Suppr超能文献

嘌呤能受体 P2Y12 通过 T 细胞中的己糖激酶 2 依赖性糖酵解促进自身免疫性肝炎。

Purinergic receptor P2Y12 boosts autoimmune hepatitis through hexokinase 2-dependent glycolysis in T cells.

机构信息

Key Laboratory of Spine and Spinal Cord Injury Repair and Regeneration of Ministry of Education, Orthopaedic Department of Tongji Hospital, School of Life Sciences and Technology, Tongji University, Shanghai 200092, China.

Institute of Biophysics, Chinese Academy of Sciences, Beijing 100101, China.

出版信息

Int J Biol Sci. 2023 Jul 9;19(11):3576-3594. doi: 10.7150/ijbs.85133. eCollection 2023.

Abstract

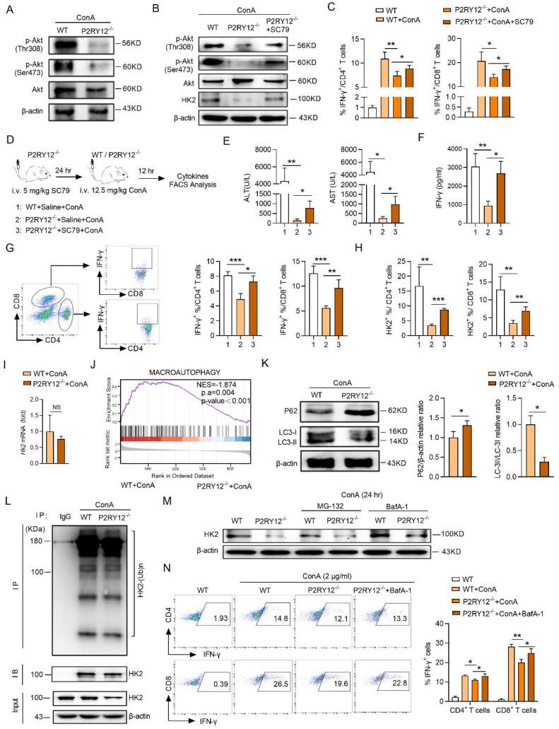
Increasing evidence suggests that immunometabolism has started to unveil the role of metabolism in shaping immune function and autoimmune diseases. In this study, our data show that purinergic receptor P2Y12 (P2RY12) is highly expressed in concanavalin A (ConA)-induced immune hepatitis mouse model and serves as a potential metabolic regulator in promoting metabolic reprogramming from oxidative phosphorylation to glycolysis in T cells. P2RY12 deficiency or inhibition of P2RY12 with P2RY12 inhibitors (clopidogrel and ticagrelor) are proved to reduce the expression of inflammatory mediators, cause CD4 and CD8 effector T cells hypofunction and protect the ConA-induced immune hepatitis. A combined proteomics and metabolomics analysis revealed that P2RY12 deficiency causes redox imbalance and leads to reduced aerobic glycolysis by downregulating the expression of hexokinase 2 (HK2), a rate-limiting enzyme of the glycolytic pathway, indicating that HK2 might be a promising candidate for the treatment of diseases associated with T cell activation. Further analysis showed that P2RY12 prevents HK2 degradation by activating the PI3K/Akt pathway and inhibiting lysosomal degradation. Our findings highlight the importance of the function of P2RY12 for HK2 stability and metabolism in the regulation of T cell activation and suggest that P2RY12 might be a pivotal regulator of T cell metabolism in ConA-induced immune hepatitis.

摘要

越来越多的证据表明,免疫代谢已经开始揭示代谢在塑造免疫功能和自身免疫性疾病中的作用。在这项研究中,我们的数据表明,嘌呤能受体 P2Y12(P2RY12)在伴刀豆球蛋白 A(ConA)诱导的免疫性肝炎小鼠模型中高度表达,并且作为一种潜在的代谢调节剂,促进 T 细胞从氧化磷酸化到糖酵解的代谢重编程。P2RY12 缺乏或用 P2RY12 抑制剂(氯吡格雷和替格瑞洛)抑制 P2RY12 被证明可以降低炎症介质的表达,导致 CD4 和 CD8 效应 T 细胞功能障碍,并保护 ConA 诱导的免疫性肝炎。一项联合蛋白质组学和代谢组学分析表明,P2RY12 缺乏导致氧化还原失衡,并通过下调糖酵解途径的限速酶己糖激酶 2(HK2)的表达,导致有氧糖酵解减少,表明 HK2 可能是治疗与 T 细胞激活相关疾病的有前途的候选药物。进一步的分析表明,P2RY12 通过激活 PI3K/Akt 途径和抑制溶酶体降解来防止 HK2 降解。我们的研究结果强调了 P2RY12 对 HK2 稳定性和代谢的功能在调节 T 细胞激活中的重要性,并表明 P2RY12 可能是 ConA 诱导的免疫性肝炎中 T 细胞代谢的关键调节剂。

https://cdn.ncbi.nlm.nih.gov/pmc/blobs/fbde/10367548/3130dcc081eb/ijbsv19p3576g001.jpg

文献检索

告别复杂PubMed语法,用中文像聊天一样搜索,搜遍4000万医学文献。AI智能推荐,让科研检索更轻松。

立即免费搜索

文件翻译

保留排版,准确专业,支持PDF/Word/PPT等文件格式,支持 12+语言互译。

免费翻译文档

深度研究

AI帮你快速写综述,25分钟生成高质量综述,智能提取关键信息,辅助科研写作。

立即免费体验