Suppr超能文献

原发性肝神经内分泌肿瘤与非乙型非丙型肝炎肝细胞癌的超声造影对比

Comparison of primary hepatic neuroendocrine tumors and non-hepatitis B non-hepatitis C hepatocellular carcinoma on contrast-enhanced ultrasound.

作者信息

Tan Zhizhi, Li Jiawu, Wu Zhenru, Zhou Zhengling, Yang Lulu, Luo Yan

机构信息

Department of Ultrasound, West China Hospital, Sichuan University, Chengdu, Sichuan, China.

Institute of Clinical Pathology, Key Laboratory of Transplant Engineering and Immunology, National Health Commission (NHC), West China Hospital, Sichuan University, Chengdu, Sichuan, China.

出版信息

Front Oncol. 2023 Jul 10;13:1106281. doi: 10.3389/fonc.2023.1106281. eCollection 2023.

Abstract

OBJECTIVE

The purpose of this study was to compare the sonographic features of primary hepatic neuroendocrine tumors (PHNETs) to those of non-hepatitis B and non-hepatitis C hepatocellular carcinoma (NBNC-HCC) on contrast-enhanced ultrasound (CEUS).

MATERIALS AND METHODS

Fourteen patients with a mean age of 56.9 ± 12.2 (SD) years with histopathologically confirmed PHNET were included in the study. Twenty-eight patients with a mean age of 58.5 ± 10.4 years with histopathologically confirmed NBNC-HCC were randomly selected as the control group. The clinical data, conventional ultrasound and CEUS features were retrospectively analyzed between PHNET and NBNC-HCC.

RESULTS

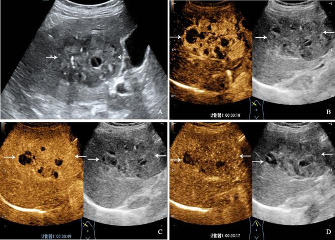
PHNET was more common in women (57.1%, 8/14 cases), and NBNC-HCC was more common in men (75.0%, 21/28) (=0.040). No significant differences were observed in etiology, tumor marker, and liver function between the two group (>0.05). Conventional ultrasound revealed that the tumor size of PHNET (10.1 ± 4.7 cm) was larger than that of NBNC-HCC (5.9 ± 3.8 cm) (=0.006). NBNC-HCC was predominantly hypoechoic, while the echogenicity of PHNET varied (=0.001). On CEUS, 57.1% (8/14) of PHNETs showed heterogeneous hyperenhancement, whereas 77.0% (21/28) of NBNC-HCC presented homogeneous hyperenhancement (=0.015). Furthermore, 35.7% (5/14) of PHNETs showed early washout (onset of washout <60 s), which was significantly different from that of NBNC-HCC (3.7%, 1/28) (=0.005).

CONCLUSION

CEUS is helpful in discriminating between PHNET and NBNC-HCC. PHNETs mainly present as a single mass with a large size (>10 cm) in the liver. The CEUS showed that most PHNETs exhibited heterogeneous enhancement in the arterial phase, washout in the portal venous and late phases and early washout being more likely than NBNC-HCC. However, more imaging features need to be evaluated in a larger sample.

摘要

目的

本研究旨在比较原发性肝神经内分泌肿瘤(PHNET)与非乙型肝炎和非丙型肝炎肝细胞癌(NBNC-HCC)在超声造影(CEUS)下的特征。

材料与方法

本研究纳入14例经组织病理学确诊的PHNET患者,平均年龄56.9±12.2(标准差)岁。随机选取28例经组织病理学确诊的NBNC-HCC患者作为对照组,平均年龄58.5±10.4岁。回顾性分析PHNET与NBNC-HCC之间的临床资料、常规超声及CEUS特征。

结果

PHNET在女性中更常见(57.1%,8/14例),而NBNC-HCC在男性中更常见(75.0%,21/28)(P=0.040)。两组在病因、肿瘤标志物及肝功能方面无显著差异(P>0.05)。常规超声显示,PHNET的肿瘤大小(10.1±4.7 cm)大于NBNC-HCC(5.9±3.8 cm)(P=0.006)。NBNC-HCC主要为低回声,而PHNET的回声各异(P=0.001)。在CEUS上,57.1%(8/14)的PHNET表现为不均匀高增强,而77.0%(21/28)的NBNC-HCC表现为均匀高增强(P=0.015)。此外,35.7%(5/14)的PHNET表现为早期廓清(廓清开始时间<60秒),这与NBNC-HCC(3.7%,1/28)有显著差异(P=0.005)。

结论

CEUS有助于鉴别PHNET与NBNC-HCC。PHNET主要表现为肝脏内单个较大(>10 cm)肿块。CEUS显示,大多数PHNET在动脉期表现为不均匀增强,在门静脉期和延迟期廓清,且比NBNC-HCC更易出现早期廓清。然而,需要在更大样本中评估更多的影像学特征。

https://cdn.ncbi.nlm.nih.gov/pmc/blobs/547b/10364596/73b5d4346239/fonc-13-1106281-g001.jpg

文献AI研究员

20分钟写一篇综述,助力文献阅读效率提升50倍。

立即体验

用中文搜PubMed

大模型驱动的PubMed中文搜索引擎

马上搜索

文档翻译

学术文献翻译模型,支持多种主流文档格式。

立即体验