• 文献检索
  • 文档翻译
  • 深度研究
  • 学术资讯
  • Suppr Zotero 插件Zotero 插件
  • 邀请有礼
  • 套餐&价格
  • 历史记录
应用&插件
Suppr Zotero 插件Zotero 插件浏览器插件Mac 客户端Windows 客户端微信小程序
定价
高级版会员购买积分包购买API积分包
服务
文献检索文档翻译深度研究API 文档MCP 服务
关于我们
关于 Suppr公司介绍联系我们用户协议隐私条款
关注我们

Suppr 超能文献

核心技术专利:CN118964589B侵权必究
粤ICP备2023148730 号-1Suppr @ 2026

文献检索

告别复杂PubMed语法,用中文像聊天一样搜索,搜遍4000万医学文献。AI智能推荐,让科研检索更轻松。

立即免费搜索

文件翻译

保留排版,准确专业,支持PDF/Word/PPT等文件格式,支持 12+语言互译。

免费翻译文档

深度研究

AI帮你快速写综述,25分钟生成高质量综述,智能提取关键信息,辅助科研写作。

立即免费体验

酷似间质性肺疾病的新冠后综合征:病例系列

Long COVID Mimicking Interstitial Lung Disease: A Case Series.

作者信息

Goel Nitin, Goyal Nitesh, Kumar Raj

机构信息

Department of Pulmonary Medicine, Viswanathan Chest Hospital,Vallabhbhai Patel Chest Institute, University of Delhi, India.

出版信息

Curr Health Sci J. 2021 Jul-Sep;47(3):469-473. doi: 10.12865/CHSJ.47.03.22. Epub 2021 Sep 30.

DOI:10.12865/CHSJ.47.03.22
PMID:35003784
原文链接:https://pmc.ncbi.nlm.nih.gov/articles/PMC8679157/
Abstract

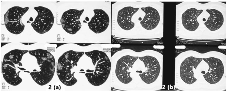
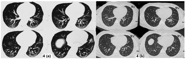
Interstitial lung diseases (ILD) can occur due to various known or unknown causes. They usually present with dry cough and exertional dyspnea. On radiology usual findings are ground glass opacities (GGO's), reticular shadows, nodules etc. Some patients after acute COVID-19 (coronavirus disease 2019) suffer from persistent symptoms/manifestations. These have been called 'Long COVID'. Long COVID also has radiological features like GGO's, nodules and reticulations. Further, patients even without history of acute COVID-19, can also present with 'Long COVID'. In the present case series, we describe three such cases with no history of having suffered from COVID-19, presenting with ILD like features and diagnosed as Long COVID. We infer from these cases that 'Long COVID' can both clinically and radiologically mimic ILD's. Hence, emphasizing the fact that in the present COVID-19 pandemic situation, 'Long COVID should be a differential diagnosis to be considered while making a new diagnosis of ILD.

摘要

间质性肺疾病(ILD)可由各种已知或未知原因引起。它们通常表现为干咳和劳力性呼吸困难。在放射学上,常见表现为磨玻璃影(GGO)、网状阴影、结节等。一些急性新型冠状病毒肺炎(COVID-19,冠状病毒病2019)患者会出现持续症状/表现。这些被称为“长新冠”。“长新冠”也有放射学特征,如磨玻璃影、结节和网状影。此外,即使没有急性COVID-19病史的患者也可能出现“长新冠”。在本病例系列中,我们描述了3例无COVID-19病史、表现出ILD样特征并被诊断为“长新冠”的病例。我们从这些病例中推断,“长新冠”在临床和放射学上都可能酷似ILD。因此,强调在当前COVID-19大流行情况下,“长新冠 ”应作为新诊断ILD时需考虑的鉴别诊断。

https://cdn.ncbi.nlm.nih.gov/pmc/blobs/2019/8679157/f47d23058830/CHSJ-47-03-469-fig4.jpg
https://cdn.ncbi.nlm.nih.gov/pmc/blobs/2019/8679157/8d298bffe8e6/CHSJ-47-03-469-fig1.jpg
https://cdn.ncbi.nlm.nih.gov/pmc/blobs/2019/8679157/bb81e9eaaa03/CHSJ-47-03-469-fig2.jpg
https://cdn.ncbi.nlm.nih.gov/pmc/blobs/2019/8679157/4ead0a0a7018/CHSJ-47-03-469-fig3.jpg
https://cdn.ncbi.nlm.nih.gov/pmc/blobs/2019/8679157/f47d23058830/CHSJ-47-03-469-fig4.jpg
https://cdn.ncbi.nlm.nih.gov/pmc/blobs/2019/8679157/8d298bffe8e6/CHSJ-47-03-469-fig1.jpg
https://cdn.ncbi.nlm.nih.gov/pmc/blobs/2019/8679157/bb81e9eaaa03/CHSJ-47-03-469-fig2.jpg
https://cdn.ncbi.nlm.nih.gov/pmc/blobs/2019/8679157/4ead0a0a7018/CHSJ-47-03-469-fig3.jpg
https://cdn.ncbi.nlm.nih.gov/pmc/blobs/2019/8679157/f47d23058830/CHSJ-47-03-469-fig4.jpg

相似文献

1
Long COVID Mimicking Interstitial Lung Disease: A Case Series.酷似间质性肺疾病的新冠后综合征:病例系列
Curr Health Sci J. 2021 Jul-Sep;47(3):469-473. doi: 10.12865/CHSJ.47.03.22. Epub 2021 Sep 30.
2
Case Report: Bullous Lung Disease Following COVID-19.病例报告:新型冠状病毒肺炎后的大疱性肺疾病
Front Med (Lausanne). 2021 Nov 17;8:770778. doi: 10.3389/fmed.2021.770778. eCollection 2021.
3
[Expert recommendations for the diagnosis and treatment of interstitial lung disease caused by novel coronavirus pneumonia].[新型冠状病毒肺炎所致间质性肺疾病诊断和治疗专家建议]
Zhonghua Jie He He Hu Xi Za Zhi. 2020 Oct 12;43(10):827-833. doi: 10.3760/cma.j.cn112147-20200326-00419.
4
[Epidemiological and clinical features of children with mild coronavirus disease 2019].[2019冠状病毒病轻症儿童的流行病学和临床特征]
Zhongguo Dang Dai Er Ke Za Zhi. 2021 May;23(5):460-465. doi: 10.7499/j.issn.1008-8830.2101175.
5
Atypical Chest Computed Tomography Finding of Predominant Interstitial Thickening in a Patient with Coronavirus Disease 2019 (COVID-19) Pneumonia.一名2019冠状病毒病(COVID-19)肺炎患者胸部计算机断层扫描的非典型表现:以间质增厚为主
Am J Case Rep. 2020 Sep 21;21:e926781. doi: 10.12659/AJCR.926781.
6
Clinical, Serological, and Histopathological Similarities Between Severe COVID-19 and Acute Exacerbation of Connective Tissue Disease-Associated Interstitial Lung Disease (CTD-ILD).严重 COVID-19 与结缔组织病相关间质性肺病(CTD-ILD)急性加重的临床、血清学和组织病理学比较。
Front Immunol. 2020 Oct 2;11:587517. doi: 10.3389/fimmu.2020.587517. eCollection 2020.
7
Imaging and clinical features of patients with 2019 novel coronavirus SARS-CoV-2.新型冠状病毒 2019 年 SARS-CoV-2 患者的影像学和临床特征。
Eur J Nucl Med Mol Imaging. 2020 May;47(5):1275-1280. doi: 10.1007/s00259-020-04735-9. Epub 2020 Feb 28.
8
Severe chronic cough relating to post-COVID-19 interstitial lung disease: a case report.与新冠后间质性肺病相关的严重慢性咳嗽:一例报告
Asia Pac Allergy. 2022 Oct 28;12(4):e42. doi: 10.5415/apallergy.2022.12.e42. eCollection 2022 Oct.
9
Idiopathic Interstitial Pneumonias and COVID-19 Pneumonia: Review of the Main Radiological Features and Differential Diagnosis.特发性间质性肺炎和 COVID-19 肺炎:主要放射学特征和鉴别诊断综述。
Tomography. 2021 Aug 31;7(3):397-411. doi: 10.3390/tomography7030035.
10
Restrictive Lung Disease in Patients With Subclinical Coronavirus Infection: Are We Bracing Ourselves for Devastating Sequelae?亚临床冠状病毒感染患者的限制性肺病:我们是否在为灾难性后遗症做好准备?
Cureus. 2021 Jan 5;13(1):e12501. doi: 10.7759/cureus.12501.

引用本文的文献

1
Anti-PL-7/PL-12 antisynthetase syndrome associated with interstitial lung disease following SARS-COV-2 infection and vaccination: A case study review.新型冠状病毒感染和疫苗接种后与间质性肺病相关的抗PL-7/PL-12合成酶综合征:病例研究综述
Heliyon. 2024 Dec 30;11(2):e41311. doi: 10.1016/j.heliyon.2024.e41311. eCollection 2025 Jan 30.
2
Initial COVID-19 Severity and Long-COVID Manifestations: An Observational Analysis.新冠病毒疾病初始严重程度及新冠后症状表现:一项观察性分析
Thorac Res Pract. 2023 Jan;24(1):22-28. doi: 10.5152/ThoracResPract.2023.21307.
3
Unbalanced IDO1/IDO2 Endothelial Expression and Skewed Keynurenine Pathway in the Pathogenesis of COVID-19 and Post-COVID-19 Pneumonia.

本文引用的文献

1
Clinico-radiological evaluation of post COVID-19 at a tertiary pulmonary care centre in Delhi, India.印度德里一家三级肺病护理中心对新冠病毒感染后患者的临床与放射学评估。
Monaldi Arch Chest Dis. 2021 Mar 8;91(3). doi: 10.4081/monaldi.2021.1682.
2
Persistent Post-COVID-19 Interstitial Lung Disease. An Observational Study of Corticosteroid Treatment.持续性 COVID-19 间质性肺病。皮质类固醇治疗的观察性研究。
Ann Am Thorac Soc. 2021 May;18(5):799-806. doi: 10.1513/AnnalsATS.202008-1002OC.
3
Chest CT in COVID-19: What the Radiologist Needs to Know.
IDO1/IDO2内皮细胞表达失衡及犬尿氨酸途径异常在COVID-19及新冠后肺炎发病机制中的作用
Biomedicines. 2022 Jun 6;10(6):1332. doi: 10.3390/biomedicines10061332.
COVID-19 的胸部 CT:放射科医生需要了解的知识。
Radiographics. 2020 Nov-Dec;40(7):1848-1865. doi: 10.1148/rg.2020200159. Epub 2020 Oct 23.
4
[Is there a post-COVID syndrome?].[存在新冠后综合征吗?]
Pneumologe (Berl). 2020;17(6):398-405. doi: 10.1007/s10405-020-00347-0. Epub 2020 Oct 8.
5
Assessment and characterisation of post-COVID-19 manifestations.评估和描述新冠病毒感染后的表现。
Int J Clin Pract. 2021 Mar;75(3):e13746. doi: 10.1111/ijcp.13746. Epub 2020 Nov 3.
6
Organ-specific manifestations of COVID-19 infection.COVID-19 感染的器官特异性表现。
Clin Exp Med. 2020 Nov;20(4):493-506. doi: 10.1007/s10238-020-00648-x. Epub 2020 Jul 27.
7
Epidemiology of CoViD-19 Pandemic: Recovery and mortality ratio around the globe.2019冠状病毒病大流行的流行病学:全球范围内的康复率和死亡率
Pak J Med Sci. 2020 May;36(COVID19-S4):S79-S84. doi: 10.12669/pjms.36.COVID19-S4.2660.
8
Gross and histopathological pulmonary findings in a COVID-19 associated death during self-isolation.在隔离期间,与 COVID-19 相关的死亡病例的大体和组织病理学肺部观察结果。
Int J Legal Med. 2020 Jul;134(4):1285-1290. doi: 10.1007/s00414-020-02319-8. Epub 2020 Jun 5.
9
Mild versus severe COVID-19: Laboratory markers.轻症与重症 COVID-19:实验室标志物。
Int J Infect Dis. 2020 Jun;95:304-307. doi: 10.1016/j.ijid.2020.04.061. Epub 2020 Apr 25.
10
Risk factors for severity and mortality in adult COVID-19 inpatients in Wuhan.武汉成人 COVID-19 住院患者严重程度和死亡率的危险因素。
J Allergy Clin Immunol. 2020 Jul;146(1):110-118. doi: 10.1016/j.jaci.2020.04.006. Epub 2020 Apr 12.