• 文献检索
  • 文档翻译
  • 深度研究
  • 学术资讯
  • Suppr Zotero 插件Zotero 插件
  • 邀请有礼
  • 套餐&价格
  • 历史记录
应用&插件
Suppr Zotero 插件Zotero 插件浏览器插件Mac 客户端Windows 客户端微信小程序
定价
高级版会员购买积分包购买API积分包
服务
文献检索文档翻译深度研究API 文档MCP 服务
关于我们
关于 Suppr公司介绍联系我们用户协议隐私条款
关注我们

Suppr 超能文献

核心技术专利:CN118964589B侵权必究
粤ICP备2023148730 号-1Suppr @ 2026

文献检索

告别复杂PubMed语法,用中文像聊天一样搜索,搜遍4000万医学文献。AI智能推荐,让科研检索更轻松。

立即免费搜索

文件翻译

保留排版,准确专业,支持PDF/Word/PPT等文件格式,支持 12+语言互译。

免费翻译文档

深度研究

AI帮你快速写综述,25分钟生成高质量综述,智能提取关键信息,辅助科研写作。

立即免费体验

酷似恶性眼睑肿瘤的昆虫叮咬

Insect Bite Mimicking Malignant Eyelid Tumor.

作者信息

Ciftci Mukaddes Damla, Palamar Melis, Gurler Tahir, Hekimgil Mine, Akalin Taner

机构信息

Department of Ophthalmology, Ege University, Izmir, Türkiye.

Department of Plastic and Reconstructive Surgery, Ege University, Izmir, Türkiye.

出版信息

Beyoglu Eye J. 2023 May 1;8(2):139-142. doi: 10.14744/bej.2023.35582. eCollection 2023.

DOI:10.14744/bej.2023.35582
PMID:37521886
原文链接:https://pmc.ncbi.nlm.nih.gov/articles/PMC10375206/
Abstract

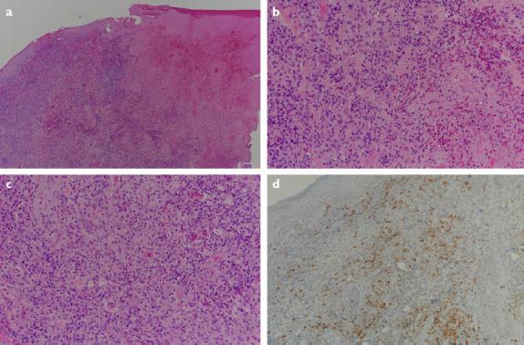
Insects are a class of living creatures within the arthropods. Bite is a wound produced by the mouth parts of an insect. Although insect bite reactions are commonly seen in clinical practice, especially in dermatology clinics, injuries from insect bites are less commonly encountered in ophthalmology clinics. Herein, we report a 28-year-old male presenting with a rapidly growing mass on his right upper eyelid following a suspected insect bite.

摘要

昆虫是节肢动物门中的一类生物。叮咬是昆虫口器造成的伤口。尽管昆虫叮咬反应在临床实践中很常见,尤其是在皮肤科诊所,但眼科诊所较少遇到昆虫叮咬造成的损伤。在此,我们报告一名28岁男性,在疑似昆虫叮咬后右上眼睑出现迅速增大的肿物。

https://cdn.ncbi.nlm.nih.gov/pmc/blobs/f6a0/10375206/197fb9d4f938/BEJ-8-139-g003.jpg
https://cdn.ncbi.nlm.nih.gov/pmc/blobs/f6a0/10375206/ef6abb52dd5c/BEJ-8-139-g001.jpg
https://cdn.ncbi.nlm.nih.gov/pmc/blobs/f6a0/10375206/f71a2224cb01/BEJ-8-139-g002.jpg
https://cdn.ncbi.nlm.nih.gov/pmc/blobs/f6a0/10375206/197fb9d4f938/BEJ-8-139-g003.jpg
https://cdn.ncbi.nlm.nih.gov/pmc/blobs/f6a0/10375206/ef6abb52dd5c/BEJ-8-139-g001.jpg
https://cdn.ncbi.nlm.nih.gov/pmc/blobs/f6a0/10375206/f71a2224cb01/BEJ-8-139-g002.jpg
https://cdn.ncbi.nlm.nih.gov/pmc/blobs/f6a0/10375206/197fb9d4f938/BEJ-8-139-g003.jpg

相似文献

1
Insect Bite Mimicking Malignant Eyelid Tumor.酷似恶性眼睑肿瘤的昆虫叮咬
Beyoglu Eye J. 2023 May 1;8(2):139-142. doi: 10.14744/bej.2023.35582. eCollection 2023.
2
[Eyelid necrosis caused by an hymenopteran insect bite].[膜翅目昆虫叮咬引起的眼睑坏死]
J Fr Ophtalmol. 2008 Nov;31(9):936-8. doi: 10.1016/s0181-5512(08)74737-5.
3
Insect bite reactions.昆虫叮咬反应。
Indian J Dermatol Venereol Leprol. 2013 Mar-Apr;79(2):151-64. doi: 10.4103/0378-6323.107629.
4
[Eyelid tick bite].[眼睑蜱虫叮咬]
Arch Soc Esp Oftalmol. 2006 Mar;81(3):173-5. doi: 10.4321/s0365-66912006000300011.
5
Epidemiological study of insect bite reactions from central India.印度中部昆虫叮咬反应的流行病学研究。
Indian J Dermatol. 2013 Sep;58(5):337-41. doi: 10.4103/0019-5154.117292.
6
The eyelid sign: a clue to bed bug bites.眼睑征:臭虫叮咬的一个线索。
Pediatr Dermatol. 2014 May-Jun;31(3):353-5. doi: 10.1111/pde.12332. Epub 2014 Mar 20.
7
Insect Bite-Like Reaction with Bullous Lesions Mimicking Bullous Pemphigoid in a Patient with Chronic Lymphocytic Leukemia.一名慢性淋巴细胞白血病患者出现类似昆虫叮咬反应伴大疱性皮损,酷似大疱性类天疱疮。
Ann Dermatol. 2018 Aug;30(4):468-472. doi: 10.5021/ad.2018.30.4.468. Epub 2018 Jun 28.
8
Management of simple insect bites: where's the evidence?简单昆虫叮咬的处理:证据何在?
Drug Ther Bull. 2012 Apr;50(4):45-8. doi: 10.1136/dtb.2012.04.0099.
9
Acute paediatric bite injuries treated on inpatient basis: a 10-year retrospective study and criteria for hospital admission.住院治疗的儿童急性咬伤:一项10年回顾性研究及入院标准
J Plast Surg Hand Surg. 2013 Dec;47(6):467-71. doi: 10.3109/2000656X.2013.783486. Epub 2013 Apr 16.
10
Canalicular involvement in dog bite related eyelid lacerations.犬咬伤相关眼睑裂伤中的泪小管受累情况。
Ophthalmic Plast Reconstr Surg. 2008 Jul-Aug;24(4):296-8. doi: 10.1097/IOP.0b013e318177e21f.

本文引用的文献

1
Insect bite-like reaction in a patient with T-cell lymphoma.一名T细胞淋巴瘤患者出现类似昆虫叮咬的反应。
An Bras Dermatol. 2022 Nov-Dec;97(6):829-832. doi: 10.1016/j.abd.2020.12.021. Epub 2022 Sep 8.
2
Eyelid malignancies in young individuals: clinical peculiarities.年轻人眼睑恶性肿瘤:临床特征。
Int Ophthalmol. 2022 Jun;42(6):1867-1874. doi: 10.1007/s10792-021-02184-3. Epub 2022 Jan 28.
3
The spectrum and clinicopathological correlation of eyelid lesions: Twenty years' experience at a tertiary eye care center in South India.
眼睑病变的谱及临床病理相关性:印度南部一家三级眼科保健中心 20 年的经验。
Indian J Ophthalmol. 2022 Jan;70(1):43-50. doi: 10.4103/ijo.IJO_428_21.
4
Hematologic-Related Malignancy-Induced Eosinophilic Dermatosis (He Remained): An eosinophilic dermatosis predominantly associated with chronic lymphocytic leukemia.血液系统相关恶性肿瘤所致嗜酸性粒细胞性皮肤病(仍存在):一种主要与慢性淋巴细胞白血病相关的嗜酸性粒细胞性皮肤病。
J Am Acad Dermatol. 2020 Jan;82(1):e13-e14. doi: 10.1016/j.jaad.2019.08.062. Epub 2019 Aug 29.
5
A Case of Conjunctival Bee Sting Injury with Review of the Literature on Ocular Bee Stings.一例结膜蜂蜇伤病例并文献复习:眼部蜂蜇伤
Am J Case Rep. 2019 Aug 31;20:1284-1289. doi: 10.12659/AJCR.917592.
6
Hymenoptera insect stings: Ocular manifestations and management.
J Fr Ophtalmol. 2019 Jan;42(1):37-43. doi: 10.1016/j.jfo.2018.04.014. Epub 2018 Dec 14.
7
The role of CD30 and CD153 (CD30L) in the anti-mycobacterial immune response.CD30和CD153(CD30配体)在抗分枝杆菌免疫反应中的作用。
Tuberculosis (Edinb). 2017 Jan;102:8-15. doi: 10.1016/j.tube.2016.10.006. Epub 2016 Nov 1.
8
Honeybee sting of the sclera: occular features, treatment, outcome and presumed pathogenesis.蜜蜂蜇伤巩膜:眼部特征、治疗、预后及推测的发病机制。
Pan Afr Med J. 2014 Jan 17;17:30. doi: 10.11604/pamj.2014.17.30.3297. eCollection 2014.
9
Management of simple insect bites: where's the evidence?简单昆虫叮咬的处理:证据何在?
Drug Ther Bull. 2012 Apr;50(4):45-8. doi: 10.1136/dtb.2012.04.0099.
10
Management of tick infestation of the eyelid.
Ophthalmic Plast Reconstr Surg. 2009 Jul-Aug;25(4):328-30. doi: 10.1097/IOP.0b013e3181aad642.