Suppr超能文献

心脏起搏器植入术后脓肿:一例报告。

Abscess after cardiac pacemaker implantation: A case report.

作者信息

Rybak-d'obyrn Joanna, Machoń Natalia Joanna, Lewandowska Julia Alicja, Owczarczyk-Saczonek Agnieszka, Placek Waldemar

机构信息

Department of Dermatology, Sexually Transmitted Diseases and Clinical Immunology University of Warmia and Mazury Olsztyn Poland.

Medical Faculty University of Warmia and Mazury Olsztyn Poland.

出版信息

Clin Case Rep. 2023 Aug 7;11(8):e7639. doi: 10.1002/ccr3.7639. eCollection 2023 Aug.

Abstract

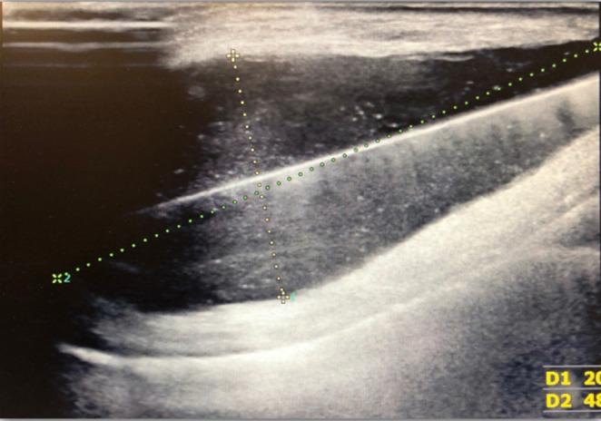
This is a report of one of the most serious complications of the cardiac pacemaker implantation - infection of the implanted system. We present the case, which was misdiagnosed at the beginning and after cardiological consultation it was decided to immediately remove the peacemaker and transfer the patient to the Cardiological Department.

摘要

这是一篇关于心脏起搏器植入最严重并发症之一——植入系统感染的报告。我们呈现该病例,其起初被误诊,经心内科会诊后决定立即移除起搏器并将患者转至心内科。

https://cdn.ncbi.nlm.nih.gov/pmc/blobs/e1ec/10405241/94f817a2d8fe/CCR3-11-e7639-g003.jpg

文献检索

告别复杂PubMed语法,用中文像聊天一样搜索,搜遍4000万医学文献。AI智能推荐,让科研检索更轻松。

立即免费搜索

文件翻译

保留排版,准确专业,支持PDF/Word/PPT等文件格式,支持 12+语言互译。

免费翻译文档

深度研究

AI帮你快速写综述,25分钟生成高质量综述,智能提取关键信息,辅助科研写作。

立即免费体验