Suppr超能文献

罕见的外阴、会阴及子宫平滑肌瘤:一例报告

Unusual Vulvar, Perineal, and Uterine Leiomyomas: A Case Report.

作者信息

Manso Marta, Ribeiro Joana M, Agostinho Lisa

机构信息

Radiology, Hospital Beatriz Ângelo, Loures, PRT.

Obstetrics and Gynecology, Hospital Beatriz Ângelo, Loures, PRT.

出版信息

Cureus. 2023 Aug 9;15(8):e43184. doi: 10.7759/cureus.43184. eCollection 2023 Aug.

Abstract

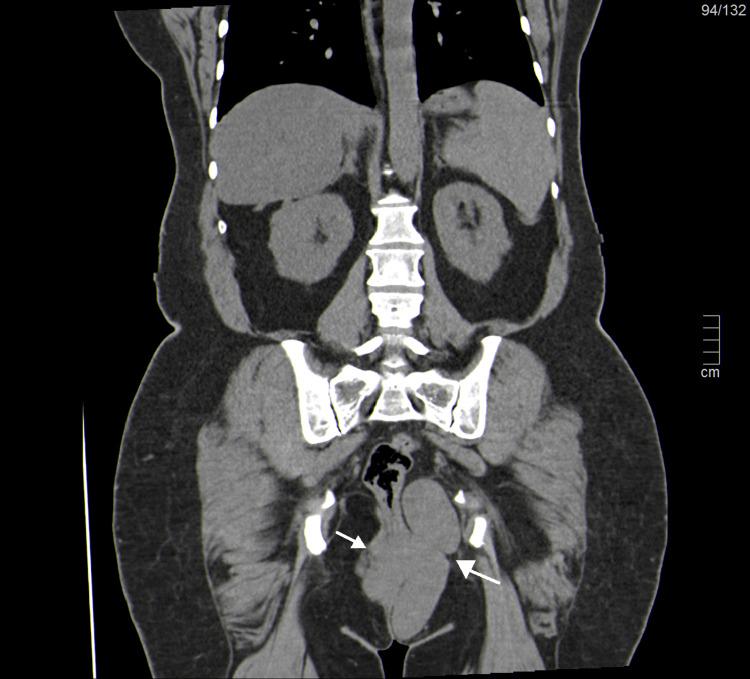
Vulvar leiomyomas are extremely rare smooth muscle tumors that are easily mistaken for other lesions, as the differential diagnosis must consider a wide spectrum of benign and malignant lesions. We present the case of a 52-year-old woman with a three-year history of progressive abdominal distension and pain and an enlarging vulvar mass distorting the labia majora and causing gait disturbance. Imaging confirmed an enormous pelvic mass originating in the uterus, compatible with a leiomyoma/sarcoma, and large perineal and vulvar masses with similar characteristics. Histopathology after surgical removal revealed benign abdominal, vulvar, and perineal leiomyomas. This case highlights the rarity and diagnostic challenges of extra-uterine leiomyomas, particularly those in the vulvar region.

摘要

外阴平滑肌瘤是极为罕见的平滑肌肿瘤,很容易被误诊为其他病变,因为鉴别诊断必须考虑多种良性和恶性病变。我们报告一例52岁女性病例,该患者有三年进行性腹胀和腹痛病史,外阴肿物不断增大,使大阴唇变形并导致步态障碍。影像学检查证实盆腔有一个巨大肿物起源于子宫,符合平滑肌瘤/肉瘤表现,同时还有具有相似特征的会阴和外阴大肿物。手术切除后的组织病理学检查显示为良性的腹部、外阴和会阴平滑肌瘤。该病例突出了子宫外平滑肌瘤的罕见性及诊断挑战,尤其是外阴区域的平滑肌瘤。

https://cdn.ncbi.nlm.nih.gov/pmc/blobs/ccf8/10485870/7814bc8ff637/cureus-0015-00000043184-i01.jpg

文献AI研究员

20分钟写一篇综述,助力文献阅读效率提升50倍。

立即体验

用中文搜PubMed

大模型驱动的PubMed中文搜索引擎

马上搜索

文档翻译

学术文献翻译模型,支持多种主流文档格式。

立即体验