Suppr超能文献

一名接受化疗的老年乳腺癌患者出现危及生命的血肿。

Life-Threatening Hematoma in an Elderly Breast Cancer Patient Undergoing Chemotherapy.

作者信息

Shin Ik Beom, Han Wonshik, Lee Han-Byoel, Kim Hong-Kyu, Moon Hyeong-Gon

机构信息

Department of Surgery, Seoul National University College of Medicine, Seoul, Korea.

出版信息

J Breast Cancer. 2023 Oct;26(5):514-518. doi: 10.4048/jbc.2023.26.e41. Epub 2023 Sep 8.

Abstract

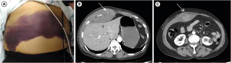
The use of neoadjuvant chemotherapy in older patients is increasing. However, chemotherapy should be administered considering the medical comorbidities of the patients and the toxicity of chemotherapeutic agents. Here, we present a case of abdominal wall hematoma with spontaneous inferior epigastric artery injury caused by coughing in a 70-year-old woman who was treated with neoadjuvant chemotherapy. Abdominal computed tomography demonstrated an abdominal wall hematoma with active bleeding. However, angiography with selective embolization of the right inferior epigastric artery and the right internal mammary artery was performed successfully. Scheduled chemotherapy was discontinued over concerns of rebleeding and breast-conserving surgery was performed. When deciding on chemotherapy for older patients, attention should be paid to the various complications.

摘要

老年患者新辅助化疗的应用正在增加。然而,化疗的实施应考虑患者的合并症以及化疗药物的毒性。在此,我们报告一例70岁接受新辅助化疗的女性患者,因咳嗽导致腹壁血肿伴自发性腹壁下动脉损伤。腹部计算机断层扫描显示腹壁血肿伴活动性出血。然而,成功地进行了选择性栓塞右腹壁下动脉和右乳内动脉的血管造影。出于再出血的担忧,预定的化疗被中止,并进行了保乳手术。在为老年患者决定化疗方案时,应注意各种并发症。

https://cdn.ncbi.nlm.nih.gov/pmc/blobs/8d5b/10625869/9be0c8ba39a6/jbc-26-514-g001.jpg

文献检索

告别复杂PubMed语法,用中文像聊天一样搜索,搜遍4000万医学文献。AI智能推荐,让科研检索更轻松。

立即免费搜索

文件翻译

保留排版,准确专业,支持PDF/Word/PPT等文件格式,支持 12+语言互译。

免费翻译文档

深度研究

AI帮你快速写综述,25分钟生成高质量综述,智能提取关键信息,辅助科研写作。

立即免费体验