Suppr超能文献

颈椎原发性尤因肉瘤:病例报告及文献综述

Primary Ewing Sarcoma of the Cervical Spine: A Case Report and Literature Review.

作者信息

Shihadeh Omar M, Khan Muhammad Mohsin, Salih Hayel, Thabet Abdelnaser, Belkhair Sirajeddin

机构信息

Neurosurgery, Hamad Medical Corporation, Doha, QAT.

Neurosurgery, Weill Cornell Medicine-Qatar, Doha, QAT.

出版信息

Cureus. 2023 Jul 30;15(7):e42687. doi: 10.7759/cureus.42687. eCollection 2023 Jul.

Abstract

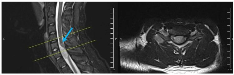
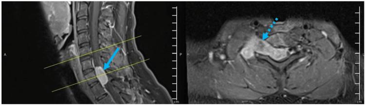
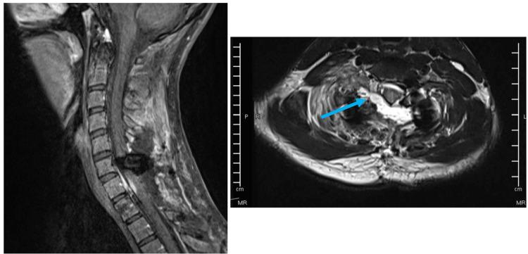
Ewing sarcoma is a rare neoplasm that mostly grows in bones or soft tissues around bones. Most cases of Ewing sarcoma occur in intra-skeletal locations (long bones, pelvis, or ribs) and rarely in extra-skeletal regions such as paravertebral or epidural space, whereas a primary intradural extramedullary Ewing sarcoma (IEES) is extremely rare. Fifty cases of primary IEES including our case were identified in the literature, so far, of which two-thirds are in the lumbosacral region, while only 12 reports described a cervical location of the tumor. Herein, we are presenting a case of C7-T1 primary IEES for a 24-year-old male, followed by a review of updated literature about the primary IEES in the cervical spine.

摘要

尤因肉瘤是一种罕见的肿瘤,主要生长于骨骼或骨骼周围的软组织。大多数尤因肉瘤病例发生于骨骼内部(长骨、骨盆或肋骨),很少发生于椎旁或硬膜外间隙等骨骼外区域,而原发性硬脊膜内髓外尤因肉瘤(IEES)极为罕见。迄今为止,文献中已报道了包括我们的病例在内的50例原发性IEES病例,其中三分之二位于腰骶部,而仅有12篇报道描述了肿瘤位于颈椎。在此,我们报告一例24岁男性C7-T1原发性IEES病例,并对颈椎原发性IEES的最新文献进行综述。

https://cdn.ncbi.nlm.nih.gov/pmc/blobs/3c16/10464919/23338c848b5d/cureus-0015-00000042687-i01.jpg

文献检索

告别复杂PubMed语法,用中文像聊天一样搜索,搜遍4000万医学文献。AI智能推荐,让科研检索更轻松。

立即免费搜索

文件翻译

保留排版,准确专业,支持PDF/Word/PPT等文件格式,支持 12+语言互译。

免费翻译文档

深度研究

AI帮你快速写综述,25分钟生成高质量综述,智能提取关键信息,辅助科研写作。

立即免费体验