• 文献检索
  • 文档翻译
  • 深度研究
  • 学术资讯
  • Suppr Zotero 插件Zotero 插件
  • 邀请有礼
  • 套餐&价格
  • 历史记录
应用&插件
Suppr Zotero 插件Zotero 插件浏览器插件Mac 客户端Windows 客户端微信小程序
定价
高级版会员购买积分包购买API积分包
服务
文献检索文档翻译深度研究API 文档MCP 服务
关于我们
关于 Suppr公司介绍联系我们用户协议隐私条款
关注我们

Suppr 超能文献

核心技术专利:CN118964589B侵权必究
粤ICP备2023148730 号-1Suppr @ 2026

文献检索

告别复杂PubMed语法,用中文像聊天一样搜索,搜遍4000万医学文献。AI智能推荐,让科研检索更轻松。

立即免费搜索

文件翻译

保留排版,准确专业,支持PDF/Word/PPT等文件格式,支持 12+语言互译。

免费翻译文档

深度研究

AI帮你快速写综述,25分钟生成高质量综述,智能提取关键信息,辅助科研写作。

立即免费体验

损伤局限于左侧基底神经节和丘脑的患者出现肢体失用症。

Limb apraxia in patients with damage confined to the left basal ganglia and thalamus.

作者信息

De Renzi E, Faglioni P, Scarpa M, Crisi G

出版信息

J Neurol Neurosurg Psychiatry. 1986 Sep;49(9):1030-8. doi: 10.1136/jnnp.49.9.1030.

DOI:10.1136/jnnp.49.9.1030
PMID:3760891
原文链接:https://pmc.ncbi.nlm.nih.gov/articles/PMC1029008/
Abstract

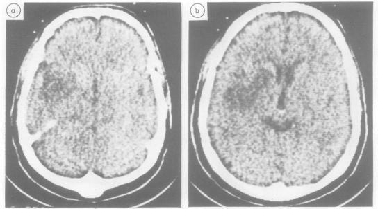
Limb apraxia was investigated with standardised tests in 14 patients whose CT scan provided evidence of a vascular lesion confined to the left basal ganglia, or the thalamus, or both, and not involving the cortex or adjacent white matter. Five patients were severely impaired in imitating movements and pantomiming object use. Four of them also performed poorly when tested with real objects. In two patients the lesion was primarily thalamic and in three the lesion was primarily in the lenticular nucleus and the posterior limb of the internal capsule. Patients without apraxia generally had smaller injuries, but there were exceptions. Apraxia is currently conceived of as due to damage of cortical areas and their cortico-cortical connections, but the present data suggest that the model should be enlarged to include the deep nuclei and the pathways running through them.

摘要

我们使用标准化测试对14例患者的肢体失用症进行了研究,这些患者的CT扫描显示血管病变局限于左侧基底神经节、丘脑或两者,且未累及皮质或相邻白质。5例患者在模仿动作和比划使用物体时严重受损。其中4例在使用真实物体进行测试时表现也很差。2例患者的病变主要在丘脑,3例患者的病变主要在豆状核和内囊后肢。没有失用症的患者损伤通常较小,但也有例外。目前认为失用症是由于皮质区域及其皮质 - 皮质连接受损所致,但目前的数据表明,该模型应扩大到包括深部核团及其之间的传导通路。

https://cdn.ncbi.nlm.nih.gov/pmc/blobs/f732/1029008/4017a2855655/jnnpsyc00101-0057-a.jpg
https://cdn.ncbi.nlm.nih.gov/pmc/blobs/f732/1029008/2f2d3ee5cd18/jnnpsyc00101-0054-a.jpg
https://cdn.ncbi.nlm.nih.gov/pmc/blobs/f732/1029008/3bc21706e266/jnnpsyc00101-0055-a.jpg
https://cdn.ncbi.nlm.nih.gov/pmc/blobs/f732/1029008/92d497b814ae/jnnpsyc00101-0055-b.jpg
https://cdn.ncbi.nlm.nih.gov/pmc/blobs/f732/1029008/39fb3714d6fc/jnnpsyc00101-0056-a.jpg
https://cdn.ncbi.nlm.nih.gov/pmc/blobs/f732/1029008/001810f9a711/jnnpsyc00101-0056-b.jpg
https://cdn.ncbi.nlm.nih.gov/pmc/blobs/f732/1029008/4017a2855655/jnnpsyc00101-0057-a.jpg
https://cdn.ncbi.nlm.nih.gov/pmc/blobs/f732/1029008/2f2d3ee5cd18/jnnpsyc00101-0054-a.jpg
https://cdn.ncbi.nlm.nih.gov/pmc/blobs/f732/1029008/3bc21706e266/jnnpsyc00101-0055-a.jpg
https://cdn.ncbi.nlm.nih.gov/pmc/blobs/f732/1029008/92d497b814ae/jnnpsyc00101-0055-b.jpg
https://cdn.ncbi.nlm.nih.gov/pmc/blobs/f732/1029008/39fb3714d6fc/jnnpsyc00101-0056-a.jpg
https://cdn.ncbi.nlm.nih.gov/pmc/blobs/f732/1029008/001810f9a711/jnnpsyc00101-0056-b.jpg
https://cdn.ncbi.nlm.nih.gov/pmc/blobs/f732/1029008/4017a2855655/jnnpsyc00101-0057-a.jpg

相似文献

1
Limb apraxia in patients with damage confined to the left basal ganglia and thalamus.损伤局限于左侧基底神经节和丘脑的患者出现肢体失用症。
J Neurol Neurosurg Psychiatry. 1986 Sep;49(9):1030-8. doi: 10.1136/jnnp.49.9.1030.
2
Limb apraxia in patients with damage confined to the left basal ganglia and thalamus.损伤局限于左侧基底神经节和丘脑的患者出现肢体失用症。
J Neurol Neurosurg Psychiatry. 1987 Jun;50(6):824-5. doi: 10.1136/jnnp.50.6.824.
3
The basal ganglia and apraxia.基底神经节与失用症。
Brain. 1996 Feb;119 ( Pt 1):319-40. doi: 10.1093/brain/119.1.319.
4
Apraxia in deep cerebral lesions.深部脑损伤中的失用症。
J Neurol Neurosurg Psychiatry. 1983 Sep;46(9):804-8. doi: 10.1136/jnnp.46.9.804.
5
Crossed cerebellar diaschisis due to intracranial hematoma in basal ganglia or thalamus.基底节或丘脑颅内血肿所致的交叉性小脑性失联络
J Nucl Med. 1998 Dec;39(12):2044-7.
6
Apraxia in subcortical lesions.皮质下病变中的失用症。
J Neurol Neurosurg Psychiatry. 1987 Aug;50(8):1084-5. doi: 10.1136/jnnp.50.8.1084.
7
[Non-dominant hemisphere syndrome as a result of a right thalamic infarct: an anatomoclinical case].
Rev Neurol (Paris). 1986;142(10):777-82.
8
Apraxia of lid opening due to a small lesion in basal ganglia: two case reports.基底节区小病灶所致睁眼失用症:两例报告
J Neurol Neurosurg Psychiatry. 2010 Dec;81(12):1406-7. doi: 10.1136/jnnp.2009.184846. Epub 2010 Jun 14.
9
[A study of aphasia caused by putaminal hemorrhage].[关于壳核出血所致失语症的研究]
No To Shinkei. 1989 Mar;41(3):229-35.
10
Posthemiplegic focal limb dystonia: a report of two cases.偏瘫后局灶性肢体肌张力障碍:两例报告
Clin Neurol Neurosurg. 1998 Mar;100(1):46-50. doi: 10.1016/s0303-8467(97)00120-0.

引用本文的文献

1
Association of Circumscribed Subcortical Gray and White Matter Lesions With Apraxic Deficits in Patients With Left Hemisphere Stroke.左侧半球卒中患者局限性皮质下灰质和白质病变与失用症缺陷的相关性研究。
Neurology. 2023 Sep 12;101(11):e1137-e1144. doi: 10.1212/WNL.0000000000207598. Epub 2023 Jul 18.
2
Mapping the human praxis network: an investigation of white matter disconnection in limb apraxia of gesture production.绘制人类实践网络:手势产生性肢体失用症中白质连接中断的研究
Brain Commun. 2022 Jan 13;4(1):fcac004. doi: 10.1093/braincomms/fcac004. eCollection 2022.
3
The Role of White Matter Disconnection in the Symptoms Relating to the Anarchic Hand Syndrome: A Single Case Study.

本文引用的文献

1
Imitating gestures. A quantitative approach to ideomotor apraxia.模仿手势:观念运动性失用症的定量研究方法
Arch Neurol. 1980 Jan;37(1):6-10. doi: 10.1001/archneur.1980.00500500036003.
2
[Motor negligence in a case of right thalamic hematoma (author's transl)].右侧丘脑血肿病例中的运动性疏忽(作者译)
Rev Neurol (Paris). 1981;137(6-7):447-55.
3
Subcortical neglect.皮质下忽视
白质连接中断在无动性缄默症相关症状中的作用:一项单病例研究
Brain Sci. 2021 May 14;11(5):632. doi: 10.3390/brainsci11050632.
4
Bilateral functional connectivity at rest predicts apraxic symptoms after left hemisphere stroke.静息状态下双侧功能连接可预测左半球卒中后失用症状。
Neuroimage Clin. 2019;21:101526. doi: 10.1016/j.nicl.2018.08.033. Epub 2018 Aug 31.
5
Longitudinal MRI Evaluation of Ischemic Stroke in the Basal Ganglia of a Rhesus Macaque () with Seizures.恒河猴基底节区缺血性卒中伴癫痫发作的纵向MRI评估()
Comp Med. 2018 Dec 1;68(6):496-502. doi: 10.30802/AALAS-CM-18-000004. Epub 2018 Nov 28.
6
Apraxia for differentiating Alzheimer's disease from subcortical vascular dementia and mild cognitive impairment.失用症在区分阿尔茨海默病与皮质下血管性痴呆和轻度认知障碍中的作用。
Neuropsychiatr Dis Treat. 2013;9:947-51. doi: 10.2147/NDT.S47879. Epub 2013 Jul 9.
7
Ideomotor apraxia in agrammatic and logopenic variants of primary progressive aphasia.原发性进行性失语症中的语法性和失语法性变异型意念运动性失用症。
J Neurol. 2013 Jun;260(6):1594-600. doi: 10.1007/s00415-013-6839-9. Epub 2013 Jan 29.
8
Gait apraxia after bilateral supplementary motor area lesion.双侧辅助运动区病变后步态失用症
J Neurol Neurosurg Psychiatry. 2002 Jan;72(1):77-85. doi: 10.1136/jnnp.72.1.77.
9
Unilateral lenticular infarcts: radiological and clinical syndromes, aetiology, and prognosis.单侧豆状核梗死:放射学和临床综合征、病因及预后
J Neurol Neurosurg Psychiatry. 1997 Nov;63(5):611-5. doi: 10.1136/jnnp.63.5.611.
10
Ideomotor apraxia without aphasia and aphasia without apraxia: the anatomical support for a double dissociation.无失语症的观念运动性失用症和无失用症的失语症:双重分离的解剖学支持。
J Neurol Neurosurg Psychiatry. 1993 Mar;56(3):286-9. doi: 10.1136/jnnp.56.3.286.
Neurology. 1982 Jul;32(7):776-8. doi: 10.1212/wnl.32.7.776.
4
[Semeiologic aspects of circumscribed thalamic lesions. Clinico-tomodensitometric study].[局限性丘脑病变的症状学方面。临床-体层密度测定研究]
Riv Patol Nerv Ment. 1982 Jul-Aug;103(4):153-61.
5
Regional cerebral blood flow changes in cortex and basal ganglia during voluntary movements in normal human volunteers.正常人类志愿者在自主运动过程中皮质和基底神经节的局部脑血流变化。
J Neurophysiol. 1982 Aug;48(2):467-80. doi: 10.1152/jn.1982.48.2.467.
6
Aphasia with predominantly subcortical lesion sites: description of three capsular/putaminal aphasia syndromes.以皮质下病变部位为主的失语症:三种内囊/壳核失语综合征的描述。
Arch Neurol. 1982 Jan;39(1):2-14. doi: 10.1001/archneur.1982.00510130004002.
7
Effects of stroke on local cerebral metabolism and perfusion: mapping by emission computed tomography of 18FDG and 13NH3.
Ann Neurol. 1980 Jul;8(1):47-60. doi: 10.1002/ana.410080108.
8
Comparison of metabolic rates, language, and memory in subcortical aphasias.皮质下失语症患者的代谢率、语言和记忆比较。
Brain Lang. 1983 May;19(1):33-47. doi: 10.1016/0093-934x(83)90054-8.
9
Nonhemorrhagic infarction of the thalamus: behavioral, anatomic, and physiologic correlates.丘脑非出血性梗死:行为、解剖及生理相关性
Neurology. 1984 Jan;34(1):14-23. doi: 10.1212/wnl.34.1.14.
10
[Motor neglect of thalamic origin: report on two cases (author's transl)].丘脑源性运动忽视:两例报告(作者译)
Rev Neurol (Paris). 1982;138(3):201-11.