• 文献检索
  • 文档翻译
  • 深度研究
  • 学术资讯
  • Suppr Zotero 插件Zotero 插件
  • 邀请有礼
  • 套餐&价格
  • 历史记录
应用&插件
Suppr Zotero 插件Zotero 插件浏览器插件Mac 客户端Windows 客户端微信小程序
定价
高级版会员购买积分包购买API积分包
服务
文献检索文档翻译深度研究API 文档MCP 服务
关于我们
关于 Suppr公司介绍联系我们用户协议隐私条款
关注我们

Suppr 超能文献

核心技术专利:CN118964589B侵权必究
粤ICP备2023148730 号-1Suppr @ 2026

文献检索

告别复杂PubMed语法,用中文像聊天一样搜索,搜遍4000万医学文献。AI智能推荐,让科研检索更轻松。

立即免费搜索

文件翻译

保留排版,准确专业,支持PDF/Word/PPT等文件格式,支持 12+语言互译。

免费翻译文档

深度研究

AI帮你快速写综述,25分钟生成高质量综述,智能提取关键信息,辅助科研写作。

立即免费体验

术前使用Hookwires 或 Coils 定位肺小结节:不良事件中的策略选择。

Preoperative small pulmonary nodule localisation using hookwires or coils: strategy selection in adverse events.

机构信息

Department of Thoracic Surgery, Tongji Medical College, The Central Hospital of Wuhan, Huazhong University of Science and Technology, Wuhan City, Hubei Province, China.

Department of Thoracic Surgery, Binzhou People's Hospital, Binzhou, China.

出版信息

J Cardiothorac Surg. 2023 Jul 24;18(1):237. doi: 10.1186/s13019-023-02301-6.

DOI:10.1186/s13019-023-02301-6
PMID:37488567
原文链接:https://pmc.ncbi.nlm.nih.gov/articles/PMC10367412/
Abstract

OBJECTIVE

This is a retrospective study of adverse events associated with preoperative computed tomography (CT)-guided hookwire or coil localisation. We analysed the experience and process flaws in resecting ground-glass nodules (GGNs) through video-assisted thoracoscopic surgery (VATS) and determined the remedial strategy.

METHODS

Adverse events were evaluated in 40 patients with 45 GGNs who underwent CT-guided hookwire or coil localisation before VATS. For lesions not successfully marked or detected, palpation, resection of the highly suspected area, segmentectomy or lobectomy was performed.

RESULTS

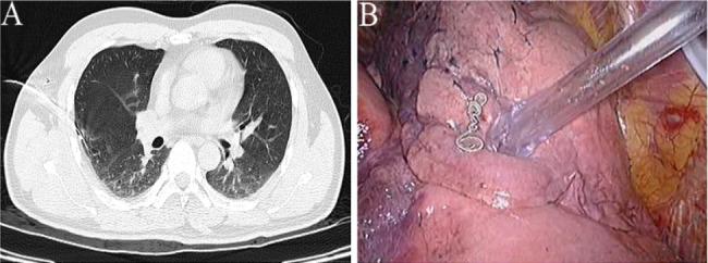
Among all adverse events, 15 were dislodgement of the marking materials, 5 were breakaway of the marking materials, 7 were > 2 cm distance between the lesions and the tips, 3 was marking material across the two adjacent lobes, 15 were pneumothorax and 2 were certain parts of marking materials stuck into the chest wall. All GGNs were resected successfully. 20 lesions were detected by palpation. 9 GGNs were discovered after the resection of highly suspected areas. Segmentectomies and lobectomies were performed directly on 7 and 9 GGNs, respectively.

CONCLUSIONS

When adverse events occur, a second intraoperative localisation, by resecting the highly suspected area either through non-anatomical resection (wedge resection) or anatomical resection (segmentectomy or lobectomy) using the VATS should be considered the alternatives for GGNs localization.

摘要

目的

这是一项回顾性研究,旨在分析与术前计算机断层扫描(CT)引导下钩线或线圈定位相关的不良事件,并探讨通过电视辅助胸腔镜手术(VATS)切除磨玻璃结节(GGN)时的经验和流程缺陷,以及确定补救策略。

方法

对 40 例 45 个 GGN 患者进行 CT 引导下钩线或线圈定位后,进行 VATS 手术。对于未成功标记或未发现的病灶,采用触诊、可疑区域切除、节段切除术或肺叶切除术。

结果

所有不良事件中,标记材料移位 15 例,标记材料脱落 5 例,病灶与尖端之间的距离>2cm 7 例,标记材料穿过两个相邻肺叶 3 例,气胸 15 例,部分标记材料嵌入胸壁 2 例。所有 GGN 均成功切除。触诊发现 20 个病灶。切除可疑区域后发现 9 个 GGN。7 个 GGN 直接行节段切除术,9 个 GGN 直接行肺叶切除术。

结论

当发生不良事件时,可考虑通过非解剖性切除(楔形切除术)或解剖性切除(节段切除术或肺叶切除术),用 VATS 再次进行术中定位,作为 GGN 定位的替代方法。

https://cdn.ncbi.nlm.nih.gov/pmc/blobs/4f4b/10367412/c04898c357aa/13019_2023_2301_Figg_HTML.jpg
https://cdn.ncbi.nlm.nih.gov/pmc/blobs/4f4b/10367412/671eaaa4dba1/13019_2023_2301_Figa_HTML.jpg
https://cdn.ncbi.nlm.nih.gov/pmc/blobs/4f4b/10367412/315025839529/13019_2023_2301_Figb_HTML.jpg
https://cdn.ncbi.nlm.nih.gov/pmc/blobs/4f4b/10367412/c67abb067465/13019_2023_2301_Figc_HTML.jpg
https://cdn.ncbi.nlm.nih.gov/pmc/blobs/4f4b/10367412/a08156ffd828/13019_2023_2301_Figd_HTML.jpg
https://cdn.ncbi.nlm.nih.gov/pmc/blobs/4f4b/10367412/001169b282dc/13019_2023_2301_Fige_HTML.jpg
https://cdn.ncbi.nlm.nih.gov/pmc/blobs/4f4b/10367412/64fd84b538ce/13019_2023_2301_Figf_HTML.jpg
https://cdn.ncbi.nlm.nih.gov/pmc/blobs/4f4b/10367412/c04898c357aa/13019_2023_2301_Figg_HTML.jpg
https://cdn.ncbi.nlm.nih.gov/pmc/blobs/4f4b/10367412/671eaaa4dba1/13019_2023_2301_Figa_HTML.jpg
https://cdn.ncbi.nlm.nih.gov/pmc/blobs/4f4b/10367412/315025839529/13019_2023_2301_Figb_HTML.jpg
https://cdn.ncbi.nlm.nih.gov/pmc/blobs/4f4b/10367412/c67abb067465/13019_2023_2301_Figc_HTML.jpg
https://cdn.ncbi.nlm.nih.gov/pmc/blobs/4f4b/10367412/a08156ffd828/13019_2023_2301_Figd_HTML.jpg
https://cdn.ncbi.nlm.nih.gov/pmc/blobs/4f4b/10367412/001169b282dc/13019_2023_2301_Fige_HTML.jpg
https://cdn.ncbi.nlm.nih.gov/pmc/blobs/4f4b/10367412/64fd84b538ce/13019_2023_2301_Figf_HTML.jpg
https://cdn.ncbi.nlm.nih.gov/pmc/blobs/4f4b/10367412/c04898c357aa/13019_2023_2301_Figg_HTML.jpg

相似文献

1
Preoperative small pulmonary nodule localisation using hookwires or coils: strategy selection in adverse events.术前使用Hookwires 或 Coils 定位肺小结节:不良事件中的策略选择。
J Cardiothorac Surg. 2023 Jul 24;18(1):237. doi: 10.1186/s13019-023-02301-6.
2
Marking ground glass nodules with pulmonary nodules localization needle prior to video-assisted thoracoscopic surgery.术前使用肺结节定位针标记磨玻璃结节。
Eur Radiol. 2022 Jul;32(7):4699-4706. doi: 10.1007/s00330-022-08597-7. Epub 2022 Mar 10.
3
Computed tomography-guided hook wire localization facilitates video-assisted thoracoscopic surgery of pulmonary ground-glass nodules.计算机断层扫描引导下钩丝定位有助于肺磨玻璃结节的电视辅助胸腔镜手术。
Thorac Cancer. 2018 Sep;9(9):1145-1150. doi: 10.1111/1759-7714.12801. Epub 2018 Jul 26.
4
A novel hybrid technique for localization of subcentimeter lung nodules.一种用于亚厘米级肺结节定位的新型混合技术。
J Thorac Dis. 2017 Apr;9(4):1107-1112. doi: 10.21037/jtd.2017.03.75.
5
CT-guided microcoil implantation for localizing pulmonary ground-glass nodules: feasibility and accuracy of oblique approach for lesions difficult to access on axial images.CT 引导下微线圈植入术定位肺磨玻璃结节:轴向图像难以触及病变采用斜入路的可行性和准确性。
Br J Radiol. 2020 May 1;93(1109):20190571. doi: 10.1259/bjr.20190571. Epub 2020 Feb 20.
6
Video-assisted thoracoscopic resection of lung nodules localized with a hydrogel plug.电视辅助胸腔镜下切除用水凝胶栓塞定位的肺结节
Interact Cardiovasc Thorac Surg. 2019 Jul 1;29(1):137-143. doi: 10.1093/icvts/ivz030.
7
Purposeful creation of a pneumothorax and chest tube placement to facilitate CT-guided coil localization of lung nodules before video-assisted thoracoscopic surgical wedge resection.在电视辅助胸腔镜手术楔形切除术前,有目的地制造气胸并放置胸管,以利于在CT引导下对肺结节进行线圈定位。
J Vasc Interv Radiol. 2014 Jul;25(7):1133-8. doi: 10.1016/j.jvir.2014.03.010. Epub 2014 Apr 29.
8
Computed tomography-guided coil localization for video-assisted thoracoscopic surgery of sub-solid lung nodules: a retrospective study.计算机断层扫描引导下的线圈定位在亚实性肺结节电视辅助胸腔镜手术中的应用:一项回顾性研究
ANZ J Surg. 2019 Nov;89(11):E514-E518. doi: 10.1111/ans.15450. Epub 2019 Oct 2.
9
[CT-guided hookwire localization of small solitary pulmonary nodules in video-assisted thoracoscopic surgery].[CT引导下细针定位在电视辅助胸腔镜手术中对小的孤立性肺结节的应用]
Zhonghua Zhong Liu Za Zhi. 2009 Jul;31(7):546-9.
10
CT-guided preoperative localization of ground glass nodule: comparison between the application of embolization microcoil and the locating needle designed for pulmonary nodules.CT 引导下磨玻璃结节术前定位:微弹簧圈栓塞应用与肺结节定位针的比较。
Br J Radiol. 2021 Jul 1;94(1123):20210193. doi: 10.1259/bjr.20210193. Epub 2021 Jun 16.

引用本文的文献

1
The Positioning Method of Pulmonary Nodules in Thoracoscopic Surgery Based on CT Simulation Positioning System for Radiotherapy.基于放疗CT模拟定位系统的胸腔镜手术中肺结节定位方法
Ann Thorac Cardiovasc Surg. 2025;31(1). doi: 10.5761/atcs.oa.24-00148.
2
Stage I and II nonsmall cell lung cancer treatment options.I期和II期非小细胞肺癌的治疗选择。
Breathe (Sheff). 2024 Aug 27;20(2):230219. doi: 10.1183/20734735.0219-2023. eCollection 2024 Jun.

本文引用的文献

1
[Emulation pulmonary nodules localization model:a novel non-invasive localization technique in resection of pulmonary nodules].[模拟肺结节定位模型:肺结节切除术中一种新型非侵入性定位技术]
Zhonghua Yi Xue Za Zhi. 2021 Dec 28;101(48):3966-3972. doi: 10.3760/cma.j.cn112137-20211020-02321.
2
Single-Stage Pulmonary Resection via a Combination of Single Hookwire Localization and Video-Assisted Thoracoscopic Surgery for Synchronous Multiple Pulmonary Nodules.单钩丝定位联合电视辅助胸腔镜手术治疗同期多发肺部结节的单阶段肺切除术。
Technol Cancer Res Treat. 2021 Jan-Dec;20:15330338211042511. doi: 10.1177/15330338211042511.
3
CT-guided preoperative localization of ground glass nodule: comparison between the application of embolization microcoil and the locating needle designed for pulmonary nodules.
CT 引导下磨玻璃结节术前定位:微弹簧圈栓塞应用与肺结节定位针的比较。
Br J Radiol. 2021 Jul 1;94(1123):20210193. doi: 10.1259/bjr.20210193. Epub 2021 Jun 16.
4
Simultaneous preoperative computed tomography-guided microcoil localizations of multiple pulmonary nodules.术前同时行 CT 引导下微线圈定位多个肺结节。
Eur Radiol. 2021 Sep;31(9):6539-6546. doi: 10.1007/s00330-021-07772-6. Epub 2021 Mar 5.
5
The utility of simultaneous CT-guided localization for multiple pulmonary nodules using microcoil before video-assisted thoracic surgery.电视辅助胸腔镜手术前使用微线圈对多个肺结节进行 CT 引导下同步定位的效用。
BMC Pulm Med. 2021 Jan 25;21(1):39. doi: 10.1186/s12890-021-01393-x.
6
A new method for accurately localizing and resecting pulmonary nodules.一种精确定位和切除肺结节的新方法。
J Thorac Dis. 2020 Sep;12(9):4973-4984. doi: 10.21037/jtd-20-2089.
7
A Surgeon's Guide for Various Lung Nodule Localization Techniques and the Newest Technologies.外科医生的各种肺结节定位技术及最新技术指南。
Innovations (Phila). 2021 Jan-Feb;16(1):26-33. doi: 10.1177/1556984520966999. Epub 2020 Oct 30.
8
Expert consensus workshop report: Guidelines for preoperative assisted localization of small pulmonary nodules.专家共识研讨会报告:小肺结节术前辅助定位指南
J Cancer Res Ther. 2020 Sep;16(5):967-973. doi: 10.4103/jcrt.JCRT_449_20.
9
CT-guided microcoil localization for pulmonary nodules before VATS: a retrospective evaluation of risk factors for pleural marking failure.CT 引导下肺结节 VATS 术前微线圈定位:胸膜标记失败危险因素的回顾性评估。
Eur Radiol. 2020 Oct;30(10):5674-5683. doi: 10.1007/s00330-020-06954-y. Epub 2020 May 26.
10
Pulmonary nodules precision localization techniques.肺部结节精准定位技术。
Future Oncol. 2020 Jun;16(16s):15-19. doi: 10.2217/fon-2019-0069. Epub 2020 May 21.