• 文献检索
  • 文档翻译
  • 深度研究
  • 学术资讯
  • Suppr Zotero 插件Zotero 插件
  • 邀请有礼
  • 套餐&价格
  • 历史记录
应用&插件
Suppr Zotero 插件Zotero 插件浏览器插件Mac 客户端Windows 客户端微信小程序
定价
高级版会员购买积分包购买API积分包
服务
文献检索文档翻译深度研究API 文档MCP 服务
关于我们
关于 Suppr公司介绍联系我们用户协议隐私条款
关注我们

Suppr 超能文献

核心技术专利:CN118964589B侵权必究
粤ICP备2023148730 号-1Suppr @ 2026

文献检索

告别复杂PubMed语法,用中文像聊天一样搜索,搜遍4000万医学文献。AI智能推荐,让科研检索更轻松。

立即免费搜索

文件翻译

保留排版,准确专业,支持PDF/Word/PPT等文件格式,支持 12+语言互译。

免费翻译文档

深度研究

AI帮你快速写综述,25分钟生成高质量综述,智能提取关键信息,辅助科研写作。

立即免费体验

计算机断层扫描腹部脂肪体积估计——预测代谢综合征风险的便捷工具。

Computed tomographic abdominal fat volume estimation - a handy tool to predict the risk of metabolic syndrome.

作者信息

Navaneeth G C, Hiremath Rudresh, Poojary Shweta Raviraj, Kini Divya Vishwanatha, Chittaragi Kavitha B

机构信息

JSS Medical College, Mysuru, Karnataka, India.

出版信息

Pol J Radiol. 2023 Aug 21;88:e379-e388. doi: 10.5114/pjr.2023.131010. eCollection 2023.

DOI:10.5114/pjr.2023.131010
PMID:37701173
原文链接:https://pmc.ncbi.nlm.nih.gov/articles/PMC10493863/
Abstract

PURPOSE

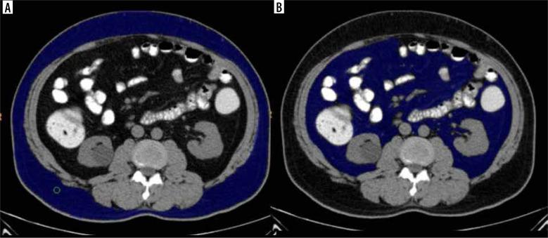
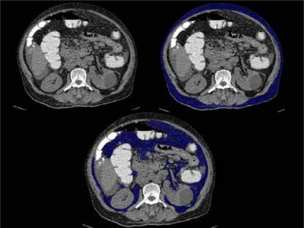
Abdominal obesity plays a significant role in the development of metabolic syndrome, with individual metabolic risk profiles for visceral and subcutaneous adipose tissues. This study aimed to calculate and correlate the subcutaneous, visceral, and total fat compartment volume in metabolic and non-metabolic syndrome patients.

MATERIAL AND METHODS

This was a cross-sectional study conducted on 112 patients categorized into Group A (with metabolic syndrome) and Group B (without metabolic syndrome). They were subjected to computed tomography (CT) study of the abdomen using a 128-slice MDCT scanner. Body mass index (BMI), visceral fat volume (VFV), subcutaneous fat volume (SFV), and total fat volume (TFV) were calculated and correlated with biochemical evidence of metabolic syndrome.

RESULTS

The mean age of patients in Group A was 60.91 ± 12.23 years as compared to Group B, which was 50.12 ± 16.30 years. Overall, a male predominance was observed, i.e. 69 cases (61.6%). BMI was proven to be an inaccurate risk predictor. However, mean VFV, SFV, and TFV was statistically higher in patients with metabolic syndrome ( = 0.001), with visceral fat volume predicting a higher risk in females ( = 0.026).

CONCLUSIONS

Abdominal CT is a commonly performed yet unexplored tool for the risk assessment of metabolic syndrome. Through the results obtained in this study, we have proven the need for calculating SFV, VFV, and TFV as predictors of metabolic syndrome in comparison to the conventional practice of BMI assessment. The radiologist can thus work with the clinician to effectively detect and treat this health condition.

摘要

目的

腹部肥胖在代谢综合征的发展中起重要作用,内脏和皮下脂肪组织具有个体代谢风险特征。本研究旨在计算代谢综合征患者和非代谢综合征患者的皮下、内脏和总脂肪腔室体积,并进行相关性分析。

材料与方法

这是一项横断面研究,对112例患者进行了分组,分为A组(患有代谢综合征)和B组(未患有代谢综合征)。使用128层MDCT扫描仪对他们进行腹部计算机断层扫描(CT)研究。计算体重指数(BMI)、内脏脂肪体积(VFV)、皮下脂肪体积(SFV)和总脂肪体积(TFV),并与代谢综合征的生化证据进行相关性分析。

结果

A组患者的平均年龄为60.91±12.23岁,而B组为50.12±16.30岁。总体而言,观察到男性占优势,即69例(61.6%)。BMI被证明是一个不准确的风险预测指标。然而,代谢综合征患者的平均VFV、SFV和TFV在统计学上更高(P = 0.001),内脏脂肪体积在女性中预测更高风险(P = 0.026)。

结论

腹部CT是一种常用但尚未充分探索的代谢综合征风险评估工具。通过本研究获得的结果,我们证明了与传统的BMI评估方法相比,计算SFV、VFV和TFV作为代谢综合征预测指标的必要性。放射科医生因此可以与临床医生合作,有效地检测和治疗这种健康状况。

https://cdn.ncbi.nlm.nih.gov/pmc/blobs/0a5d/10493863/ece86b252027/PJR-88-51352-g008.jpg
https://cdn.ncbi.nlm.nih.gov/pmc/blobs/0a5d/10493863/701ec8a902e6/PJR-88-51352-g001.jpg
https://cdn.ncbi.nlm.nih.gov/pmc/blobs/0a5d/10493863/198ec7c20921/PJR-88-51352-g002.jpg
https://cdn.ncbi.nlm.nih.gov/pmc/blobs/0a5d/10493863/e077bdec36e1/PJR-88-51352-g003.jpg
https://cdn.ncbi.nlm.nih.gov/pmc/blobs/0a5d/10493863/6f9029d5c521/PJR-88-51352-g004.jpg
https://cdn.ncbi.nlm.nih.gov/pmc/blobs/0a5d/10493863/7c37e7eac5e4/PJR-88-51352-g005.jpg
https://cdn.ncbi.nlm.nih.gov/pmc/blobs/0a5d/10493863/ece3364c141a/PJR-88-51352-g006.jpg
https://cdn.ncbi.nlm.nih.gov/pmc/blobs/0a5d/10493863/30a18fd47fe4/PJR-88-51352-g007.jpg
https://cdn.ncbi.nlm.nih.gov/pmc/blobs/0a5d/10493863/ece86b252027/PJR-88-51352-g008.jpg
https://cdn.ncbi.nlm.nih.gov/pmc/blobs/0a5d/10493863/701ec8a902e6/PJR-88-51352-g001.jpg
https://cdn.ncbi.nlm.nih.gov/pmc/blobs/0a5d/10493863/198ec7c20921/PJR-88-51352-g002.jpg
https://cdn.ncbi.nlm.nih.gov/pmc/blobs/0a5d/10493863/e077bdec36e1/PJR-88-51352-g003.jpg
https://cdn.ncbi.nlm.nih.gov/pmc/blobs/0a5d/10493863/6f9029d5c521/PJR-88-51352-g004.jpg
https://cdn.ncbi.nlm.nih.gov/pmc/blobs/0a5d/10493863/7c37e7eac5e4/PJR-88-51352-g005.jpg
https://cdn.ncbi.nlm.nih.gov/pmc/blobs/0a5d/10493863/ece3364c141a/PJR-88-51352-g006.jpg
https://cdn.ncbi.nlm.nih.gov/pmc/blobs/0a5d/10493863/30a18fd47fe4/PJR-88-51352-g007.jpg
https://cdn.ncbi.nlm.nih.gov/pmc/blobs/0a5d/10493863/ece86b252027/PJR-88-51352-g008.jpg

相似文献

1
Computed tomographic abdominal fat volume estimation - a handy tool to predict the risk of metabolic syndrome.计算机断层扫描腹部脂肪体积估计——预测代谢综合征风险的便捷工具。
Pol J Radiol. 2023 Aug 21;88:e379-e388. doi: 10.5114/pjr.2023.131010. eCollection 2023.
2
Cutoff values of body fat composition to predict metabolic risk factors with normal waist circumference in Asian Indian population.体脂肪含量的截断值可预测腰围正常的亚洲印度人群的代谢危险因素。
Eur Radiol. 2023 Jan;33(1):711-719. doi: 10.1007/s00330-022-09009-6. Epub 2022 Jul 19.
3
Optimal cutoff values for visceral fat volume to predict metabolic syndrome in a Korean population.预测韩国人群代谢综合征的内脏脂肪体积最佳截断值。
Medicine (Baltimore). 2021 Sep 10;100(36):e27114. doi: 10.1097/MD.0000000000027114.
4
Visceral adiposity and inflammatory bowel disease.内脏肥胖与炎症性肠病。
Int J Colorectal Dis. 2021 Nov;36(11):2305-2319. doi: 10.1007/s00384-021-03968-w. Epub 2021 Jun 9.
5
Visceral Fat Volume is a Better Predictor of Insulin Resistance than Abdominal Wall Fat Index in Patients with Prediabetes and Type 2 Diabetes Mellitus.内脏脂肪体积是预测糖尿病前期和 2 型糖尿病患者胰岛素抵抗的更好指标,优于腹壁脂肪指数。
J Assoc Physicians India. 2022 Apr;70(4):11-12.
6
Incidental Detection of Inguinoscrotal Bladder Hernia with Associated Factors on F-fluorodeoxyglucose PET/CT Scans.F-氟代脱氧葡萄糖 PET/CT 扫描偶然发现腹股沟阴囊膀胱疝及其相关因素。
J Coll Physicians Surg Pak. 2022 Mar;32(3):283-287. doi: 10.29271/jcpsp.2022.03.283.
7
Intrahepatic lipid content is linked to insulin resistance in obese subjects.肝内脂质含量与肥胖患者的胰岛素抵抗有关。
Obes Res Clin Pract. 2011 Apr-Jun;5(2):e79-e156. doi: 10.1016/j.orcp.2010.12.007.
8
Feasibility of using single-slice MDCT to evaluate visceral abdominal fat in an urban pediatric population.使用单层 MDCT 评估城市儿科人群内脏腹部脂肪的可行性。
AJR Am J Roentgenol. 2011 Aug;197(2):482-7. doi: 10.2214/AJR.10.5514.
9
Evaluation of visceral fat mass in dogs by computed tomography.通过计算机断层扫描评估犬的内脏脂肪量。
J Vet Med Sci. 2019 Nov 14;81(11):1552-1557. doi: 10.1292/jvms.19-0254. Epub 2019 Sep 25.
10
Pre-operative CT scan measurements for predicting complications in patients undergoing complex ventral hernia repair using the component separation technique.术前CT扫描测量用于预测采用成分分离技术进行复杂腹疝修补术患者的并发症。
Hernia. 2019 Apr;23(2):347-354. doi: 10.1007/s10029-019-01899-8. Epub 2019 Mar 7.

引用本文的文献

1
Adipose tissue aging as a risk factor for metabolic organ abnormalities: mechanistic insights and the role of exercise interventions.脂肪组织衰老作为代谢器官异常的一个风险因素:机制见解及运动干预的作用
Lipids Health Dis. 2025 Sep 2;24(1):274. doi: 10.1186/s12944-025-02695-3.
2
Potential Therapeutic Exploitation of G Protein-Coupled Receptor 120 (GPR120/FFAR4) Signaling in Obesity-Related Metabolic Disorders.G蛋白偶联受体120(GPR120/FFAR4)信号在肥胖相关代谢紊乱中的潜在治疗应用
Int J Mol Sci. 2025 Mar 11;26(6):2501. doi: 10.3390/ijms26062501.

本文引用的文献

1
Metabolic syndrome screening using visceral adipose tissue (VAT) from opportunistic MRI locations in a multi-ethnic population.多民族人群中利用机会性 MRI 部位的内脏脂肪组织(VAT)进行代谢综合征筛查。
Obes Res Clin Pract. 2021 May-Jun;15(3):227-234. doi: 10.1016/j.orcp.2021.03.007. Epub 2021 May 21.
2
Impact of Visceral Obesity on the Risk of Incident Metabolic Syndrome in Metabolically Healthy Normal Weight and Overweight Groups: A Longitudinal Cohort Study in Korea.内脏肥胖对代谢健康的正常体重和超重人群发生代谢综合征风险的影响:韩国的一项纵向队列研究。
Korean J Fam Med. 2020 Jul;41(4):229-236. doi: 10.4082/kjfm.18.0122. Epub 2020 Apr 29.
3
Visceral adipose tissue volume is associated with premature atherosclerosis in early type 2 diabetes mellitus independent of traditional risk factors.
内脏脂肪组织体积与 2 型糖尿病早期的动脉粥样硬化过早发生有关,与传统危险因素无关。
Atherosclerosis. 2019 Nov;290:87-93. doi: 10.1016/j.atherosclerosis.2019.09.016. Epub 2019 Sep 25.
4
Relationship of Anthropometric Indices to Abdominal Body Composition: A Multi-Ethnic New Zealand Magnetic Resonance Imaging Study.人体测量指标与腹部身体成分的关系:一项多民族新西兰磁共振成像研究
J Clin Med Res. 2019 Jun;11(6):435-446. doi: 10.14740/jocmr3820. Epub 2019 May 10.
5
Gender differences of visceral fat area for predicting incident type 2 diabetes in Koreans.韩国人体脂面积的性别差异与 2 型糖尿病发病风险的关系。
Diabetes Res Clin Pract. 2018 Dec;146:93-100. doi: 10.1016/j.diabres.2018.09.020. Epub 2018 Oct 13.
6
Prognostic Impact of Computed Tomography-Derived Abdominal Fat Area on Transcatheter Aortic Valve Implantation.基于 CT 测量的腹部脂肪面积对经导管主动脉瓣植入术的预后影响。
Circ J. 2018 Nov 24;82(12):3082-3089. doi: 10.1253/circj.CJ-18-0709. Epub 2018 Oct 5.
7
Abdominal subcutaneous adipose tissue: a favorable adipose depot for diabetes?腹部皮下脂肪组织:糖尿病的有利脂肪库?
Cardiovasc Diabetol. 2018 Jun 26;17(1):93. doi: 10.1186/s12933-018-0734-8.
8
How to best assess abdominal obesity.如何最好地评估腹部肥胖。
Curr Opin Clin Nutr Metab Care. 2018 Sep;21(5):360-365. doi: 10.1097/MCO.0000000000000485.
9
Abdominal Subcutaneous Fat: A Favorable or Nonfunctional Fat Depot for Glucose Metabolism in Chinese Adults?腹部皮下脂肪:中国人葡萄糖代谢的有益或非功能性脂肪库?
Obesity (Silver Spring). 2018 Jun;26(6):1078-1087. doi: 10.1002/oby.22183. Epub 2018 May 2.
10
Association of Epicardial, Visceral, and Subcutaneous Fat With Cardiometabolic Diseases.心外膜、内脏和皮下脂肪与代谢性心血管疾病的关系。
Circ J. 2018 Jan 25;82(2):502-508. doi: 10.1253/circj.CJ-17-0820. Epub 2017 Sep 27.