• 文献检索
  • 文档翻译
  • 深度研究
  • 学术资讯
  • Suppr Zotero 插件Zotero 插件
  • 邀请有礼
  • 套餐&价格
  • 历史记录
应用&插件
Suppr Zotero 插件Zotero 插件浏览器插件Mac 客户端Windows 客户端微信小程序
定价
高级版会员购买积分包购买API积分包
服务
文献检索文档翻译深度研究API 文档MCP 服务
关于我们
关于 Suppr公司介绍联系我们用户协议隐私条款
关注我们

Suppr 超能文献

核心技术专利:CN118964589B侵权必究
粤ICP备2023148730 号-1Suppr @ 2026

文献检索

告别复杂PubMed语法,用中文像聊天一样搜索,搜遍4000万医学文献。AI智能推荐,让科研检索更轻松。

立即免费搜索

文件翻译

保留排版,准确专业,支持PDF/Word/PPT等文件格式,支持 12+语言互译。

免费翻译文档

深度研究

AI帮你快速写综述,25分钟生成高质量综述,智能提取关键信息,辅助科研写作。

立即免费体验

新冠病毒疾病初始严重程度及新冠后症状表现:一项观察性分析

Initial COVID-19 Severity and Long-COVID Manifestations: An Observational Analysis.

作者信息

Goel Nitin, Goyal Nitesh, Spalgais Sonam, Mrigpuri Parul, Varma-Basil Mandira, Khanna Madhu, Nagaraja Ravishankar, Menon Balakrishnan, Kumar Raj

机构信息

Department of Pulmonary Medicine, Viswanathan Chest Hospital, Vallabhbhai Patel Chest Institute, University of Delhi, Delhi, India.

Department of Microbiology, Viswanathan Chest Hospital, Vallabhbhai Patel Chest Institute, University of Delhi, Delhi, India.

出版信息

Thorac Res Pract. 2023 Jan;24(1):22-28. doi: 10.5152/ThoracResPract.2023.21307.

DOI:10.5152/ThoracResPract.2023.21307
PMID:37503595
原文链接:https://pmc.ncbi.nlm.nih.gov/articles/PMC10765190/
Abstract

OBJECTIVE

New-onset or persistent symptoms beyond after 4 weeks from COVID-19 are termed "long-COVID." Whether the initial severity of COVID-19 has a bearing on the clinicoradiological manifestations of long COVID is an area of interest.

MATERIAL AND METHODS

We did an observational analysis of the long-COVID patients after categorizing them based on their course of COVID-19 illness into mild, moderate, and severe groups. The clinical and radiological profile was compared across these groups.

RESULTS

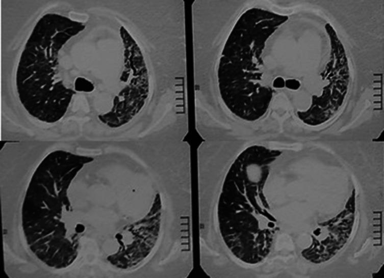
Out of 150 long-COVID patients recruited in the study, about 79% (118), 14% (22), and 7% (10) had a history of mild, moderate, and severe COVID-19, respectively. Fatigue (P = .001), breathlessness (P = .001), tachycardia (P = .002), tachypnea (P < .001), raised blood pressure (P < .001), crepitations (P = .04), hypoxia at rest (P < .001), significant desaturation in 6-minute walk test (P = .27), type 1 respiratory failure (P = .001), and type 2 respiratory failure (P = .001) were found to be significantly higher in the long-COVID patients with a history of severe COVID-19. These patients also had the highest prevalence of abnormal chest X-ray (60%) and honeycombing in computed tomography scan thorax (25%, P = .027).

CONCLUSION

The course of long COVID bears a relationship with initial COVID-19 severity. Patients with severe COVID-19 are prone to develop more serious long-COVID manifestations.

摘要

目的

新型冠状病毒肺炎(COVID-19)发病4周后出现的新发或持续症状被称为“长新冠”。COVID-19的初始严重程度是否与长新冠的临床和影像学表现有关是一个备受关注的领域。

材料与方法

我们对长新冠患者进行了观察性分析,根据他们的COVID-19病程将其分为轻度、中度和重度组。对这些组的临床和影像学特征进行了比较。

结果

在该研究招募的150例长新冠患者中,分别约有79%(118例)、14%(22例)和7%(10例)有轻度、中度和重度COVID-19病史。疲劳(P = 0.001)、呼吸困难(P = 0.001)、心动过速(P = 0.002)、呼吸急促(P < 0.001)、血压升高(P < 0.001)、啰音(P = 0.04)、静息时低氧(P < 0.001)、6分钟步行试验中显著氧饱和度下降(P = 0.27)、Ⅰ型呼吸衰竭(P = 0.001)和Ⅱ型呼吸衰竭(P = 0.001)在有重度COVID-19病史的长新冠患者中显著更高。这些患者胸部X线异常(60%)和胸部计算机断层扫描蜂窝状改变(25%,P = 0.027)的患病率也最高。

结论

长新冠的病程与初始COVID-19的严重程度有关。患有重度COVID-19的患者更容易出现更严重的长新冠表现。

https://cdn.ncbi.nlm.nih.gov/pmc/blobs/c030/10765190/6eb62d773a19/trp-24-1-22_f002.jpg
https://cdn.ncbi.nlm.nih.gov/pmc/blobs/c030/10765190/0f777371e17d/trp-24-1-22_f001.jpg
https://cdn.ncbi.nlm.nih.gov/pmc/blobs/c030/10765190/6eb62d773a19/trp-24-1-22_f002.jpg
https://cdn.ncbi.nlm.nih.gov/pmc/blobs/c030/10765190/0f777371e17d/trp-24-1-22_f001.jpg
https://cdn.ncbi.nlm.nih.gov/pmc/blobs/c030/10765190/6eb62d773a19/trp-24-1-22_f002.jpg

相似文献

1
Initial COVID-19 Severity and Long-COVID Manifestations: An Observational Analysis.新冠病毒疾病初始严重程度及新冠后症状表现:一项观察性分析
Thorac Res Pract. 2023 Jan;24(1):22-28. doi: 10.5152/ThoracResPract.2023.21307.
2
Clinico-radiological evaluation of post COVID-19 at a tertiary pulmonary care centre in Delhi, India.印度德里一家三级肺病护理中心对新冠病毒感染后患者的临床与放射学评估。
Monaldi Arch Chest Dis. 2021 Mar 8;91(3). doi: 10.4081/monaldi.2021.1682.
3
Proposed Scoring System for Evaluating Clinico-radiological Severity of COVID- 19 using Plain Chest X- ray (CXR) changes (CO X-RADS): Preliminary results.基于胸部平片(CXR)改变的 COVID-19 临床-放射学严重程度评估用评分系统(CO X-RADS):初步结果。
Acta Biomed. 2020 Nov 10;91(4):e2020172. doi: 10.23750/abm.v91i4.10664.
4
Incidence and Characterization of Post-COVID-19 Symptoms in Hospitalized COVID-19 Survivors to Recognize Syndemic Connotations in India: Single-Center Prospective Observational Cohort Study.印度住院COVID-19幸存者中COVID-19后症状的发生率及特征:识别共病内涵的单中心前瞻性观察队列研究
JMIR Form Res. 2023 Apr 18;7:e40028. doi: 10.2196/40028.
5
Long COVID-19 Syndrome Severity According to Sex, Time from the Onset of the Disease, and Exercise Capacity-The Results of a Cross-Sectional Study.根据性别、发病时间和运动能力划分的新冠后综合征严重程度——一项横断面研究的结果
Life (Basel). 2023 Feb 11;13(2):508. doi: 10.3390/life13020508.
6
Outpatient treatment of COVID-19 with steroids in the phase of mild pneumonia without the need for admission as an opportunity to modify the course of the disease: A structured summary of a randomised controlled trial.轻症肺炎患者无需住院的情况下使用类固醇进行 COVID-19 门诊治疗作为改变疾病进程的机会:一项随机对照试验的结构化总结。
Trials. 2020 Jul 9;21(1):632. doi: 10.1186/s13063-020-04575-w.
7
Computed tomography chest in COVID-19: When & why?COVID-19 患者的胸部计算机断层扫描:何时做?为何做?
Indian J Med Res. 2021;153(1 & 2):86-92. doi: 10.4103/ijmr.IJMR_3669_20.
8
Testing the efficacy and safety of BIO101, for the prevention of respiratory deterioration, in patients with COVID-19 pneumonia (COVA study): a structured summary of a study protocol for a randomised controlled trial.评估 BIO101 预防 COVID-19 肺炎患者呼吸恶化的疗效和安全性(COVA 研究):一项随机对照试验研究方案的结构化总结。
Trials. 2021 Jan 11;22(1):42. doi: 10.1186/s13063-020-04998-5.
9
Virtualized clinical studies to assess the natural history and impact of gut microbiome modulation in non-hospitalized patients with mild to moderate COVID-19 a randomized, open-label, prospective study with a parallel group study evaluating the physiologic effects of KB109 on gut microbiota structure and function: a structured summary of a study protocol for a randomized controlled study.用于评估非住院轻中度 COVID-19 患者肠道微生物组调节的自然史和影响的虚拟化临床研究:一项随机、开放标签、前瞻性研究,平行组研究评估 KB109 对肠道微生物组结构和功能的生理影响:一项随机对照研究方案的结构化总结。
Trials. 2021 Apr 2;22(1):245. doi: 10.1186/s13063-021-05157-0.
10
NEUROPROTECTIVE AND ANTIOXIDANT POTENTIAL OF MONTELUKAST-ACETYLCYSTEINE COMBINATION THERAPY FOR BRAIN PROTECTION IN PATIENTS WITH COVID-19 INDUCED PNEUMONIA.孟鲁司特乙酰半胱氨酸联合治疗在 COVID-19 诱导性肺炎患者中的脑保护作用:神经保护和抗氧化潜力。
Georgian Med News. 2023 Feb(335):111-118.

引用本文的文献

1
Long COVID-19: a Four-Year prospective cohort study of risk factors, recovery, and quality of life.长新冠:一项关于风险因素、康复及生活质量的四年前瞻性队列研究。
BMC Infect Dis. 2025 Aug 30;25(1):1082. doi: 10.1186/s12879-025-11468-3.
2
B Cell Dynamics and Transitional B Cells in Long COVID.长新冠中的B细胞动力学与过渡性B细胞
Curr Issues Mol Biol. 2025 Apr 1;47(4):245. doi: 10.3390/cimb47040245.
3
Long COVID syndrome: An unfolding enigma.长新冠综合征:一个正在展开的谜。

本文引用的文献

1
Long COVID Mimicking Interstitial Lung Disease: A Case Series.酷似间质性肺疾病的新冠后综合征:病例系列
Curr Health Sci J. 2021 Jul-Sep;47(3):469-473. doi: 10.12865/CHSJ.47.03.22. Epub 2021 Sep 30.
2
Systemic corticosteroids for management of 'long-COVID': an evaluation after 3 months of treatment.用于管理“长新冠”的全身性皮质类固醇:治疗3个月后的评估
Monaldi Arch Chest Dis. 2021 Nov 3;92(2). doi: 10.4081/monaldi.2021.1981.
3
Symptoms, Pulmonary Function, and Functional Capacity Four Months after COVID-19.新冠病毒感染后四个月的症状、肺功能和功能能力
Indian J Med Res. 2024 Jun;159(6):585-600. doi: 10.25259/IJMR_1449_23.
4
Prone position versus usual care in hypoxemic COVID-19 patients in medical wards: a randomised controlled trial.内科病房低氧血症型新冠患者俯卧位通气与常规护理的随机对照试验
J Thorac Dis. 2023 Nov 30;15(11):6379-6381. doi: 10.21037/jtd-23-1342. Epub 2023 Nov 17.
Ann Am Thorac Soc. 2021 Nov;18(11):1912-1917. doi: 10.1513/AnnalsATS.202012-1489RL.
4
Predictors of reduced 6-minute walk distance after COVID-19: a cohort study in Mexico.新冠病毒病后6分钟步行距离缩短的预测因素:墨西哥的一项队列研究
Pulmonology. 2021 Nov-Dec;27(6):563-565. doi: 10.1016/j.pulmoe.2021.03.004. Epub 2021 Mar 26.
5
Radiological and functional lung sequelae of COVID-19: a systematic review and meta-analysis.COVID-19 的放射学和功能肺部后遗症:系统评价和荟萃分析。
BMC Pulm Med. 2021 Mar 22;21(1):97. doi: 10.1186/s12890-021-01463-0.
6
Radiological management and follow-up of post-COVID-19 patients.新冠病毒感染后患者的放射学管理和随访。
Radiologia (Engl Ed). 2021 May-Jun;63(3):258-269. doi: 10.1016/j.rx.2021.02.003. Epub 2021 Feb 27.
7
Clinico-radiological evaluation of post COVID-19 at a tertiary pulmonary care centre in Delhi, India.印度德里一家三级肺病护理中心对新冠病毒感染后患者的临床与放射学评估。
Monaldi Arch Chest Dis. 2021 Mar 8;91(3). doi: 10.4081/monaldi.2021.1682.
8
Six-month Follow-up Chest CT Findings after Severe COVID-19 Pneumonia.重症 COVID-19 肺炎患者 6 个月随访的胸部 CT 结果。
Radiology. 2021 Apr;299(1):E177-E186. doi: 10.1148/radiol.2021203153. Epub 2021 Jan 26.
9
Persistent Poor Health after COVID-19 Is Not Associated with Respiratory Complications or Initial Disease Severity.新冠后持续健康状况不佳与呼吸道并发症或初始疾病严重程度无关。
Ann Am Thorac Soc. 2021 Jun;18(6):997-1003. doi: 10.1513/AnnalsATS.202009-1175OC.
10
Patient outcomes after hospitalisation with COVID-19 and implications for follow-up: results from a prospective UK cohort.COVID-19 住院患者的预后及其随访意义:来自英国前瞻性队列研究的结果。
Thorax. 2021 Apr;76(4):399-401. doi: 10.1136/thoraxjnl-2020-216086. Epub 2020 Dec 3.