Suppr超能文献

头皮鳞状细胞癌与脑膜瘤的碰撞瘤:一例报告。

Collision tumor of squamous cell carcinoma of the scalp and meningioma: A case report.

作者信息

Yazdi Seyed Amir Miratashi, Miri Saeedeh, Vesali Behnoud, Nazar Elham

机构信息

Department of General Surgery, Sina Hospital, Tehran University of Medical Sciences, Tehran, Iran.

Department of Pathology, Sina Hospital, Tehran University of Medical Sciences, Tehran, Iran.

出版信息

Radiol Case Rep. 2023 Sep 1;18(11):4012-4015. doi: 10.1016/j.radcr.2023.08.066. eCollection 2023 Nov.

Abstract

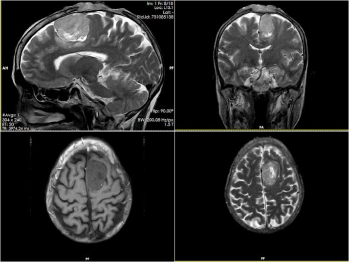
Finding 2 different histological tumor types at the same site is extremely unusual, especially in patients with no history of radiation exposure or a family history of cancer. We describe a rare case of co-occurrence of meningioma and squamous cell carcinoma at the same site. A 67-year-old woman with a 6-month headache and a verrucous ulcerative mass on her frontoparietal region is the subject of this case study. Her medical history and her family's medical history are both blank. Her bilateral frontoparietal regions were found to have large heterogeneous lesions with areas of necrosis and superficial ulceration on radiological examination. An extensive heterogeneous extra-axial lesion was discovered during further radiological analysis in the left parasagittal region. Histopathologic examination revealed an impinging tumor consisting of a meningioma and squamous cell carcinoma at the same site. It is extremely uncommon to have multiple primary scalp cancers of different cell types present at the same time. To identify these cancers and choose the best treatments, clinicians will benefit from the information in our case reports.

摘要

在同一部位发现两种不同的组织学肿瘤类型极为罕见,尤其是在没有辐射暴露史或癌症家族史的患者中。我们描述了一例罕见的同一部位同时发生脑膜瘤和鳞状细胞癌的病例。本病例研究的对象是一名67岁女性,她有6个月的头痛史,额顶部有一个疣状溃疡性肿块。她的个人病史和家族病史均无特殊情况。影像学检查发现她的双侧额顶部有巨大的异质性病变,伴有坏死区域和浅表溃疡。在进一步的影像学分析中,在左矢状旁区域发现了一个广泛的异质性轴外病变。组织病理学检查显示在同一部位有一个由脑膜瘤和鳞状细胞癌组成的侵袭性肿瘤。同时出现多种不同细胞类型的原发性头皮癌极为罕见。为了识别这些癌症并选择最佳治疗方案,临床医生将从我们的病例报告中获取的信息中受益。

https://cdn.ncbi.nlm.nih.gov/pmc/blobs/a9e0/10491647/7b3fb15ed82c/gr1.jpg

相似文献

1
Collision tumor of squamous cell carcinoma of the scalp and meningioma: A case report.
Radiol Case Rep. 2023 Sep 1;18(11):4012-4015. doi: 10.1016/j.radcr.2023.08.066. eCollection 2023 Nov.
5
Radio-pathological review of a metastatic renal cell carcinoma within a meningioma: A case report of collision tumor.
Radiol Case Rep. 2020 Mar 28;15(5):637-640. doi: 10.1016/j.radcr.2020.02.031. eCollection 2020 May.
7
Intracranial collision tumor mimicking an octreotide-SPECT positive and FDG-PET negative meningioma.
J Clin Neurosci. 2005 Aug;12(6):720-3. doi: 10.1016/j.jocn.2004.09.016.
8
A Rare Intracranial Collision Tumor of Meningioma and Metastatic Uterine Adenocarcinoma: Case Report and Literature Review.
World Neurosurg. 2021 Jan;145:340-347. doi: 10.1016/j.wneu.2020.09.108. Epub 2020 Sep 25.
10
Parasagittal meningioma en plaque with extracranial extension presenting diffuse massive hyperostosis of the skull.
Surg Neurol. 2004 Feb;61(2):165-9; discussion 169. doi: 10.1016/s0090-3019(03)00521-4.

本文引用的文献

2
A Rare Intracranial Collision Tumor of Meningioma and Metastatic Uterine Adenocarcinoma: Case Report and Literature Review.
World Neurosurg. 2021 Jan;145:340-347. doi: 10.1016/j.wneu.2020.09.108. Epub 2020 Sep 25.
4
Tumour stem cells in meningioma: A review.
J Clin Neurosci. 2018 Jan;47:66-71. doi: 10.1016/j.jocn.2017.10.059. Epub 2017 Nov 4.
6
Unusual coexistence of an epidermoid cyst with an atypical meningioma: Case report and review of the literature.
Surg Neurol Int. 2016 Mar 4;7:24. doi: 10.4103/2152-7806.178135. eCollection 2016.
7
Advances in the management of squamous cell carcinoma of the head and neck.
F1000Prime Rep. 2014 Jun 2;6:44. doi: 10.12703/P6-44. eCollection 2014.
8
Metastasis of lung adenosquamous carcinoma to meningioma: case report with literature review.
Int J Clin Exp Pathol. 2013 Oct 15;6(11):2625-30. eCollection 2013.
9
Development of follicular lymphoma of the cervical lymph nodes in a postoperative patient with tongue cancer.
Oral Surg Oral Med Oral Pathol Oral Radiol. 2012 Jun;113(6):e35-9. doi: 10.1016/j.tripleo.2011.08.026. Epub 2012 Mar 2.

文献AI研究员

20分钟写一篇综述,助力文献阅读效率提升50倍。

立即体验

用中文搜PubMed

大模型驱动的PubMed中文搜索引擎

马上搜索

文档翻译

学术文献翻译模型,支持多种主流文档格式。

立即体验