• 文献检索
  • 文档翻译
  • 深度研究
  • 学术资讯
  • Suppr Zotero 插件Zotero 插件
  • 邀请有礼
  • 套餐&价格
  • 历史记录
应用&插件
Suppr Zotero 插件Zotero 插件浏览器插件Mac 客户端Windows 客户端微信小程序
定价
高级版会员购买积分包购买API积分包
服务
文献检索文档翻译深度研究API 文档MCP 服务
关于我们
关于 Suppr公司介绍联系我们用户协议隐私条款
关注我们

Suppr 超能文献

核心技术专利:CN118964589B侵权必究
粤ICP备2023148730 号-1Suppr @ 2026

文献检索

告别复杂PubMed语法,用中文像聊天一样搜索,搜遍4000万医学文献。AI智能推荐,让科研检索更轻松。

立即免费搜索

文件翻译

保留排版,准确专业,支持PDF/Word/PPT等文件格式,支持 12+语言互译。

免费翻译文档

深度研究

AI帮你快速写综述,25分钟生成高质量综述,智能提取关键信息,辅助科研写作。

立即免费体验

用于预防家畜食用含苦马豆素植物中毒的药物缓释新型制剂的研发。

Development of Novel Formulation for Sustained Release of Drug to Prevent Swainsonine-Containing Plants Poisoning in Livestock.

作者信息

Li Bo, Zhang Congsheng, Zhu Yiru, Sun Pinzhi, Fan Shangrui, Wang Weina, Tian Yanan, Lu Hao

机构信息

College of Veterinary Medicine, Northwest A&F University, Yangling 712100, China.

Department of Veterinary Physiology and Pharmacology, College of Veterinary Medicine, Texas A&M University, College Station, TX 77843, USA.

出版信息

Animals (Basel). 2023 Aug 16;13(16):2646. doi: 10.3390/ani13162646.

DOI:10.3390/ani13162646
PMID:37627437
原文链接:https://pmc.ncbi.nlm.nih.gov/articles/PMC10451943/
Abstract

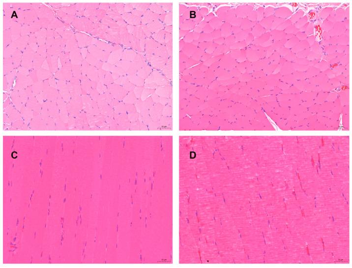
Swainsonine-containing plants contain swainsonine which has been shown to cause neurological signs and pathological changes in farm animals. It causes a large number of livestock poisonings every year resulting in economic losses to the livestock industry. At present, "Jifang E" is used in the prevention of swainsonine-containing plants poisoning livestock, and the preventive effects have been well-documented. However, "Jifang E" is typically administered in drinking water, making it difficult to control the administered dosage, because of feeding difficulties and it may cause certain side effects that are unique to the water-dissolved powder. To overcome these difficulties, we developed a temperature-sensitive gel for injection and the optimal ratio of each formula of sustained-release injection is P407 (24%), P188 (6%), Vitamin C (1%), PEG4000 (0.5%), and "Jifang E" (10%). Our results suggest that novel formulation makes the micellar system more stable and the particles are uniformly dispersed. Colloidal morphological studies showed that each group formed a homogeneous pore structure after gelling, and the structure became more dense with the addition of "Jifang E". The rheological study shows that "Jifang E" is a pseudoplastic fluid, and the addition of "Jifang E" reduces the viscosity of the formula, which is beneficial to the injection. In vitro and in vivo release rate studies have shown that the effective concentration of "Jifang E" can be maintained for 3 to 5 days. The acute toxicity test in SPF Kunming mice showed that its LD was 828.323 mg/kg, with confidence limits of 676.706-1013.911 mg/kg, which is a safe dosage (LD > 200 mg/kg). There were no observed reactions of muscle irritation or subcutaneous tissue irritation with the dosage used for New Zealand rabbits. In summary, we successfully developed the sustained-release injection formulation of "Jifang E" for the prevention of swainsonine-containing plants poisoning livestock, which provides the basis for subsequent field extension trials and the further study of its detoxification mechanism.

摘要

含有苦马豆素的植物含有苦马豆素,已证明其会导致家畜出现神经症状和病理变化。每年都会导致大量家畜中毒,给畜牧业造成经济损失。目前,“复方E”用于预防家畜因食用含苦马豆素的植物而中毒,其预防效果已有充分记录。然而,“复方E”通常通过饮水给药,由于投喂困难,难以控制给药剂量,并且可能会引起水溶粉剂特有的某些副作用。为克服这些困难,我们研发了一种注射用温敏凝胶,缓释注射剂各配方的最佳比例为泊洛沙姆407(24%)、泊洛沙姆188(6%)、维生素C(1%)、聚乙二醇4000(0.5%)和“复方E”(10%)。我们的结果表明,新型制剂使胶束系统更稳定,颗粒均匀分散。胶体形态学研究表明,每组凝胶后均形成均匀的孔结构,随着“复方E”的加入,结构变得更加致密。流变学研究表明,“复方E”是一种假塑性流体,“复方E”的加入降低了配方的粘度,有利于注射。体外和体内释放率研究表明,“复方E”的有效浓度可维持3至5天。SPF级昆明小鼠的急性毒性试验表明,其半数致死量为828.323 mg/kg,置信区间为676.706 - 1013.911 mg/kg,这是一个安全剂量(半数致死量>200 mg/kg)。使用该剂量对新西兰兔进行试验时,未观察到肌肉刺激或皮下组织刺激反应。总之,我们成功研发了用于预防家畜因食用含苦马豆素的植物而中毒的“复方E”缓释注射剂配方,为后续田间推广试验及其解毒机制的进一步研究提供了依据。

https://cdn.ncbi.nlm.nih.gov/pmc/blobs/2bf0/10451943/48ac821da1f6/animals-13-02646-g010.jpg
https://cdn.ncbi.nlm.nih.gov/pmc/blobs/2bf0/10451943/9cadda5767c8/animals-13-02646-g001.jpg
https://cdn.ncbi.nlm.nih.gov/pmc/blobs/2bf0/10451943/e7e37b9ce99f/animals-13-02646-g002.jpg
https://cdn.ncbi.nlm.nih.gov/pmc/blobs/2bf0/10451943/2d9251ecdf01/animals-13-02646-g003.jpg
https://cdn.ncbi.nlm.nih.gov/pmc/blobs/2bf0/10451943/1db416a1cc38/animals-13-02646-g004.jpg
https://cdn.ncbi.nlm.nih.gov/pmc/blobs/2bf0/10451943/4af6eda7d53e/animals-13-02646-g005.jpg
https://cdn.ncbi.nlm.nih.gov/pmc/blobs/2bf0/10451943/2c321275bc42/animals-13-02646-g006.jpg
https://cdn.ncbi.nlm.nih.gov/pmc/blobs/2bf0/10451943/137211340abc/animals-13-02646-g007.jpg
https://cdn.ncbi.nlm.nih.gov/pmc/blobs/2bf0/10451943/5cbd419fa1bc/animals-13-02646-g008.jpg
https://cdn.ncbi.nlm.nih.gov/pmc/blobs/2bf0/10451943/810d3948311c/animals-13-02646-g009.jpg
https://cdn.ncbi.nlm.nih.gov/pmc/blobs/2bf0/10451943/48ac821da1f6/animals-13-02646-g010.jpg
https://cdn.ncbi.nlm.nih.gov/pmc/blobs/2bf0/10451943/9cadda5767c8/animals-13-02646-g001.jpg
https://cdn.ncbi.nlm.nih.gov/pmc/blobs/2bf0/10451943/e7e37b9ce99f/animals-13-02646-g002.jpg
https://cdn.ncbi.nlm.nih.gov/pmc/blobs/2bf0/10451943/2d9251ecdf01/animals-13-02646-g003.jpg
https://cdn.ncbi.nlm.nih.gov/pmc/blobs/2bf0/10451943/1db416a1cc38/animals-13-02646-g004.jpg
https://cdn.ncbi.nlm.nih.gov/pmc/blobs/2bf0/10451943/4af6eda7d53e/animals-13-02646-g005.jpg
https://cdn.ncbi.nlm.nih.gov/pmc/blobs/2bf0/10451943/2c321275bc42/animals-13-02646-g006.jpg
https://cdn.ncbi.nlm.nih.gov/pmc/blobs/2bf0/10451943/137211340abc/animals-13-02646-g007.jpg
https://cdn.ncbi.nlm.nih.gov/pmc/blobs/2bf0/10451943/5cbd419fa1bc/animals-13-02646-g008.jpg
https://cdn.ncbi.nlm.nih.gov/pmc/blobs/2bf0/10451943/810d3948311c/animals-13-02646-g009.jpg
https://cdn.ncbi.nlm.nih.gov/pmc/blobs/2bf0/10451943/48ac821da1f6/animals-13-02646-g010.jpg

相似文献

1
Development of Novel Formulation for Sustained Release of Drug to Prevent Swainsonine-Containing Plants Poisoning in Livestock.用于预防家畜食用含苦马豆素植物中毒的药物缓释新型制剂的研发。
Animals (Basel). 2023 Aug 16;13(16):2646. doi: 10.3390/ani13162646.
2
Pathogenesis and preventive treatment for animal disease due to locoweed poisoning.疯草中毒致动物疾病的发病机制及防治
Environ Toxicol Pharmacol. 2014 Jan;37(1):336-47. doi: 10.1016/j.etap.2013.11.013. Epub 2013 Nov 17.
3
The pathogenesis and toxicokinetics of locoweed (Astragalus and Oxytropis spp.) poisoning in livestock.疯草(黄芪属和棘豆属植物)对家畜的致病机制及毒代动力学
J Nat Toxins. 1999 Feb;8(1):35-45.
4
Biomarkers and their potential for detecting livestock plant poisonings in Western North America.生物标志物及其在检测北美西部家畜植物中毒方面的潜力。
Front Vet Sci. 2023 Feb 22;10:1104702. doi: 10.3389/fvets.2023.1104702. eCollection 2023.
5
Swainsonine-containing plants and their relationship to endophytic fungi.含有苦马豆素的植物及其与内生真菌的关系。
J Agric Food Chem. 2014 Jul 30;62(30):7326-34. doi: 10.1021/jf501674r. Epub 2014 May 6.
6
Fungicide treatment and clipping of Oxytropis sericea does not disrupt swainsonine concentrations.对绢毛棘豆进行杀真菌剂处理和修剪不会破坏苦马豆素的浓度。
Toxicon. 2016 Nov;122:26-30. doi: 10.1016/j.toxicon.2016.09.012. Epub 2016 Sep 16.
7
White locoweed toxicity is facilitated by a fungal endophyte and nitrogen-fixing bacteria.白疯草的毒性因一种内生真菌和固氮细菌而加剧。
Ecology. 2007 Jul;88(7):1850-6. doi: 10.1890/06-0728.1.
8
Final report on the safety assessment of capsicum annuum extract, capsicum annuum fruit extract, capsicum annuum resin, capsicum annuum fruit powder, capsicum frutescens fruit, capsicum frutescens fruit extract, capsicum frutescens resin, and capsaicin.关于辣椒提取物、辣椒果实提取物、辣椒树脂、辣椒果粉、小米辣果实、小米辣果实提取物、小米辣树脂和辣椒素安全性评估的最终报告。
Int J Toxicol. 2007;26 Suppl 1:3-106. doi: 10.1080/10915810601163939.
9
Design, Characterization and Pharmacokinetic-Pharmacodynamic Evaluation of Poloxamer and Kappa-Carrageenan-Based Dual-Responsive In Situ Gel of Nebivolol for Treatment of Open-Angle Glaucoma.用于治疗开角型青光眼的基于泊洛沙姆和κ-卡拉胶的奈必洛尔双响应原位凝胶的设计、表征及药代动力学-药效学评价
Pharmaceutics. 2023 Jan 25;15(2):405. doi: 10.3390/pharmaceutics15020405.
10
Clinical and pathological comparison of Astragalus lentiginosus and Ipomoea carnea poisoning in goats.黄芪和番薯叶中毒的山羊临床与病理比较。
Toxicon. 2019 Dec 5;171:20-28. doi: 10.1016/j.toxicon.2019.09.016. Epub 2019 Sep 19.

引用本文的文献

1
Cyclic Imines and Their Salts as Universal Precursors in the Synthesis of Nitrogen-Containing Alkaloids.环状亚胺及其盐类作为含氮生物碱合成中的通用前体。
Int J Mol Sci. 2024 Dec 31;26(1):288. doi: 10.3390/ijms26010288.
2
Metabolomic analysis of swainsonine poisoning in renal tubular epithelial cells.肾小管上皮细胞中苦马豆素中毒的代谢组学分析
Front Vet Sci. 2024 May 21;11:1387853. doi: 10.3389/fvets.2024.1387853. eCollection 2024.

本文引用的文献

1
Biomarkers and their potential for detecting livestock plant poisonings in Western North America.生物标志物及其在检测北美西部家畜植物中毒方面的潜力。
Front Vet Sci. 2023 Feb 22;10:1104702. doi: 10.3389/fvets.2023.1104702. eCollection 2023.
2
Sustained release of locally delivered celecoxib provides pain relief for osteoarthritis: a proof of concept in dog patients.局部给予塞来昔布的持续释放为骨关节炎提供了疼痛缓解:犬患者的概念验证。
Osteoarthritis Cartilage. 2023 Mar;31(3):351-362. doi: 10.1016/j.joca.2022.11.008. Epub 2022 Dec 5.
3
Exosomes derived from platelet-rich plasma administration in site mediate cartilage protection in subtalar osteoarthritis.
富血小板血浆来源的外泌体局部给药介导距下关节炎软骨保护。
J Nanobiotechnology. 2022 Jan 29;20(1):56. doi: 10.1186/s12951-022-01245-8.
4
An Overview on Thermosensitive Oral Gel Based on Poloxamer 407.基于泊洛沙姆407的热敏性口腔凝胶概述
Materials (Basel). 2021 Aug 12;14(16):4522. doi: 10.3390/ma14164522.
5
Assessment of glibenclamide pharmacokinetics in poloxamer 407-induced hyperlipidemic rats.格列本脲在泊洛沙姆407诱导的高脂血症大鼠体内的药代动力学评估。
Saudi Pharm J. 2021 Jul;29(7):719-723. doi: 10.1016/j.jsps.2021.05.002. Epub 2021 May 20.
6
Elucidation of Colloid Performances of Thermosensitive In Situ-Forming Ophthalmic Gel Formed by Poloxamer 407 for Loading Drugs.阐明温敏型原位形成眼用凝胶的胶体性能,该凝胶由泊洛沙姆 407 形成,用于载药。
J Pharm Sci. 2020 May;109(5):1703-1713. doi: 10.1016/j.xphs.2020.01.021. Epub 2020 Feb 1.
7
evaluation of poloxamer forming gels for bedaquiline fumarate salt and pharmacokinetics following intramuscular injection in rats.泊洛沙姆形成富马酸贝达喹啉盐凝胶的评价及大鼠肌肉注射后的药代动力学研究
Int J Pharm X. 2019 May 24;1:100016. doi: 10.1016/j.ijpx.2019.100016. eCollection 2019 Dec.
8
Designing hydrogels for controlled drug delivery.设计用于控释给药的水凝胶。
Nat Rev Mater. 2016 Dec;1(12). doi: 10.1038/natrevmats.2016.71. Epub 2016 Oct 18.
9
ECM based injectable thermo-sensitive hydrogel on the recovery of injured cartilage induced by osteoarthritis.基于细胞外基质的可注射温敏水凝胶在骨关节炎诱导的软骨损伤修复中的应用。
Artif Cells Nanomed Biotechnol. 2018;46(sup2):152-160. doi: 10.1080/21691401.2018.1452752. Epub 2018 Mar 25.
10
Thermoreversible gel for subgingival delivery of simvastatin for treatment of periodontal disease.用于辛伐他汀龈下给药治疗牙周疾病的热可逆凝胶。
Int J Pharm Investig. 2017 Apr-Jun;7(2):101-106. doi: 10.4103/jphi.JPHI_26_17.