Islam Naseer Ul, Jehangir Majid, Parry Arshed Hussain, Nazir Syed Sajjad, Bilal Sheikh
Government Medical College, Srinagar, Jammu and Kashmir, India.
Pol J Radiol. 2023 Aug 11;88:e356-e364. doi: 10.5114/pjr.2023.130807. eCollection 2023.
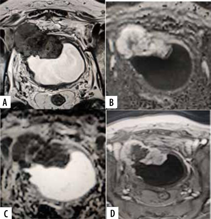
The purpose of the present study was to assess the diagnostic accuracy of the Vesical Imaging-Reporting and Data System (VI-RADS) scoring system in predicting muscle infiltration of bladder cancer (BC) on a pre-operative multiparametric magnetic resonance imaging (mpMRI).
The prospective study enrolled patients with bladder lesions detected on a preliminary ultrasonography or cystoscopy. The patients underwent mpMRI on a 3T MRI scanner followed by surgery within 2 weeks. The tumours were assigned a VI-RADS score by 2 experienced abdominal radiologists. The VI-RADS score was compared with postoperative histopathological findings to confirm detrusor muscle infiltration. The diagnostic performance of VI-RADS for predicting muscle invasion was assessed by calculating sensitivity, specificity, positive predictive value (PPV), negative predictive value (NPV) and accuracy.
A total of 60 patients were included in the study with a male: female ratio of 4.4 : 1. Transurethral resection of bladder tumour (TURBT) was performed in 47 (78.4%) and radical cystectomy in 13 (21.6%) patients. 19 (31.7%) had non-muscle invasive invasive BC (NMIBCa) and 41 (68.3%) had muscle invasive BC (MIBCa) on histopathology. There was a significant association between VI-RADS score and its components with muscle invasion ( < 0.05). A VI-RADS score of ≥ 3 had a sensitivity of 97.56% (95% CI: 0.87-0.99%), specificity of 73.68% (95% CI: 0.49-0.91), positive predictive value of 88.9% (95% CI: 0.79-0.94), negative predictive value of 93.33% (95% CI: 0.66-0.99), and diagnostic accuracy of 90% (95% CI: 0.80-0.96) for prediction of muscle invasion.
VI-RADS scoring system pre-operatively predicts the likelihood of muscle invasion in BC with a satisfactory diagnostic performance, and it should be incorporated in the diagnostic work-up of BC patients.
本研究旨在评估膀胱影像报告和数据系统(VI-RADS)评分系统在术前多参数磁共振成像(mpMRI)中预测膀胱癌(BC)肌肉浸润情况的诊断准确性。
这项前瞻性研究纳入了在初步超声检查或膀胱镜检查中发现膀胱病变的患者。患者在3T MRI扫描仪上接受mpMRI检查,随后在2周内进行手术。由2名经验丰富的腹部放射科医生为肿瘤分配VI-RADS评分。将VI-RADS评分与术后组织病理学结果进行比较,以确认逼尿肌肌肉浸润情况。通过计算敏感性、特异性、阳性预测值(PPV)、阴性预测值(NPV)和准确性来评估VI-RADS预测肌肉浸润的诊断性能。
本研究共纳入60例患者,男女比例为4.4:1。47例(78.4%)患者接受了经尿道膀胱肿瘤切除术(TURBT),13例(21.6%)患者接受了根治性膀胱切除术。组织病理学检查显示,19例(31.7%)为非肌肉浸润性膀胱癌(NMIBCa),41例(68.3%)为肌肉浸润性膀胱癌(MIBCa)。VI-RADS评分及其各组成部分与肌肉浸润之间存在显著关联(<0.05)。VI-RADS评分≥3时,预测肌肉浸润的敏感性为97.56%(95%CI:0.87-0.99%),特异性为73.68%(95%CI:0.49-0.91),阳性预测值为88.9%(95%CI:0.79-0.94),阴性预测值为93.33%(95%CI:0.66-0.99),诊断准确性为90%(95%CI:0.8