Suppr超能文献

膀胱憩室:使用机器人平台治疗难治性下尿路症状的单中心经验

Urinary Bladder Diverticulum: A Single-Center Experience in the Management of Refractory Lower Urinary Symptoms Using a Robotic Platform.

作者信息

Janardanan Sarosh, Nigam Anurag, Moschonas Dimitrios, Perry Matthew, Patil Krishna

机构信息

Department of Urology, Ashford and St Peter's National Health Services Foundation Trust, Chertsey, GBR.

Department of Urology, Royal Surrey County Hospital, Guildford, GBR.

出版信息

Cureus. 2023 Jul 24;15(7):e42354. doi: 10.7759/cureus.42354. eCollection 2023 Jul.

Abstract

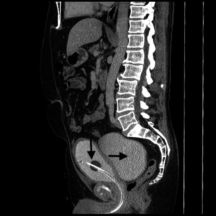
Introduction Urinary bladder diverticulum (UBD) is commonly seen in urological practice and, in most cases, does not need treatment specifically directed towards it. However, it can give rise to symptoms that are not distinct from this finding. This makes the evaluation and management of this complex patient group challenging. We present our experience with robotic bladder diverticulectomy (RBD) for acquired bladder diverticulum to assess the outcomes and safety of this procedure when patient symptoms have failed to respond to either medical or surgical treatment directed at other associated contributing factors. Methods We retrospectively collected data on all patients who underwent RBD for persistent lower urinary tract symptoms (LUTS) at Royal Surrey County Hospital, Guildford, between 2016 and 2021, including baseline characteristics, urodynamic findings, intraoperative and postoperative outcomes, and a six-month follow-up. Patients who were diagnosed with cancer in the diverticulum, associated pathology that may contribute to their symptoms, or who had concomitant procedures at the time of RBD were excluded from this study. Results We had six patients who underwent RBD; the median age and body mass index (BMI) were 63.8 years (range 48-73) and 27.1 kg/m(range 24-32), respectively. The most common presenting symptoms were refractory LUTS and recurrent urinary tract infections (UTIs). The urodynamic evaluation revealed varying findings like bladder outlet obstruction (BOO), poor compliance, and equivocal readings in these patients. All patients reported incomplete bladder emptying and double voiding, with half practicing clean intermittent self-catheterization (CISC). Diverticulum size averaged 9.4 cm (range 8.5-12). The median operative time and blood loss were 166 mins (range 150-180) and 75 mls (range 50-100), respectively. The average length of stay was 1.6 days (range 1-3). Three patients developed UTIs within a month after surgery, requiring a course of oral antibiotics. Post-void residual (PVR) measured an average of 32.6 mls (range 0-161) postoperatively compared to a preoperative average of 249 mls (range 125-400), showing a two-tailed p-value of 0.016. The International Prostate Symptom Score (IPSS) score for these patients showed an average of 27.83 (range 24-31) preoperatively compared to the postoperative average of eight (range 7-12), showing a two-tailed p-value of 0.0001. Final histology showed no malignancy, and all patients reported symptom improvement, with none requiring CISC after surgery. Conclusion RBD is a safe and effective procedure in carefully selected patients with refractory LUTS and UTIs showing good postoperative and functional outcomes. The presence of a large diverticulum can have a complex effect on bladder dynamics. In the era of robotic surgery and enhanced recovery, discussion about diverticulectomy should be encouraged after proper evaluation and counseling for patients who have failed to improve with other measures of treatment for their symptoms.

摘要

引言

膀胱憩室(UBD)在泌尿外科临床实践中较为常见,多数情况下无需针对其进行特殊治疗。然而,它可能引发一些与该病症不相关的症状。这使得对这一复杂患者群体的评估和管理颇具挑战性。我们介绍了对获得性膀胱憩室进行机器人膀胱憩室切除术(RBD)的经验,以评估在患者症状对针对其他相关促成因素的药物或手术治疗均无反应时,该手术的效果和安全性。

方法

我们回顾性收集了2016年至2021年期间在吉尔福德皇家萨里郡医院接受RBD治疗持续性下尿路症状(LUTS)的所有患者的数据,包括基线特征、尿动力学检查结果、术中及术后情况以及为期6个月的随访。本研究排除了在憩室内诊断出癌症、可能导致其症状的相关病理情况或在RBD手术时进行了同期手术的患者。

结果

我们有6例患者接受了RBD手术;中位年龄和体重指数(BMI)分别为63.8岁(范围48 - 73岁)和27.1kg/m²(范围24 - 32)。最常见的症状是难治性LUTS和复发性尿路感染(UTIs)。尿动力学评估显示这些患者存在多种不同结果,如膀胱出口梗阻(BOO)、顺应性差以及读数不明确等情况。所有患者均报告有膀胱排空不完全和二次排尿现象,其中半数患者进行清洁间歇性自我导尿(CISC)。憩室大小平均为9.4cm(范围8.5 - 12cm)。中位手术时间和失血量分别为166分钟(范围150 - 180分钟)和75毫升(范围50 - 100毫升)。平均住院时间为1.6天(范围1 - 3天)。3例患者在术后1个月内发生UTIs,需要口服抗生素治疗。术后残余尿量(PVR)平均为32.6毫升(范围0 - 161毫升),术前平均为249毫升(范围125 - 400毫升),双尾p值为0.016。这些患者的国际前列腺症状评分(IPSS)术前平均为27.83(范围24 - 31),术后平均为8(范围7 - 12),双尾p值为0.0001。最终组织学检查未发现恶性病变,所有患者均报告症状改善,术后无人需要进行CISC。

结论

对于精心挑选的难治性LUTS和UTIs患者,RBD是一种安全有效的手术,术后和功能效果良好。大憩室的存在可能对膀胱动力学产生复杂影响。在机器人手术和加速康复的时代,对于症状经其他治疗措施未能改善的患者,经过适当评估和咨询后,应鼓励讨论憩室切除术。

https://cdn.ncbi.nlm.nih.gov/pmc/blobs/9890/10445242/e6141bb88256/cureus-0015-00000042354-i01.jpg

文献AI研究员

20分钟写一篇综述,助力文献阅读效率提升50倍。

立即体验

用中文搜PubMed

大模型驱动的PubMed中文搜索引擎

马上搜索

文档翻译

学术文献翻译模型,支持多种主流文档格式。

立即体验