Gole Abhishek Anilrao, Ashwinirani S R, Kadashetti Vidya, Suragimath Girish, Muneshwar Shrutika, Godse Priti
Department of Oral Medicine and Radiology, Krishna Viswa Vidyapeeth, Deemed to be Univeristy, School of Dental Scienecs, Karad, Maharasthra, India.
Department of Oral and Maxillofcaial Pathology, Krishna Viswa Vidyapeeth, Deemed to be Univeristy, School of Dental Scienecs, Karad, Maharasthra, India.
J Midlife Health. 2023 Jan-Mar;14(1):3-7. doi: 10.4103/jmh.jmh_44_23. Epub 2023 Jul 7.
In developing countries, oral cancer (OC) is estimated to be the third most common malignancy after cancer of the cervix and stomach. The aim of this study was to report the prevalence of OC for 3 years and its association with age, gender, type, and duration of habits along with the site of OC.
This study was conducted in the Department of Oral Medicine and Radiology from January 2019 to December 2021. All the patients were examined after recording their demographic data using a mouth mirror and probe. The diagnosis of OC was arrived based on the clinical features of the lesions. The type and duration of habits and site were recorded in clinical pro forma. The Statistical Package for the Social Sciences (SPSS) software version 21.0 was used for the statistical analysis, the Chi-square test was applied, and the significance level was set at < 0.05.
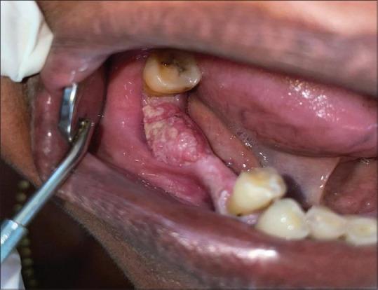
The prevalence of OC was 0.22% in our study. Of 317 cases, the majority of the patients were males ( = 204), and females ( = 113) accounted for a male: female ratio of 2:1. The most common age affected was 51-70 years with a history of tobacco chewing, followed by patients with multiple habits (smokers, tobacco chewers, and alcoholic). The buccal mucosa was the most common site followed by malignancies of multiple sites.
Regular camps regarding tobacco cessation and counseling should be taken care of by dentists. Male patients aged above 40 years are routinely recommended for dental visits.
在发展中国家,口腔癌(OC)估计是继宫颈癌和胃癌之后第三大常见恶性肿瘤。本研究的目的是报告3年来口腔癌的患病率及其与年龄、性别、习惯类型和持续时间以及口腔癌发病部位的关联。
本研究于2019年1月至2021年12月在口腔医学与放射科进行。所有患者在记录其人口统计学数据后,使用口镜和探针进行检查。根据病变的临床特征做出口腔癌的诊断。习惯类型、持续时间和发病部位记录在临床表格中。使用社会科学统计软件包(SPSS)21.0版进行统计分析,应用卡方检验,显著性水平设定为<0.05。
在我们的研究中,口腔癌的患病率为0.22%。在317例病例中,大多数患者为男性(=204),女性(=113),男女比例为2:1。受影响最常见的年龄为51 - 70岁,有咀嚼烟草史,其次是有多种习惯(吸烟者、咀嚼烟草者和酗酒者)的患者。颊黏膜是最常见的发病部位,其次是多部位恶性肿瘤。
牙医应负责开展有关戒烟和咨询的定期活动。常规建议40岁以上的男性患者进行牙科检查。