Wellcome Centre for Integrative Parasitology (WCIP), University of Glasgow, Glasgow, UK.
School of Biodiversity, One Health, Veterinary Medicine (SBOHVM), College of Medical, Veterinary and Life Sciences, University of Glasgow, Glasgow, UK.
Nat Commun. 2023 Aug 29;14(1):5279. doi: 10.1038/s41467-023-40962-y.
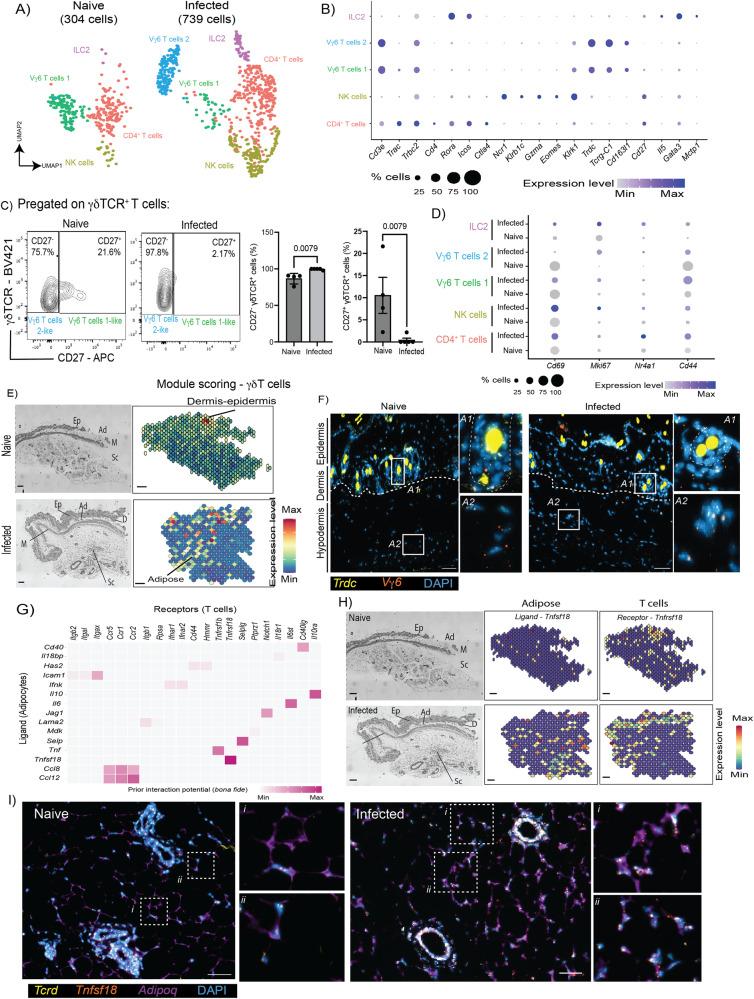
African trypanosomes colonise the skin to ensure parasite transmission. However, how the skin responds to trypanosome infection remains unresolved. Here, we investigate the local immune response of the skin in a murine model of infection using spatial and single cell transcriptomics. We detect expansion of dermal IL-17A-producing Vγ6 cells during infection, which occurs in the subcutaneous adipose tissue. In silico cell-cell communication analysis suggests that subcutaneous interstitial preadipocytes trigger T cell activation via Cd40 and Tnfsf18 signalling, amongst others. In vivo, we observe that female mice deficient for IL-17A-producing Vγ6 cells show extensive inflammation and limit subcutaneous adipose tissue wasting, independently of parasite burden. Based on these observations, we propose that subcutaneous adipocytes and Vγ6 cells act in concert to limit skin inflammation and adipose tissue wasting. These studies provide new insights into the role of γδ T cell and subcutaneous adipocytes as homeostatic regulators of skin immunity during chronic infection.
非洲锥体虫定殖于皮肤以确保寄生虫传播。然而,皮肤对锥体虫感染的反应仍未得到解决。在这里,我们使用空间和单细胞转录组学研究了感染小鼠模型中皮肤的局部免疫反应。我们在皮下脂肪组织中检测到感染过程中真皮中产生 IL-17A 的 Vγ6 细胞的扩增。计算机细胞间通信分析表明,皮下间质前脂肪细胞通过 Cd40 和 Tnfsf18 信号等触发 T 细胞激活。在体内,我们观察到缺乏产生 IL-17A 的 Vγ6 细胞的雌性小鼠表现出广泛的炎症并限制了皮下脂肪组织的消耗,而与寄生虫负担无关。基于这些观察结果,我们提出皮下脂肪细胞和 Vγ6 细胞协同作用以限制皮肤炎症和脂肪组织消耗。这些研究为 γδ T 细胞和皮下脂肪细胞在慢性感染期间作为皮肤免疫稳态调节剂的作用提供了新的见解。