Suppr超能文献

FAM3A 通过调节 KLF4 的泛素化重塑腹主动脉瘤中 VSMC 的命运特化。

FAM3A reshapes VSMC fate specification in abdominal aortic aneurysm by regulating KLF4 ubiquitination.

机构信息

Department of Vascular Surgery, Peking Union Medical College Hospital, Chinese Academy of Medical Sciences and Peking Union Medical College, Dongcheng District, Beijing, 100730, China.

State Key Laboratory of Complex Severe and Rare Diseases, Peking Union Medical College Hospital, Chinese Academy of Medical Sciences and Peking Union Medical College, Dongcheng District, Beijing, 100730, China.

出版信息

Nat Commun. 2023 Sep 2;14(1):5360. doi: 10.1038/s41467-023-41177-x.

Abstract

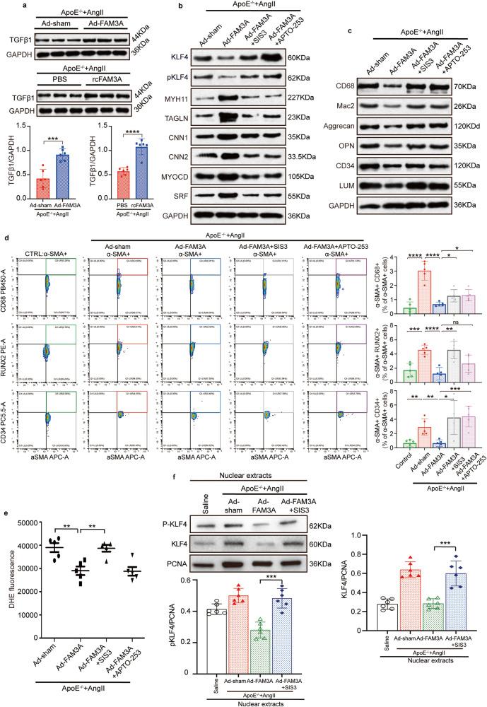
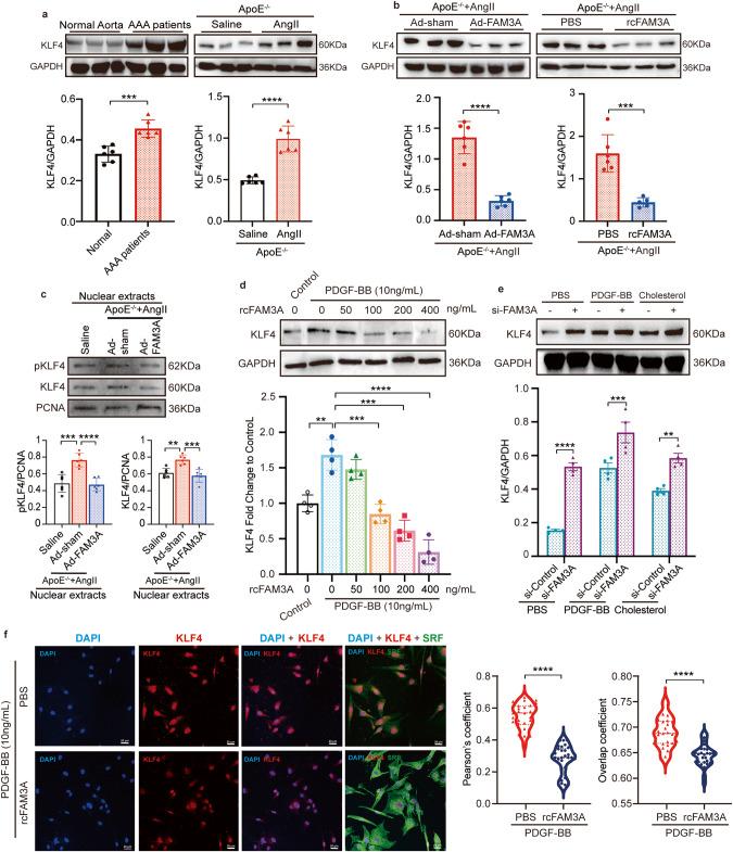
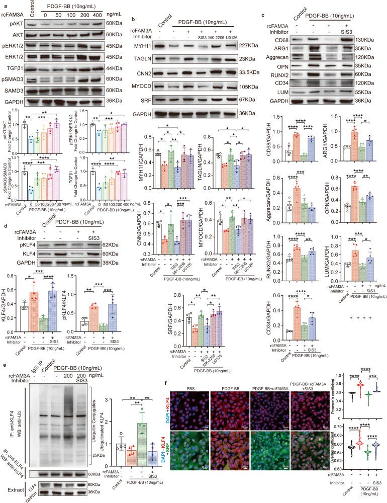
Reprogramming of vascular smooth muscle cell (VSMC) differentiation plays an essential role in abdominal aortic aneurysm (AAA). However, the underlying mechanisms are still unclear. We explore the expression of FAM3A, a newly identified metabolic cytokine, and whether and how FAM3A regulates VSMC differentiation in AAA. We discover that FAM3A is decreased in the aortas and plasma in AAA patients and murine models. Overexpression or supplementation of FAM3A significantly attenuate the AAA formation, manifested by maintenance of the well-differentiated VSMC status and inhibition of VSMC transformation toward macrophage-, chondrocyte-, osteogenic-, mesenchymal-, and fibroblast-like cell subpopulations. Importantly, FAM3A induces KLF4 ubiquitination and reduces its phosphorylation and nuclear localization. Here, we report FAM3A as a VSMC fate-shaping regulator in AAA and reveal the underlying mechanism associated with KLF4 ubiquitination and stability, which may lead to the development of strategies based on FAM3A to restore VSMC homeostasis in AAA.

摘要

血管平滑肌细胞 (VSMC) 分化的重编程在腹主动脉瘤 (AAA) 中起着至关重要的作用。然而,其潜在机制尚不清楚。我们探讨了 FAM3A 的表达情况,FAM3A 是一种新发现的代谢细胞因子,以及 FAM3A 是否以及如何调节 AAA 中的 VSMC 分化。我们发现 FAM3A 在 AAA 患者和小鼠模型的主动脉和血浆中表达减少。FAM3A 的过表达或补充可显著减轻 AAA 的形成,表现为维持分化良好的 VSMC 状态,并抑制 VSMC 向巨噬细胞、软骨细胞、成骨细胞、间充质细胞和成纤维细胞样细胞亚群的转化。重要的是,FAM3A 诱导 KLF4 泛素化,减少其磷酸化和核定位。本研究报道 FAM3A 是 AAA 中 VSMC 命运塑造的调节因子,并揭示了与 KLF4 泛素化和稳定性相关的潜在机制,这可能为基于 FAM3A 恢复 AAA 中 VSMC 内稳态的策略的发展提供依据。

https://cdn.ncbi.nlm.nih.gov/pmc/blobs/2c2b/10475135/d6695af5a285/41467_2023_41177_Fig1_HTML.jpg

文献检索

告别复杂PubMed语法,用中文像聊天一样搜索,搜遍4000万医学文献。AI智能推荐,让科研检索更轻松。

立即免费搜索

文件翻译

保留排版,准确专业,支持PDF/Word/PPT等文件格式,支持 12+语言互译。

免费翻译文档

深度研究

AI帮你快速写综述,25分钟生成高质量综述,智能提取关键信息,辅助科研写作。

立即免费体验