• 文献检索
  • 文档翻译
  • 深度研究
  • 学术资讯
  • Suppr Zotero 插件Zotero 插件
  • 邀请有礼
  • 套餐&价格
  • 历史记录
应用&插件
Suppr Zotero 插件Zotero 插件浏览器插件Mac 客户端Windows 客户端微信小程序
定价
高级版会员购买积分包购买API积分包
服务
文献检索文档翻译深度研究API 文档MCP 服务
关于我们
关于 Suppr公司介绍联系我们用户协议隐私条款
关注我们

Suppr 超能文献

核心技术专利:CN118964589B侵权必究
粤ICP备2023148730 号-1Suppr @ 2026

文献检索

告别复杂PubMed语法,用中文像聊天一样搜索,搜遍4000万医学文献。AI智能推荐,让科研检索更轻松。

立即免费搜索

文件翻译

保留排版,准确专业,支持PDF/Word/PPT等文件格式,支持 12+语言互译。

免费翻译文档

深度研究

AI帮你快速写综述,25分钟生成高质量综述,智能提取关键信息,辅助科研写作。

立即免费体验

RPGR:深度表型分析和基因特征分析,发现 ORF15 3' 端特异性。

RPGR: Deep Phenotyping and Genetic Characterization With Findings Specific to the 3'-end of ORF15.

机构信息

National Eye Institute, National Institutes of Health, Bethesda, Maryland, United States.

出版信息

Invest Ophthalmol Vis Sci. 2023 Sep 1;64(12):19. doi: 10.1167/iovs.64.12.19.

DOI:10.1167/iovs.64.12.19
PMID:37695603
原文链接:https://pmc.ncbi.nlm.nih.gov/articles/PMC10501488/
Abstract

PURPOSE

To describe a group of patients with retinitis pigmentosa GTPase regulator (RPGR)-related retinopathy with a tapetal-like retinal sheen and corresponding changes in the reflectivity of the ellipsoid zone on optical coherence tomography (OCT) imaging.

METHODS

A retrospective case series of 66 patients with a disease-causing variant in RPGR was performed. An expert examiner, masked to patient demographics, clinical evaluations, and specific RPGR variant, analyzed color fundus photographs for the presence of a tapetal-like retinal sheen and assessed OCT images for the presence of an abnormally broad hyper-reflective band in the outer retina. Longitudinal reflectivity profiles were generated and compared with healthy controls.

RESULTS

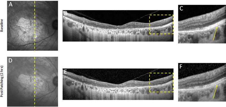
Twelve patients (18.2%) had a retinal sheen on color images that cosegregated with an abnormally broad hyper-reflective ellipsoid zone band on OCT imaging. Three-fourths of these patients were male, had a cone-rod dystrophy, and had pathogenic RPGR variants located toward the 3'-end of ORF15. This group had a different longitudinal reflectivity profile signature compared with controls. After a period of prolonged dark adaptation, the abnormal hyper-reflective band on OCT became less apparent, and the outer retinal layers adopted a more normal appearance.

CONCLUSIONS

RPGR-related retinopathy should be considered for males presenting with retinal sheen, abnormal ellipsoid zone hyper-reflectivity, and cone or cone-rod dysfunction on ERG, and pursued with molecular testing. Our results have implications for understanding the role of the C-terminal domain encoded by RPGR ORF15 in the phototransduction cascade. Further, the findings may be important to incorporate into both inclusion criteria and outcome measure developments in future RPGR-related cone or cone-rod dystrophy clinical trials.

摘要

目的

描述一组具有视蛋白相关 GTP 酶调节剂(RPGR)相关性视网膜病变的患者,其特征为视网膜有似绒毡层样的光泽,并伴有光相干断层扫描(OCT)成像上的椭圆体带反射率相应变化。

方法

对 RPGR 致病变异的 66 例患者进行回顾性病例系列研究。一位经验丰富的检查者对患者的人口统计学数据、临床评估和特定 RPGR 变异情况进行了盲法分析,通过彩色眼底照片评估是否存在似绒毡层样的视网膜光泽,并通过 OCT 图像评估是否存在外视网膜异常宽的高反射带。生成并比较了纵向反射率曲线,并与健康对照组进行了比较。

结果

12 例患者(18.2%)在彩色图像上有视网膜光泽,与 OCT 成像上异常宽的高反射椭圆体带相吻合。这些患者中四分之三为男性,患有锥-杆细胞营养不良,并且具有位于 ORF15 3'-末端的致病性 RPGR 变异。与对照组相比,该组具有不同的纵向反射率曲线特征。经过长时间的暗适应后,OCT 上的异常高反射带变得不那么明显,外视网膜层呈现出更正常的外观。

结论

对于出现视网膜光泽、椭圆体带高反射异常和 ERG 上表现为锥细胞或锥-杆细胞功能障碍的男性患者,应考虑 RPGR 相关性视网膜病变,并进行分子检测。我们的研究结果对于理解 RPGR ORF15 编码的 C 末端结构域在光转导级联中的作用具有重要意义。此外,这些发现对于纳入未来 RPGR 相关锥细胞或锥-杆细胞营养不良临床试验的纳入标准和结果测量的发展可能很重要。

https://cdn.ncbi.nlm.nih.gov/pmc/blobs/065c/10501488/478554cf9d78/iovs-64-12-19-f007.jpg
https://cdn.ncbi.nlm.nih.gov/pmc/blobs/065c/10501488/25d82c6c6c34/iovs-64-12-19-f001.jpg
https://cdn.ncbi.nlm.nih.gov/pmc/blobs/065c/10501488/374c09413b40/iovs-64-12-19-f002.jpg
https://cdn.ncbi.nlm.nih.gov/pmc/blobs/065c/10501488/2242f6140fbb/iovs-64-12-19-f003.jpg
https://cdn.ncbi.nlm.nih.gov/pmc/blobs/065c/10501488/44722f5e14a3/iovs-64-12-19-f004.jpg
https://cdn.ncbi.nlm.nih.gov/pmc/blobs/065c/10501488/9bb5c1ede998/iovs-64-12-19-f005.jpg
https://cdn.ncbi.nlm.nih.gov/pmc/blobs/065c/10501488/d237305d7e85/iovs-64-12-19-f006.jpg
https://cdn.ncbi.nlm.nih.gov/pmc/blobs/065c/10501488/478554cf9d78/iovs-64-12-19-f007.jpg
https://cdn.ncbi.nlm.nih.gov/pmc/blobs/065c/10501488/25d82c6c6c34/iovs-64-12-19-f001.jpg
https://cdn.ncbi.nlm.nih.gov/pmc/blobs/065c/10501488/374c09413b40/iovs-64-12-19-f002.jpg
https://cdn.ncbi.nlm.nih.gov/pmc/blobs/065c/10501488/2242f6140fbb/iovs-64-12-19-f003.jpg
https://cdn.ncbi.nlm.nih.gov/pmc/blobs/065c/10501488/44722f5e14a3/iovs-64-12-19-f004.jpg
https://cdn.ncbi.nlm.nih.gov/pmc/blobs/065c/10501488/9bb5c1ede998/iovs-64-12-19-f005.jpg
https://cdn.ncbi.nlm.nih.gov/pmc/blobs/065c/10501488/d237305d7e85/iovs-64-12-19-f006.jpg
https://cdn.ncbi.nlm.nih.gov/pmc/blobs/065c/10501488/478554cf9d78/iovs-64-12-19-f007.jpg

相似文献

1
RPGR: Deep Phenotyping and Genetic Characterization With Findings Specific to the 3'-end of ORF15.RPGR:深度表型分析和基因特征分析,发现 ORF15 3' 端特异性。
Invest Ophthalmol Vis Sci. 2023 Sep 1;64(12):19. doi: 10.1167/iovs.64.12.19.
2
Impaired glutamylation of RPGR underlies the cone-dominated phenotype associated with truncating distal ORF15 variants.RPGR 谷氨酸化功能受损是与截断的远端 ORF15 变异相关的 cones 主导表型的基础。
Proc Natl Acad Sci U S A. 2022 Dec 6;119(49):e2208707119. doi: 10.1073/pnas.2208707119. Epub 2022 Nov 29.
3
CELLULAR IMAGING OF THE TAPETAL-LIKE REFLEX IN CARRIERS OF RPGR-ASSOCIATED RETINOPATHY.RPGR 相关性视网膜炎携带者的花斑样反射的细胞成像。
Retina. 2019 Mar;39(3):570-580. doi: 10.1097/IAE.0000000000001965.
4
Detailed comparison of phenotype between male patients carrying variants in exons 1-14 and ORF15 of RPGR.详细比较携带 RPGR 外显子 1-14 和 ORF15 变异的男性患者表型。
Exp Eye Res. 2020 Sep;198:108147. doi: 10.1016/j.exer.2020.108147. Epub 2020 Jul 21.
5
Retrospective Natural History Study of -Related Cone- and Cone-Rod Dystrophies While Expanding the Mutation Spectrum of the Disease.- 相关的 Cone- and Cone-Rod 营养不良的回顾性自然病史研究,同时扩展了该疾病的突变谱。
Int J Mol Sci. 2022 Jun 28;23(13):7189. doi: 10.3390/ijms23137189.
6
RPGR-associated retinal degeneration in human X-linked RP and a murine model.RPGR 相关的视网膜变性在人类 X 连锁性 RP 和小鼠模型中。
Invest Ophthalmol Vis Sci. 2012 Aug 15;53(9):5594-608. doi: 10.1167/iovs.12-10070.
7
-Associated Dystrophies: Clinical, Genetic, and Histopathological Features.相关的肌营养不良症:临床、遗传和组织病理学特征。
Int J Mol Sci. 2020 Jan 28;21(3):835. doi: 10.3390/ijms21030835.
8
Disease expression in X-linked retinitis pigmentosa caused by a putative null mutation in the RPGR gene.由RPGR基因假定无效突变引起的X连锁视网膜色素变性中的疾病表现。
Invest Ophthalmol Vis Sci. 1997 Sep;38(10):1983-97.
9
Cone Dystrophy Associated with a Novel Variant in the Terminal Codon of the -.与终端密码子的新型变异相关的 Cone 营养不良。
Genes (Basel). 2021 Mar 29;12(4):499. doi: 10.3390/genes12040499.
10
Loss of RPGR glutamylation underlies the pathogenic mechanism of retinal dystrophy caused by TTLL5 mutations.RPGR 谷氨酰胺化缺失是 TTLL5 基因突变所致视网膜营养不良致病机制的基础。
Proc Natl Acad Sci U S A. 2016 May 24;113(21):E2925-34. doi: 10.1073/pnas.1523201113. Epub 2016 May 9.

引用本文的文献

1
Tapetal-like sheen as a key phenotypical feature in associated cone dystrophy caused by a novel variant.绒毡层样光泽作为一种由新型变异导致的相关视锥细胞营养不良的关键表型特征。
Am J Ophthalmol Case Rep. 2025 May 31;39:102360. doi: 10.1016/j.ajoc.2025.102360. eCollection 2025 Sep.
2
Gene Therapy for Retinitis Pigmentosa: Current Challenges and New Progress.基因治疗色素性视网膜炎:当前挑战与新进展。
Biomolecules. 2024 Jul 25;14(8):903. doi: 10.3390/biom14080903.

本文引用的文献

1
Analysis of White and Dark without Pressure in a Young Myopic Group Based on Ultra-Wide Swept-Source Optical Coherence Tomography Angiography.基于超广角扫频源光学相干断层扫描血管造影术对年轻近视人群无压白与暗的分析
J Clin Med. 2022 Aug 18;11(16):4830. doi: 10.3390/jcm11164830.
2
Retrospective Natural History Study of -Related Cone- and Cone-Rod Dystrophies While Expanding the Mutation Spectrum of the Disease.- 相关的 Cone- and Cone-Rod 营养不良的回顾性自然病史研究,同时扩展了该疾病的突变谱。
Int J Mol Sci. 2022 Jun 28;23(13):7189. doi: 10.3390/ijms23137189.
3
Prevalence of RPGR-Mediated Retinal Dystrophy in an Unselected Cohort of Over 5000 Patients.
超过 5000 例患者的未选择队列中 RPGR 介导的视网膜营养不良的患病率。
Transl Vis Sci Technol. 2022 Jan 3;11(1):6. doi: 10.1167/tvst.11.1.6.
4
Multimodal imaging of an RPGR carrier female.RPGR 携带者的多模态影像学表现。
Ophthalmic Genet. 2021 Jun;42(3):312-316. doi: 10.1080/13816810.2021.1881981. Epub 2021 Feb 23.
5
The X-linked retinopathies: Physiological insights, pathogenic mechanisms, phenotypic features and novel therapies.X 连锁视网膜病变:生理见解、发病机制、表型特征和新疗法。
Prog Retin Eye Res. 2021 May;82:100898. doi: 10.1016/j.preteyeres.2020.100898. Epub 2020 Aug 26.
6
-Associated Dystrophies: Clinical, Genetic, and Histopathological Features.相关的肌营养不良症:临床、遗传和组织病理学特征。
Int J Mol Sci. 2020 Jan 28;21(3):835. doi: 10.3390/ijms21030835.
7
Clinical and genetic characteristics of 14 patients from 13 Japanese families with -associated retinal disorder: report of eight novel variants.来自13个日本家庭的14例与视网膜疾病相关患者的临床和遗传特征:8个新变异的报告
Hum Genome Var. 2019 Aug 2;6:34. doi: 10.1038/s41439-019-0065-7. eCollection 2019.
8
Cone Spacing Correlates With Retinal Thickness and Microperimetry in Patients With Inherited Retinal Degenerations.圆锥间距与遗传性视网膜变性患者的视网膜厚度和微视野测量相关。
Invest Ophthalmol Vis Sci. 2019 Mar 1;60(4):1234-1243. doi: 10.1167/iovs.18-25688.
9
Progressive cone and cone-rod dystrophies: clinical features, molecular genetics and prospects for therapy.进行性视锥细胞和视锥-视杆细胞营养不良:临床特征、分子遗传学及治疗前景
Br J Ophthalmol. 2019 Jan 24;103(5):711-20. doi: 10.1136/bjophthalmol-2018-313278.
10
CLINICAL AND GENETIC CHARACTERISTICS OF MALE PATIENTS WITH RPGR-ASSOCIATED RETINAL DYSTROPHIES: A Long-Term Follow-up Study.RPGR 相关性视网膜营养不良男性患者的临床和遗传特征:一项长期随访研究。
Retina. 2019 Jun;39(6):1186-1199. doi: 10.1097/IAE.0000000000002125.