Department of Pharmacy and Research Institute for Drug Development, College of Pharmacy, Pusan National University, Busan, 46241, Republic of Korea.
Biosafety Research Institute and Laboratory of Veterinary Pathology, College of Veterinary Medicine, Jeonbuk National University, Iksan, 54596, Korea.
Cell Commun Signal. 2023 Aug 18;21(1):215. doi: 10.1186/s12964-023-01234-w.
Toll-like receptor 7 (TLR7) is an endosomal TLR activated by single-stranded RNA, including endogenous microRNAs. Although TLR7 is known to promote inflammatory responses in pathophysiological conditions, its role in renal fibrosis has not been investigated. Here, we aim to investigate the inflammatory roles of TLR7 in kidney inflammation and fibrosis.
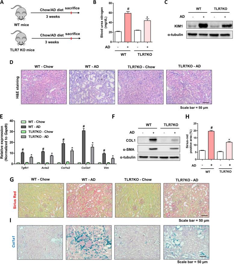
TLR7 knockout mice (Tlr7 ) subjected to AD-induced kidney injury were utilized to examine the role of TLR7 in kidney fibrosis. To elucidate the role of TLR7 in renal epithelial cells, NRK52E rat renal tubule epithelial cells were employed.
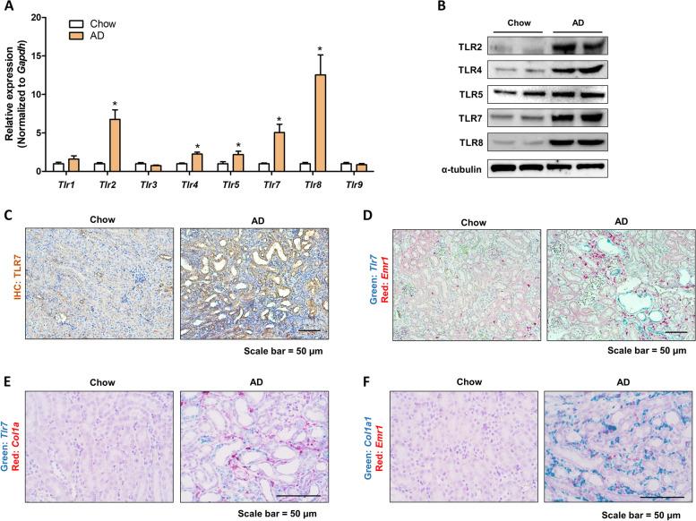
Under fibrotic conditions induced by an adenine diet (AD), TLR7 was significantly increased in damaged tubule epithelial cells, where macrophages were highly infiltrated. TLR7 deficiency protected against AD-induced tubular damage, inflammation, and renal fibrosis. Under in vitro conditions, TLR7 activation increased NF-κB activity and induced chemokine expression, whereas TLR7 inhibition effectively blocked NF-κB activation. Furthermore, among the known TLR7 endogenous ligands, miR-21 was significantly upregulated in the tubular epithelial regions. In NRK52E cells, miR-21 treatment induced pro-inflammatory responses, which could be blocked by a TLR7 inhibitor. When the TLR7 inhibitor, M5049, was administered to the AD-induced renal fibrosis model, TLR7 inhibition significantly attenuated AD-induced renal inflammation and fibrosis.
Overall, activation of TLR7 by endogenous miR-21 in renal epithelial cells contributes to inflammatory responses in a renal fibrosis model, suggesting a possible therapeutic target for the treatment of renal fibrosis. Video Abstract.
Toll 样受体 7(TLR7)是一种被单链 RNA(包括内源性 microRNAs)激活的内体 TLR。尽管 TLR7 已知在病理生理条件下促进炎症反应,但它在肾脏纤维化中的作用尚未被研究。在这里,我们旨在研究 TLR7 在肾脏炎症和纤维化中的炎症作用。
利用 TLR7 敲除小鼠(Tlr7-/-)进行腺嘌呤诱导的肾损伤来研究 TLR7 在肾纤维化中的作用。为了阐明 TLR7 在肾小管上皮细胞中的作用,使用 NRK52E 大鼠肾小管上皮细胞。
在腺嘌呤饮食(AD)诱导的纤维化条件下,受损肾小管上皮细胞中 TLR7 显著增加,巨噬细胞高度浸润。TLR7 缺失可防止 AD 诱导的肾小管损伤、炎症和肾纤维化。在体外条件下,TLR7 激活增加 NF-κB 活性并诱导趋化因子表达,而 TLR7 抑制可有效阻断 NF-κB 激活。此外,在已知的 TLR7 内源性配体中,miR-21 在肾小管上皮区域显著上调。在 NRK52E 细胞中,miR-21 处理诱导促炎反应,TLR7 抑制剂可阻断该反应。当 TLR7 抑制剂 M5049 给予 AD 诱导的肾纤维化模型时,TLR7 抑制可显著减轻 AD 诱导的肾炎症和纤维化。
总之,肾脏上皮细胞中内源性 miR-21 激活 TLR7 有助于肾纤维化模型中的炎症反应,提示其可能成为治疗肾纤维化的潜在治疗靶点。