chronic myeloid leukaemia: a case report and literature review.达沙替尼致慢性髓性白血病患者乳糜胸一例报告及文献复习
Respirol Case Rep. 2021 May 7;9(6):e00753. doi: 10.1002/rcr2.753. eCollection 2021 Jun.
6
Dasatinib-associated chylothorax in a pediatric patient with chronic myeloid leukemia: a case report and literature review.达沙替尼相关乳糜胸在一名慢性粒细胞白血病儿科患者中的病例报告及文献综述
Transl Cancer Res. 2023 Jan 30;12(1):194-200. doi: 10.21037/tcr-22-1983. Epub 2023 Jan 6.
7
Dasatinib-Induced Chylothorax: A Clinical Laboratory's Perspective.达沙替尼诱发的乳糜胸:临床检验视角
EJIFCC. 2023 Apr 18;34(1):76-80. eCollection 2023 Apr.
8
Dasatinib-induced chylothorax: An unusual presentation of a common adverse event-A case report with literature review.达沙替尼引起的乳糜胸:一种常见不良事件的罕见表现——一例病例报告并文献复习
EJHaem. 2021 May 18;2(3):545-550. doi: 10.1002/jha2.226. eCollection 2021 Aug.
9
Dasatinib-induced Chylothorax in Chronic Myeloid Leukemia.达沙替尼致慢性髓性白血病乳糜胸。
Gulf J Oncolog. 2022 Sep;1(40):74-77.
10
Diagnostic Pitfalls of Chylothorax After Dasatinib Treatment of Chronic Myeloid Leukemia.达沙替尼治疗慢性髓性白血病后乳糜胸的诊断陷阱。
Am J Case Rep. 2022 Nov 29;23:e938319. doi: 10.12659/AJCR.938319.

引用本文的文献

1
Low-dose dasatinib-induced chylothorax, pulmonary hypertension, and pericardial effusion in a patient with chronic myeloid leukemia: A case report and literature review.低剂量达沙替尼诱发慢性髓性白血病患者乳糜胸、肺动脉高压和心包积液:一例报告及文献综述
Medicine (Baltimore). 2025 Jan 17;104(3):e41328. doi: 10.1097/MD.0000000000041328.
2
Dasatinib-Induced Bilateral Chylothorax: A Case Report.达沙替尼诱发双侧乳糜胸:一例报告
Cureus. 2024 Sep 2;16(9):e68479. doi: 10.7759/cureus.68479. eCollection 2024 Sep.

本文引用的文献

1
Diagnostic Pitfalls of Chylothorax After Dasatinib Treatment of Chronic Myeloid Leukemia.达沙替尼治疗慢性髓性白血病后乳糜胸的诊断陷阱。
Am J Case Rep. 2022 Nov 29;23:e938319. doi: 10.12659/AJCR.938319.
2
Dasatinib-induced chylothorax: An unusual presentation of a common adverse event-A case report with literature review.达沙替尼引起的乳糜胸:一种常见不良事件的罕见表现——一例病例报告并文献复习
EJHaem. 2021 May 18;2(3):545-550. doi: 10.1002/jha2.226. eCollection 2021 Aug.
3
Pazopanib-induced chylothorax in a patient with renal cell carcinoma.
帕唑帕尼致肾细胞癌患者乳糜胸。
Anticancer Drugs. 2022 Jan 1;33(1):e555-e557. doi: 10.1097/CAD.0000000000001172.
4
Chylothorax: complication attributed to dasatinib use.乳糜胸:一种归因于使用达沙替尼的并发症。
BMJ Case Rep. 2019 Dec 16;12(12):e231653. doi: 10.1136/bcr-2019-231653.
5
Dasatinib increases endothelial permeability leading to pleural effusion.达沙替尼可增加血管内皮通透性,导致胸腔积液。
Eur Respir J. 2018 Jan 18;51(1). doi: 10.1183/13993003.01096-2017. Print 2018 Jan.
6
Pleural Effusion in Dasatinib-Treated Patients With Chronic Myeloid Leukemia in Chronic Phase: Identification and Management.达沙替尼治疗的慢性期慢性髓性白血病患者的胸腔积液:识别与管理
Clin Lymphoma Myeloma Leuk. 2017 Feb;17(2):78-82. doi: 10.1016/j.clml.2016.09.012. Epub 2016 Sep 17.
7
Dasatinib-induced pleural effusion: Chylothorax, an option to consider.达沙替尼引起的胸腔积液:乳糜胸,一种需要考虑的情况。
Ann Thorac Med. 2016 Oct-Dec;11(4):289-293. doi: 10.4103/1817-1737.191871.
8
Final 5-Year Study Results of DASISION: The Dasatinib Versus Imatinib Study in Treatment-Naïve Chronic Myeloid Leukemia Patients Trial.DASISION的5年最终研究结果:达沙替尼与伊马替尼治疗初治慢性髓性白血病患者的试验
J Clin Oncol. 2016 Jul 10;34(20):2333-40. doi: 10.1200/JCO.2015.64.8899. Epub 2016 May 23.
9
Dasatinib or imatinib in newly diagnosed chronic-phase chronic myeloid leukemia: 2-year follow-up from a randomized phase 3 trial (DASISION).达沙替尼或伊马替尼治疗新诊断的慢性期慢性髓性白血病:一项随机 3 期试验(DASISION)的 2 年随访结果。
Blood. 2012 Feb 2;119(5):1123-9. doi: 10.1182/blood-2011-08-376087. Epub 2011 Dec 9.
10
Dasatinib 100 mg once daily minimizes the occurrence of pleural effusion in patients with chronic myeloid leukemia in chronic phase and efficacy is unaffected in patients who develop pleural effusion.达沙替尼 100 毫克,每日一次,可最大程度减少慢性期慢性髓性白血病患者胸腔积液的发生,并且对发生胸腔积液的患者的疗效没有影响。
Cancer. 2010 Jan 15;116(2):377-86. doi: 10.1002/cncr.24734.