• 文献检索
  • 文档翻译
  • 深度研究
  • 学术资讯
  • Suppr Zotero 插件Zotero 插件
  • 邀请有礼
  • 套餐&价格
  • 历史记录
应用&插件
Suppr Zotero 插件Zotero 插件浏览器插件Mac 客户端Windows 客户端微信小程序
定价
高级版会员购买积分包购买API积分包
服务
文献检索文档翻译深度研究API 文档MCP 服务
关于我们
关于 Suppr公司介绍联系我们用户协议隐私条款
关注我们

Suppr 超能文献

核心技术专利:CN118964589B侵权必究
粤ICP备2023148730 号-1Suppr @ 2026

文献检索

告别复杂PubMed语法,用中文像聊天一样搜索,搜遍4000万医学文献。AI智能推荐,让科研检索更轻松。

立即免费搜索

文件翻译

保留排版,准确专业,支持PDF/Word/PPT等文件格式,支持 12+语言互译。

免费翻译文档

深度研究

AI帮你快速写综述,25分钟生成高质量综述,智能提取关键信息,辅助科研写作。

立即免费体验

左半结肠切除术的术前实验室检查发现低钠血症,进而发现肺部肿块。

Pre-operative Labs for Left Hemicolectomy Reveals Hyponatremia That Leads to Lung Mass Finding.

作者信息

Tyre Jeffrey A, Nahr-Martey Patrick, Tyre Natalee M

机构信息

Medicine, Trinity School of Medicine, Warner Robins, USA.

General Surgery, Houston Healthcare, Warner Robins, USA.

出版信息

Cureus. 2023 Aug 21;15(8):e43865. doi: 10.7759/cureus.43865. eCollection 2023 Aug.

DOI:10.7759/cureus.43865
PMID:37608902
原文链接:https://pmc.ncbi.nlm.nih.gov/articles/PMC10441814/
Abstract

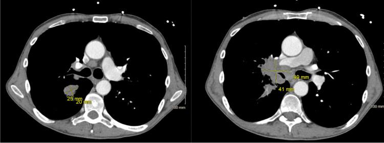
Paraneoplastic syndromes are a group of clinical conditions with specific signs and symptoms that are associated with underlying malignancies. The pathophysiology of paraneoplastic syndromes is caused by either the ectopic production of various hormones or the immune production of autoantibodies. Lung cancers are also notorious for being accompanied by paraneoplastic syndromes. The endocrine paraneoplastic syndromes most commonly associated with lung cancer include hypercalcemia of malignancy and syndrome of inappropriate antidiuretic hormone secretion (SIADH). Oftentimes, one of the initial findings in the early stages of lung malignancy is not symptoms of a primary lung neoplasm, but the symptoms and/or lab findings of a paraneoplastic syndrome. This article has been written to present a case of how an asymptomatic patient with a lung mass and lab values suggesting SIADH could benefit from an alteration to the current status quo in the work-up of hypo-osmolar hyponatremia. The main reason for writing the article is to suggest incorporating one of the United States Preventive Services Task Force (USPSTF) guidelines into the current work-up of hypo-osmolar hyponatremia. Currently, the workup for hypo-osmolar hyponatremia says, "consider chest imaging." However, incorporating one of the USPSTF screenings into a questionnaire for medical providers could be beneficial in identifying lung abnormalities sooner in patients with a smoking history and also be more appropriate in determining whether a patient should receive chest imaging.

摘要

副肿瘤综合征是一组具有特定体征和症状的临床病症,与潜在的恶性肿瘤相关。副肿瘤综合征的病理生理学是由各种激素的异位产生或自身抗体的免疫产生引起的。肺癌也因伴有副肿瘤综合征而声名狼藉。与肺癌最常相关的内分泌副肿瘤综合征包括恶性肿瘤高钙血症和抗利尿激素分泌不当综合征(SIADH)。通常,肺癌早期的最初发现之一不是原发性肺癌的症状,而是副肿瘤综合征的症状和/或实验室检查结果。本文旨在介绍一个病例,即一名无症状的肺部肿块患者,其实验室检查值提示SIADH,如何能从低渗性低钠血症检查现状的改变中获益。撰写本文的主要原因是建议将美国预防服务工作组(USPSTF)的一项指南纳入当前低渗性低钠血症的检查中。目前,低渗性低钠血症的检查建议“考虑胸部影像学检查”。然而,将USPSTF的一项筛查纳入医疗服务提供者的问卷中,可能有助于在有吸烟史的患者中更早地发现肺部异常,并且在确定患者是否应接受胸部影像学检查方面也更合适。

https://cdn.ncbi.nlm.nih.gov/pmc/blobs/5e44/10441814/e0a1b483e63c/cureus-0015-00000043865-i02.jpg
https://cdn.ncbi.nlm.nih.gov/pmc/blobs/5e44/10441814/d2269e9af7f5/cureus-0015-00000043865-i01.jpg
https://cdn.ncbi.nlm.nih.gov/pmc/blobs/5e44/10441814/e0a1b483e63c/cureus-0015-00000043865-i02.jpg
https://cdn.ncbi.nlm.nih.gov/pmc/blobs/5e44/10441814/d2269e9af7f5/cureus-0015-00000043865-i01.jpg
https://cdn.ncbi.nlm.nih.gov/pmc/blobs/5e44/10441814/e0a1b483e63c/cureus-0015-00000043865-i02.jpg

相似文献

1
Pre-operative Labs for Left Hemicolectomy Reveals Hyponatremia That Leads to Lung Mass Finding.左半结肠切除术的术前实验室检查发现低钠血症,进而发现肺部肿块。
Cureus. 2023 Aug 21;15(8):e43865. doi: 10.7759/cureus.43865. eCollection 2023 Aug.
2
[Lung carcinoma with paraneoplastic hyponatremia and hypercalcemia].[伴有副肿瘤性低钠血症和高钙血症的肺癌]
Med Pregl. 2010 Jul-Aug;63(7-8):512-5. doi: 10.2298/mpns1008512v.
3
[Syndrome of inappropriate ADH secretion (SIADH) in small-cell bronchus carcinoma].小细胞支气管癌中的抗利尿激素分泌异常综合征(SIADH)
Schweiz Med Wochenschr. 1991 Sep 7;121(36):1271-82.
4
[CME: Paraneoplastic Endocrine Syndromes].[继续医学教育:副肿瘤性内分泌综合征]
Praxis (Bern 1994). 2018 Nov;107(24):1309-1315. doi: 10.1024/1661-8157/a003132.
5
The syndrome of inappropriate secretion of antidiuretic hormone (SIADH) in small-cell lung cancer.小细胞肺癌中的抗利尿激素分泌不当综合征
J Clin Oncol. 1986 Aug;4(8):1191-8. doi: 10.1200/JCO.1986.4.8.1191.
6
Syndrome of inappropriate antidiuretic hormone secretion and Leser-Trélat syndrome as uncommon paraneoplastic manifestations of renal malignancy - a geriatric experience: a case report.抗利尿激素分泌不当综合征和Leser-Trélat综合征作为肾恶性肿瘤罕见的副肿瘤表现——老年患者经验:一例病例报告
J Med Case Rep. 2019 Jun 21;13(1):188. doi: 10.1186/s13256-019-2122-8.
7
Hyponatremia associated with unilateral hand weakness and numbness: a case report.低钠血症伴单侧手部无力和麻木:一例报告
N Am J Med Sci. 2013 Nov;5(11):660-2. doi: 10.4103/1947-2714.122310.
8
Endocrine paraneoplastic syndromes in lung cancer.肺癌相关的内分泌副肿瘤综合征。
Hormones (Athens). 2018 Sep;17(3):351-358. doi: 10.1007/s42000-018-0046-0. Epub 2018 Jul 2.
9
[Metabolic disturbance as paraneoplastic syndrome].[代谢紊乱作为副肿瘤综合征]
Gan To Kagaku Ryoho. 1991 Mar;18(3):350-6.
10
Syndrome of inappropriate antidiuretic hormone (SIADH) secretion caused by squamous cell carcinoma of the nasopharynx: case report.鼻咽癌引起的抗利尿激素分泌不当综合征(SIADH):病例报告。
Clin Exp Otorhinolaryngol. 2008 Jun;1(2):110-2. doi: 10.3342/ceo.2008.1.2.110. Epub 2008 Jun 20.

本文引用的文献

1
Paraneoplastic syndromes in small cell lung cancer.小细胞肺癌中的副肿瘤综合征
J Thorac Dis. 2020 Oct;12(10):6253-6263. doi: 10.21037/jtd.2020.03.88.
2
Paraneoplastic syndrome as the presentation of limited stage small cell carcinoma.副肿瘤综合征作为局限期小细胞癌的表现。
BMC Pulm Med. 2018 Nov 14;18(1):169. doi: 10.1186/s12890-018-0729-y.
3
Diagnosis and Treatment of Hyponatremia: Compilation of the Guidelines.低钠血症的诊断与治疗:指南汇编
J Am Soc Nephrol. 2017 May;28(5):1340-1349. doi: 10.1681/ASN.2016101139. Epub 2017 Feb 7.
4
Lung cancer-induced paraneoplastic syndromes.肺癌相关副肿瘤综合征。
Curr Opin Pulm Med. 2011 Jul;17(4):260-8. doi: 10.1097/MCP.0b013e328347bdba.
5
Management of hyponatremia.低钠血症的管理。
Am Fam Physician. 2004 May 15;69(10):2387-94.