Suppr超能文献

伤寒所致继发性噬血细胞性淋巴组织细胞增生症

Secondary Hemophagocytic Lymphohistiocytosis Due to Typhoid Fever.

作者信息

Shekhar Shekhar, Radhakrishnan Rahul, Nagar Vidya S

机构信息

Medical Oncology, Tata Memorial Hospital, Mumbai, IND.

General Medicine, Grant Medical College and Sir Jamshedjee Jeejeebhoy (JJ) Group of Hospitals, Mumbai, IND.

出版信息

Cureus. 2023 Jul 20;15(7):e42175. doi: 10.7759/cureus.42175. eCollection 2023 Jul.

Abstract

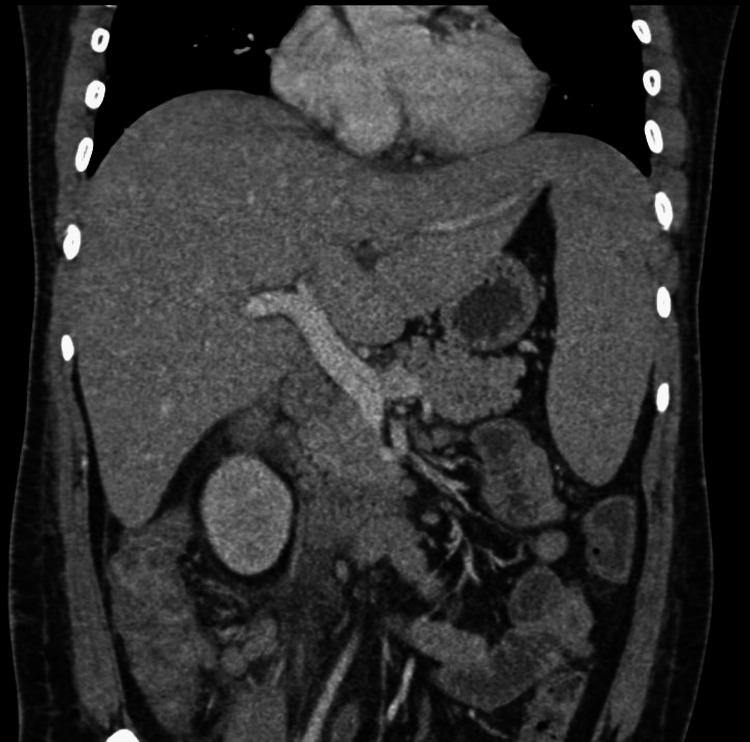
Hemophagocytic lymphohistiocytosis (HLH) is a potentially fatal hyper-inflammatory state that is caused by a highly activated but ineffective immune system. It can be primary or secondary to triggers like infections, malignancies, and autoimmune conditions. The authors present the case of a young male with a fever and abdominal pain due to typhoid. He continued to have a high-spiking fever and developed dyspnea, requiring oxygen therapy despite being treated with appropriate antibiotics. Laboratory evaluation revealed cytopenias and deranged liver function tests, and abdominal imaging revealed hepatosplenomegaly. These clinical and laboratory findings raised suspicion of HLH secondary to typhoid fever. Further investigations were suggestive of hyperferritinemia and hypofibrinogenemia, and bone marrow aspirates showed hemophagocytes. The patient was treated with immunosuppression (dexamethasone) and antibiotics and showed remarkable recovery. Hemophagocytic lymphohistiocytosis should be suspected in patients with tropical infections like enteric fever, tuberculosis, malaria, dengue, etc. that worsen despite appropriate treatment, as late diagnosis is associated with greater mortality.

摘要

噬血细胞性淋巴组织细胞增生症(HLH)是一种潜在致命的高炎症状态,由高度激活但无效的免疫系统引起。它可以是原发性的,也可以继发于感染、恶性肿瘤和自身免疫性疾病等触发因素。作者介绍了一例因伤寒出现发热和腹痛的年轻男性病例。尽管接受了适当的抗生素治疗,他仍持续高热,并出现呼吸困难,需要吸氧治疗。实验室检查发现血细胞减少和肝功能检查异常,腹部影像学检查显示肝脾肿大。这些临床和实验室检查结果引起了对伤寒继发HLH的怀疑。进一步检查提示高铁蛋白血症和低纤维蛋白原血症,骨髓穿刺显示有噬血细胞。该患者接受了免疫抑制治疗(地塞米松)和抗生素治疗,病情显著好转。对于患有伤寒热、结核病、疟疾、登革热等热带感染且尽管接受了适当治疗仍病情恶化的患者,应怀疑噬血细胞性淋巴组织细胞增生症,因为延迟诊断与更高的死亡率相关。

https://cdn.ncbi.nlm.nih.gov/pmc/blobs/19b0/10439506/0e94f9ec6469/cureus-0015-00000042175-i01.jpg

文献AI研究员

20分钟写一篇综述,助力文献阅读效率提升50倍。

立即体验

用中文搜PubMed

大模型驱动的PubMed中文搜索引擎

马上搜索

文档翻译

学术文献翻译模型,支持多种主流文档格式。

立即体验