Suppr超能文献

甲状腺转录因子-1 在鉴别肺腺癌与非肺腺癌性胸腔积液中的作用。

The role of thyroid transcription factor-1 in differentiating lung adenocarcinomas from non-pulmonary adenocarcinoma effusions.

机构信息

Department of Histopathology and Cytopathology, Faculty of Medical Laboratory Sciences, National University, Khartoum, Sudan.

Department of Histopathology and Cytopathology, Faculty of Medical Laboratory Sciences, University of Medical Sciences and Technology, Khartoum, Sudan.

出版信息

J Med Life. 2023 Jun;16(6):932-936. doi: 10.25122/jml-2023-0143.

Abstract

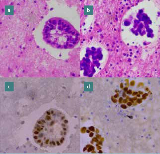
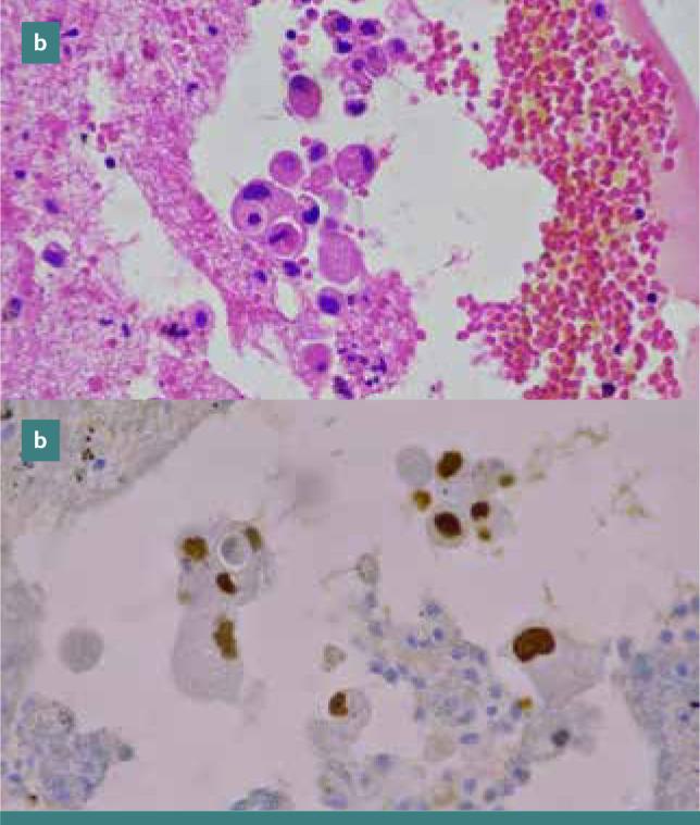
Effusions, characterized by abnormal fluid accumulations in body cavities, present difficulties in identifying the primary organs of metastatic tumors through cytopathologic investigation, particularly in cancer-related complications. This retrospective cross-sectional laboratory study aimed to investigate the role of thyroid transcription factor-1 (TTF-1) in distinguishing lung adenocarcinomas from non-pulmonary adenocarcinomas in effusions. The study was conducted at Almobarak Cytopathology Laboratory, a private cytopathology laboratory. H&E was used to confirm the histological diagnosis of 58 archived cell blocks. TTF-1 immunostaining patterns were then correlated with the histological diagnosis. Statistical analysis, including numerical and graphical data summaries, was conducted using the Chi-square test in SPSS 23. TTF-1 expression was observed in 20 (34.4%) cases, while 38 (65.5%) cases showed no TTF-1 reaction. Positive TTF-1 was found in pleural fluid in 61.1 % of lung adenocarcinomas, while negative TTF-1 was found in only 3.4%. TTF-1 was not detected in the majority of peritoneal fluid samples. There was a highly significant relationship between pleural fluid, TTF-1, and lung adenocarcinoma (p=0.000). The data provided further evidence that TTF-1 is a useful marker for distinguishing pulmonary adenocarcinomas from non-pulmonary adenocarcinoma tumors.

摘要

胸腔积液的特征是体腔中异常的液体积聚,通过细胞学检查来识别转移性肿瘤的原发器官存在困难,尤其是在癌症相关并发症中。本回顾性横断面实验室研究旨在探讨甲状腺转录因子-1(TTF-1)在区分胸腔积液中的肺腺癌与非肺腺癌中的作用。该研究在 Almobarak 细胞病理学实验室进行,这是一家私营细胞病理学实验室。使用 H&E 确认 58 个存档细胞块的组织学诊断。然后将 TTF-1 免疫染色模式与组织学诊断相关联。使用 SPSS 23 中的卡方检验进行统计分析,包括数值和图形数据汇总。在 20 例(34.4%)病例中观察到 TTF-1 表达,而在 38 例(65.5%)病例中未观察到 TTF-1 反应。在 61.1%的肺腺癌患者的胸腔积液中发现阳性 TTF-1,而仅在 3.4%的病例中发现阴性 TTF-1。在大多数腹膜液样本中未检测到 TTF-1。胸腔积液、TTF-1 和肺腺癌之间存在高度显著关系(p=0.000)。这些数据进一步证明 TTF-1 是区分肺腺癌与非肺腺癌肿瘤的有用标志物。

https://cdn.ncbi.nlm.nih.gov/pmc/blobs/3ceb/10478657/7780f93c1b43/JMedLife-16-932-g001.jpg

文献AI研究员

20分钟写一篇综述,助力文献阅读效率提升50倍。

立即体验

用中文搜PubMed

大模型驱动的PubMed中文搜索引擎

马上搜索

文档翻译

学术文献翻译模型,支持多种主流文档格式。

立即体验