• 文献检索
  • 文档翻译
  • 深度研究
  • 学术资讯
  • Suppr Zotero 插件Zotero 插件
  • 邀请有礼
  • 套餐&价格
  • 历史记录
应用&插件
Suppr Zotero 插件Zotero 插件浏览器插件Mac 客户端Windows 客户端微信小程序
定价
高级版会员购买积分包购买API积分包
服务
文献检索文档翻译深度研究API 文档MCP 服务
关于我们
关于 Suppr公司介绍联系我们用户协议隐私条款
关注我们

Suppr 超能文献

核心技术专利:CN118964589B侵权必究
粤ICP备2023148730 号-1Suppr @ 2026

文献检索

告别复杂PubMed语法,用中文像聊天一样搜索,搜遍4000万医学文献。AI智能推荐,让科研检索更轻松。

立即免费搜索

文件翻译

保留排版,准确专业,支持PDF/Word/PPT等文件格式,支持 12+语言互译。

免费翻译文档

深度研究

AI帮你快速写综述,25分钟生成高质量综述,智能提取关键信息,辅助科研写作。

立即免费体验

视觉诱发电位预测外伤性视神经病变致盲患者视神经管减压术的疗效:病例报告

Visual-evoked potential predicts the efficacy of the optical canal decompression for traumatic optic nerve neuropathy showing blindness: A case report.

作者信息

Otsu Yusuke, Komaki Satoru, Takeshige Nobuyuki, Sakata Kiyohiko, Morioka Motohiro

机构信息

Department of Neurosurgery, Kurume University School of Medicine, Kurume City, Japan.

出版信息

Surg Neurol Int. 2023 Jul 14;14:245. doi: 10.25259/SNI_450_2023. eCollection 2023.

DOI:10.25259/SNI_450_2023
PMID:37560571
原文链接:https://pmc.ncbi.nlm.nih.gov/articles/PMC10408612/
Abstract

BACKGROUND

The indication for surgical optic canal decompression (OCD) for traumatic optic neuropathy (TON) remains controversial because there is no reliable predictor of a good outcome. We report the case of a blind patient with TON whose remaining visual-evoked potential (VEP) suggested recovery potential of the injured optic nerve after OCD.

CASE DESCRIPTION

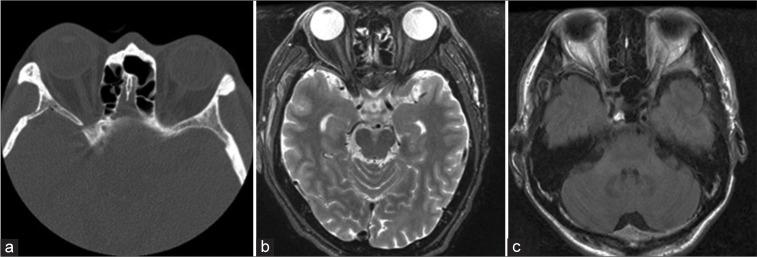
A 48-year-old man had fallen from a height of 7 m, striking his head. He immediately complained of right-eye blindness. He had no light perception and the direct light reflex disappeared from the right pupil, although there was no fracture or traumatic lesion on computed tomography and magnetic resonance imaging. Because the amplitude of the VEP with the right eye stimulation remained unchanged, we performed the right OCD. During surgical OCD, the amplitude and latency of VEP began to improve. Finally, the visual field improved in almost all directions, and eyesight improved to 0.2.

CONCLUSION

The retained VEP activity in TON may suggest the recovery potential of the injured optic nerve, even in cases of blindness. It is possible that VEP is an indicator of aggressive treatment for TON such as OCD.

摘要

背景

外伤性视神经病变(TON)行手术视神经管减压术(OCD)的指征仍存在争议,因为尚无可靠的预后良好预测指标。我们报告1例TON致盲患者,其残余视觉诱发电位(VEP)提示OCD术后受损视神经有恢复潜力。

病例描述

一名48岁男性从7米高处坠落,头部着地。他当即诉说右眼失明。右眼无光感,右瞳孔直接对光反射消失,尽管计算机断层扫描和磁共振成像未显示骨折或外伤性病变。由于刺激右眼时VEP波幅未变,我们实施了右侧OCD。手术OCD过程中,VEP波幅和潜伏期开始改善。最终,几乎所有方向的视野均有改善,视力提高到0.2。

结论

TON中保留的VEP活动可能提示受损视神经的恢复潜力,即使在失明病例中也是如此。VEP有可能是TON积极治疗(如OCD)的一个指标。

https://cdn.ncbi.nlm.nih.gov/pmc/blobs/1775/10408612/1558c04a223d/SNI-14-245-g005.jpg
https://cdn.ncbi.nlm.nih.gov/pmc/blobs/1775/10408612/f838d283aa5c/SNI-14-245-g001.jpg
https://cdn.ncbi.nlm.nih.gov/pmc/blobs/1775/10408612/7584acad5586/SNI-14-245-g002.jpg
https://cdn.ncbi.nlm.nih.gov/pmc/blobs/1775/10408612/ab50402aea7b/SNI-14-245-g003.jpg
https://cdn.ncbi.nlm.nih.gov/pmc/blobs/1775/10408612/935c37de7217/SNI-14-245-g004.jpg
https://cdn.ncbi.nlm.nih.gov/pmc/blobs/1775/10408612/1558c04a223d/SNI-14-245-g005.jpg
https://cdn.ncbi.nlm.nih.gov/pmc/blobs/1775/10408612/f838d283aa5c/SNI-14-245-g001.jpg
https://cdn.ncbi.nlm.nih.gov/pmc/blobs/1775/10408612/7584acad5586/SNI-14-245-g002.jpg
https://cdn.ncbi.nlm.nih.gov/pmc/blobs/1775/10408612/ab50402aea7b/SNI-14-245-g003.jpg
https://cdn.ncbi.nlm.nih.gov/pmc/blobs/1775/10408612/935c37de7217/SNI-14-245-g004.jpg
https://cdn.ncbi.nlm.nih.gov/pmc/blobs/1775/10408612/1558c04a223d/SNI-14-245-g005.jpg

相似文献

1
Visual-evoked potential predicts the efficacy of the optical canal decompression for traumatic optic nerve neuropathy showing blindness: A case report.视觉诱发电位预测外伤性视神经病变致盲患者视神经管减压术的疗效:病例报告
Surg Neurol Int. 2023 Jul 14;14:245. doi: 10.25259/SNI_450_2023. eCollection 2023.
2
Evaluation of transcranial surgical decompression of the optic canal as a treatment option for traumatic optic neuropathy.经颅视神经管减压术作为外伤性视神经病变治疗选择的评估
Clin Neurol Neurosurg. 2015 Jul;134:130-5. doi: 10.1016/j.clineuro.2015.04.023. Epub 2015 May 6.
3
Navigation-guided transcaruncular orbital optic canal decompression in indirect traumatic optic neuropathy: long-term outcomes.导航引导经眶上裂眶内视神经管减压术治疗间接性外伤性视神经病变:长期疗效。
Br J Ophthalmol. 2024 May 21;108(6):779-787. doi: 10.1136/bjo-2023-323282.
4
Isolated-check visual evoked potential: a more sensitive tool to detect traumatic optic neuropathy after orbital fracture.孤立性检查视觉诱发电位:一种更敏感的工具,可用于检测眼眶骨折后的创伤性视神经病变。
Graefes Arch Clin Exp Ophthalmol. 2021 Feb;259(2):547-555. doi: 10.1007/s00417-020-04895-2. Epub 2020 Sep 9.
5
The therapeutic efficacy of endoscopic optic nerve decompression and its effects on the prognoses of 96 cases of traumatic optic neuropathy.内镜视神经减压治疗外伤性视神经病变 96 例的疗效及预后分析
J Trauma Acute Care Surg. 2012 May;72(5):1350-5. doi: 10.1097/TA.0b013e3182493c70.
6
Surgical decompression in endocrine orbitopathy. Visual evoked potential evaluation and effect on the optic nerve.内分泌性眼眶病的手术减压。视觉诱发电位评估及其对视神经的影响。
J Craniomaxillofac Surg. 2012 Oct;40(7):621-5. doi: 10.1016/j.jcms.2012.01.027. Epub 2012 Mar 17.
7
Prognosticators for Visual Outcome in Indirect Traumatic Optic Neuropathy: A Prospective Cohort Study.间接创伤性视神经病变视觉预后的预测因素:一项前瞻性队列研究。
Cureus. 2023 Feb 23;15(2):e35344. doi: 10.7759/cureus.35344. eCollection 2023 Feb.
8
Endoscopic decompression of the optic canal for traumatic optic neuropathy.内镜下视神经管减压术治疗外伤性视神经病变
Chin J Traumatol. 2016 Dec 1;19(6):330-332. doi: 10.1016/j.cjtee.2016.03.004.
9
Affection of Surgical Decompressive Scale of Optic Canal to Traumatic Optic Neuropathy.视神经管手术减压程度对创伤性视神经病变的影响
Brain Sci. 2022 Oct 26;12(11):1442. doi: 10.3390/brainsci12111442.
10
Traumatic Optic Neuropathy (TON) and Ayurveda - A case report.创伤性视神经病变(TON)与阿育吠陀医学——病例报告
J Ayurveda Integr Med. 2022 Jan-Mar;13(1):100494. doi: 10.1016/j.jaim.2021.07.010. Epub 2021 Nov 27.

本文引用的文献

1
The outcome of surgical and non-surgical treatments for traumatic optic neuropathy: a comparative study of 685 cases.外伤性视神经病变手术与非手术治疗的结果:685例病例的对比研究
Ann Transl Med. 2022 May;10(10):542. doi: 10.21037/atm-22-1836.
2
Traumatic optic neuropathy: a review of current studies.外伤性视神经病变:当前研究综述。
Neurosurg Rev. 2022 Jun;45(3):1895-1913. doi: 10.1007/s10143-021-01717-9. Epub 2022 Jan 16.
3
Traumatic Optic Neuropathy.外伤性视神经病变
J Neurol Surg B Skull Base. 2021 Feb;82(1):107-115. doi: 10.1055/s-0040-1722632. Epub 2021 Feb 2.
4
A Systematic Literature Review on Traumatic Optic Neuropathy.外伤性视神经病变的系统文献综述
J Ophthalmol. 2021 Feb 26;2021:5553885. doi: 10.1155/2021/5553885. eCollection 2021.
5
Interventions for Indirect Traumatic Optic Neuropathy: A Report by the American Academy of Ophthalmology.间接创伤性视神经病变的干预措施:美国眼科学会的报告。
Ophthalmology. 2021 Jun;128(6):928-937. doi: 10.1016/j.ophtha.2020.10.038. Epub 2020 Nov 6.
6
Surgical Decompression or Corticosteroid Treatment of Indirect Traumatic Optic Neuropathy: A Randomized Controlled Trial.手术减压或皮质类固醇治疗间接性外伤性视神经病变:一项随机对照试验。
Ann Plast Surg. 2020 Jan;84(1S Suppl 1):S80-S83. doi: 10.1097/SAP.0000000000002186.
7
Intraoperative monitoring of flash visual evoked potential under general anesthesia.全身麻醉下闪光视觉诱发电位的术中监测。
Korean J Anesthesiol. 2017 Apr;70(2):127-135. doi: 10.4097/kjae.2017.70.2.127. Epub 2017 Mar 6.
8
ISCEV standard for clinical visual evoked potentials: (2016 update).临床视觉诱发电位的国际临床神经电生理学会(ISCEV)标准:(2016年更新版)
Doc Ophthalmol. 2016 Aug;133(1):1-9. doi: 10.1007/s10633-016-9553-y. Epub 2016 Jul 21.
9
Indirect traumatic optic neuropathy.间接性外伤性视神经病变。
Mil Med Res. 2016 Jan 11;3:2. doi: 10.1186/s40779-016-0069-2. eCollection 2016.
10
Surgery for traumatic optic neuropathy.外伤性视神经病变的手术治疗
Cochrane Database Syst Rev. 2013 Jun 18;6(6):CD005024. doi: 10.1002/14651858.CD005024.pub3.