• 文献检索
  • 文档翻译
  • 深度研究
  • 学术资讯
  • Suppr Zotero 插件Zotero 插件
  • 邀请有礼
  • 套餐&价格
  • 历史记录
应用&插件
Suppr Zotero 插件Zotero 插件浏览器插件Mac 客户端Windows 客户端微信小程序
定价
高级版会员购买积分包购买API积分包
服务
文献检索文档翻译深度研究API 文档MCP 服务
关于我们
关于 Suppr公司介绍联系我们用户协议隐私条款
关注我们

Suppr 超能文献

核心技术专利:CN118964589B侵权必究
粤ICP备2023148730 号-1Suppr @ 2026

文献检索

告别复杂PubMed语法,用中文像聊天一样搜索,搜遍4000万医学文献。AI智能推荐,让科研检索更轻松。

立即免费搜索

文件翻译

保留排版,准确专业,支持PDF/Word/PPT等文件格式,支持 12+语言互译。

免费翻译文档

深度研究

AI帮你快速写综述,25分钟生成高质量综述,智能提取关键信息,辅助科研写作。

立即免费体验

埃及桑叶提取物的酚类成分分析、降血糖、抗糖尿病和抗氧化特性:一项体内研究。

Phenolic Profiles, Antihyperglycemic, Anti-Diabetic, and Antioxidant Properties of Egyptian Leaves Extract: An In Vivo Study.

机构信息

Department of Biochemistry, Faculty of Agriculture, Benha University, Moshtohor 13736, Egypt.

Clinical Pathology Department, Faculty of Medicine, Zagazig University, Zagazig 44519, Egypt.

出版信息

Molecules. 2023 Sep 1;28(17):6389. doi: 10.3390/molecules28176389.

DOI:10.3390/molecules28176389
PMID:37687218
原文链接:https://pmc.ncbi.nlm.nih.gov/articles/PMC10489745/
Abstract

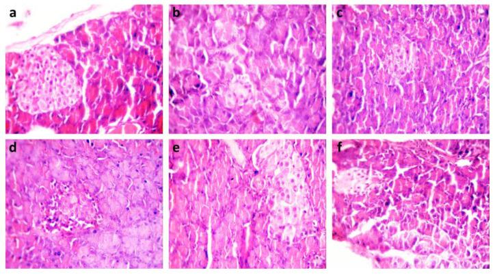
This study aimed to investigate the phenolic and antioxidant properties of Egyptian leaves extract (SOE) while comparing the antihyperglycemic efficacy of SOE with that of conventional medicines (glibenclamide) in vivo as a substitution for insulin-deficient patients. Total phenolic (TPC) and flavonoid contents (TFC) in SOE contributed around 127.66 ± 0.56 mg GAE/gm as gallic acid equivalent (GAE) and 74.80 ± 0.55 mg QE/gm as quercetin equivalent (QE). SOE also showed significant DPPH scavenging activity at 43.46%. The presence of five phenolic and six flavonoid compounds in SOE was discovered by HPLC analysis. For the in vivo assay, 42 rats were distributed into six groups (7 Wister albino rats each). The standard control group was fed a basal diet. While the 35 rats were induced with a single dose of 100 mg kg body weight (b.w.) alloxan, then treated orally with glibenclamide (GLI) at 10 mg kg, 100, 200, and 300 mg kg SOE (positive control group) for 56 days of routine gastric oral gavages and compared to the effects of GLI, the treatment of SOE 200 and 300 mg kg in diabetic rats for two months dramatically decreased blood glucose, total lipid, total cholesterol, and low-density lipoprotein cholesterol (LDLC) while boosting high-density lipoprotein cholesterol (HDLC) levels and improving liver and kidney functions. The histological assay revealed that the SOE 300 mg kg treatment significantly improved the pancreas tissues, implying the potential application of Egyptian SOE as a diabetes treatment.

摘要

本研究旨在探讨埃及叶提取物(SOE)的酚类和抗氧化特性,并将 SOE 的抗高血糖功效与常规药物(格列本脲)进行体内比较,作为胰岛素缺乏患者的替代药物。SOE 中的总酚(TPC)和类黄酮含量(TFC)分别约为 127.66±0.56mg GAE/gm 以没食子酸当量(GAE)和 74.80±0.55mg QE/gm 以槲皮素当量(QE)表示。SOE 对 DPPH 也具有显著的清除活性,达到 43.46%。通过 HPLC 分析发现 SOE 中存在五种酚类和六种类黄酮化合物。在体内试验中,将 42 只大鼠分为六组(每组 7 只 Wister 白化大鼠)。标准对照组给予基础饮食。35 只大鼠用 100mg kg 体重(bw)一次性注射链脲佐菌素诱导,然后用格列本脲(GLI)10mg kg、100、200 和 300mg kg SOE(阳性对照组)口服治疗,常规胃口服灌胃 56 天,并与 GLI 治疗效果进行比较,SOE 200 和 300mg kg 治疗两个月可显著降低糖尿病大鼠的血糖、总脂质、总胆固醇和低密度脂蛋白胆固醇(LDLC),同时提高高密度脂蛋白胆固醇(HDLC)水平,并改善肝肾功能。组织学分析表明,SOE 300mg kg 治疗可显著改善胰腺组织,这意味着埃及 SOE 具有作为糖尿病治疗的潜在应用价值。

https://cdn.ncbi.nlm.nih.gov/pmc/blobs/f5c4/10489745/eec82de7a0f3/molecules-28-06389-g001.jpg
https://cdn.ncbi.nlm.nih.gov/pmc/blobs/f5c4/10489745/eec82de7a0f3/molecules-28-06389-g001.jpg
https://cdn.ncbi.nlm.nih.gov/pmc/blobs/f5c4/10489745/eec82de7a0f3/molecules-28-06389-g001.jpg

相似文献

1
Phenolic Profiles, Antihyperglycemic, Anti-Diabetic, and Antioxidant Properties of Egyptian Leaves Extract: An In Vivo Study.埃及桑叶提取物的酚类成分分析、降血糖、抗糖尿病和抗氧化特性:一项体内研究。
Molecules. 2023 Sep 1;28(17):6389. doi: 10.3390/molecules28176389.
2
Phenolic profiles, antihyperglycemic, antihyperlipidemic, and antioxidant properties of pomegranate (Punica granatum) peel extract.石榴皮提取物的酚类成分分析、降血糖、降血脂和抗氧化性能。
J Food Biochem. 2019 Apr;43(4):e12803. doi: 10.1111/jfbc.12803. Epub 2019 Feb 11.
3
Antidiabetic, antihyperlipidemic and antioxidant properties of ethanol extract of Grewia asiatica Linn. bark in alloxan-induced diabetic rats.亚洲格木树皮乙醇提取物对四氧嘧啶诱导的糖尿病大鼠的抗糖尿病、抗高血脂和抗氧化特性
BMC Complement Altern Med. 2016 Aug 18;16:295. doi: 10.1186/s12906-016-1276-9.
4
Evaluation of acute oral toxicity, anti-diabetic and antioxidant effects of Aloe vera flowers extract.评价库拉索芦荟花提取物的急性经口毒性、降血糖和抗氧化作用。
J Ethnopharmacol. 2023 Jun 12;309:116310. doi: 10.1016/j.jep.2023.116310. Epub 2023 Feb 28.
5
Acacia jacquemontii ethyl acetate extract reduces hyperglycemia and pro-inflammatory markers while increasing endogenous antioxidant potential in alloxan-induced diabetic rats.相思子乙酸乙酯提取物可降低四氧嘧啶诱导的糖尿病大鼠的高血糖和促炎标志物水平,同时增加内源性抗氧化潜力。
Environ Sci Pollut Res Int. 2022 Jul;29(35):52605-52617. doi: 10.1007/s11356-022-19493-4. Epub 2022 Mar 9.
6
Phenolic content and anti-hyperglycemic activity of pecan cultivars from Egypt.埃及山核桃品种的酚类含量及降血糖活性
Pharm Biol. 2016;54(5):788-98. doi: 10.3109/13880209.2015.1080732. Epub 2015 Oct 8.
7
Antioxidant and antidiabetic profiles of two African medicinal plants: Picralima nitida (Apocynaceae) and Sonchus oleraceus (Asteraceae).两种非洲药用植物的抗氧化和抗糖尿病特性: Picralima nitida(夹竹桃科)和 Sonchus oleraceus(菊科)。
BMC Complement Altern Med. 2013 Jul 15;13:175. doi: 10.1186/1472-6882-13-175.
8
Antioxidant, antihyperglycemic, and antihyperlipidemic effects of Coriandrum sativum leaf and stem in alloxan-induced diabetic rats.芫荽叶和茎对四氧嘧啶诱导糖尿病大鼠的抗氧化、降血糖和降血脂作用。
J Food Sci. 2012 Jul;77(7):T119-23. doi: 10.1111/j.1750-3841.2012.02755.x. Epub 2012 Jun 1.
9
Hypoglycemic effects of Cecropia pachystachya in normal and alloxan-induced diabetic rats.野木瓜对正常和四氧嘧啶糖尿病大鼠的降血糖作用。
J Ethnopharmacol. 2010 Apr 21;128(3):629-33. doi: 10.1016/j.jep.2010.01.008. Epub 2010 Jan 11.
10
Tylophora hirsuta (Wall.) Extracts Ameliorate Diabetes Associated with Inflammation in Alloxan-induced Diabetic Rats.钩吻提取物改善了链脲佐菌素诱导的糖尿病大鼠伴炎症的糖尿病。
Endocr Metab Immune Disord Drug Targets. 2021;21(6):1031-1042. doi: 10.2174/1871530320666200821154340.

引用本文的文献

1
Unlocking the therapeutic potential of Catharanthus roseus leaves via in-vitro, in-vivo, and in-silico study.通过体外、体内和计算机模拟研究挖掘长春花叶子的治疗潜力。
Sci Rep. 2025 Jul 17;15(1):25909. doi: 10.1038/s41598-025-96643-x.
2
A comprehensive review on anti-inflammatory plants: a mechanistic insight through preclinical and clinical studies.抗炎植物综述:基于临床前和临床研究的机制洞察
Inflammopharmacology. 2025 Jun 4. doi: 10.1007/s10787-025-01764-4.
3
In Vitro Evaluate the Antiproliferative Impact of Cnicus Benedictus L. Leaves Methanolic Extract on Cervical Cancer.

本文引用的文献

1
Potential Therapeutic Targets of Quercetin, a Plant Flavonol, and Its Role in the Therapy of Various Types of Cancer through the Modulation of Various Cell Signaling Pathways.槲皮素作为一种植物类黄酮的潜在治疗靶点及其通过调节多种细胞信号通路在各种类型癌症治疗中的作用。
Molecules. 2021 Mar 1;26(5):1315. doi: 10.3390/molecules26051315.
2
Bioactive Phenolics and Antioxidant Capacity of Some Wild Edible Greens as Affected by Different Cooking Treatments.不同烹饪处理对一些野生可食用蔬菜生物活性酚类物质及抗氧化能力的影响
Foods. 2020 Sep 18;9(9):1320. doi: 10.3390/foods9091320.
3
A Review of Factors Affecting Anthocyanin Bioavailability: Possible Implications for the Inter-Individual Variability.
体外评价苍术叶甲醇提取物对宫颈癌的抗增殖作用。
Asian Pac J Cancer Prev. 2024 Oct 1;25(10):3643-3649. doi: 10.31557/APJCP.2024.25.10.3643.
4
Cocoa and Carob Supplementation, Alone or in Combination with Metformin, Protects against Hepatorenal Injury in Zucker Diabetic Fatty Rats.可可和角豆补充剂,单独或与二甲双胍联合使用,可预防 Zucker 糖尿病肥胖大鼠的肝肾损伤。
Nutrients. 2024 Sep 13;16(18):3087. doi: 10.3390/nu16183087.
5
Yellow mealworm frass: A promising organic fertilizer for common sowthistle ( L.) and bristly oxtongue ( (L.) Holub) cultivation.黄粉虫虫粪:一种用于栽培苦苣菜(L.)和刺苍耳((L.) Holub)的有前景的有机肥料。
Heliyon. 2024 Aug 2;10(15):e35508. doi: 10.1016/j.heliyon.2024.e35508. eCollection 2024 Aug 15.
6
Overview of Ethnobotanical-Pharmacological Studies Carried Out on Medicinal Plants from the Serra da Estrela Natural Park: Focus on Their Antidiabetic Potential.对从埃什特雷拉山脉自然公园的药用植物开展的民族植物学 - 药理学研究概述:聚焦其抗糖尿病潜力。
Pharmaceutics. 2024 Mar 25;16(4):454. doi: 10.3390/pharmaceutics16040454.
影响花色苷生物利用度的因素综述:对个体间差异的潜在影响
Foods. 2019 Dec 18;9(1):2. doi: 10.3390/foods9010002.
4
Dietary Quercetin and Kaempferol: Bioavailability and Potential Cardiovascular-Related Bioactivity in Humans.膳食槲皮素和山柰酚:人体的生物利用度和潜在的心血管相关生物活性。
Nutrients. 2019 Sep 25;11(10):2288. doi: 10.3390/nu11102288.
5
Functional Foods and Bioactive Compounds: A Review of Its Possible Role on Weight Management and Obesity's Metabolic Consequences.功能性食品与生物活性化合物:对其在体重管理及肥胖代谢后果方面可能作用的综述
Medicines (Basel). 2019 Sep 9;6(3):94. doi: 10.3390/medicines6030094.
6
Phenolic profiles, antihyperglycemic, antihyperlipidemic, and antioxidant properties of pomegranate (Punica granatum) peel extract.石榴皮提取物的酚类成分分析、降血糖、降血脂和抗氧化性能。
J Food Biochem. 2019 Apr;43(4):e12803. doi: 10.1111/jfbc.12803. Epub 2019 Feb 11.
7
Diet-induced hypothalamic dysfunction and metabolic disease, and the therapeutic potential of polyphenols.饮食诱导的下丘脑功能障碍和代谢性疾病,以及多酚的治疗潜力。
Mol Metab. 2019 Sep;27:1-10. doi: 10.1016/j.molmet.2019.06.022. Epub 2019 Jun 29.
8
Dietary Polyphenol Intake, Blood Pressure, and Hypertension: A Systematic Review and Meta-Analysis of Observational Studies.膳食多酚摄入、血压与高血压:观察性研究的系统评价与荟萃分析
Antioxidants (Basel). 2019 May 31;8(6):152. doi: 10.3390/antiox8060152.
9
Chlorogenic acid and caffeic acid from Sonchus oleraceus Linn synergistically attenuate insulin resistance and modulate glucose uptake in HepG2 cells.菊苣中的绿原酸和咖啡酸协同作用,可减轻 HepG2 细胞的胰岛素抵抗并调节葡萄糖摄取。
Food Chem Toxicol. 2019 May;127:182-187. doi: 10.1016/j.fct.2019.03.038. Epub 2019 Mar 23.
10
Polyphenols and their effects on diabetes management: A review.多酚及其对糖尿病管理的影响:综述
Med J Islam Repub Iran. 2017 Dec 26;31:134. doi: 10.14196/mjiri.31.134. eCollection 2017.